激光间质热疗(LITT)首先利用前沿的磁共振成像MRI引导技术,神经外科医生可以清晰地识别肿瘤与周围健康脑组织的位置关系,进而制定精确的手术路径。手术过程首先需要在患部皮肤上切一个约2-4毫米宽的小切口,之后在其中插入激光光纤探头,将探头引导到病灶目标所在的位置,利用脉冲激光消融或烧掉肿瘤组织即可。
激光与MRI并用,可以很好地监视大脑的温度,也利于手术团队实时观察沿激光纤维的大脑加热情况,当温度达到约50摄氏度(约122华氏度),只需要几分钟就可以加热并清除脑内病灶,而不用像开颅手术那样需要花费数小时来完成整个手术。

2019年5月,《Neurosurgery》上发表了一则美国神经外科专家等采用分期LITT新方法,治疗1例位于优势半球岛叶的大型少突胶质细胞瘤(WHO Ⅱ级)取得满意的疗效的期刊论文,这代表着LITT在更多的疾病方向上扩展着。
近年来的越来越多临床实践证明,LITT是一种微创治疗颅内病变的有效手段,具有可重复使用的优点,对于邻近脑功能区、位置深、体积小的肿瘤是合理的治疗选择
MRI技术全程引导,准确定位病灶,避免了对周围健康组织的伤害。一般直径<3cm的脑肿瘤可实施单次治疗;对直径≥3cm的病灶需要通过多个轨迹消融整个脑肿瘤。
微创、并发症少:手术切口小,头皮切开不到4mm,颅骨钻孔穿刺即可。为不能耐受开颅术的患者,提供新的治疗选择。
手术时间短:颅内原发性肿瘤的平均LITT时间为2.9小时,大多数患者可在治疗后回家,并可迅速恢复正常活动。而接受常规手术治疗的病人需住院5~6天,然后恢复数周。
无放疗引起的组织损伤,可帮助对立体定向放射外科手术无反应或有放射性坏死(放射治疗引起的组织死亡)的患者。
适用广:放疗后局灶复发的转移瘤、位置深在的恶性胶质瘤、局灶复发的胶质瘤和放射性坏死;无法手术的复发脑膜瘤均是LITT的适应症。对复发胶质母细胞瘤等治疗困难的颅内肿瘤能够进行反复、多方位治疗。
2018年,美国斯坦福癫痫综合治疗中心团队在《Epilepsy Behavior》发表了LITT较新临床治疗效果报告。
可有效减轻或避免开颅手术可能造成的下丘脑损伤。
通常小于48 小时的住院时间也显著提高了治疗效率。
有专家提出其可作为位置深在、不易切除癫痫病灶的主要治疗方法,如果治疗效果欠佳,病灶切除手术可以作为次选方案。
近期研究显示,采用LITT 治疗的颞叶内侧型癫痫的治愈率与标准前颞叶切除术大体相当,而且更有利于患者术后神经及认知功能恢复。
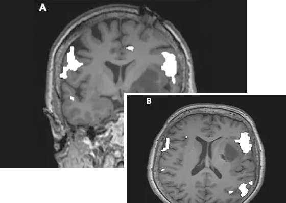
(越来越多的文献报道验证了LITT治疗癫痫的有效性,图片来自INC之加拿大James Rutka教授的学术沙龙PPT)
1983年,Bown 描述了激光间质热疗LITT 技术;
1990 年,Sugiyama 在首次应用LITT
治疗脑部病变。但由于早期技术不甚完善,无法有效控制消融灶周边组织的热损伤,使得该技术应用受到限制。后来随着磁共振技术的发展,磁共振引导下的LITT治疗实现了对消融区域温度的实时监测,逐步突破了这一限制;
2007年,美国FDA 批准了一项MRg-LITT 系统用于脑内病变治疗;
2009年,局部激光间质热疗被美国FDA批准用于治疗颅内疾病;
2010 年,MRg-LITT首次应用于一例儿童癫痫患者。
目前,多个中心现在正在应用MRg-LITT 治疗脑转移瘤、放射性坏死、神经胶质瘤和癫痫。目前,该技术是颞叶内侧型癫痫的主要治疗手段之一,且其临床应用范围还将进一步拓宽。
在INC国际神经外科医生集团的众多国际大师级神经外科专家中,对于各类难治性癫痫有较为丰富治疗经验和大量成功案例的国际教授包括上文提及的加拿大James T. Rutka教授以及国际功能神经外科巨擘、国际立体定向与功能神经外科学会主席、德国汉诺威医学院(MHH)Joachim K. Krauss教授以及当前国际神经外科学院主席美国William T. Couldwell教授。
其中,James T. Rutka教授在小儿癫痫和脑肿瘤的LITT治疗方面尤为擅长,Rutka教授及其带领的SickKids小儿神经外科手术团队,对儿童癫痫的外科手术治疗尤其LITT等方面积累了诸多经验,发表了许多著作。他曾担任国际神经外科学院主席、美国神经外科学院主席、美国神经外科医师协会主席。凭着其在神经外科领域的贡献,他曾获得2016年“加拿大勋章”、2006年“国际微笑勋章”,2019年他还被美国神经外科医师协会(AANS)授予“库欣勋章”(Cushing Medal)。
James T. Rutka教授所在的加拿大多伦多大学儿童医院(SickKids)以及Joachim K. Krauss教授所在的德国汉诺威医学院(MHH)、美国William T. Couldwell教授所在的美国犹他大学医学院都是国际上知名的治疗难治性癫痫的专业医院之一,拥有着前沿的设备和强大的技术、医生实力。

关于加拿大多伦多大学儿童医院(SickKids):建立于1875年,是附属于加拿大多伦多大学的儿童医院,是加拿大较大的集治疗、科研和教学为一体的儿童医院之一,病童医院排名在北美前三。在小儿神经外科领域,SickKids脑瘤研究中心是加拿大较大的专业颅脑疾病研究基地,拥有激光间质热消融、术中清醒开颅术等国际前沿的新技术,不仅配备了术中磁共振成像系统、术中神经导航、术中神经电生理监测等前沿手术设备,还在儿童髓母细胞瘤、颅咽管瘤、脑胶质瘤等疑难儿童脑瘤等方面有很多领先于国际的较新研究成果。

关于德国汉诺威医学院(MHH):成立于1965年,是一所处于国际领先水平的医疗中心及区域医疗中心 。MHH每年获得的科学研究经费一直处于德国医学院前列,并且是德国大学中研究密集程度较高的学校之一 。医学专业排名居德国第3。MHH神经外科是由显微外科、内窥镜、立体定向及介入疗法综合治疗组成,主要集中在功能神经外科、颅底和脊柱外科手术、儿童脑肿瘤手术、颅脑外伤。

关于美国犹他大学医学院(U of U):犹他大学医学院被称为“西部的约翰霍普金斯”,是闻名美国、国际知名的教学性质的综合医院,以研究能力见长。始建于1905年,具有上百年的历史,国际首例人工永久心脏也是诞生在这里,并装入人体。犹他大学的亨斯迈癌症研究所(HCI)更是国际上较大的遗传数据库之一,拥有超过1100万人与家谱、健康记录和人口动态统计数据等的相关信息。
1、门诊病历:含疾病诊断、手术记录、出院小结、目前服用的药物等;
2、影像学资料:术前、术后以及近1个月的影像学资料(CT、MRI、PET-CT等),以电子版Dicom格式为佳;
3、其他疾病相关医疗资料:肿瘤病理检查报告,近两个月的血液化验报告等。
链接/Links: 北京天坛医院 | 首都医科大学宣武医院 | 复旦大学华山医院神经外科 | 脑胶质瘤 | 脑海绵状血管瘤 |