胶质母细胞瘤(恶性胶质瘤)是较常见的成人恶性脑肿瘤,20%的原发性脑肿瘤是多形性胶质母细胞瘤。多形性胶质母细胞瘤(GBM恶性神经胶质瘤)是星形细胞瘤的较高级形式,约占全部脑星形细胞瘤的三分之二。与GBM相关的死亡率在5年时大于90%,中位生存期为12.6个月。这种肿瘤的预后处于较差的一端,因为它的状态很高。
见下图

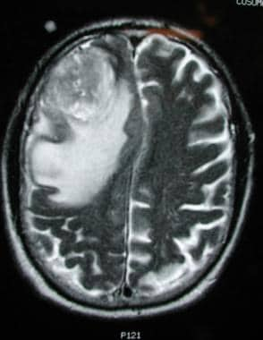
T1加权轴向钆增强磁共振图像显示右额叶肿瘤增强。图片由马里兰州乔治·贾洛提供。

T2加权图像显示与前一图像相同的病变,有明显的水肿和中线移位。这一发现与高级别或恶性肿瘤一致。图片由马里兰州乔治·贾洛提供。
优选检查
计算机断层扫描可以显示肿瘤和相关的发现;然而,在制造多形性胶质母细胞瘤(GBM恶性胶质瘤)诊断时,CT扫描可能会导致小肿瘤被漏诊。筛查研究遗漏的小的低级胶质瘤较终可能发展为多形性胶质母细胞瘤(GBM恶性神经胶质瘤)。此外,这种方式可能不能描述全部的多灶性病变。脑脊液扩散,是早期扩散,也很难用CT扫描进行诊断。
磁共振成像(MRI)对肿瘤的存在及其相关发现(包括瘤周水肿)明显更敏感,是检查疑似或确诊多形性胶质母细胞瘤(GBM恶性神经胶质瘤)。该病变为高度浸润性肿瘤;因此,肿瘤细胞通常在磁共振成像异常信号强度区域的边缘之外被发现。中枢神经系统(CNS)转移频繁,但脑外转移少见。
手术后,仅根据磁共振成像结果来区分复发肿瘤和疤痕组织可能很困难。正电子发射断层扫描在这方面很有用。
由于肿瘤的外观变化很大,它有时可能会模拟其他情况,如梗塞、脓肿,甚至多发性硬化中的肿胀斑块,从而延迟诊断。就影像学表现和从低级星形细胞瘤到多形性胶质母细胞瘤(GBM恶性神经胶质瘤),可以进行以下概括(尽管有一些例外):
·从低级星形细胞瘤到多形性胶质母细胞瘤(GBM恶性神经胶质瘤)。
·从低级星形细胞瘤(血脑屏障保留,低增强频率)到多形性胶质母细胞瘤(GBM)的增强发生率增加;恶性神经胶质瘤(BBB损害)。
·出血、坏死、肿块效应和水肿发生模式与增强相同。
·除非出现出血性改变,大多数肿瘤在T1加权磁共振成像上呈低信号,在T2加权磁共振成像上呈高信号。
·CT扫描增强意味着核磁共振成像增强。
多形性胶质母细胞瘤(GBM恶性神经胶质瘤)被认为是变异体。巨细胞胶质母细胞瘤是胶质母细胞瘤的一种变体,但其影像学表现与胶质母细胞瘤相同。
- 文章标题:多形性胶质母细胞瘤的影像学诊断
- 更新时间:2021-05-03 17:16:46
400-029-0925




