“我怎么突然就这样了?”小雨拿着诊断书难过又无助。
前天因为视野狭窄变模糊和持续性头痛,小雨和家人紧急就医,诊断结果却令一家人陷入绝望——丘脑海绵状血管瘤伴少量出血。这个陌生的病症,成为了这个家庭必须直面的生死考验。
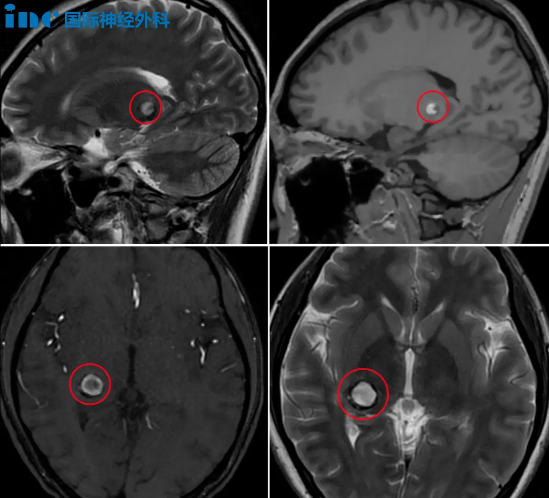
小雨20岁右侧丘脑海绵状血管瘤
病情阶段:
罕见病症下的困境
2024年5月,正值青春年华的小雨突然发现自己的视野开始变得狭窄模糊,紧随而来的是持续不断的头痛,小雨的家人立刻带她前往当地医院。
CT检查的结果像一道惊雷:脑出血。进一步的头颅核磁检查更是给出了一个让全家陷入绝望的诊断——右侧丘脑海绵状血管瘤,伴少量出血。
丘脑,这个深藏在大脑核心地带的“信息中转站”,相当于整个大脑网络的“核心交换机”。一旦受损,人体可能陷入类似“木头人”的状态——意识清晰却无法回应世界。

治疗挑战:
从“等待”到“寻找希望”
丘脑海绵状血管瘤极其罕见,当地医院的医生面对这个“藏”在大脑核心区域的病灶,也陷入了两难:
手术风险极高,丘脑的解剖复杂性远超常人想象,位置险要、周围密布重要神经结构,稍有不慎就可能导致小雨终身残疾;
可保守观察又无法控制病情,谁也不知道下一次出血会在何时发生。临床数据显示,这类病变出血后不仅容易引发偏瘫、失语等严重神经功能障碍,首次出血后再次出血的风险还会大幅增加。

这就像在瓷器店里打老鼠,传统开颅手术可能让患者变成“木头人”,而立体定向放疗对流动血肿又束手无策。
“我们不能就这样等待。”小雨的母亲,一位坚强果敢的女性,她查阅大量医学资料,她在病友圈得知INC国际脑干手术大咖巴特朗菲教授,经过INC的紧急协调,很快便联系上了巴教授。
巴教授的评估带来了希望的曙光:“现在正是手术的最佳时机。新鲜血肿虽然听起来可怕,但它实际上为手术提供了更好的操作空间,反而有利于更安全地切除病灶。”


手术阶段:
INC巴教授为她全切病灶
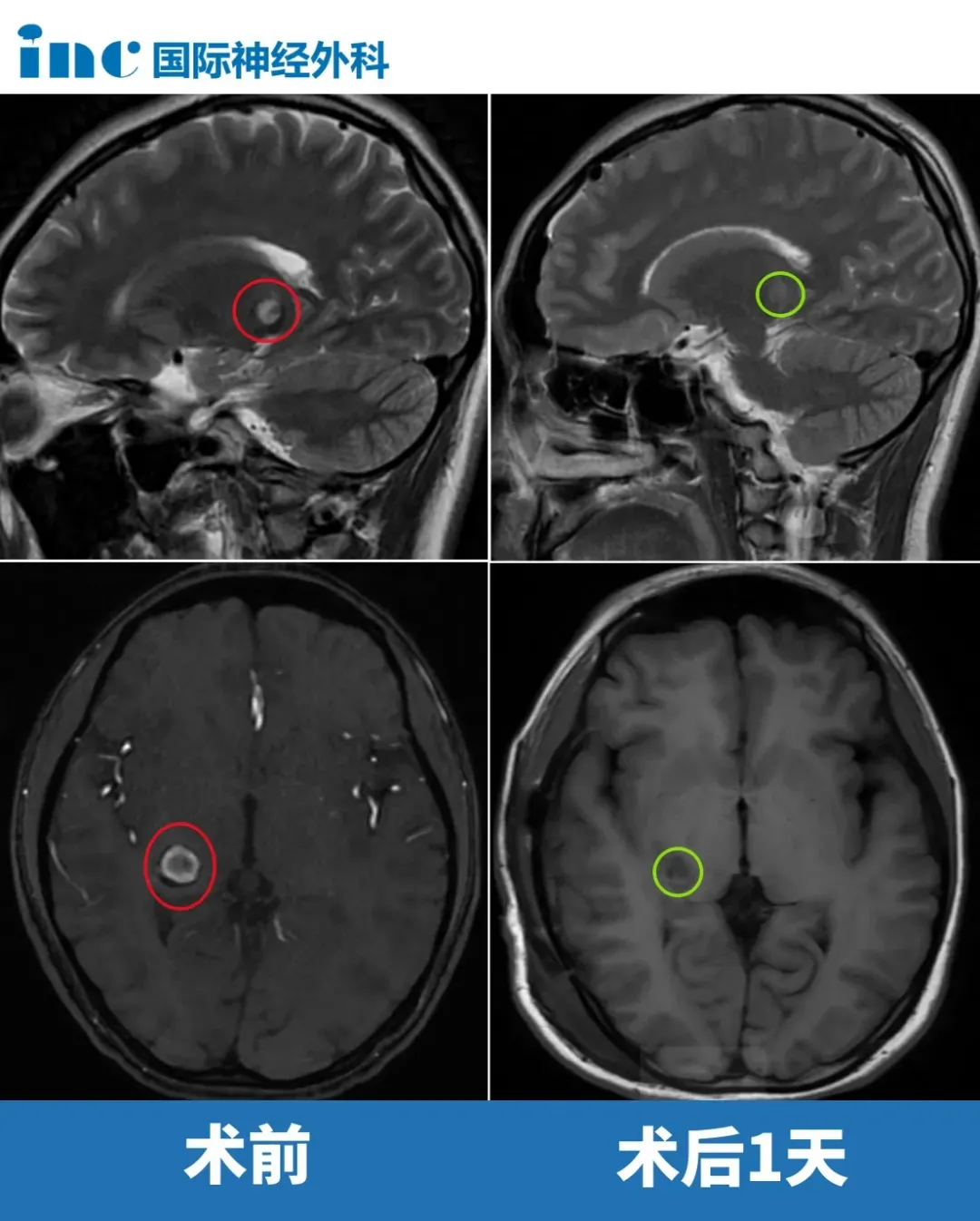
2024年6月7日,复合手术室的无影灯亮起。巴教授凭借着对大脑解剖结构的精准掌握,以及多年积累的疑难手术经验,在显微镜下小心翼翼地分离着脑组织,一点点靠近位于丘脑的病灶。最终为小雨顺利全切病灶。

术后恢复:
重燃的青春与希望
术后第一天巴教授查房时,令人欣喜的一幕出现了:小雨在病床上自如地伸展着手脚,脸上重现了久违的笑容。
那个曾经被病痛折磨得失去活力的女孩,眼神里再次充满了青春的光彩。家人也一改往日的愁容,病房里终于有了欢声笑语。
INC国际脑血管专家——巴特朗菲教授
INC国际神经外科医生集团旗下世界神经外科顾问团(WANG)成员、世界神经外科联合会(WFNS)教育与技术委员会前主席巴特朗菲教授,作为德国汉诺威国际神经外科研究院血管神经外科主任,擅长大脑半球病变、脑干病变、脑血管疾病、脑内深层区胶质瘤、颅颈交界处的病变等的肿瘤切除术、神经吻合术以及各种椎管内肿瘤等。

同时,巴特朗菲教授收到过来自欧洲、中东、北非以及日本、中国、韩国、新西兰、南非和智利的40个国家的学术邀请,应邀出席了400多场世界各地的学术会议或在神经外科大会作为特邀发言人,对世界神经外科学科做出重大贡献,特别是颅底外科和显微外科血管病变的脑和脊髓治疗。
#脑干出血#脑干海绵状血管瘤#多次脑出血#脑干反复出血#INC#INC巴教授
*案例来源:文中所述为INC国际巴特朗菲教授2024年6月7日于苏州大学附属第四医院进行的手术一例。
- 文章标题:脑出血后我怕了「123 木头人」里的不能动,差点成为我可能面对的人生!
- 更新时间:2025-08-27 17:30:16
400-029-0925




