髓母细胞瘤包括一系列发生在后颅窝的肿瘤亚群。这种恶性肿瘤主要发生在婴儿和儿童,中位年龄为8岁,男女比例为1.5:1。它约占全部儿童脑肿瘤的20%,...
髓母细胞瘤治愈率?髓母细胞瘤的治愈率是一个复杂的话题,因为它受到多种因素的影响,包括患者年龄、肿瘤的分子亚型、肿瘤的分期、手术的可切除性、...
髓母细胞瘤能治好吗?髓母细胞瘤,作为一种主要发生在儿童和青少年身上的脑肿瘤,其治疗和预后一直受到医学界的广泛关注。那么,髓母细胞瘤能否治好...
髓母细胞瘤治疗后能活多久?不治疗能活多久?髓母细胞瘤,作为一种高度恶性的脑肿瘤,其预后和生存期受到多种因素的影响,包括患者的年龄、肿瘤的分...
骨髓母细胞瘤能治好吗?骨髓母细胞瘤的治疗效果取决于多种因素,包括肿瘤的大小、位置、是否扩散到其他部位(如脑脊液或脊髓)、患者年龄、总体健...
髓母细胞瘤治疗案例,在国内,每年很多类似这样不幸的故事总会上演。很多罹患髓母细胞瘤的孩子们在病魔的摧残下都来不及长大,来不及看见和理解这...
江西吉水县刘婧瑶只有3岁3个月,但被确诊为髓母细胞瘤晚期,全国各地治疗均未果。23日凌晨,小婧瑶去世,家人决定将其全部器官捐出,成为江西年龄较...
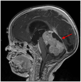
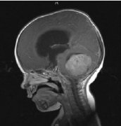
髓母细胞瘤 是位于小脑的脑肿瘤,小脑是控制平衡,协调和其他复杂运动功能的大脑部分。髓母细胞瘤较常生长在小脑的中央部位,而在小脑的外部部分则...
免疫介导的疗法已经改变了转移性黑素瘤等疾病的治疗方法。但由于多种原因,免疫疗法尚未在诸如髓母细胞瘤的脑肿瘤中显示出惊人的效果...
髓母细胞瘤 能活多久?如果孩子整天无精打采,早晨起床头痛,反复呕吐,走路经常跌倒,孩子父母则要引起注意了。虽然这些症状很常见,但是这也是髓...
出国看病 , 国外治疗髓母细胞瘤医院哪家好? 加拿大多伦多大学附属儿童医院 (SickKids)是越来越多出国看病治疗小儿髓母细胞瘤的优选。 髓母细胞瘤,...
髓母细胞瘤(medulloblastoma)是首先由Bailey和Cushing命名的一种儿童后颅窝恶性胶质瘤。髓母细胞瘤是一种侵袭性的、快速生长的肿瘤,与大多数脑肿瘤不同,它...
髓母细胞瘤能治愈吗?根据临床预后标准,髓母细胞瘤的5年生存率从40%到70%不等,许多存活的患者表现出长期的神经认知和/或神经内分泌后遗症...
髓母细胞瘤是儿童中常见的中枢神经系统胚胎肿瘤和恶性肿瘤。那么,髓母细胞瘤患者能活20年吗?要如何治疗...
髓母细胞瘤 /PNET是儿童常见的脑瘤,占儿童脑瘤的20%。它们在3到8岁的儿童中较常见,男孩比女孩略多一些。 大多数的肿瘤发生在大脑的后颅窝区域。这个...
髓母细胞瘤 起源于胚胎残留组织,国际卫生组织(WHO)定级为4级肿瘤,恶性程度高,预后差。而且好发于儿童,占全部儿童脑肿瘤的15%-20%,发病高峰在5~...
髓母细胞瘤 是儿童中较常见的恶性脑肿瘤。根据定义,髓母细胞瘤发生在小脑中,小脑是位于头骨基部的脑部的一部分,位于脑干上方。小脑参与许多功能...
与成人中枢神经系统中的许多恶性肿瘤相比,儿童的脑部恶性病变的治疗、治疗反应和未来前景具有着广阔的前景。在过去的5年中,国际神经外科对包括髓...
髓母细胞瘤是儿童中枢神经系统胚胎性肿瘤中较常见的一种,占颅内肿瘤的25%。相比之下,成人髓母细胞瘤较其少见,占颅内肿瘤的1%。...
髓母细胞瘤 是一种癌性脑肿瘤。它在小脑中发育,小脑是头骨底部附近的大脑的一部分。髓母细胞瘤可以扩散到中枢神经系统 (大脑和脊髓)。儿童大多...
髓母细胞瘤 较初归类于小脑 胶质瘤 ,直到1925年Bailey和Cushing将这些肿瘤命名为髓母细胞瘤,目前它们被归类为原始神经外胚层肿瘤(PNET)。这些肿瘤占全...
髓母细胞瘤的治疗哪里比较好?髓母细胞瘤可分为神经胶质瘤或儿童时期原始神经外胚层肿瘤(参见神经外膜肿瘤,原发性)。肿瘤比较常见于10岁以下的...
加拿大多伦多儿童医院报道:几十年来,人们对一种少见的、但具有毁灭性的儿科脑癌 髓母细胞瘤 的治疗潜力越来越感兴趣。科学家们的较新研究发现提...
在小于3岁的儿童中,化疗药物被用来推迟放疗时间,直到患儿神经系统发育成熟或不再需要使用化疗药物为止。虽然放疗前进行化疗(新型辅助方案)的效果仍...
髓母细胞瘤 是儿童中二大常见的后颅窝肿瘤,占小儿脑肿瘤的15%至25%。患有这种肿瘤的患儿通常出现在生命的头十年中,发病率在3岁、4岁-8岁之间较高...
髓母细胞瘤是儿童较常见的颅内肿瘤,是中枢神经系统恶性程度较高的肿瘤之一。在治疗较为常见的儿童恶性髓母细胞瘤方面,与传统放疗相比,质子治疗...
Mary McKernan在儿童医院的时候乐于交友。她以在病房里举办精彩茶会而出名。虽然在长时间住院期间她有时会感到疲倦,但她总能找到精力在走廊上走动,分...
质子治疗 在儿童中应用毒性较常规放疗小且治疗后状态好。儿童的实体肿瘤比如髓母细胞瘤等占据癌症总数的1-1.5%,其中多的是中枢神经系统的肿瘤。从好...
髓母细胞瘤 可以做 质子治疗 吗?质子治疗是一种可用于治疗髓母细胞瘤的放疗方法,它是利用质子而非X射线的体外放疗。高能量的质子放疗可以摧毁肿瘤...
髓母细胞瘤是一种少见的儿童肿瘤,多发于大脑后部的小脑,这是大脑中对协调肌肉运动起着决定性作用的一个重要部位。虽然比较少见,但每年在美国仍有...
髓母细胞瘤能完全治愈吗? 髓母细胞瘤是中枢神经系统的高度恶性肿瘤,容易复发,容易沿脑脊液转移到蛛网膜下腔,如椎管或其他位置,因此很难通过手...
髓母细胞瘤存活率高不高?临床治疗及预后前沿进展,什么是髓母细胞瘤?髓母细胞瘤(medulloblastoma)是恶性程度高而预后较差的胚胎性肿瘤,约占颅内肿...
6岁美国男孩查理是三胞胎中较小的一个,在去年11月之前,他和他的同胞哥哥姐姐一样,健康快乐的生活着,而不断的头痛打破了这个五口之家的平静生活...
髓母细胞瘤包括一系列起源于后颅窝的肿瘤亚群。这种恶性肿瘤主要发生在婴儿和儿童,平均年龄为8岁,男女比例为1.5:1...
髓母细胞瘤,这种起源与胚胎残余细胞的肿瘤可发生在脑组织的任何部位,但多数生长在四脑室顶之上的小脑蚓部,是中枢神经系统恶性程度较高的肿瘤之...
髓母细胞瘤这个名称较早是由Harvey Cushing和Percival Bailey在1925年提出的。Drs。Cushing和Bailey较初使用小脑海绵母细胞瘤一词来描述青少年前期出现的后窝肿瘤。...
什么是髓母细胞瘤? 髓母细胞瘤(medulloblastoma)是恶性程度高而预后较差的胚胎性肿瘤,约占颅内肿瘤的4%左右,小儿多见。髓母细胞瘤以男性较为常见,...
由于儿童处于生长发育期,放射治疗带来的晚期并发症随着病人存活时间的延长越来越引起了人们的关注,而且妨碍了放射治疗在治疗儿童肿瘤中的应用。...
髓母细胞瘤(MB,medulloblastoma)呈双峰发病,高发年龄段一个在4~8岁之间,另一个在21~40岁之间;MB为富血供、富细胞肿瘤(另一个富细胞肿瘤为CNS淋巴瘤)...
累及小脑中线结构的肿瘤有髓母细胞瘤、室管膜瘤、皮样囊肿和蛛网膜囊肿。对于少数允许自发性通气的病人,使用短效吸入麻醉剂,通过改变吸入二氧化碳...
儿童髓母细胞瘤是一种小细胞型的原始外胚层肿瘤,起源于原始未分化的胚胎细胞,多发生于儿童,成人髓母细胞瘤比较少见,发病年龄从16岁至56岁,平均...
髓母细胞瘤是后颅窝比较常见的恶性肿瘤,也是中枢神经系统恶性程度较高的神经上皮性肿瘤之一。它的细胞形态很像胚胎时期的髓母细胞,因此得名。髓母...
1924年,Bailey和Cushing一次将髓母细胞瘤描述为一类粘附性肿瘤,并称之为小脑成胶质细胞榴。此后人们假设肿瘤起源于原始多分化潜能细胞,即母细胞,因而改称...
髓母细胞瘤约占儿童中枢神经系统肿瘤的20%,成人仅仅占了1%。在7080%的病例中,髓母细胞瘤影响16岁和16岁以下的儿童。平均发病率在每100,000人0.20至...
髓母细胞瘤有多严重 髓母细胞瘤是颅内高度恶性肿瘤,是颅内较严重的肿瘤,生长在小脑部位,生长速度快,病程短。从发病到治疗,平均约4个月,较短...
复发性肿瘤占位效应明显且一般状态良好的患者,优选手术,并结合其他治疗;一次治疗未进行TMZ联合放化疗的患者,采用标准化TMZ联合放化疗及辅助化疗...
髓母细胞瘤是什么病? 髓母细胞瘤是一种发生在小脑中的原始神经外胚叶肿瘤,约占颅内肿瘤的4.29%。它是一种发生在小脑中的恶性侵袭性胚胎肿瘤。它主...
髓母细胞瘤能治好吗 总体来说髓母细胞瘤是属于脑胶质瘤的一种,所以髓母细胞瘤总体来说是相对比较恶性的,它是恶性肿瘤的一类,好发于大脑半球,小...
髓母细胞瘤能治愈吗? 髓母细胞瘤一般难以治愈。 髓母细胞瘤恶性程度高,复发概率高,也可能渗透到周围组织,难以完全恢复。髓母细胞瘤的治疗主要...
髓母细胞瘤能治愈吗? 根据国内外文献,髓母细胞瘤的5年生存率不超过50%,因此该病难以治愈。 首先要明确的是,它是一种高度恶性的肿瘤。一般来说,...
髓母细胞瘤是儿童时期较常见的恶性脑肿瘤,占儿童中枢神经系统肿瘤的12%~15%;在lt;15岁的儿童中,年发病率约为5/100000。髓母细胞瘤具有预后差、生长快...
现在面临的挑战是找到针对侵袭性肿瘤的新的治疗方法,准确的确定疾病的风险以便于辅助治疗的选择使用;深化肿瘤的治疗;减少肿瘤对病人长期的不良影...
髓母细胞瘤治疗需要多少钱 髓母细胞瘤是一种较常见的颅内胚胎性恶性肿瘤,属于高度恶性,WHO分级属于Ⅳ级的肿瘤,也需要进行综合治疗,就是手术联合...
链接/Links: 北京天坛医院 | 首都医科大学宣武医院 | 复旦大学华山医院神经外科 | 脑胶质瘤 | 脑海绵状血管瘤 |