成长中的孩子是坚强的,他们有敢于面对未知世界的勇气;但他们也是脆弱的,因为无情的病痛有时会毫无征兆地降临……在儿童中枢神经系统肿瘤中,排名第三的“杀手”就是室管膜瘤,仅次于星形细胞瘤和髓母细胞瘤。
尽管这种有着恶性倾向的儿童脑肿瘤确实令很多患儿及家庭陷入深渊,但随着医学的发展,只要治疗得当,这种脑瘤就不再是无法打败的“铜墙铁壁”。
在最近一项涵盖12447例儿童和青少年病例的研究中,室管膜瘤的生存率有了显著提升,中枢神经系统肿瘤的5年生存率分别为60%和64%。其中,室管膜瘤的结局较好,儿童和青少年的5年生存率分别为84%和81%。

巨大室管膜瘤的综合治疗方案,让12岁男孩6年无复发
“不知道第几次带孩子来医院了,医生还是说手术不能做……”在社交媒体发布的一张图片中,年幼的孩子躺在医院等候区的排椅上,而身边守着一位疲累的父亲。如此直观的绝望之感令无数人动容。

而相似的情况也出现在12岁男孩维维身上。多年前,维维连续3周的头痛引起了父母的重视,却没想到病情的恶化来得太快,当晚便紧急入院接受治疗。
“孩子脑室内有一个巨大的占位,必须尽快手术!”医生的话宛如当头一棒,重重敲在父母心间。然而,维维又是幸运的,因为当时接诊的医生正是Rutka(鲁特卡)教授。
01、术前分析
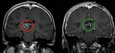
肿瘤伴钙化、瘤内出血,并伴有脑积水。磁共振成像(MRI)显示一个可能起源于透明隔的异质性强化肿瘤,填充在侧脑室和第三脑室的大部分区域。

02、综合治疗方案
第一次左额半球间经胼胝体切除术后,CT扫描显示脑室内和腔内出血。第二次经右顶叶经皮质入路成功实现次全切,术后显示为WHO 2级室管膜瘤。随后,为进一步控制残余肿瘤,鲁特卡教授为患儿制定了局部放疗方案。
03、6年无复发
几年后,随访时发现肿瘤再次生长,因此在部分切除后再次进行放疗。此后6年,室管膜瘤无复发,病情稳定。

室管膜瘤为何容易复发?
室管膜瘤复发一般有手术中肿瘤未完全切除、室管膜瘤的恶性程度高等原因。约80%的复发为局部复发,这提示安全切除肿瘤程度至关重要。尽管报道的获益程度不同,但所有研究都表明可接受肿瘤全切的患儿预后更好。
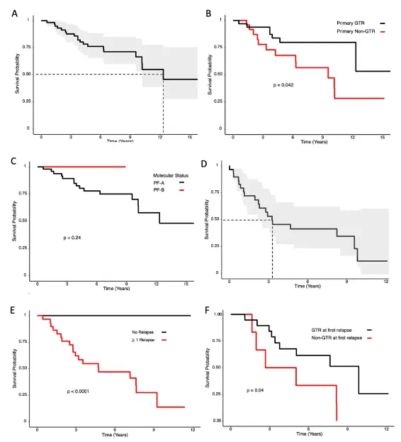
鉴于复发性儿童室管膜瘤的管理情况,Rutka(鲁特卡)教授通过研究2000年至2019年原发性和复发性室管膜瘤儿童的生存率,来评估治疗因素和总生存期之间的关系。

在这项研究中,50%的患儿中位生存期为12.3年,首次复发后为3.3年。全切除(GTR)与初次切除术后生存率显著提高相关,复发与较差的生存率显著相关。
在疾病复发诊断时,播散性疾病是一个负预后因素,而首次复发时GTR与生存率改善显著相关。研究结论表明——复发时的疾病播散程度和首次复发疾病的切除范围是重要的预后因素。对于复发性室管膜瘤,手术治疗优于不手术治疗。

Kaplan-Meier曲线显示原发性后窝室管膜瘤切除术(A-C)和首次复发室管膜瘤切除术(D-F)患者的总生存率。
INC提醒
疑似室管膜瘤患儿的初始治疗是最大程度的安全切除,但由于室管膜瘤常位于颅后窝,紧邻颅神经和脑干,所以手术风险很大。然而,切除程度与肿瘤学结局和生存率密切相关,初始最佳切除可使患儿明显获益。因此,在选择手术医生时一定要选择经验丰富且技术高超的专家。
侵犯脑干的室管膜瘤尤其难以治疗,不完全切除的结局不如全切。因此,许多中心都会考虑予以放疗前化疗,若有可以安全切除的肉眼残余肿瘤,则行二次探查手术。
然而由于室管膜瘤手术中肿瘤未完全切除或室管膜瘤的恶性程度高等原因,该病种易复发。室管膜瘤约80%的复发为局部复发,所以最大程度安全切除肿瘤至关重要,预后也会更好。
*内容来源:Rutka JT et al.Outcomes following management of relapsed pediatric posterior fossa ependymoma in the molecular era.J Neurooncol.2023 Feb;161(3):573-582.
CalìC,et al.Childhood and adolescents'cancer survival:Progress made and priorities for improvement.An Italian population-based study.Cancer Epidemiol.2025 Jul 31;98:102895.
INC国际小儿神外专家团

国际儿童神外大咖James T.Rutka教授
教授教授发表超过500多篇高影响力论文,在临床上的研究方向以颅内肿瘤为主,对胶质瘤、纤维瘤、颅咽管瘤、室管膜瘤具有多年的临床经验,擅长清醒开颅术、显微手术和被广泛用于治疗恶性脑瘤和癫痫的国际前沿技术激光间质热疗(LITT)技术经验,对于儿童胶质瘤,尤其是高级别胶质瘤开展多项临床试验,其所在的医院加拿大SickKids是国际知名的儿童医院之一。

国际脑干手术大咖Helmut Bertalanffy教授
教授擅长颅底、脑干病变、功能区、大脑小脑、脊髓等复杂位置的肿瘤性、血管性疾病的手术治疗,尤其擅长颅底、脑干等复杂区域病变的肿瘤切除术、神经吻合术等,脑干病变成功手术病例近千台,以精湛高超的手术技术不损伤神经功能且全切病变。巴教授历经千万个小时用超精确的物理剥除诠释了医术为何为艺术。

国际儿童神外专家Concezio Di Rocco教授
自2014年5月起,Di Rocco教授就担任了德国汉诺威国际神经科学研究所(INI)的儿科神经外科主任。从事儿童神外事业50余年,Di Rocco教授尤为擅长小儿神经纤维瘤、癫痫、脑积水、蛛网膜囊肿、颅缝早闭、脑和脊髓肿瘤、脑和脊柱畸形(半椎体畸形,皮质发育不良,脊髓脊膜膨出,脊髓内脂肪瘤,Arnold-Chiari畸形等)难治病症方面的治疗,曾进行过12000多次神经外科手术。
- 文章标题:室管膜瘤5年生存率可达84%!综合治疗方案让他6年无复发
- 更新时间:2025-08-22 11:50:13
400-029-0925


