概述
帕金森是一种以震颤、运动减退、强直和姿势不稳为特征的神经系统综合征。较常见的原因为帕金森病(PD)(80%);其他神经退行性疾病包括皮质基底节变性(CBD),多系统萎缩(MSA),进行性核上麻痹(PSP)和路易小体痴呆(DLB),这些被归为帕金森综合征。准确和早期的诊断能够指导治疗并提供预后信息。神经系统 MRI 的主要目的是排除一些非神经退行性疾病,比如:肿瘤、梗死等等。然而,MRI 和核医学技术可以帮助患者发现非典型的征象和缺乏多巴胺治疗反应的。

帕金森病
帕金森病(PD):是一种由原发性黑质致密部病变引起的进行性神经退行性疾病。临床表现为运动迟缓、僵硬、震颤和姿势不平衡。大多数病例(85-90%)是偶发性,一般在 50-60 岁之间发病。
PD 的 MR 表现:早期表现往往正常;晚期可出现黑质致密部失去正常高信号,边缘变为模糊。黑质正常燕尾形态缩小和丧失。



正常情况下燕尾征-SWI 的显示:从上至下连续 1-5 层,黑质(SN)出现 5 层,红核(RN)出现 4 层,黑质背外侧部高信号一般位于位于黑质的后 1/3,在红核最后一层或消失的层面出现。

PD、MSA 和 PSP 出现燕尾征-SWI 高信号的消失
燕尾征-SWI 高信号的消失对于鉴别神经退行性变和非退行性病变可能具有意义,但是对于鉴别帕金森病与帕金森综合征还是缺乏准确性的。
PET 是鉴别 PD 和 APS 的有用工具。保存基底节的代谢活性是 FDG-PET 中 PD 的一个重要特征,而 APS 基底节代谢活性明显减低。

FDG-PET显示PD基底节代谢活动得到保留,而MSA基底节代谢明显减低
多系统萎缩
多系统萎缩(MSA):是一种散发性神经退行性疾病,其特征是黑质-纹状体和橄榄脑桥小脑束的神经元丢失和胶质增生。该病常合并小脑共济失调、自主神经功能障碍和帕金森症状。有三种临床亚型:帕金森型(MSA-P),取代过去的纹状体-黑质变性;小脑共济失调型(MSA-C),取代过去的橄榄脑桥小脑萎缩;Shy-Drager 综合征指自主神经功能障碍为主。常见于 50-60 岁人群,多巴胺治疗无效。
MSA-P 型的 MR 常出现:壳核裂隙征、壳核后部 T2 低信号、壳核萎缩。
壳核裂隙征是指壳核外侧边缘 T2WI 高信号环,MSA-P 型的壳核裂隙多集中在后 半部分,宽度大于 2 mm,存在着不连续性,存在着附近壳核的低信号,可存在壳核萎缩。MSA-C 型壳核裂隙集中在前半部或前 3/4,并且大部分是连续性的。

T2WI壳核后部线样高信号,伴铁沉积
临床上,约 38.5% 正常人也会出现在 1.5T 或 3.0T 出现壳核外侧线样 T2WI 高信号,主要集中在前半部或前 3/4,并且大部分是连续性的,而且宽度在 2 mm 之内。大部分不存在壳核的低信号或者只有一部分为轻微的低信号。

T2WI及FLAIR正常人壳核外侧连续高信号

壳核后部 T2 低信号是指在 T2WI 或 T2*壳核背外侧低信号,病理证实是由于铁蛋白丢失、铁沉积引起。

T2WI 及 T2* 壳核铁沉积伴部分萎缩
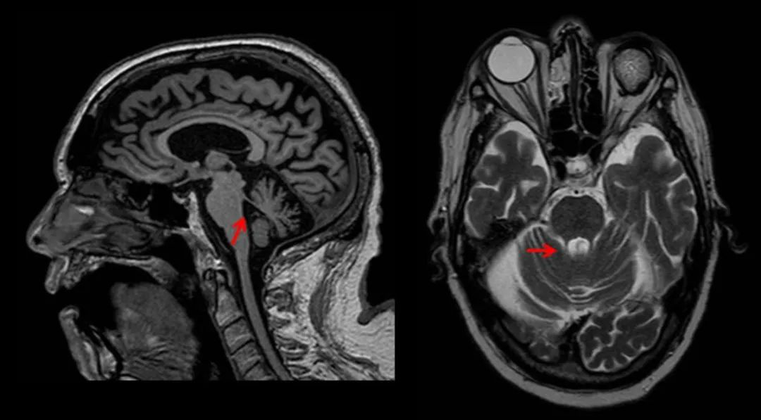
MSA-C 型的 MR 常出现:橄榄、桥脑、小脑中脚和小脑的萎缩,横轴面上桥脑 T2WI 交叉样高信号,即所谓的「十字征」,是诊断 MSA-C 的较特征性的表现。「十字征」的病理学基础为桥脑核及其发出的通过小脑中脚到达小脑的纤维 (桥横纤维) 变性和神经胶质增生,T2WI 信号增高。有学者认为,先出现「垂线征」(需要仔细观察),后出现「十字征」。但「十字征」并非 MSA-C 型所特有,其他疾病比如遗传性小脑共济失调也可出现。


橄榄、桥脑、小脑中脚和小脑的萎缩,出现「十字征」
进行性核上性麻痹
进行性核上性麻痹(PSP):是另一种神经系统退行性疾病,其特征是眼球运动异常(核上垂直凝视性麻痹)、轻度痴呆和姿势不稳,起病隐匿,多见于 60 岁。其他常见症状有构音障碍、吞咽困难、对称性关节僵硬综合征、颈部张力障碍和蹒跚步态。
PSP 的 MR 常出现:特征是中脑和被盖萎缩;在矢状位中,中脑被盖萎缩形似「蜂鸟」;在轴位中,中脑萎缩,顶盖和大脑脚保留形似「米老鼠」。



PSP中小脑上脚萎缩
路易小体痴呆
路易小体痴呆(DLB):是一种进行性老年前期退行性痴呆,是二多见老年痴呆的常见神经退行性疾病。除了痴呆症,其他特征性症状还有认知波动,视空间损害伴幻觉和帕金森综合征。黑质、皮层或边缘系统改变是其病理特征疾病。
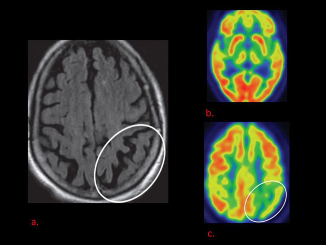
DLB 的 MR 表现:缺乏非特异性,如轻度广泛性萎缩,颞叶内侧通常被保留。MRI 主要的主要目的是排除其他原因引起的痴呆。典型表现为枕叶(包括视觉皮层的低代谢)。

枕叶(包括视觉皮层的低代谢)

严重的双侧前额叶、顶叶、颞叶和后扣带回-丘脑前皮质低代谢,以及枕叶包括初级视觉皮层的低代谢
皮质基底节变性
皮质基底节变性(CBD):经常从认知或行为障碍开始,较终导致运动功能障碍。运动异常较初影响一个肢体,可能包括无张力、较度僵硬、局灶性强直、肌张力障碍、意识运动失用症和外感肢体现象。
CBD 的 MR 表现:早期可正常或脑萎缩(以额顶叶萎缩为主),FDG-PET 皮层代谢减低。

顶叶萎缩伴皮层代谢减低
资料来源:医学影像学PowerPoint
- 文章标题:帕金森病和帕金森综合征的影像
- 更新时间:2020-09-08 11:17:55
400-029-0925


