5岁男孩涛涛出现容易摔跤、生长发育落后,竟查出脊髓空洞严重,小脑扁桃体疝……
孩子们生病,对于每个家庭来说都是迎头一棒,难以接受。更为现实的问题是,一旦孩子得了重疾,随之而来的是几个家庭的生活都发生了巨变。这个时候该如何对待呢?自己对自己负责,对孩子负责,去投入到孩子的治疗之中、投入到要继续的生活之中,在我们的能力范围之内和能逆转的范围之内去取得更好的生活!绝望焦急之下,涛涛的父母远程咨询了INC意大利Concezio Di Rocco教授后,他们才算得到了更明确的治疗方案,重燃了治疗的信心。

“我真心希望这能够对孩子的治疗决策有帮助。这个孩子可爱,我希望他能有很好的疗效。”在国际小儿神经外科领域,有这样一位慈祥谦逊、名声享誉海内外的小儿神外教授,他是INC国际神经外科医生集团旗下国际神经外科顾问团的成员,也是国际儿童颅底学会创始人,曾任国际神经外科联合会教育委员会共同主席以及国际儿童神经外科学会主席Concezio Di Rocco教授,目前他还是国际儿童神经系统杂志《Child´s Nervous System》现任主编以及国际神经外科联合会基金小儿脑积水项目负责人。Di Rocco教授还是欧洲儿童神外住院医师规范化培训创始人。在2019年获得了国际神经外科联合会(WFNS)终身成就奖。
关于小儿神经外科咨询理念,Di Rocco教授这样说到:

在面对神外疑难杂症的过程中,大部分患者都会面临各种各样的困境或艰难的选择。每一次的治疗及其结果是不可逆的,因此需要慎重,因为也许就能改变一位患者的命运。
Di Rocco教授INC远程咨询案例——5岁男孩涛涛容易摔跤、生长发育落后
酸中毒、脑电波异常、脊髓空洞严重,
小脑扁桃体疝该如何治疗?
病史分析:涛涛因生长障碍、无明显诱因跑步时经常跌倒以及几乎每月一次发作并表现为食欲不振、发烧和呕吐的酸中毒而接受了医学检查。酸中毒的发作,有时在进食后腹痛后出现,通过补液治疗得到缓解。尽管进行了多次检查,包括胃镜检查,酸中毒的病因仍不清楚。在过去的几个月里,给予神经营养药物和胃肠道药物后,酸中毒也有所好转。
2021年12月,完善24小时视频脑电图提示:有异常脑电波(脑电图结果见附件),但涛涛无癫痫发作病史,因此,没有进行抗癫痫治疗。
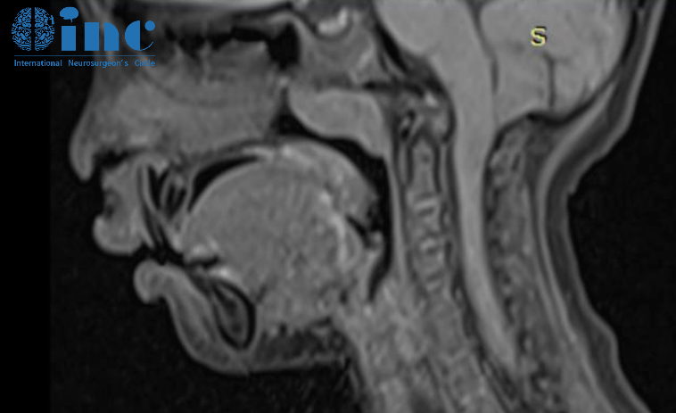
2022年1月初进行的全脑和脊髓MRI检查显示小脑蚓部和扁桃体疝以及脊髓空洞腔,从C4到T11更明显(但也涉及到了脊髓的较尾部),没有任何明显的脊髓栓系的证据。


小脑结构的下降几乎完全闭塞了脑池的空间,明显干扰颅脊交界处的脑脊液循环。

CT重建提示颅脑比例失调,这是因为大脑凸面的蛛网膜下腔体积减小,小脑蚓部向上迁移,以及与小脑中度过度生长相关的小脑幕的向上移位。

尽管脊柱MR没有证实脊髓的栓系,但在圆锥体位置正常甚高于正常位置的儿童中曾报道终丝牵拉征。考虑到这方面,Di Rocco教授建议涛涛躺在俯卧的体位下再重复脊柱MRI检查可能是有用的。
Di Rocco教授治疗建议
即使涛涛的临床状况有所好转,并且他没有抱怨头痛或其他症状,也应该考虑手术矫正I型小脑扁桃体异常。由于颅底脑脊液循环的障碍,脊髓空洞症很可能从其已经很长的范围发展到全脊髓空洞症。
考虑到目前良好的神经系统状况,我会选择枕下中线开颅术和Cl后弓切除术。在我们的大多数病例中,这种手术足以控制病情,甚至从长远来看(手术矫正后几个月)脊髓空洞症得到消退。
如果脊髓空洞症进一步发展,那么有可能继续进行二种更具侵入性的技术,即颅内的方式,部分切除小脑扁桃体和扩大硬膜成形术。
Di Rocco教授为患儿家属答疑解惑
1.孩子记忆力、言语和活动正常,脑电图异常、酸中毒的原因是什么?脑电波异常、脊髓空洞症和酸中毒是否相关?
A:代谢性酸中毒经常发生在各种事件后的幼儿中,例如:胃肠炎,可能与恶心、呕吐、喂养不良、体重减轻、生长迟缓和Kussmaul(快速、深)呼吸等症状有关。睡眠期间的慢波爆发在儿童年龄段也相对常见,并且在青春期后往往会消失。上述两种异常都与脊髓空洞症没有任何因果关系,脊髓空洞症本质上是脑脊液(CSF)动力学的紊乱。另一方面,症状性脊髓空洞症,虽然少见,但有可能通过导致代谢性酸中毒的呼吸系统问题表现出来(但该患儿的情况并非如此,因为他的脊髓空洞症尚未表现出明显的神经系统表现)。
2.患儿小脑扁桃体疝的程度不是很严重,但脊髓空洞症却很严重。后颅窝手术减压对缓解患儿脊髓空洞症的效果是否明确?手术时机如何把握?
A:患儿的小脑扁桃体的下降不是很,但足以几乎消除枕大池并损害颅内和脊髓之间的脑脊液循环。这种情况和继发性脑脊液动力学改变是脊髓空洞症的常见原因。
立即进行颅骨减压可以减轻脊髓空洞症(手术效果不是立即的,可能需要几个月的时间)并避免其进展。如果骨减压(低风险手术)的作用不够,则可能需要切除小脑扁桃体的下,并通过扩大颅骨成形术来增大后颅窝的体积(该手术更复杂且风险更大,因此只有在简单骨减压失败后才应考虑)
3.如果手术,是否有副作用或并发症?或者对孩子以后的成长是否有影响?手术时长大概多久?麻醉药物对他的记忆力和智力是否有影响?
A:后颅窝骨减压术的并发症较为少见。手术不会影响孩子的神经系统状况,也不会影响他的成长。另一方面,小脑扁桃体和蚓部切除的颅内手术是一种手术,可加重并发症,比如脑积水。

复杂如迷宫一般的颅底
4.如果不手术,脊髓空洞症会影响他的生长发育吗?因为孩子现在生长速度很慢,比同龄人矮很多,体重增长也缓慢。脊髓空洞症是由小脑扁桃体下疝引起的吗?还有别的病因能引起脊髓空洞症?
A:在我看来,手术是必要的。如果不治疗,患儿仍处于神经系统功能恶化的中,因为脊髓空洞症在多数病例中往往会进展,如果脊髓空洞症进展,手术疗效会明显降低。
脊髓空洞症的病因多种多样,从先天性畸形到感染或脊柱肿瘤。在您们孩子的病例中,我们可以假设颅脑比例失调,因为大脑占据了全部的颅内空间,小脑很大,导致扁桃体和蚓部向下移位,并阻塞头颅和脊柱之间液体的正常流动,反之亦然。儿童脊髓空洞症的常见原因之一是终丝增厚,终丝是连接脊髓末端和骶骨的韧带,这可能导致脊髓牵拉并引起向下移位。这在您孩子的病例中并不明显。然而,孩子俯卧位的对照核磁可能有助于进一步排除这种可能性。
- 文章标题:5岁男孩容易摔跤、生长发育落后,远程咨询国际儿童神外教授竟是……
- 更新时间:2024-01-26 10:10:49
400-029-0925


