
髓母细胞瘤发生在小脑的大脑后部。很可能生长迅速,并能扩散到大脑和脊髓的其他区域。100名儿童中有33-35名(33-35%)患有髓母细胞瘤,该瘤在一次诊断时已经扩散。直到最近,医生们还...

髓母细胞瘤发病率是多少? 髓母细胞瘤占0-14岁儿童脑肿瘤的9.2%,发病率为每10万人1.5-2例,此外,有近30%的髓母细胞瘤发病于成年人,一般在40岁以前。髓母细胞瘤的发病率在10岁以前...

髓母细胞瘤(MB)是儿童中较常见的恶性脑组织肿瘤,是主要发生于小脑的原始神经外胚叶恶性脑肿瘤。约占儿童原发性脑肿瘤的20%。是中枢神经系统恶性程度较高的神经上皮性肿瘤之...

医生,我的脑瘤手术成功率有多高?风险大吗? 这可以说是脑瘤患者问到的较多的问题了! 这个问题实际上很难确定回答, 因为患者、家属以及医生对于成功的界定标准都不一样 到底...

在已知的宇宙中,人类大脑是较复杂复杂的仪器。敢在头上动刀的都是一群什么样的医生?欢迎收看INC特别策划的硬核动画科普系列《走进神外手术室》,今天这一期一起来揭秘,一台...

髓母细胞瘤是儿童常见的颅内恶性肿瘤。男性占60%,女性占40%。发病高峰时3岁和8岁。大约2%-5%的髓母细胞瘤与痣样基底细胞癌综合征Gorlin有关:3-5%出现髓母,通常发生于3岁以内,可能...

儿童恶性脑瘤之髓母细胞瘤分型与分期,髓母细胞瘤(medulloblastoma,MB)是中枢神经系统恶性程度较高的神经上皮性肿瘤之一,WHO IV级,占颅内肿瘤的1.84%-6.0%。髓母细胞瘤是儿童后颅窝较常...

髓母细胞瘤存活率高不高?临床治疗及预后前沿进展,什么是髓母细胞瘤?髓母细胞瘤(medulloblastoma)是恶性程度高而预后较差的胚胎性肿瘤,约占颅内肿瘤的4%左右,小儿多见。髓母...

儿童髓母细胞瘤是一种小细胞型的原始外胚层肿瘤,起源于原始未分化的胚胎细胞,多发生于儿童,成人髓母细胞瘤比较少见,发病年龄从16岁至56岁,平均年龄为26岁,男性多于女性,...

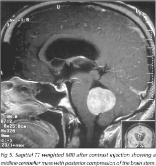
任何出现小脑肿瘤的患者都是手术的候选对象。如果患者情况稳定,可以在下一个可用的手术时间安排手术。通常手术可以等待适当的影像学研究,是脑部和脊柱核磁共振成像。矢...