什么是大脑镰旁脑膜瘤?
大脑镰旁脑膜瘤是一种发生在大脑镰旁的肿瘤,它起源于脑膜组织。大脑镰是连接大脑左右半球的脑组织,位于脑的中间位置。脑膜是保护大脑的薄膜,脑膜瘤则是在脑膜上形成的肿瘤。
大脑镰旁脑膜瘤手术难度大吗?
大脑镰旁脑膜瘤手术是一种高度复杂、技术要求高的手术。由于其位置靠近重要的神经组织和血管,手术难度较大。手术需要精确的切除瘤体,同时较大水平避免对周围神经组织和血管的损伤。手术中医生需要准确判断瘤体的边界、避免大出血和脑脊液漏出等并发症,因此手术难度较高。
手术成功率
尽管大脑镰旁脑膜瘤手术难度大,但是现代医疗技术的进步使得手术成功率逐渐提高。根据相关研究和医院数据统计,大脑镰旁脑膜瘤手术的成功率通常在80%以上。成功的手术意味着医生能够完全切除瘤体,并且没有严重的手术后并发症出现。手术成功率的提高离不开技术的进步和团队的努力。现代手术器械的发展使得医生能够更加细致地操作,进一步降低了手术风险。医生的丰富经验和准确的手术计划也是手术成功的关键。此外,术后病人的恢复情况也会影响手术的成功率。合理的术后康复计划和病人的配合可以促进手术效果的巩固。
大脑镰旁脑膜瘤是一种在大脑镰旁位置的脑膜肿瘤,手术难度较大。然而,随着现代医疗技术的进步和团队的努力,大脑镰旁脑膜瘤手术的成功率逐渐提高。根据统计数据,手术成功率通常在80%以上。对于患者来说,选择经验丰富的医生和医院,配合术后康复计划,是提高手术成功率的关键。同时,也需要理解手术风险和可能存在的并发症,并在医生的指导下做出明智的决定。
大脑镰脑膜瘤首刀、伽马刀后多发恶化,二刀如何顺利全切
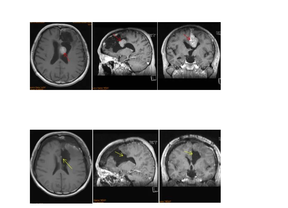
病情回顾:四十多岁赵先生因突发癫痫就医,家人带其MRI检查后发现大脑左额镰旁脑膜瘤,立即在国内某医院进行部分切除。术后需要反复伽马刀治疗,没想到3年后脑膜瘤恶化复发为多发脑膜瘤,复查核磁显示大脑镰前段基本均受累,并有大脑镰右侧肿瘤生长,矢状窦被累及,左侧额部凸面硬脑膜多处肿瘤生长。
治疗过程:多方查询赵先生在病友圈得知INC德国巴特朗菲教授是脑膜瘤、胶质瘤等颅底肿瘤治疗的国际人物,他能为患者实施的肿瘤全切术,于是决定咨询教授能否能够切除颅内多发脑膜瘤,在得到教授肯定的答复后,立即前往德国接受巴特朗菲教授手术。
在术中iMRI、术中神经导航等国内少有的高科技复杂仪器辅助下,巴特朗菲教授为赵先生实施了手术,大脑镰旁及矢状窦旁的肿瘤被完全切除,并地保护了正常的脑组织结构。赵先生术后二天下床进行康复锻炼。神经功能无任何异常,术后13天步行出院。

赵先生术前术后MR对比
- 文章标题:大脑镰旁脑膜瘤手术难度大吗?首刀、伽马刀后多发恶化,二刀如何顺利全切
- 更新时间:2023-09-06 18:51:45
400-029-0925



