髓母细胞瘤是儿童中较常见的恶性脑肿瘤。根据定义,髓母细胞瘤发生在小脑中,小脑是位于头骨基部的脑部的一部分,位于脑干上方。小脑参与许多功能,包括协调自愿运动(例如,步行,细致运动技能)和调节平衡和姿势。髓母细胞瘤起源于大脑中原始的未发育细胞。大多数髓母细胞瘤发生在婴儿和儿童中。不太常见的是,这些肿瘤也可以在成人中发展。与髓母细胞瘤相关的症状包括早晨的头痛,随着白天的进行而好转,反复呕吐,行走困难和平衡。髓母细胞瘤可以扩散到中枢神经系统的其他区域。髓母细胞瘤的确切原因尚不清楚。髓母细胞瘤能治愈吗?手术是当前优选方法。

视乳头水肿可能是髓母细胞瘤一个迹象
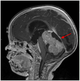
髓母细胞瘤的症状通常是由于颅内压力增加(颅内压)引起的。髓母细胞瘤通常出现在颅底或其附近,称为后颅窝。后颅窝包含脑干和小脑。
髓母细胞瘤通常涉及充满液体的四腔(脑室)。大脑有四个腔,称为脑室,充满脑脊液(CSF)并通过通道连接,CSF通过这些通道循环。由于肿瘤常填充四脑室,因此CSF循环受阻,导致脑积水。脑积水是一种状态,其中大脑中过量脑脊液的积聚导致各种症状,包括反复的,经常严重的呕吐,嗜睡和头痛,这些症状经常在早晨发生并随着日子的进行而好转。其他症状可能包括烦躁,头部大小增加,肌肉麻痹(麻痹),有助于控制眼球运动(眼外肌)。
许多患有髓母细胞瘤的婴儿和儿童患有视乳头水肿,这是由于颅内压增高导致视神经肿胀的病症。视神经是将脉冲从视网膜传递到大脑的神经。视神经乳头水肿可导致视力下降。由于许多与髓母细胞瘤相关的症状是非特异性的并且通常是微妙的,因此视乳头水肿可能是一个迹象,它会使受影响的婴儿和儿童受到神经科医生的注意。
髓母细胞瘤患儿通常有小脑功能障碍的证据。症状可能包括协调性差,行走困难和笨拙(共济失调)。受影响的儿童可能会经常跌倒并且会出现不稳定,笨拙的行走方式(不稳定的步态)。他们可能倾向于站立时双脚分开,在行走时摇摆或摆动,很容易失去平衡。
随着肿瘤的生长或扩散,可能会出现其他症状。这些症状可能包括复视(复视),眼睛的快速,不稳定运动(眼球震颤),面部无力,耳鸣(耳鸣),听力丧失和颈部僵硬。一些具有双重视力的儿童可能会倾斜他们的头部以努力对齐两个图像。
髓母细胞瘤能治愈吗?标准疗法有哪些?
髓母细胞瘤的治疗可能需要包括儿科医生在内的医疗人员团队的协调努力; 神经系统疾病(神经病学家),癌症的诊断和治疗(肿瘤内科医生),以及在癌症治疗中使用放射线(放射肿瘤学家)的专家; 儿科肿瘤科医生; 肿瘤科护士; 神经外科医生; 和/或其他医疗保健人员。使用的具体治疗方法可取决于肿瘤大小,位置,性质,阶段和/或进展; 患者年龄和整体健康; 和其他因素。
可以单独使用或组合使用的接受放射疗法和放化疗的手术是目前用于治疗髓母细胞瘤的个体的标准。在一组中合适的疗法可能在另一组中无效。例如,对儿童和青少年合适的化疗可能对成人无效或耐受性较差。
手术是当前优选方法
不管是什么肿瘤,一般来说,手术切除率越高,预后也越好。那么,髓母细胞瘤能活多久呢?虽然髓母细胞瘤目前有手术治疗,化疗,放疗、药物治疗等多种治疗方式。但是加拿大儿童神经外科专家James T. Rutka教授研究表示,虽然目前的多模式治疗方案大大提高了生存率;然而,在放疗化疗反应中观察到明显的异质性,三分之一的患者在诊断后5年内死亡。
所以James T. Rutka教授表示,对于髓母细胞瘤,还是主要用手术进行切除,目前国际上在切除髓母细胞瘤时,多采用清醒开颅术。这是一种前沿的手术,也是近年来国际上的新成果,可以在患者清醒时进行手术。清醒开颅术是针对脑功能区病变,以唤醒麻醉、神经电生理监测、神经导航、显微神经外科手术、功能磁共振等多种高要求技术为支撑,术中实时监测手术区域脑功能,较大限度切除脑肿瘤的综合手术技术。
虽然国内近年来医学水平也快速发展着,像清醒开颅术国内少数医院也引进了,但是确实某些方面,国外医疗做的要好的多,比如国外儿童神经肿瘤放化疗继续教育和规范化治疗比国内做的好,儿童神经肿瘤机构和医生占比高,甚至还有儿童专用的质子治疗中心。反观国内,多数儿童医院放疗科都没有,具有儿童神经肿瘤放化疗的医疗机构和医生之少。另外,国外MDT开展的较早,有力利于治疗水平的提高,国内即使成人神经肿瘤MDT也只在少数医院存在。儿童神经肿瘤发病率低,治疗风险大,需要多学科合作,医院和医生不够重视、推诿等等诸多的原因,导致包括髓母细胞瘤在内的儿童神经肿瘤的整体治疗质量较差。
活检可以确定病理,还可以通过排出CSF(脑脊液)来缓解大脑的压力,并且尽可能多地切除肿瘤而不损害周围的脑组织。手术针对完全肿瘤切除或尽可能多地移除肿瘤。一些研究表明,当外科医生的眼睛可见的全部肿瘤都可以切除时(总切除率),结果会有所好转。然而,总切除并不总是可行的。在手术后不久,可以影像检查(例如,CT,MRI)和其他诊断方法以确定剩余多少肿瘤并帮助确定适当的术后治疗方法。
在少数情况下,可能会建议在手术前分流以移除肿瘤。分流将有助于去除多余的液体并降低颅内压。分流器是一种专门的装置,可以将多余的CSF从大脑排出到身体的另一部分,从而吸收到血液中。然而,由于某些风险(例如,突出,可能促进癌细胞扩散)并且由于许多个体的肿瘤切除减轻了脑积水,因此术前CSF分流不是常规进行的。一些患者在手术切除肿瘤后可能需要分流。
标准的术后治疗通常包括在手术后约两到四周开始的脑和脊柱放射治疗(放射治疗)(颅脊髓照射)。在放射治疗期间,辐射(通过X射线或其他放射性来源)通过身体的选定区域以损害癌细胞并缩小肿瘤。放射疗法以精心确定的剂量提供,以帮助较小化对正常体细胞的损害。放射疗法是一种重要的辅助疗法,因为它可以损害微小的癌细胞,这些癌细胞太小而无法看到并且可能在手术后留下。这些微观细胞可能导致肿瘤复发。
在晚期患者中,的治疗还可包括在放疗期间或之后用某些抗癌药物(化学疗法)治疗。医生可能会与多种化学治疗药物联合治疗,这些药物在损害肿瘤细胞和/或防止肿瘤细胞增殖方面具有不同的作用模式。已经用于治疗髓母细胞瘤的化学治疗药物包括长春新碱,洛莫司汀,顺铂,环磷酰胺,卡铂或依托泊苷。
可以对3岁以下的婴幼儿进行化疗,而不是放射治疗,以避免放疗的潜在长期副作用。在某些情况下,当这些儿童长大后,可能会建议进行放疗。
由于髓母细胞瘤的成人比儿童少,因此尚未建立成人的合适治疗方案。已经用于治疗儿童的各种化学治疗药物在经常遭受更严重副作用的成年人中效果较差。
髓母细胞瘤新疗法研究
James T. Rutka教授在The molecular genetics of medulloblastoma: an assessment of new therapeutic targets这份研究中概述了遗传对于髓母细胞瘤的作用,以此更好地解释了髓母细胞瘤的分子异常,并对髓母细胞瘤胚胎信号通路异常进行了综合总结。此外,教授描述了目前关于髓母细胞瘤基因状态的研究策略,提出今后治疗髓母细胞瘤的新希望和新方法,例如可采用SNP平台阵列、下代基因测序以及干细胞治疗等。同时,James T. Rutka教授强调,医学研究者需要深入了解髓母细胞瘤的分子生物学,以开发针对这种肿瘤的新型治疗药物。
James T. Rutka教授还是INC国际神经外科医生集团旗下组织国际神经外科顾问团(WANG)成员,与INC一起致力于中外神经外科技术的交流、提高、促进。并且在INC通过国际远程咨询,便可进行书面邮件或视频与JamesT.Rutka教授面对面交流,得到教授的治疗指导。除了James T. Rutka教授,INC还汇集了日本、美国、德国等全国际神经外科教授,不出国门,只要通过远程咨询,在INC就可得到这些国际神经外科教授的亲自咨询。
- 文章标题:髓母细胞瘤能治愈吗?积较手术是当前优选方法
- 更新时间:2020-02-19 18:18:43
400-029-0925




