在孩子的成长路上,最让父母心碎的莫过于突如其来的疾病。尤其当诊断书上写着“恶性脑瘤”时,多少家庭仿佛被推入深渊。
Cathy曾在一次检查中被发现脑内长了一个5厘米的巨大髓母细胞瘤,属于高度恶性,进展快、易复发,一度被认为生存希望渺茫。
但她不仅活了下来,而且术后8年无复发。Cathy是如何赢得这场生命之战的?这一切,要从她13岁那年的一场“头痛”说起…
13岁女孩头痛背后的“致命危机”,竟是巨大肿瘤潜伏
Cathy从小就是家里的开心果,活泼伶俐、爱笑爱闹。但就在她13岁那年,一切悄悄发生了变化。她开始频繁头痛,疼得厉害时还会忍不住呕吐。
吃了止痛药也无济于事,持续了两周也没有好转,甚至还陆续出现走路不稳、看东西重影、说话含糊的症状……
看着女儿症状日益加重,父母再也无法淡定,立刻带着Cathy赶往当地医院。

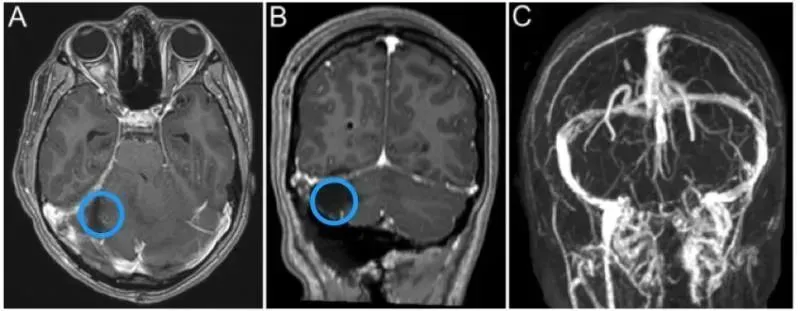
术前影像显示肿瘤侵犯右侧横窦。C冠状位影像显示右侧小脑半球肿瘤侵犯右侧横窦。
当检查结果出来的那一刻,Cathy的父母如遭雷击:她右侧小脑半球有一个巨大占位:尺寸约5.6×5.0×3.4cm——宛如一颗鸡蛋藏在脑中。第四脑室也变得狭窄,还出现了梗阻性脑积水,初步诊断为恶性髓母细胞瘤。
恶性髓母细胞瘤
髓母细胞瘤的高度恶性主要表现在三个方面:生长极其迅速;手术不易全部切除;肿瘤细胞有沿脑脊液产生播散性种植的倾向。
若在转移性播散之前被确诊,70%-80%的患者可能存活下来。髓母细胞瘤的治疗包括手术、放疗和化疗,治疗方案取决于患者的分期或风险分类。
“Cahy现在病情紧急,必须尽快转到专业儿童医院,找经验丰富的专家治疗。”医生的这句话像一把重锤,砸在Cathy父母的心上,他们来不及悲伤,便开始四处奔波,只为给女儿寻找一线生机。
手术面临多重挑战,父母在绝境中找寻希望
Cathy的病情,从一开始就面临着多重挑战。
首先,肿瘤体积巨大,已经对周围脑组织造成严重压迫,加上梗阻性脑积水,随时可能引发颅内压急剧升高,危及生命,必须尽快手术,但巨大的肿瘤也意味着手术操作难度大幅增加。
其次,肿瘤位置特殊且侵犯重要结构。它位于右侧小脑半球,而小脑负责维持身体平衡、协调运动,手术稍有不慎就可能导致患者出现永久性的运动障碍、共济失调等神经功能损伤。
更棘手的是,肿瘤已侵犯右侧横窦,这是颅内重要的静脉回流通道,若手术中为了切除肿瘤而损伤横窦,可能引发大出血、静脉窦血栓等严重并发症,甚至直接导致手术失败。

在当时,很多医生面对这样的病情都面露难色,Cathy的父母在多方打听和病友推荐下,他们找到了INC国际儿童神外大咖James T.Rutka教授。
Rutka教授在详细了解Cathy的情况后表示:Cathy的肿瘤已经很大了,必须即刻接受手术切除以解除占位效应。于是很快,Cathy接受了后颅窝开颅及右侧小脑肿瘤实质内次全切除手术。
术后8年无复发,生命重焕光彩
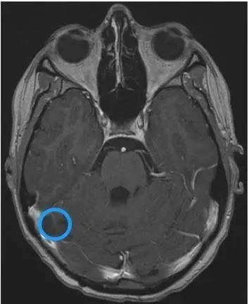
Cathy的手术很顺利,次全切的效果也很好:术后MRI显示Cathy的右侧横窦内小脑实质部分全部切除,有少量强化肿瘤(<1.5c㎡),残留的肿瘤侵犯了右侧横窦和乙状窦的交界处,被认为不适合安全切除,取而代之的是用双极烧灼法凝固该成分。
术后临床检查显示脑神经正常,无明显运动或感觉功能障碍,轻度舒张功能障碍,轻度躯干共济失调。

术后影像显示右侧横窦有一个小的残余肿瘤。C显示右侧横窦局灶性血流缺损。
为巩固手术治疗效果,Rutka教授建议Cathy进行放化疗+自体干细胞移植的联合治疗方案,这将有助于进一步延长生存期、防止肿瘤复发。
很快,Cathy接受了放射治疗,颅脊髓轴23.5 Gy,肿瘤床55.8 Gy,后还接受了高剂量化疗+自体干细胞移植4个疗程。
半年后的随访检查显示,Cathy术后的轻度舒张功能障碍和轻度躯干共济失调已明显好转,日常生活基本不受影响。
而在之后长达8年的随访中,更传来了令人振奋的消息:Cathy的脑部影像未显示任何肿瘤复发迹象,且无任何神经功能缺损(改良Rankin评分0分)。

Cathy是不幸的,小小年纪便遭遇如此重症;但她又是幸运的——及时确诊、专家主刀、系统治疗,加上她自已与家庭的积极配合,才让她从“死亡边缘”走了回来,迎来了人生的全新篇章。如今,她已是一名健康自信的大学生。
在儿童恶性脑肿瘤中,髓母细胞瘤因其高度恶性而著称,能够达到如此良好的预后效果在临床实践中十分少见,这与Rutka教授精心设计的治疗方案和高超的手术水平密不可分。
小儿髓母细胞瘤治疗要点
对于髓母细胞瘤这种曾被视为“儿童噩梦”的恶性肿瘤,INC国际儿童脑瘤大咖James T.Rutka教授在研究中就小儿髓母细胞瘤的治疗总结了以下要点:
01
手术切除髓母细胞瘤是提高生存率较为重要的治疗方法,特别是对有局限性疾病的儿童来说。利用显微手术技术、术中成像和监测以及超声刀CUSA,可使全切除的神经功能缺损降低。当肿瘤浸润到脑干时,神经外科医生需衡量手术的风险和收益,而非激进地手术。
02
放疗是髓母细胞瘤患者治疗方案的一部分,术后辅助放疗可以提高生存率。放射区包括后颅窝和整个神经轴,包括肿瘤细胞的潜在扩散范围。不过,合适的剂量需根据患儿的详细病情制定专属的放疗方案,使其在延长生存期的同时对患儿的生长发育和智力发育损害降至较低。
对于3岁以下的儿童,选择延迟或不予放疗。质子治疗已被用于年轻患者的治疗,因为它的不良反应发生率和辐射毒性均低于传统放疗。常规放疗的一些晚期并发症包括局灶性或弥漫性脱髓鞘、白质坏死、局灶性钙化和微血管病。
03
很多化疗药物也被用于治疗髓母细胞瘤。化疗的目标之一是增强效果、延缓肿瘤生长进程(尤其是对幼儿),甚至是为了避免对幼儿进行放疗。单纯化疗对全切术后非转移性髓母细胞瘤患者是有效的,但对转移性髓母细胞瘤患者却是无效的。
04
髓母细胞瘤术后比较常见的并发症是小脑性缄默症。一般在肿瘤切除手术后48至72小时内出现缄默,不能讲话,可持续数周至数月,其伴有的症状包括肌张力减退、吞咽困难、偏瘫和情绪不稳定。
其他常见的术后临时并发症包括共济失调、偏瘫和伴有颅神经麻痹。因此,髓母细胞瘤的切除手术对于主刀医生的要求极高,否则患儿甚至有可能术后情况大不如前。
INC国际小儿神外专家团

国际儿童神外大咖James T.Rutka教授
教授是世界神经外科联合会(WFNS)执行委员会&顾问委员会成员之一,发表超过500多篇的文章,在临床上的研究方向以颅内肿瘤为主,对胶质瘤、纤维瘤、颅咽管瘤、室管膜瘤具有多年的临床经验,擅长清醒开颅术、显微手术和被广泛用于治疗恶性脑瘤和癫痫的国际前沿技术激光间质热疗(LITT)技术经验,对于儿童胶质瘤,尤其是高级别胶质瘤开展多项临床试验,其所在的医院加拿大SickKids是国际知名的儿童医院之一。
- 文章标题:13岁那年,我差点因脑袋里 “鸡蛋大” 的恶性肿瘤丢掉小命!
- 更新时间:2025-08-28 17:23:39
400-029-0925




