30岁的萱萱2023年3月查出中脑及桥脑右侧占位海绵状血管瘤继发出血。当地医生考虑手术风险大,偏瘫几率大,建议保守治疗。和很多年轻的脑干海绵状血管瘤女性患者一样,步入婚姻的...

30岁的萱萱2023年3月查出中脑及桥脑右侧占位海绵状血管瘤继发出血。当地医生考虑手术风险大,偏瘫几率大,建议保守治疗。和很多年轻的脑干海绵状血管瘤女性患者一样,步入婚姻的她迎接新的小生命。但又怕脑干海绵状血管瘤万一出现急性脑干出血,致患者和胎儿于困境中,又该怎么办?
萱萱多方打听之后,了解到在脑干海绵状血管瘤治疗领域一位国际神外教授巴特朗菲教授,专门研究过孕期海绵状血管瘤的治疗。通过INC他们远程咨询巴教授,巴教授表示这是一个潜在的手术病例,因为有相当大的内出血。然而,手术指征需仔细地被确定,因为这名年轻患者的临床状况好。我们较好在近期与患者单独面谈,详细讨论此事。得到巴教授的回复之后,他们决定再一次亲自面对面咨询巴教授,完全解决这个“不定时炸弹”。

INC巴教授面对面评估
“我有很多病人都患有这种畸形。通常,出过一次血,将来发生出血的可能性很高。而且这个畸形也不太小,至少有2厘米。我们不能指望它可以一直保守下去。另一点是,如果你想要一个孩子,那么出血的风险也很高。这是众所周知的,这是因为怀孕后的激素。与正常情况相比,血液中的怀孕激素会增加更大的可能性。其中一些病变的表面有一个黄体酮的受体。黄体酮会导致新的出血。目前也没有药物可以治疗这个疾病,因此只能手术。这种手术是我的专长。我做过很多这样的手术,结果很好,没有长期性的问题。我在独墅湖医院做了很多手术,他们这里有很好的设施。切除率全切在海绵状瘤中,这是可能的。”
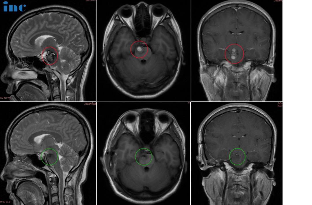
INC巴教授主刀手术后
9月27日,在苏州独墅湖医院,巴教授顺利全切手术,手术后无瘫痪、无视神经损伤、无呼吸控制和昏迷风险。术后当天巴教授前往ICU查房时,已拔除气管插管、已苏醒。萱萱感激说道:“I can see,I can feel,I can move,I have power。”术后一天查房时,萱萱激动地说:“That’s amazing,I feel normal,as the same as(I did the surgery before).So amazing.(这太神奇了,我感觉我和正常无异,和术前无症状时一模一样。太神奇了)”
术后4天查房,萱萱问能不能准备顺利备孕,巴教授告知萱萱脑干海绵状血管瘤已经全切了,备孕可以的。术后6天,萱萱下地行走自如。
术后1个月——2023年11月5月,巴教授示范手术期间,在苏州大学附属独墅湖医院巴教授咨询室我们再次遇到这对可爱的夫妻。30岁的她留着温柔的齐肩发,不像一个经历过开颅手术的人。
提示:本文内容来自网络用户投稿,仅供参考,不做为诊断依据,任何关于疾病的建议都不能替代执业医师的诊断。请以医生诊断为准,不代表本站同意其说法,请谨慎参阅,本站不承担由此引起的任何法律责任。
- 文章标题:30岁年轻女性-脑干海绵状血管瘤,还能孕育新的小生命吗?
- 更新时间:2024-01-09 09:19:59
-
脑干海绵状血管瘤治疗方案?脑干海绵状血管瘤是一种位于脑干的少见血管疾病,由于其...
2023-08-08 14:25:17
-
脑干海绵状血管瘤手术后康复科?脑干海绵状血管瘤手术后的康复科主要包括以下几个方...
2023-09-09 20:19:28
-
射波刀治疗脑干海绵状血管瘤 颅内海绵窦海绵状血管瘤是一种较其少见的海绵状血管瘤...
2022-09-04 13:29:43
-
脑干海绵血管瘤怎么办?脑干海绵状血管瘤是一种少见但严重的脑血管疾病,位于脑干这...
2023-11-14 17:36:55
-
脑干海绵状血管瘤是一种慢性疾病,一旦发现需要积较治疗,才能防止其进一步发展和对...
2023-06-21 15:24:45
-
脑干海绵状血管瘤遗传概率 脑干海绵状血管瘤具有的遗传因素。 脑干海绵状血管瘤有遗...
2023-03-21 14:54:48
-
脑干海绵状血管瘤是一种少见但危险的血管疾病,可导致严重的神经功能障碍和潜在的致...
2024-03-11 11:12:15
-
脑干海绵状血管瘤是一种少见的脑血管疾病,其特点是脑干内的异常血管结构。接下来将...
2024-03-11 13:50:39
-
脑干海绵状血管瘤是一种少见但危险的血管性疾病,治疗方法对于患者的康复和生存至关...
2024-02-23 16:48:45
-
脑干海绵状血管瘤怎么切除? 1、伽玛刀治疗:是一种显微技术,可以通过手术直接切除脑...
2023-03-21 18:02:04
-
脑干附近海绵状血管瘤出血 脑干附近海绵状血管瘤出血应该及时治疗,具体治疗方法请...
2023-03-22 11:06:20
-
年轻患者 考虑到儿童预期寿命长,累积的出血风险大。因此,儿童 脑干海绵状血管瘤...
2023-06-13 16:06:59
-
脑干海绵状血管瘤术后头痛 脑干性海绵状血管瘤术后可引起头痛等症状。 脑干海绵状血...
2023-03-23 16:04:18
-
脑干海绵状血管瘤是一种少见但危险的脑血管疾病,其症状取决于其所在的具体位置和大...
2024-02-27 10:06:34
-
脑干区海绵状血管瘤严重吗 脑干区海绵状血管瘤是一种严重的疾病。脑干作为连接大脑...
2024-03-04 14:23:52
-
脑干海绵状血管瘤的遗传率 脑干海绵状血管瘤有遗传的可能。目前海绵状血管瘤的发病...
2023-03-23 16:15:43
-
儿童脑干延髓海绵状血管瘤?儿童脑干延髓海绵状血管瘤是一种少见但危险的脑血管疾病...
2023-09-01 14:16:05
-
脑干海绵状血管瘤用药方案?对于脑干海绵状血管瘤的药物治疗,目前并没有确切的标准...
2023-08-17 15:30:05
-
脑干海绵状血管瘤的处理主要包括手术治疗、放射治疗和药物治疗等。其中,手术治疗是...
2024-03-11 13:33:51
-
请问脑干海绵状血管瘤会影响寿命吗? 脑干海绵状血管瘤本身不会影响人们的生活,但...
2022-11-02 10:14:30