视神经胶质瘤是一种常见的颅内肿瘤,起源于视神经路径附近的胶质细胞。它可以发生在任何年龄,但以儿童和青少年较为常见。视神经胶质瘤通常是恶性的,而且生长速度较快,会对患者的视力和生活质量产生严重影响。
视神经胶质瘤会导致失明吗?
视神经胶质瘤的位置使其容易对视神经产生压迫和损害,从而导致视力问题。具体来说,瘤体在生长过程中可能会直接压迫视神经,使其传输视觉信息的能力受到阻碍。此外,瘤体还可能因为肿瘤本身的浸润性生长,侵犯视神经及其周围组织,导致视神经受损。然而,并非全部的视神经胶质瘤都会导致失明。失明的发生与视神经瘤的位置、大小、生长速度以及患者个体差异有关。一些瘤体较小而生长缓慢的患者可能可以维持部分或完整的视力。但在大多数情况下,视神经胶质瘤会对视力产生不可逆的影响,并可能导致失明。
视神经胶质瘤手术风险大吗?
视神经胶质瘤的治疗通常包括手术切除、放射治疗和化学治疗等多种方式。其中手术切除是较常用的治疗方法,对于可切除的瘤体而言。手术的目标是尽可能地切除瘤体,减轻对视神经的压迫,从而保护或恢复受损的视力。然而,手术切除视神经胶质瘤并非没有风险。手术有可能导致一系列的并发症,如出血、感染、视神经损伤等。特别是在视神经与瘤体相连并且狭小的位置,手术更加困难和危险,需要经验丰富的外科医生进行操作。因此,在手术前,医生会对患者的身体状况、瘤体特征等做详细评估,以制定较适合的手术方案。
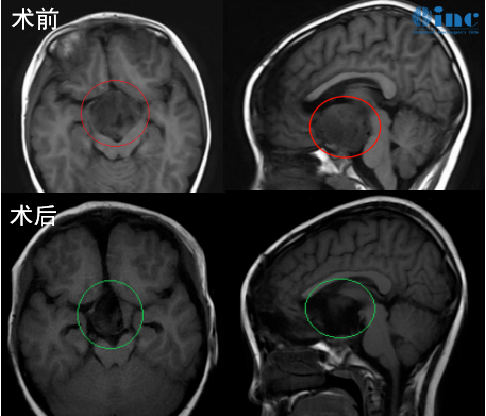
INC德国巴特朗菲教授视神经胶质瘤案例:9岁视神经胶质瘤患儿
病情回顾:2022年6月9岁的悦悦出现头疼、视力下降,检查提示鞍上肿瘤,考虑“颅咽管瘤”,7月予以行鞍区肿块切除术,因肿瘤位于视神经,为保留患者视力仅活检手术,术后病理报告提示鞍区低级别胶质瘤,考虑毛细胞星型细胞瘤WHO1级。而毛细胞星型细胞瘤只要达到顺利切除,孩子可以长期生存。然而手术风险很大,稍有不慎便会造成失明的严重后果......踌躇两难之际,悦悦父母得知了“巴教授来华“的消息。“只要巴教授说可以做手术,我们就不做化疗了”,悦悦父母在找到巴教授之后重拾信心。

治疗过程:后求诊于INC国际神经外科教授,在巴教授主刀下完成了保神经、近全切的手术效果(切除率达到了95%以上),手术结束后一个小时左右苏醒。当天就转到普通病房,术后MR显示肿瘤近全切(95%以上)。术后巴教授去病房查房,孩子对答如流,视力得以保留。悦悦父母终于可以放下心来,孩子都很好,可爱活泼、充满神采,生活都慢慢步入正轨。

术后悦悦可自行玩积木游戏,正常辨别颜色
- 文章标题:视神经胶质瘤会失明吗?
- 更新时间:2023-08-28 18:37:43
400-029-0925


