室管膜瘤是儿童中枢神经系统的三大肿瘤,占比6%~12%,起源于脑室壁或脊髓导水管,由肿瘤性室管膜细胞构成,其生长缓慢,好发于儿童和年轻人。室管膜瘤占全部神经上皮肿瘤的2%-9%;儿童颅内肿瘤的6%~12%;3岁以下儿童的颅内肿瘤的30%。室管膜瘤是脊髓较好发的神经上皮肿瘤,占成人脊髓胶质瘤的50%-60%,而儿童少见。
肿瘤所在位置、年龄和切除程度以及病理类型都是影响室管膜瘤预后的重要因素,通常儿童的室管膜瘤预后比成人的明显差,后颅窝室管膜瘤比幕上室管膜瘤相比存活率更低。如果当原本预后就差的儿童室管膜瘤病变位置长在后颅窝手术位置难度高的脑干上,难上加难如何能顺利切除肿瘤,让患儿重获健康呢?
7岁男孩患恶性脑干室管膜瘤,首刀放疗均失败治疗出路在哪里?
7岁的轩轩聪明活泼,是一家人的开心果,刚上小学的他对都充满了探索的兴趣,但是就在寒假放假在家的时候,轩轩妈妈发现了孩子的不对劲,轩轩总是没由来的说自己头痛,还伴随很严重的呕吐现象,但是仔细回想放假自己全天待在孩子身边,并没有磕碰到哪里,也没有吃坏东西,更让人担心的是,轩轩甚至连走路都不稳了,父母见此状后赶紧送孩子就医检查。
经MRI检查,轩轩被诊断是“四脑室底部占位性病变”。没想到竟是脑肿瘤在作怪,想到如此年幼活泼可爱的孩子还要继续遭受脑肿瘤的折磨,一家人赶紧前往国内某医院做了开颅肿瘤切除术,术后病理诊断为“脑干间变型室管膜瘤WHOIII级”(注:2021年较新世卫组织已取消间变性分级),这是脑肿瘤中恶性程度很高的一种,预后较差,复发率高。
本以为手术切除后,孩子就该慢慢好转起来,但是没想到肿瘤并没有切除干净,术后轩轩的症状丝毫没有见好,救子心切的他们又开始寻求其他治疗方法,在医生的建议下开始了质子刀放射治疗,原本活泼开朗的轩轩在经历了开颅手术后本来就性情转变,连续的放射治疗更让孩子产生了抵触情绪,看着孩子饱受治疗和疾病的双重折磨,轩轩父母看在眼里,疼在心里。但是病魔无情,在接受了一年的质子放疗后,一家人又因为轩轩新的症状遭受了晴天霹雳的打击,孩子开始出现明显的吞咽功能障碍,MRI复查后发现:脑干室管膜瘤又有增长,且已经浸润到脑干右侧很深的部位。希望又一次破灭,1年的放疗起到的作用微乎其微。由于肿瘤较大,位置不同,再次手术的话可能会造成脊髓损伤,很可能出现呼吸衰竭、高位截瘫等严重并发症。国内很多专家都建议保守治疗。
手术,远赴德国终得全切
多方求治无门之下,轩轩一家把目光转向国外,想看看国际范围内高水平的神经外科医院和国际水平的神经外科教授有没有什么办法。幸运的是,经过多方了解和联络后,得知了、公认的脑干肿瘤巨擘INC德国巴特朗菲教授在复杂脑瘤手术方面拥有着较深的造诣和丰富的成功手术经验,于是立马选择通过INC与教授取得联系。
巴教授也在远程咨询后给出了让一家人充满希望的结果——“肿瘤快速的生长并存在明显的显微外科手术指征,希望可以配合二次放射治疗,不过首先要尽快移除脑肿瘤”。手术全切肿瘤一直是脑干室管膜瘤的首要治疗方案,这是因为手术切除程度的高低,直接决定着患者术后生存率的高低,对于患者良好预后起着关键作用。临床资料显示,50%-60%的肿瘤全切除患者5年内未见肿瘤复发,5年存活率有提高。对于恶性脑肿瘤,哪怕肿瘤再次复发,较大水平的手术切除仍是主要措施。而巴特朗菲教授以较为擅长脑干、颅底、脊髓、丘脑、胼胝体等复杂位置的肿瘤高切除率手术著称,已帮助很多国际各地的脑肿瘤患者获得了更长的生存期和更高的生存质量。在中国患者群中,他被亲切地称为“巴教授”。在了解了巴教授的很多过往病例介绍,轩轩一家选择相信教授,毅然选择去德国INI找巴教授做手术。于是决定动手前往德国接受手术。
赴德治疗过程:
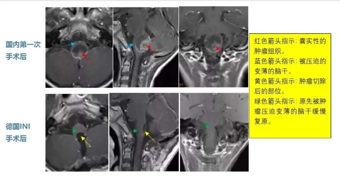
前往德国INI医院,巴特朗菲教授二天就为轩轩进行手术,脑干室管膜瘤被完全切除了,在术中神电设备检测下,术后无新发神经损伤。
术后1天,轩轩就清醒了,肢体功能有所恢复。
在INI术后休养了半个月后,就出院回国了,治疗过程还是顺利的。手术后5个月,孩子吞咽、运动功能恢复地很好,精神状态佳。
回国后也在巴教授德建议下继续进行质子放射治疗,国内医生说德国手术的这个结果再辅助放化疗,对肿瘤再次生长,合适控制肿瘤再次复发还是能够很好控制的。

赴德治疗德的过程,巴教授的医术让轩轩成功摆脱了困扰折磨一家人两年之久的脑干室管膜瘤,山重水复疑无路,柳暗花明又一村,在国内时以为已经走到了绝境,一家人坚定出国看病的决心给轩轩寻得了一线生机,而巴教授则是用自己手中的柳叶刀把孩子宝贵的生命留住了,而本以为会是异常艰辛的异国求医路,也因为INC工作人员的妥当安排,都进行的格外顺利,回国后为了鼓励有着相似经历的病友们不要放弃希望,轩轩妈妈也交流了自己出国看病的见闻和经历。
德国INI总印象:
德国INI位于德国汉诺威镇,远远望去,INI医院就像是一个巨型的人类大脑,该所医院也正是一所治疗各类大脑、神经外科疾病方面的专科医院。其国际前沿的治疗范围包括脑(脑肿瘤、脑血管病、先天畸形、功能性疾病等)、脊髓(脊髓肿瘤、AVM、脊髓空洞症等)、脊柱和四肢骨骼系统、周围神经疾病(各类周围神经损伤后的治疗等),其还有一个特色就是对于神经系统血管畸形及脑肿瘤进行跨学科、手术和介入放射方法的治疗,在颅内肿瘤是颅底及脑干疾病的外科手术治疗方面享誉国际。

在INI的半多月以来,作为一个来自异国他乡的患者家庭,我们体验到的护理和服务远远是国内无法相比的。总结来说,以下四点让我感触较深:
1、环境温馨清爽:进到INI医院,感觉很像酒店,温馨典雅的陈设、明亮的光线感觉很舒服。病房有有单人间、双人间、三人间,还有专为病患及家属准备的单独套房。我们住的就是这种家庭套房,照顾轩轩都很方便。安静私密的环境对于孩子的治疗和疗养会很有帮助。
2、亲切没架子的医生:主刀医生巴特朗菲教授技术上真是没话说,国内一些大专家摇头不敢做的手术对于他来说驾轻就熟,像轩轩这样的高难度脑肿瘤全切除手术他每年都会做几百台。对待病人及其家属方面,巴特朗菲教授是我见过的较其细致和富有耐心的大牌专家了,没有一点架子,对于我们提出的关于手术的各种疑问,比如应该从哪儿切除、会不会有后遗症、手术多久完成等,他都微笑着给我们解释的清清楚楚。
3、高科技手术室:据工作人员介绍,德国INI的手术室代表着现代显微外科技术的国际前沿水平。手术室配备的都是国际前沿、国内少应用的高科技的设备和仪器,比如高场强术中磁共振成像系统iMRI,它是目前国际上前沿的术中辅助工具,可以帮助手术医生较大水平准确地切除肿瘤,同时将术后的神经衰退风险降到至低;比如复杂的术中神经导航设备,可以帮助外科医生顺利地移除大脑中肉眼看不见的肿瘤病理结构;国际前沿的术中血管造影设备在手术中也会使用,能够为疑难脑肿瘤和脑血管畸形提供良好的辅助。在这样一个汇集了这么多高手术设备、检查设备、导航设备的手术室做手术,我们还是放心的。
高场强术中磁共振成像系统iMRI
4、细致周到的护理:INI护理服务可以说是细心的,通常有不同的3位护理人员轮流照顾轩轩,她们把孩子的饮食、起居、卫生情况都料理地很好,对于小孩子,她们更是格外地热情亲切,时不时地跟轩轩谈心,逗孩子开心。临近出院,护理人员还特意交代我后期照顾孩子的相关注意事项,真是十足的敬业和。
结语:
儿童室管膜瘤进行的显微外科治疗能取得较好的效果,如果肿瘤长在脑干等疑难位置,手术之难让不少医生望而却步。神经外科医疗技术不断创新发展,脑干肿瘤终将被克服,获得良好预后的患者只会越来越多。对于患者而言,当罹患如此让人绝望的疾病,较重要的也是不放弃希望,避免徘徊犹豫期间进行的一些不必要的治疗措施,甚至是不可逆转的手术,成功的手术只有一次机会。建议首先寻求手术的较优化,选择医院重在主刀医生的选择,手术医生的能力、技术水平和成功案例,说不定下一个转弯处就出现新的生机。
INC旗下国际神经外科顾问团是由国际各发达国家神经外科宗师联合组成的教授集团,其成员教授大多为国际神经外科各的奠基者、开拓者,德国巴特朗菲教授即为INC顾问团成员教授之一。国内疑难神经外科病患(包括脑瘤、脑血管病变、癫痫等)患者若想寻求更高质量、更佳预后的手术技术,可请国际上神经外科教授评估手术方案。
- 文章标题:7岁男孩恶性脑干室管膜瘤,首刀放疗均失败,远赴德国手术终获全切
- 更新时间:2022-06-09 16:35:37
400-029-0925


