半卵圆中心脑白质病变是一种神经系统疾病,通常指半卵圆中心脑部位的白质发生异常变化或损害。这种病变可能导致多种症状,其中包括但不限于以下12个方面:

1. 运动障碍: 患者可能出现肌肉僵硬、动作迟缓、运动协调能力下降等症状。
2. 肌张力异常: 包括肌肉痉挛、肌肉痉挛性瘫痪等表现。
3. 步态异常: 可能表现为行走困难、步态不稳、姿势不正常等问题。
4. 震颤: 患者可能出现手部或其他身体部位的震颤。
5. 感觉异常: 包括触觉、疼痛、温度感觉等方面的异常感受。
6. 语言障碍: 可能表现为言语不清、说话困难或失语等症状。
7. 认知障碍: 包括记忆力减退、注意力不集中、思维迟缓等问题。
8. 情绪障碍: 可能出现情绪波动大、易激惹、抑郁等情绪问题。
9. 自主神经系统异常: 如心率变化、血压波动、排尿困难等情况。
10. 眼部症状: 包括视力下降、眼球运动异常等情况。
11. 睡眠问题: 包括失眠、多梦、睡眠质量下降等表现。
12. 认知功能下降: 涉及学习能力、思维灵活性、问题解决能力等方面的问题。
对于半卵圆中心脑白质病变,手术常常是主要的治疗方法之一。手术可以通过减轻脑部压力、减少病变区域的损伤来好转症状,并且可以提高患者的生活质量和功能恢复程度。此外,综合性的治疗方案还包括药物治疗、康复训练等,以多方位提升患者的健康状况。以上是关于半卵圆中心脑白质病变的症状及治疗方法的概述,希望对您有所帮助。
相关案例交流
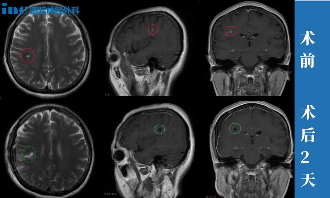
47岁女性,半卵圆中心海绵状血管瘤
简要病史:47岁的邓女士事业如日中天,对于工作,有着较强的责任心及较高的自我要求。一次定期体检却发现右脑额叶深部占位,大小约8mm,医生判断是海绵状血管瘤。咨询了上海的专家,但是医生的解释让他害怕,不建议手术,因为病灶部位太深,靠近功能区,手术风险大。而且目前病灶体积小,建议每年复查随访。查出海绵状血管瘤之后,邓女士发现有时工作太累了会头疼,近期还出现 6~7次无预兆性突然出现眼前漂浮物的现象,很快自行缓解。
治疗过程:2024年3月28日,巴教授中国行期间,一场疑难功能区海绵状血管瘤示范手术,成功拯救了47岁的邓女士于病魔的阴影之中。“I believe you, it’s a very (我很信任您,这是一个)就是正确的选择。”术后2小时,麻醉刚清醒,47岁的邓女士激动地用英语说出自己的术后感受,重新露出了大大的笑脸。
手术1天,顺利出ICU,转入普通病房,交流顺畅、肢体活动正常,恢复良好。“我的手有力量,Thank you very much!”此时的邓女士回归了往日的健谈、声音洪亮、神采奕奕。术后2天,邓女士表示已经可以自主下床活动,“已经可以走来走去”,巴教授查房用中文为邓女士点赞。
术后4天,邓女士已经下床吃饭,“刚刚喝了家里带来的鸡汤”,病房的小饭桌上摆满了邓女士术后的营养餐。手术切口也恢复的好。“巴教授的水平高了!” 笑意盈盈的邓女士向巴教授表达感谢。
- 文章标题:半卵圆中心脑白质病变是什么意思
- 更新时间:2024-04-18 16:17:01
400-029-0925



