髓母细胞瘤包括一系列发生在后颅窝的肿瘤亚群。这种恶性肿瘤主要发生在婴儿和儿童,中位年龄为8岁,男女比例为1.5:1。它约占全部儿童脑肿瘤的20%,...
髓母细胞瘤能活多久?髓母细胞瘤患者的生存周期是一个复杂而多变的问题,其影响因素包括患者的发病年龄、肿瘤的临床分期、治疗措施等多个方面。 一...
髓母细胞瘤治疗后能活多久?不治疗能活多久?髓母细胞瘤,作为一种高度恶性的脑肿瘤,其预后和生存期受到多种因素的影响,包括患者的年龄、肿瘤的分...
得了髓母细胞瘤必死吗?能活多久?髓母细胞瘤是一种恶性程度较高的颅脑肿瘤,起源于小脑蚓部,通常是由于遗传因素、电离辐射、病毒感染等原因所引...
髓母细胞瘤手术后能活多久?髓母细胞瘤是一种在儿童中相对常见的脑肿瘤,它起源于大脑中的原始神经细胞。手术是治疗髓母细胞瘤的主要方法,目的是...
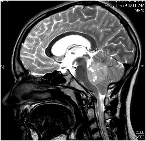
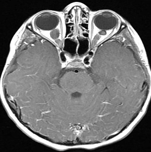
髓母细胞瘤 是一种癌性肿瘤,也被称为小脑原始神经外胚层肿瘤(PNET),它起始于颅底的大脑区域,即后颅窝,这些肿瘤往往会扩散到大脑的其他部位和脊髓...
生存这个词对不同的人来说意味着不同的东西,但它更多与患有癌症的人相连,代表着努力超越和抵抗癌症会带来的死亡。 髓母细胞瘤能活几年?是晚期吗...
深入研究肿瘤命名背后的历史,往往是更加了解肿瘤本身的合适路径之一,可能会让你收获到有许多意想不到的信息。有些时候根据肿瘤的名称,例如鼻咽...
髓母细胞瘤 能活多久?如果孩子整天无精打采,早晨起床头痛,反复呕吐,走路经常跌倒,孩子父母则要引起注意了。虽然这些症状很常见,但是这也是髓...
髓母细胞瘤能治愈吗?根据临床预后标准,髓母细胞瘤的5年生存率从40%到70%不等,许多存活的患者表现出长期的神经认知和/或神经内分泌后遗症...
髓母细胞瘤是儿童中常见的中枢神经系统胚胎肿瘤和恶性肿瘤。那么,髓母细胞瘤患者能活20年吗?要如何治疗...
髓母细胞瘤 是儿童较常见的恶性脑肿瘤,约占原发性中枢神经系统肿瘤的20%,约占后颅窝肿瘤的40%。它是一种发生于小脑的高级别(WHO IV级)胚胎性神经上皮...
髓母细胞瘤手术成功后能活多久? 髓母细胞瘤手术成功后存活时间的影响因素很多。术后联合放化疗的髓母细胞瘤患者的5年生存期通常为43%-81%,大多数患...
小儿得了髓母细胞瘤不手术能活多久? 戴安娜王妃亲自帮助建立的、医学研究慈善协会(AMRC)成员之一的慈善机构Children with cancer在官网上报道了一个英国...
髓母细胞瘤手术成功了可以活多久? 髓母细胞瘤手术后可存活几年。髓母细胞瘤是一种恶性肿瘤,常发生在儿童身上。髓母细胞瘤需要手术治疗,术后患者...
髓母细胞瘤存活率高不高?临床治疗及预后前沿进展,什么是髓母细胞瘤?髓母细胞瘤(medulloblastoma)是恶性程度高而预后较差的胚胎性肿瘤,约占颅内肿...
髓母细胞瘤能活多久? 髓母细胞瘤是一种恶性肿瘤,发生在后颅窝,生长迅速,手术难以切除。患者生存率较短,因为周围有许多重要的神经组织,如脑干...
髓母细胞瘤转移了还能活多久? 大部分生存期在5年以上,少数可达10年以上。髓母细胞瘤是一种恶性程度高、生长快的肿瘤,手术是治疗的较佳选择。术后...
髓母细胞瘤手术成功了可以活多久? 髓母细胞瘤是一种危险的恶性疾病。髓母细胞瘤有害。许多病人和朋友死于这种疾病。因此,我们应该给予足够的重视...
通过积较的手术、颅腔放疗和化疗,50%以上的髓母细胞瘤患儿有望在5年后康复。采用目前的治疗方法,80-90%的无播散性疾病可以治愈;然而,这种疾病的治...
对于髓母细胞瘤的治疗,手术切除是首要的选择,特别是早期的髓母细胞瘤,手术切除效果是明显的。由于早期肿瘤较小又位于适当部位者,可争取全部切...
髓母细胞瘤who4级可以活多久? 四级髓母细胞瘤较多可存活四年左右,但具体存活时间主要取决于个人体质和后期治疗。 髓母细胞瘤4级是一种严重的慢性肿...
髓母细胞瘤4级生存期 髓母细胞瘤4级能活多久不能一概而论。具体生存时间与患者发病年龄、肿瘤临床分期、治疗措施等因素有关。一般来说,发现越早,...
髓母细胞瘤4期的术后生存期 髓母细胞瘤四级较多可存活4年左右,但具体存活时间主要根据个人体质和后期治疗来判断。 髓母细胞瘤4级是一种严重的慢性...
髓母细胞瘤是较常见的原始神经外胚层肿瘤(PNET)。虽然预期寿命取决于各种因素,但如果患者能从治疗中存活5年,疾病有良好的预后。 髓母细胞瘤能活多...
髓母细胞瘤的治疗方法包括手术治疗,放射治疗和化学治疗,采用标准化的、规范化的综合治疗能延长髓母细胞瘤患儿的生存期。手术治疗是术后综合治疗的...
髓母细胞瘤是18岁以下儿童中较常见的原发性中枢神经系统肿瘤,其较常见于四脑室。肿瘤浸润正常小脑组织,15%的病例浸润脑干。髓母细胞瘤患儿可表现...
髓母细胞瘤寿命长么 髓细胞瘤的存活期很短,一般存活期很少超过一年。这是较恶性的肿瘤。到目前为止,还没有治愈的方法,即使经过积较的治疗,生存...
髓母细胞瘤活多久? 髓母细胞瘤是一种主要出现在儿童身上的肿瘤,常发生在后颅窝的小脑蚯蚓部,具有高度恶性的特点。如果肿瘤切除后没有放射治疗,...
髓母细胞瘤治好后能活多久? 髓母细胞瘤诊断后,如果患者及时治疗,可以存活5-10年左右。据资料显示,髓母细胞瘤患儿五年生存率约为50%-60%。髓母细胞...
髓母细胞瘤扩散了还能活多久? 大部分生存期在5年以上,少数可达10年以上。髓母细胞瘤是一种恶性程度高、生长快的肿瘤,手术是治疗的较佳选择。术后...
髓母细胞瘤手术成功了可以活多久? 髓母细胞瘤手术成功后,影响其存活时间的因素很多。髓母细胞瘤术后联合放疗和化疗患者的5年生存期通常为43%-81%,...
成人髓母细胞瘤能活多久? 髓母细胞瘤患者的生存周期与患者的发病年龄、肿瘤的临床分期和治疗措施有关,不能一概而论。 髓母细胞瘤是一种恶性程度...
髓母细胞瘤复发的症状 髓母细胞瘤复发的症状大多与之前髓母细胞瘤的症状有很大关系。例如,如果之前出现头痛、头晕等相关症状,复发后的相关症状也...
髓母细胞瘤不做手术能活多久? 如果髓母细胞瘤不接受治疗,其存活时间很短。如果髓母细胞瘤积较治疗,患者可以存活5年。癌症的发生是人格、吸烟、...
髓母细胞瘤是儿童常见的颅内肿瘤,属于恶性肿瘤。有些患者可以达到临床治疗的目的,有些髓母细胞瘤患者恶性程度高,恶性程度较高,治疗不及时。一...
髓母细胞瘤可以治愈吗 髓母细胞瘤很难治愈。 髓母细胞瘤是一种发生在后颅窝和小脑中的恶性肿瘤,恶性程度高,易渗入周围组织,远处转移,复发概率...
髓母细胞瘤手术费用 髓母细胞瘤是颅内胚胎性恶性肿瘤,属于高度恶性,WHO分级属于Ⅳ水平肿瘤,也需要综合治疗,即手术联合放疗和化疗,手术尽可能完...
髓母细胞瘤复发了还能治疗吗? 髓母细胞瘤的复发治疗。如果患者有髓母细胞瘤复发,可以通过放射治疗来好转。如果病情比较严重,也可以再次切除。...
髓母细胞瘤预后的生活质量如何?虽然手术治疗、放疗和化疗可以延长生存时间、但目前的治疗方法都有着严重的长期后遗症、从而使那些有着较长生存期...
髓母细胞瘤不放疗生存期 髓母细胞瘤患儿五年生存率约为50%-60%。现将髓母细胞瘤分为四类,类型不同,生存时间也不同: 1、Wnt类型:即基因检测中发现的...
髓母细胞瘤生存期 统计显示,70%的髓母细胞瘤患者,甚至75%的髓母细胞瘤患者,经过规范化治疗,可以存活10年以上。对于低风险的髓母细胞瘤患者,经过...
小儿髓母细胞瘤生存期 目前,儿童髓母细胞瘤的病因尚不清楚,可能与遗传、病毒病原体引起的各种炎症、免疫控制等有关。 儿童的症状包括颅内压升高...
孩子是一个家庭的希望,承载着父母的殷切期望和宠爱。如果一个年幼的孩子与脑瘤、晚期联系起来的时候,无人不会不为之揪心。那么儿童髓母细胞瘤能...
恶性髓母细胞瘤生存期是多少年?还能治吗?恶性髓母细胞瘤是一种发生在中枢神经系统的恶性肿瘤,它是一种高度侵袭性的肿瘤,易发生转移和复发。其...
髓母细胞瘤手术后能活多久?髓母细胞瘤是一种在儿童中相对常见的脑肿瘤,它起源于大脑中的原始神经细胞。手术是治疗髓母细胞瘤的主要方法,目的是...
髓母细胞瘤包括一系列发生在后颅窝的肿瘤亚群。这种恶性肿瘤主要发生在婴儿和儿童,中位年龄为8岁,男女比例为1.5:1。它约占全部儿童脑肿瘤的20%,...
得了髓母细胞瘤必死吗?能活多久?髓母细胞瘤是一种恶性程度较高的颅脑肿瘤,起源于小脑蚓部,通常是由于遗传因素、电离辐射、病毒感染等原因所引...
髓母细胞瘤治疗后能活多久?不治疗能活多久?髓母细胞瘤,作为一种高度恶性的脑肿瘤,其预后和生存期受到多种因素的影响,包括患者的年龄、肿瘤的分...
髓母细胞瘤能活多久?髓母细胞瘤患者的生存周期是一个复杂而多变的问题,其影响因素包括患者的发病年龄、肿瘤的临床分期、治疗措施等多个方面。 一...
链接/Links: 北京天坛医院 | 首都医科大学宣武医院 | 复旦大学华山医院神经外科 | 脑胶质瘤 | 脑海绵状血管瘤 |