脑膜瘤通常是生长缓慢的良性肿瘤。诊断是基于准确的病史和体格检查,包括鼻内窥镜检查,因为高达15%的患者被报告有鼻内成分它们约占原发性颅内肿瘤的20%,外膜瘤约占颅内脑膜瘤的10%。它们在1835年的《Cruveilhier s Traite d anatomy》中一次被描述。1938年,Cushing报告了28例通过单侧额叶开颅术和额叶下入路切除的病例。他的死亡率是19%OGMs需与其他颅前窝脑膜瘤以及其他颅内肿瘤相鉴别。
脑膜瘤的流行病学
脑膜瘤是怎么引起的?在美国,经病理证实的脑膜瘤的患病率估计约为10万分之97.5,目前有超过17万人被诊断为脑膜瘤。男女比例是2:1。在过去的几十年里,确诊的病人越来越多。目前还不清楚这是一种的趋势,还是越来越准确和更容易获得的成像研究的偏见。
脑膜瘤的危险因素
脑膜瘤的病因有哪些?目前,发现脑膜瘤的主要环境危险因素是暴露于电离辐射。研究表明脑膜瘤的形成增加了6到10倍。较好的例子就是原子弹幸存者患脑膜瘤的风险明显增加。证据还表明,低剂量会增加危险。1948年至1960年间,以色列的儿童因头癣接受了电离辐射治疗他们发生脑膜瘤的相对风险接近。

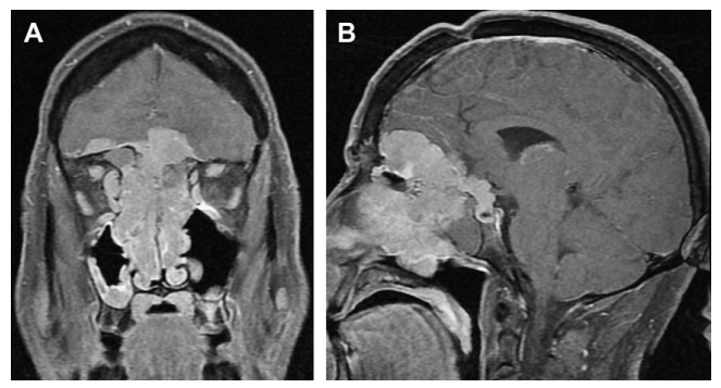
(A)冠状位t1加权增强磁共振成像(MRI)。该患者之前做过外皮瘤切除术。患者无病超过5年,但在6个月的时间里,迅速发展为恶性脑膜瘤,较终死亡,没有额外的治疗。(B)矢状位t1加权增强MRI恶性脑膜瘤来自(A)。
激素和脑膜瘤发展风险之间也有联系。这种相关性较初被提出是因为观察到女性比男性更容易患青春期后疾病。如前所述,在生育高峰期,男女比例为2:1,峰值比例为3.15:1。此外,一些脑膜瘤在组织学上表现为雌激素、孕激素和雄激素受体。研究表明,80%的女性脑膜瘤和40%的男性脑膜瘤存在孕激素受体此外,乳腺癌和脑膜瘤之间也有联系。研究表明,一些脑膜瘤在月经周期和怀孕的不同阶段会改变大小,以及停止雌激素激动剂治疗后患者多发脑膜瘤的消退,这导致了大量的调查试验。
尽管有数据表明激素与脑膜瘤相关,但激素与脑膜瘤发病率的相关性并不一致。脑膜瘤中表达激素受体的意义仍有争议,其意义尚不清楚。一些未来的研究致力于评估这些激素受体,以好转治疗,就像激素受体治疗已经完全改变了乳腺癌治疗。
头部创伤也被认为是脑膜瘤的一个危险因素。少部分的病例对照研究报告了脑膜瘤的风险增加与头部创伤的男性和女性。相反,也有其他的研究没有发现这种联系。
有几份报告证实了神经胶质脑瘤与过敏性疾病如哮喘和湿疹之间的关系,脑膜瘤也证实了这一结论。几乎没有证据能证明这一点。此外,没有职业或工业暴露的患者组发现任何明确的关联。已有一些关于脑膜瘤风险与家族史关系的研究。1%到3%的成年人可能患有脑膜瘤。
尽管如此,有多个成员被诊断为脑膜瘤的家庭还是很少见的。如果家族之间有任何关联,这被认为是由遗传的NF2突变引起的。目前还没有家庭遗传联系的报道。
相关参考资料来源:DOI:10.1016/j.otc.2011.06.001
- 文章标题:脑膜瘤是怎么引起的?脑膜瘤的病因有哪些?
- 更新时间:2021-04-20 10:50:22
400-029-0925




