3岁女孩的脑干手术,竟然揭开了这个家庭的“遗传秘密”。
可爱的妮娜,突发脑干出血,嗜睡、头痛、右侧偏瘫(伴面瘫)以及言语障碍……一切都因为脑干长了一个巨大的海绵状血管瘤,并且大脑里还有好几个小病灶,急需手术。好在,手术及时,脑干海绵状血管瘤得到全切,术后妮娜症状逐渐好转。

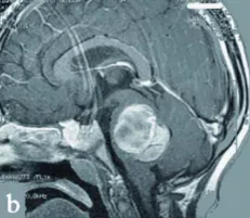
图1,a-c术前:显示患儿巨大的桥脑海绵状血管瘤。
一个孩子身上发现这么多病灶,医生们心里冒出一个问号:这会不会是家族遗传的?
基因测序结果真的揪出了“真凶”——小女孩和她27岁、看起来完全健康的妈妈,体内都藏着一个名为CCM1基因的新发突变。
核磁共振检查结果发现:那位毫无症状的妈妈,大脑里其实也生长了多个海绵状血管畸形的小病灶,而爸爸的检查结果则完全正常。

图2,a,b:27岁无症状母亲的多发幕上海绵状血管瘤,呈典型低信号。c常规T2加权磁共振扫描:可见无症状母亲左额叶最大海绵状血管瘤(白色箭头)。
即便表现为“散发”的多发病例,仍可能具有明确的遗传背景;对家成员进行症状前基因检测,可筛选出需要临床与神经影像长期监测的高危亲属。
该研究来自于INC巴特朗菲教授等2006年发表的研究《Clinical impact of CCM mutation detection in familial cavernous angioma》。

脑海绵状血管瘤真的会遗传吗?
脑海绵状血管瘤(CCM)可呈散发性发病,或表现为不完全外显且家系间及家系内表达可变的常染色体显性遗传。其致病突变已在三个基因(CCM1、CCM2和CCM3)中得到证实。家族性CCM大多与多发性病灶的发生相关,这些病灶的数量和大小会随年龄增长而增加。
3岁女孩脑干海绵状血管瘤急性出血
妮娜在经历急性出血和神经功能恶化1个月后,寻求脑干海绵状血管瘤的手术治疗。嗜睡、头痛、右侧偏瘫(伴面瘫),还出现了言语障碍,年幼的生命正遭受巨大的打击。
为何病情突然加重,是由于一个先前已确诊的桥脑海绵状血管瘤增大、出血,并伴有轻度脑积水所致。父母懊悔不已,谁能想到这个良性的病灶出血带来如此严重的情况。
在接受抗水肿治疗后,妮娜临床状况趋于稳定,神经症状随后得到改善。磁共振成像(MRI)显示患儿患有多发性脑海绵状血管畸形。
入院时,妮娜存在躯干共济失调。她几乎无法维持坐姿,且不能站立。伴有轻度面瘫和重度右侧偏瘫,同时存在反射亢进和巴宾斯基征阳性(提示发生了中枢神经系统上运动神经元性损害)。再次复查MRI显示,左侧桥脑有一个最大尺寸为4×3.5×3cm的巨大海绵状血管瘤(图1,a-c)。

此外,还包括一个位于左额叶的致痫病灶(图1,e)。

图e:显示患儿幕上其他海绵状血管瘤(左额叶及顶叶)。
手术治疗
在神经导航下,桥脑海绵状血管瘤得到全切,手术过程顺利,无任何并发症。手术全程进行了体感诱发电位和脑干听觉诱发电位监测。
术后过程
术后,患儿的神经症状持续改善。手术10天后进行的MRI检查证实海绵状血管瘤已被完全切除,并显示先前严重增大的脑干已得到减压(图1d)。妮娜出院后接受进一步的神经功能康复治疗。

d术后:显示海绵状血管瘤已完全切除,第四脑室大小恢复,脑干压迫解除。
遗传学分析
在获得知情同意后,研究人员进行了直接测序。分析发现,患儿及其母亲(但父亲没有)的CCM1基因第16号外显子中存在一个1个突变(c.1683_1684insA)(图3)。

图3,患儿父亲的正常基因序列(上)与患儿(箭头处)及其母亲(数据未显示)的(A,加粗)突变对比。
对其无症状双亲进行的基因检测和磁共振成像检查显示,27岁的母亲携带相同的基因突变并存在多发性海绵状血管瘤(图2)。因此,这位最初被认为是散发病例的患者,现可归类为家族性CCM。
多发性海绵状血管瘤与基因检测阴性
在家族性CCM患者中,CCM1、CCM2和CCM3基因的突变检出率分别为43-54%、13-22%和低于10%。约有30%的患者通过目前的基因检测无法发现突变。其原因可能包括:存在第四个未知的CCM基因、CCM1-3基因启动子区的突变,或所应用的突变检测方法存在局限性。例如,直接测序法无法检测出CCM2和CCM3中已报道的大片段缺失。
为提高突变检出率,在测序之外,还同时进行CCM1-3的多重连接依赖性探针扩增基因剂量分析。若患有多发性海绵状血管瘤的患者,在经过测序和MLPA检测后基因筛查结果仍为阴性,建议对其亲属进行梯度回波磁共振扫描。
家庭成员也需要检查吗?
在看似散发的病例中确认突变后,可向其父母及其他亲属提供遗传咨询和检测。虽然在先证者中筛查CCM1、CCM2和CCM3基因突变可能偶尔较为耗时,但与磁共振成像相比,在同一家族内对已发现的突变进行基因确认或排除则快速且经济高效。此外,基因检测能够在缺乏临床症状和神经影像学可见海绵状血管瘤的情况下识别出突变携带者。
一旦确认亲代携带突变,对更广泛的家庭成员进行症状前基因检测,有助于筛选出真正存在风险、需要接受前述的临床和神经影像学监测的亲属。因此,我们建议对已确认携带CCM突变的无症状家族成员进行梯度回波磁共振扫描,以评估其当前的中枢神经系统受累情况。磁共振扫描可每年进行一次。
根据检查结果和患者意愿,即使是无症状的海绵状血管瘤,也可通过手术切除以获得良好预后,从而预防继发性出血和神经功能缺损。
携带新发突变的散发多发性海绵状血管瘤病例
若双亲均携带正常基因序列且已排除非生物学父亲的可能性,则表明发生了新发突变。此种情况下,除先证者的后代和兄弟姐妹外,其他亲属可被告知风险极低。携带CCM新发突变的多发性海绵状血管瘤患者,其突变遗传给子女的风险近乎50%。此外,由于先证者表型正常的父母可能存在生殖系嵌合体,其兄弟姐妹的再发风险亦不能完全忽略,不过此风险目前未知且难以评估。基因检测可精确判定子女或兄弟姐妹是否也携带先证者的突变。
结论
由于目前已有3个CCM基因被识别,分子遗传学诊断现已适用于家族性CCM和患有多发性病灶的散发病例。若在患者中发现CCM突变,应结合遗传咨询,在其家族中明确识别突变携带者,此项检测应在对亲属进行神经影像学筛查之前进行。基因检测结果为已知突变阳性的个体,可能需要进行磁共振成像检查和择期手术。而检测结果阴性则可使亲属免于临床和神经影像学监测的负担,并消除对发生严重海绵状血管瘤相关并发症的恐惧。
- 文章标题:脑海绵状血管瘤是先天性的吗?3岁女孩突发脑干出血,母女俩双双确诊
- 更新时间:2025-10-22 14:26:33
400-029-0925




