问:脑干胶质瘤后期症状有哪些?
答:脑干胶质瘤是发生在脑干的肿瘤。它较常见于20岁以下的儿童和青少年,但也见于30至40岁的成年人。这些肿瘤生长迅速,侵袭性强,难以治疗。预后取决于肿瘤的位置。这些肿瘤可以发生在大脑的三个部位。一些脑干胶质瘤发生在中脑,在大脑的中心深处。另一些发生在脑桥上,也就是中脑下面的部分。位于脑桥和脊髓之间的延髓也容易患胶质瘤。
大多数脑干肿瘤发生在脑桥上。这些肿瘤被称为桥脑胶质瘤,影响面部周围的神经和肌肉。这会导致复视等问题,并使患者难以咀嚼或吞咽食物。随着肿瘤的生长,患者可能会出现行走困难或四肢无力的情况。

•呕吐,例如早晨醒来不久或剧烈运动后呕吐。
根据脑干胶质瘤的位置不同,患者可能还会出现脑积水,这是一种脑脊液在大脑中积聚的情况。患有这种疾病的人可能会经常头痛、行走困难、保持身体平衡以及胃部不适。病人也可能会抱怨他们的一侧脸感觉不到,或者他们的一半脸看起来下垂。
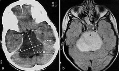
医生通过磁共振成像(MRI)检查诊断脑干胶质瘤。这些非侵入性测试使他们能够观察大脑内部是否存在肿瘤。他们也可以使用计算机断层扫描(CT),尽管这些测试通常不如核磁共振(mri)那么精确。
脑干神经胶质瘤患者在治疗方面的选择有限。肿瘤位于大脑的敏感部位,往往会迅速扩散到整个区域,因此医生通常无法进行手术。放射治疗也是一种危险的选择,因为高剂量可能会对脑干造成长期性损伤。
尽管有风险,放疗是优选的治疗方法,因为脑干胶质瘤肿瘤通常对放疗的反应比化疗更好。一些医生还会开一些药物来控制继发性症状。皮质类固醇可以减少炎症,而其他药物——如地塞米松——可以控制肿胀。
患有脑桥胶质瘤或脑桥肿瘤的患者通常在确诊后活不过一年。髓质或中脑胶质瘤存活的几率要高得多。接受放射治疗的病人有大约65% - 90%的机会长期存活。
相关阅读:高难度脊髓-脑干胶质瘤95%以上切除后,命悬一线的她活了下来
- 文章标题:脑干胶质瘤后期症状有哪些?
- 更新时间:2020-10-03 22:28:25
400-029-0925




