
INC巴教授示范手术
2026.01.25
1月25日,INC 2026年度学术交流盛会持续进行。在结束“第五届世界神经外科顾问团云端峰会”的行程后,作为INC国际神经外科医生集团旗下世界神经外科顾问团(WANG)成员,巴特朗菲教授再次从上海赶赴苏州——这里有一位勇敢的“脑瘤小勇士”正等待着他。
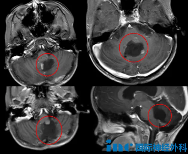
年仅5岁的布布患有后颅窝室管膜瘤,此前已历经两次开颅手术和一次质子治疗,但肿瘤再次复发。年龄小、体重轻、血容量低,加之而肿瘤又深深嵌入脑干背侧,且呈现多发性生长。术中发现的情况比术前影像显示的更为复杂——MRI增强扫描中仅显示为3处强化灶,但实际开颅后,发现存在更多未显影的肿瘤。这一仗,并不好打……

在手术过程中,布布的心率和血压曾一度出现波动,这在复杂的神经外科手术中并不罕见。面对此类状况,如果一旦慌乱而选择匆忙关颅,很可能导致手术前功尽弃,甚至引发不可挽回的后果。而巴教授不仅展现出了艺术般的手术技艺,更具备一种“泰山崩于前而色不变”的沉稳气度。他始终以冷静、专注的姿态把控节奏,游刃有余、精准而稳定地推进着每一个关键步骤。
在手术后第一天上午,布布已平稳转回普通病房。床上的他睁着清澈的双眼,安静地打量这个世界——我们知道,这台极高难度的手术,顺利完成了!

“你感觉怎么样?”坐在床边的巴教授轻轻握住布布的小手,笑容温暖。此时的他,不再是手术台上那位严肃专注的神经外科专家,更像是一位慈爱的爷爷。当教授轻声让他伸出舌头时,布布乖巧地配合完成。“真棒,他很乖的!”在场的所有人也一起为这个小小勇士加油打气。
小小的生命,犹如一棵在风雨中努力扎根的幼苗。成长路上总有狂风骤雨,但在父母永不放弃的守护和医护团队专业坚定的托举下,我们希冀这棵小树终将迎着阳光,向着天空,稳稳地、茁壮地生长下去。
01
后颅窝的肿瘤
一场儿童生命保卫战
后颅窝,是位于小脑幕之下、枕骨大孔之上的颅腔深处。这片狭小却至关重要的区域,容纳着小脑、脑干、第四脑室及多条重要脑神经,是维持呼吸、心跳等基本生命功能的核心“禁区”。
后颅窝室管膜瘤手术,其难度在于:肿瘤往往紧密包裹甚至深深嵌入脑干与高位颈髓——这些调控呼吸、心跳与血压的生命中枢。任何细微的操作偏差,都可能造成不可逆的损伤。同时,肿瘤常与支配吞咽、发声的后组颅神经及小脑脚等重要结构粘连,分离保护极为困难。加之手术空间极其狭窄,周围密布重要的血管网络,主刀医生必须在“毫米级”的精度上,于“全切肿瘤”与“保全功能”之间找到绝佳平衡,这无疑是对技术、经验与决断力的极大考验。
具体到布布的病情,其挑战更为严峻:
首先,肿瘤深深嵌入脑干背侧,手术切除犹如在生命中枢的悬崖边行走,风险极高。
其次,肿瘤呈多发性生长,要想实现“全切”更为不易。
然而,挑战不止于此。神经外科手术本就“如履薄冰”,而小儿神经外科的难度更是“有过之而无不及”。儿童的生理结构并非成人的“缩小版”,其血量少、脑组织更为娇嫩,对手术精度、麻醉管理和术后护理的要求都极高,堪称神经外科“皇冠上的钻石”。

最终,这台“难上加难”的手术,在巴特朗菲教授的主刀与苏州大学附属儿童医院神经外科团队的鼎力配合下,得以顺利完成。
回顾这段治疗之路,最令人动容的,是这个家庭倾尽所有的爱与永不放弃的坚持。
02
家人之爱可抵万难
陪孩子勇战脑瘤
“爱”,这似乎是一个抽象而宽泛的话题。但,在疑难脑瘤的治疗过程中,它却有着无比具体、可被触摸的形状。它是在漫长治疗中,父母那双从未松开的手……
5岁的布布,自2023年因走路不稳被发现颅内肿瘤起,便踏上了这条崎岖之路。同年9月,他接受了第一次后颅窝肿瘤切除手术,术后病理诊断为室管膜瘤。然而,病魔并未远离,2024年5月肿瘤复发,再次手术后的病理结果升级为更具侵袭性的间变性室管膜瘤(WHO 3级)。手术带来了严重的神经功能影响——斜视、四肢无力、吞咽困难、言语迟缓……
一个个难题接踵而至。在完成质子放疗后,近期复查的影像疑似再次复发:术区边缘出现可疑结节,并与生命中枢延髓紧密粘连。
面对一次次打击,布布的家人从未放弃。路可以走慢一点,可以坑坑洼洼,但是我们要一步一步的走向正确的路。正是在这份绝不言弃的坚持中,巴教授“可以手术”的评估,如同至暗时刻透进的一束光,为这个揪心的家庭重新点燃了希望。
布布年纪虽小,但他小小身体的顽强生命力让人赞叹,其背后父母的付出亦是旁人难以感同身受的,这份全力托举的爱将是他这生最大的底气。愿这份源自爱与坚持的守护,能护佑他在未来的日子里,一步步走向更明亮的远方。
“巴爷爷”,这声稚嫩的呼唤,承载了太多生命的重量。
在神经外科这条布满荆棘的道路上,无数家庭曾感到前路无门。但总有一群人,用他们的“神奇之手”创造出一个个看似不可能的奇迹,为孩子们推开通往希望的大门。
400-029-0925


