(爱恩希)INC国际-国内中文
(爱恩希)INC国际
联系INC
寻求咨询意见
(爱恩希)INC国际咨询电话400-029-0925

严重吗

INC——国内外神经外科学术交流平台

INC > > 严重吗
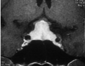
  • 右丘脑垂体瘤是什么病变、右丘脑钙化占位病变严重吗?

    右丘脑垂体瘤是什么病变、右丘脑钙化占位病变严重吗?

    2025-07-15 15:53:12

    右丘脑与垂体构成的神经内分泌轴心,堪称人体激素调节的精密仪表盘。当这个区域发生占位病变时,症状往往隐匿却影响深远从难以捉摸的内分泌紊乱到...

  • 脑垂体瘤严重吗?治疗最好方法?定期复查吗?

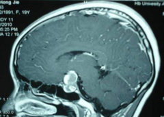
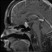
    脑垂体瘤严重吗?治疗最好方法?定期复查吗?

    2025-05-30 18:00:48

    当 脑垂体瘤 这个诊断跃入眼帘时,患者常陷入认知的迷雾:这个藏匿于大脑深处的肿瘤究竟是潜伏的定时炸弹,还是可被驯服的慢性病?治疗选择如同迷宫...

  • 功能性垂体瘤严重性、影像检查和治疗

    功能性垂体瘤严重性、影像检查和治疗

    2025-04-28 16:29:04

    功能性垂体瘤是一种较常见的内分泌肿瘤,影响到垂体分泌激素的正常功能,从而对身体健康造成一系列影响。本文将深入探讨功能性垂体瘤的严重性、相...

  • 鞍区占位病变是什么意思?垂体瘤鞍区占位严重吗?

    鞍区占位病变是什么意思?垂体瘤鞍区占位严重吗?

    2025-04-02 17:49:35

    在日常生活中,许多人可能会对鞍区占位病变这个术语感到陌生。然而,这个概念其实在医学界,尤其是神经外科的领域中,具有重要的意义。鞍区是指位...

  • 鞍区占位垂体瘤都包绕血管吗?脑膜瘤严重吗?

    鞍区占位垂体瘤都包绕血管吗?脑膜瘤严重吗?

    2025-04-02 17:30:16

    在神经外科领域,鞍区占位性病变如垂体瘤和脑膜瘤,常常让患者和家属感到困惑与焦虑。了解这些病变的特征、影响及其治疗方式,是缓解这种焦虑的关...

  • 生长激素型垂体瘤生存期

    生长激素型垂体瘤生存期

    2019-12-12 17:16:24

    生长激素型 垂体瘤生存期 ?生长激素型垂体瘤是垂体瘤的一种类型,过多的生长激素产生源于腺瘤,或在某些遗传条件下发生的生长激素增生,如McCune-Al...

  • 垂体瘤能活多久?垂体瘤手术完整切除的意义

    垂体瘤能活多久?垂体瘤手术完整切除的意义

    2019-09-12 17:37:17

    垂体瘤是指发生在垂体上的肿瘤,是常见的神经内分泌肿瘤,早期危害比较小,但由于脑垂体功能众多,垂体瘤也会给人带来诸多麻烦。脑垂体是机体内分...

  • 问:垂体瘤会缩短预期寿命吗?

    问:垂体瘤会缩短预期寿命吗?

    2019-10-10 18:04:40

    问: 垂体瘤 会缩短预期寿命吗? 答:垂体瘤如果治疗得当且患者接受了适当的激素替代,则不应缩短预期寿命。在大量的人群研究中,由于脑血管疾病(...

  • 垂体瘤严重吗?有哪些垂体瘤治疗方法?

    垂体瘤严重吗?有哪些垂体瘤治疗方法?

    2019-09-11 09:50:23

    豌豆大小的脑垂体,看似小巧却体控制了人体许多重要的东西,比如成长,心率和生孩子的能力。它有时被称为主腺,因为它控制着其他腺体何时产生更多...

  • 垂体瘤严重吗?持续头晕目眩、视力模糊就要小心了!

    垂体瘤严重吗?持续头晕目眩、视力模糊就要小心了!

    2020-08-26 14:59:16

    垂体瘤是发病率约占颅内肿瘤的8%-15%,仅次于脑胶质瘤和脑膜瘤,其发病症状主要为激素紊乱、头晕头痛、视力下降、尿崩等,患者持续出现以上症状应保...

  • 泌乳素垂体瘤严重吗?

    泌乳素垂体瘤严重吗?

    2019-12-09 17:30:20

    泌乳素 垂体瘤 是长在脑垂体上的常见良性肿瘤(简称泌乳素瘤)。泌乳素瘤产生过量的催乳激素。主要的影响是降低一些性激素的水平--女性的雌激素和男性...

  • 脑垂体瘤严重吗?神经内镜和显微经蝶窦入路切除垂体瘤

    脑垂体瘤严重吗?神经内镜和显微经蝶窦入路切除垂体瘤

    2019-12-06 16:09:04

    脑垂体瘤严重吗? 垂体瘤是在鞍区较常见的良性肿瘤。其发病率为8.2-14.7 / 100000,占全部颅内肿瘤的10%-15%。就患病率而言,垂体瘤仅次于胶质细胞瘤和...

  • 在生活中如何预防垂体瘤?

    在生活中如何预防垂体瘤?

    2022-03-08 14:19:25

    垂体瘤往往会给人们的健康带来较大的隐患。垂体瘤的症状表现在垂体中的各种内分泌细胞可产生相应的内分泌细胞腺瘤,导致内分泌功能障碍。内分泌功...

  • 脑垂体瘤能活多久?有什么治疗方法能延长生存期周期?

    脑垂体瘤能活多久?有什么治疗方法能延长生存期周期?

    2019-09-11 18:03:07

    问:脑垂体瘤能活多久?有什么治疗方法能延长生存期周期 答: 脑垂体瘤能活多久的生存统计数据复杂,需详细地解释。由于这些统计数据是基于一群人...

  • 垂体瘤虽然小但危害大

    垂体瘤虽然小但危害大

    2021-09-10 17:05:24

    垂体本身是位于大脑中的一个内分泌器官,正常脑垂体的体积很小,像颗蚕豆,长约10~16mm,宽约8~10mm。你别看它小,垂体可以说是人体内分泌系统的指挥中...

  • 女性脑垂体瘤的症状有哪些呢?能活多久?

    女性脑垂体瘤的症状有哪些呢?能活多久?

    2022-03-08 16:41:55

    女性脑垂体瘤的症状是什么?脑垂体瘤是一种常见的颅内肿瘤,在女性垂体瘤患者中也很常见。女性朋友脑垂体瘤的发病率有增加的趋势。女性脑垂体瘤的...

  • 儿童垂体瘤的危害有哪些?

    儿童垂体瘤的危害有哪些?

    2022-02-25 11:14:03

    儿童垂体瘤对儿童危害很大。儿童垂体瘤的预防对儿童的健康成长重要。因此,了解一些预防垂体瘤的方法对父母来说重要。儿童垂体瘤的预防方法是什么...

  • 垂体瘤的危害有哪些?

    垂体瘤的危害有哪些?

    2022-03-09 11:47:47

    垂体瘤有很多种,有的危害很大,有的危害很小,有的患者在肿瘤初期没有任何症状和体征。值得注意的是,垂体瘤患者常出现颅内压升高的症状,即头痛...

  • 垂体瘤是什么病?严重吗

    垂体瘤是什么病?严重吗

    2022-02-25 14:25:49

    近年来,垂体瘤患者的数量急剧增加。垂体瘤给人们带来了较大的痛苦。那么,什么是垂体瘤呢?垂体瘤,又称垂体瘤,是一种生长在垂体上的肿瘤,多为...

  • 脑垂体瘤有什么危害?手术危险吗?

    脑垂体瘤有什么危害?手术危险吗?

    2022-03-08 15:04:56

    垂体肿瘤实际上是一种常见的疾病,我相信我们对垂体肿瘤并不陌生,垂体肿瘤的风险系数相当高,很可能导致患者的生命结束。为了对垂体肿瘤的症状有...

  • 脑垂体瘤严重吗?脑瘤晚期的症状是什么?

    脑垂体瘤严重吗?脑瘤晚期的症状是什么?

    2022-03-28 15:36:50

    脑垂体瘤严重吗? 垂体瘤是否严重是相对的。因为它是一种肿瘤,而且是颅内的,所以垂体瘤是一种严重的疾病;但患有垂体瘤后,不要太紧张,一般经过...

  • 垂体瘤严重吗:脑垂体瘤严不严重?

    垂体瘤严重吗:脑垂体瘤严不严重?

    2022-03-09 11:20:41

    由于垂体肿瘤是一种垂体肿瘤,又称垂体腺瘤,是一种常见的神经内分泌肿瘤。值得庆幸的是,多数垂体腺瘤都是良性肿瘤。由于垂体在内分泌系统中起着...

  • 垂体瘤危害大吗?垂体瘤严重吗?

    垂体瘤危害大吗?垂体瘤严重吗?

    2022-03-09 11:09:10

    垂体瘤是一组从垂体前叶、后叶和颅咽管上皮残余细胞中发生的肿瘤。临床症状明显的患者约占颅内肿瘤的10%。男性略多于女性。垂体瘤通常发生在青壮年...

  • 垂体瘤和颅咽管瘤有什么区别?颅咽管瘤和垂体瘤哪个严重

    垂体瘤和颅咽管瘤有什么区别?颅咽管瘤和垂体瘤哪个严重

    2022-04-25 14:11:34

    颅咽管瘤与垂体瘤的区别:颅咽管瘤和垂体瘤都是生长在鞍区的肿瘤。颅咽管瘤是先天性的,是由母亲怀孕和胚胎怀孕引起的先天性肿瘤...

  • 垂体瘤检查哪些项目?垂体瘤严重吗?

    垂体瘤检查哪些项目?垂体瘤严重吗?

    2022-03-08 15:15:33

    垂体瘤针对身体的损害较为比较严重,给病人提供了很大的繁琐和痛楚。脑下垂体坐落于人脑正中间和眼睛后才,脑下垂体是身体内分泌系统的压根,操纵...

  • 良性脑垂体瘤能活多久

    良性脑垂体瘤能活多久

    2022-07-04 11:29:38

    良性脑垂体瘤术后能活多久? 根据具体情况分析垂体瘤能存活多少年。大多数垂体瘤预后良好,不会影响患者的寿命。侵袭性垂体瘤在手术切除后容易复发...

  • 鞍区占位垂体瘤严重吗?

    鞍区占位垂体瘤严重吗?

    2022-06-30 16:54:05

    鞍区占位垂体瘤严重吗? 如果患者有鞍区,这些患者可能有垂体瘤,患者的病情是否严重,需结合患者的具体情况来确定。如果有些患者占用效果不大,垂...

  • 儿童脑垂体瘤能活多久?

    儿童脑垂体瘤能活多久?

    2022-06-30 15:30:54

    儿童脑垂体瘤能活多久? 儿童垂体瘤可存活十年。一般来说,99%的垂体瘤是良性的,不影响患者的生存周期;少数是侵袭性垂体瘤,会影响患者的生存期。...

  • 侵袭性垂体瘤:侵袭性垂体瘤复发严重吗?

    侵袭性垂体瘤:侵袭性垂体瘤复发严重吗?

    2022-07-04 13:50:55

    侵袭性垂体瘤 侵袭性垂体瘤是指向周围组织侵袭性生长的垂体瘤。 侵袭性垂体肿瘤容易影响垂体的功能。同时,它也可能侵入周围组织,引起神经功能障...

  • 垂体瘤术后注意事项 垂体瘤术后能活多久

    垂体瘤术后注意事项 垂体瘤术后能活多久

    2022-07-01 13:56:55

    垂体瘤术后注意事项和常见问题 单鼻孔进入垂体瘤后的注意事项如下: 1.注意鼻流液或咽部有咸水下流,判断是否有脑脊液泄漏。如果确认有脑脊液泄漏,...

  • 垂体瘤术后能活多久

    垂体瘤术后能活多久

    2022-07-01 13:26:24

    良性垂体瘤术后能活多久? 在临床实践中,垂体瘤患者的存活时间不确定,差距也很大。因为垂体瘤是一种相对可治愈的疾病,如果能及早发现的话.在这...

  • 脑垂体瘤能活多久?女性脑垂体瘤能活多久

    脑垂体瘤能活多久?女性脑垂体瘤能活多久

    2022-07-01 13:36:56

    女性脑垂体瘤能活多久? 女性脑垂体瘤的发病率与男性没有太大区别。就某些类型而言,女性的发病率可能更高。PRL类型。一般来说,女性垂体瘤能活多久...

  • 脑子里长垂体瘤严重吗?

    脑子里长垂体瘤严重吗?

    2022-07-01 11:40:29

    脑子里长个垂体瘤严重吗? 垂体瘤在大脑中生长是一件严重的事情。由于垂体瘤主要分为两大危害: 1.占位效应,因为肿瘤会继续生长,但生长速度有的差...

  • 良性脑垂体瘤能活多久?

    良性脑垂体瘤能活多久?

    2024-03-28 18:08:20

    良性脑垂体瘤能活多久?良性脑垂体瘤患者的生存期与其肿瘤大小、生长速度、是否影响内分泌功能以及是否得到及时恰当的治疗等因素密切相关。一般来说...

  • 脊索瘤严重的症状表现有哪些?垂体瘤与脊索瘤的区别?

    脊索瘤严重的症状表现有哪些?垂体瘤与脊索瘤的区别?

    2023-07-20 13:24:15

    脊索瘤严重的症状表现有哪些? 脊索瘤的严重症状表现如下: 1.运动功能障碍:脊索瘤可压迫脊髓或相关神经根,导致肢体活动能力下降、运动无力、肌肉萎...

  • 垂体瘤包绕左侧海绵窦严重吗

    垂体瘤包绕左侧海绵窦严重吗

    2024-03-14 10:46:21

    垂体瘤包绕左侧海绵窦是一种严重的病情,可能对患者的生活质量和预后产生严重影响。手术切除可能面临较高的风险和困难,而药物治疗和放疗可作为辅...

  • 垂体瘤左侧海绵窦受侵严重吗

    垂体瘤左侧海绵窦受侵严重吗

    2024-03-15 13:26:26

    垂体瘤左侧海绵窦的受侵严重程度可能会影响患者的治疗选择和预后。接下来小编将详细介绍垂体瘤左侧海绵窦受侵的严重性,并介绍相关的诊断方法和治...

  • 垂体瘤鞍区占位病变能活几年

    垂体瘤鞍区占位病变能活几年

    2023-12-14 17:12:44

    垂体瘤鞍区占位病变能活几年?垂体瘤鞍区占位病变的预后和寿命依赖于多种因素,如肿瘤的性质、大小、生长速度、是否分泌激素以及患者的整体健康状...

  • 68岁脑垂体瘤不治疗能活多久?

    68岁脑垂体瘤不治疗能活多久?

    2024-03-25 17:17:39

    68岁脑垂体瘤不治疗能活多久?脑垂体瘤患者的存活时间受多种因素影响,包括病情的发展程度、肿瘤的性质、患者的整体健康状况以及是否接受治疗等。因...

  • 垂体瘤侵及海绵窦严重吗

    垂体瘤侵及海绵窦严重吗

    2024-03-14 14:04:17

    垂体瘤侵及海绵窦是一种严重的疾病,其严重程度取决于瘤体的大小、位置,以及对周围结构的影响。该疾病可能导致多种症状和并发症,如视力改变、内...

  • 垂体瘤是颅内肿瘤吗严重吗

    垂体瘤是颅内肿瘤吗严重吗

    2024-02-19 16:01:48

    是的,垂体瘤是一种颅内肿瘤。垂体腺位于颅腔底部,它分泌多种重要的激素,调节人体的内分泌系统。垂体瘤是由于垂体腺细胞异常增殖而形成的肿瘤。...

  • 老人脑垂体瘤能活多久寿命?

    老人脑垂体瘤能活多久寿命?

    2024-04-16 17:55:29

    老人脑垂体瘤能活多久寿命?老人脑垂体瘤的寿命预期和治疗方式的选择是一个复杂而个体化的问题,无法简单地给出一个确定的答案。因为每个老人的具体...

  • 垂体瘤能完全治好吗?能活多久?

    垂体瘤能完全治好吗?能活多久?

    2024-05-27 18:53:32

    垂体瘤能完全治好吗?能活多久?垂体瘤,也称为垂体腺瘤,是发生在脑底部垂体腺的肿瘤,大多数情况下是良性的。能否完全治愈以及患者的预期寿命,很...

  • 良性垂体瘤会影响寿命吗?

    良性垂体瘤会影响寿命吗?

    2024-03-29 19:11:28

    良性垂体瘤会影响寿命吗?良性垂体瘤在程度上可能会影响患者的寿命,但这种影响并不是的,取决于多种因素,如肿瘤的大小、位置、治疗方式以及患者的...

  • 海绵窦垂体瘤严重吗怎么治疗好

    海绵窦垂体瘤严重吗怎么治疗好

    2024-03-15 14:26:53

    海绵窦垂体瘤是一种较为严重的疾病,治疗方案需要综合考虑患者的具体情况。一方面可以选择手术切除瘤体,但手术风险较高;另一方面,放射治疗和药...

  • 垂体瘤放疗后遗症有哪些危害?有这7个危害!

    垂体瘤放疗后遗症有哪些危害?有这7个危害!

    2024-06-28 14:06:17

    垂体瘤是一种常见的脑部肿瘤,放疗是其主要治疗方式之一。然而,放疗可能会带来一些后遗症,对患者的生活质量和健康造成的影响。垂体瘤放疗后遗症...

  • 无功能性垂体瘤吃药能消除吗?保守治疗能活多久?

    无功能性垂体瘤吃药能消除吗?保守治疗能活多久?

    2024-07-02 18:29:45

    无功能性垂体瘤吃药能消除吗?保守治疗能活多久? 无功能性垂体腺瘤,也称为非分泌性垂体腺瘤,是一种通常不会分泌过多激素的垂体肿瘤。这类肿瘤的治...

  • 侵袭性垂体瘤能治好吗能活多久

    侵袭性垂体瘤能治好吗能活多久

    2024-03-01 15:42:00

    侵袭性垂体瘤是一种恶性肿瘤,治愈和预后与肿瘤的侵袭程度、治疗方法以及患者的整体健康状况等因素密切相关。尽管每个病例都是独特的,但随着医学...

  • 生长激素垂体瘤能治好吗能活多久

    生长激素垂体瘤能治好吗能活多久

    2024-07-16 14:49:28

    生长激素垂体瘤,作为一类影响人体内分泌平衡的肿瘤,其存在不仅对患者的生活质量造成严重影响,还常常引发一系列严重的健康问题,如肢端肥大症、...

  • 生长激素垂体瘤生存期多久

    生长激素垂体瘤生存期多久

    2024-07-17 15:14:58

    生长激素垂体瘤(GH腺瘤)是一种较为常见的垂体腺瘤,主要通过手术、药物和放射治疗进行管理。生长激素垂体瘤生存期多久?生存期因个体差异和治疗...

  • 侵袭性垂体瘤能活几年?能治好吗能活多久?

    侵袭性垂体瘤能活几年?能治好吗能活多久?

    2025-03-31 17:45:43

    侵袭性垂体瘤是一种相对罕见但复杂的疾病,它影响了许多患者的生活质量与生命预期。这种肿瘤虽然来自垂体,但由于其生物学特征,往往比一般的垂体...

  • 垂体瘤20mm严重吗?

    垂体瘤20mm严重吗?

    2024-06-25 19:34:23

    垂体瘤20mm严重吗?垂体瘤,作为颅内的一种常见肿瘤,其大小、位置和性质都是评估其严重性的关键因素。当垂体瘤的直径达到20mm时,我们需要从多个角度...

  • 垂体瘤放疗后遗症严重吗能治好吗

    垂体瘤放疗后遗症严重吗能治好吗

    2024-06-28 13:45:59

    垂体瘤是一种常见的颅内肿瘤,起源于垂体腺细胞。放疗是治疗垂体瘤的常用方法之一,对于一些不适合手术的患者,放疗可以合适地控制肿瘤生长。然而...

  • 良性脑垂体瘤患者一般寿命?

    良性脑垂体瘤患者一般寿命?

    2024-04-07 17:26:55

    良性脑垂体瘤患者一般寿命?良性脑垂体瘤患者的寿命与多种因素相关,但一般来说,如果得到适当的治疗和管理,良性脑垂体瘤并不会影响患者的预期寿命...

  • 垂体瘤鞍上生长严重吗能治好吗

    垂体瘤鞍上生长严重吗能治好吗

    2024-03-13 11:53:20

    垂体瘤鞍上生长是一种严重的疾病,可能会对患者的健康状况产生影响。治愈垂体瘤的可能性取决于多个因素,包括肿瘤的类型、大小、分泌激素的种类以...

点击查看更多