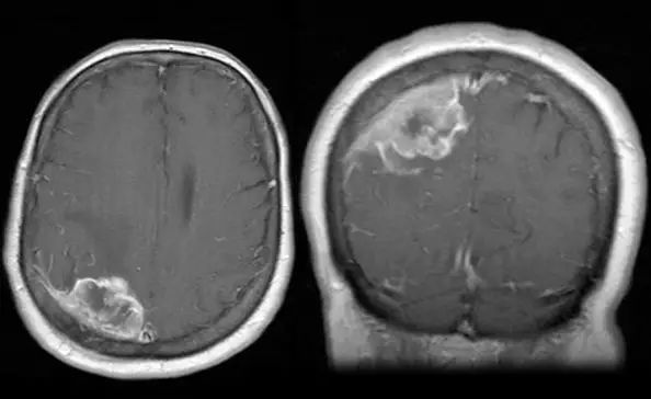
脑膜瘤是较常见的良性颅内肿瘤,占全部颅内肿瘤的三分之一以上,尸检时发现,2.3%的患者存在脑膜瘤。由于计算机断层扫描(CT)和核磁共振成像(MRI)利用增多,因此无症状脑膜瘤得以检出,估计多达2/5的脑膜瘤患者没有症状。下图的CT增强扫描显示一例77岁老年女性前颅底内前壁内均匀强化肿物。患者出现嗅觉丧失和进行性人格改变,包括其正常社会生活中的控制力丧失和兴趣下降。后对患者行简单的开颅手术,进行了肿瘤全切除;病理显示病变为国际卫生组织(WHO)分级I级脑膜瘤。

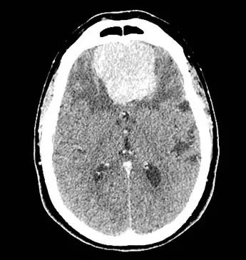
对于表现为脑膜瘤症状的患者,头部CT扫描经常作为较初的影像学检查,但头颅MRI平扫或增强扫描对诊断很有必要。在许多情况下,脑膜瘤的放射学检查结果足以确诊。一例表现为新发癫痫但没有其他症状的55岁女性患者进行了头部CT平扫(左)。影响学检查显示右顶叶轻微水肿,提示潜在病变。MRI轴位T1加权像(右)提示病灶均匀强化,病变位于硬脑膜,表现为经典的脑膜瘤征象。

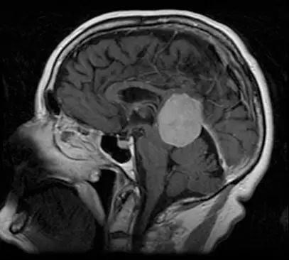
虽然脑膜瘤常为偶然发现,但大多数可通过临床症状鉴别。脑膜瘤起源于蛛网膜,而蛛网膜覆盖了整个神经轴。因此,尽管大多数病变于颅内发现,病变也可发生在整个神经系统。实际上,90%脑膜瘤位于幕上,其余发生在后颅窝或脊髓。脑膜瘤有几种常见的发生部位(尽管仅发生于脑室系统很少见),临床表现可随特定部位而变化。下图为增强MRI扫描T1加权像,显示松果体区脑膜瘤,可以看到附着于小脑幕的硬脑膜。

虽然脑膜瘤可发生在脊髓全部水平,但约80%位于胸段。这些脑膜瘤常表现出脊髓病的症状和体征,如渐进式步态和感觉障碍,并伴有上运动神经元病变表现。鉴别诊断应该包括神经鞘瘤、神经纤维瘤和转移瘤。下图显示的是三例不同患者的增强MRI扫描T1WI矢状位图像。从左至右,脑膜瘤分别位于C7-T1,T5-6和T10-11。影像学特点可以帮助鉴别神经鞘瘤与脑膜瘤;神经鞘瘤很少位于脊髓后,常常伴有神经孔扩大。脑膜瘤更有可能出现明显的硬脑膜附着。

发生在颅颈交界部的脑膜瘤(MRI扫描,矢状位[左]和轴位[右])称为枕骨大孔脑膜瘤。枕骨大孔区肿瘤的经典表现包括肢体无力、感觉改变,无力症状开始于同侧臂,然后进展到同侧腿,之后是对侧腿,对侧臂。检查发现,患者触觉正常,但病灶对侧痛觉和温度觉缺失。往往上肢位置和振动感觉缺失比下肢严重。

术中照片证实脑膜瘤位于颈髓连接处,正如MRI扫描所见。白色虚线提示肿瘤位置,蓝色箭头指向硬脑膜,绿色箭头表明副神经(脑神经XI)的神经根,橙色箭头指向颈脊髓上部。广泛全切除后恢复良好。病理示肿瘤为WHO I级脑膜瘤。

脑膜瘤的鉴别诊断通常应包括血管外皮细胞瘤和转移瘤。下图为增强MRI扫描T1WI矢状位图像,显示了一种与嗅神经沟脑膜瘤类似的血管外皮细胞瘤。血管外皮细胞瘤,以前被称为血管母细胞脑膜瘤,但现在认为是一种肉瘤,与脑膜瘤没有关系。它比脑膜瘤少见约40倍,与脑膜瘤类似经常沿硬脑膜生长。然而,血管外皮细胞瘤往往缺乏一些脑膜瘤出现的钙化,同时脑膜瘤常发生的邻近骨骨质增生,而血管外皮细胞瘤无此表现。此外,血管外皮细胞瘤的血管往往比脑膜瘤更丰富(影像学可证实)。尽管有这样的差异,但尚无明确的放射学检查可以鉴别血管外皮细胞瘤与脑膜瘤。通常情况下,这两种类型病变在外观上相似,只有病理学可以确定血管外皮细胞瘤的诊断。与脑膜瘤不同,约30%的血管外皮细胞瘤出现转移。另外,其局部复发率高达80%,比脑膜瘤高得多。

下图所示的转移瘤为脑膜瘤的另一种常见鉴别诊断。这些轴位(左)和冠状位(右)T1WI增强扫描显示肿瘤基底位于硬脑膜,并可见强化。与脑膜瘤相比,其强化较为不均匀,且边缘不规整,提示存在脑浸润。手术时,软脑膜和皮质下发现有肿瘤浸润,后竟证实为转移性直肠癌。

大多数脑膜瘤生长相对缓慢,具有良性肿瘤特征。国际卫生组织(WHO)将脑膜瘤分为三级。WHO I级脑膜瘤的复发风险相对较低,而更高等级脑膜瘤复发和侵袭性行为的可能性更高。WHO II级脑膜瘤为脊索状、透明细胞及非典型性病变,WHO III级脑膜瘤包括乳头状、横纹肌样和间变性肿瘤。WHO I级脑膜瘤是较常见的肿瘤,此类至少有九个亚型,较常见的是脑膜性、纤维性和过渡性脑膜瘤。下图显示的是一名61岁女性,头皮有一增大的肿块,CT扫描三维重建显示左额叶脑膜瘤累及骨质。这种影像学表现多提示肿瘤为一种侵袭性亚型。

患者前后位X线片显示左额叶透亮,表明该处脑膜瘤已经侵入骨质。(X线颅骨像很少作为初始诊断检查,其鉴别诊断范围相当广泛,包括骨肿瘤。)

下图为前片所示同一患者的术中照片,可见颅骨被穿透,证实脑膜瘤骨浸润。头皮如前所述。患者的骨头尚未被剔除。

下图仍为前三张图的同一患者,显示脑膜瘤周围的硬脑膜边缘。切除程度与肿瘤复发的可能性相关。硬脑膜及受累骨质广泛切除术的治愈率较高,不完全切除则复发率较高。因此,手术的目的是切除与肿瘤相连的相当大范围的硬脑膜边缘。脑膜瘤治疗通常仅为手术,但放射疗法可用于无法手术、术后残留或肿瘤复发的患者,以及无法接受手术的患者。低级脑膜瘤的复发率为7~25%,非典型病变的复发率则增至29~52%。

辐射诱发的脑膜瘤,通常源于低剂量辐射导致的头皮癣或高剂量辐射导致的血液或头颈部癌症,其往往为高分级、多灶性病变。从接受辐射到肿瘤发生之间存在几十年的潜伏期。下图为一例38岁的女性患者的MRI图像,她在头颅局部放射治疗急性淋巴细胞白血病后32年发病。轴位单层面图像显示了三个脑膜瘤中的两个。较大病变附着到大脑镰——一种将大脑分为左右半球的硬脑膜结构,较小肿瘤则沿右额叶凸出生长。大脑镰旁脑膜瘤和凸面脑膜瘤占全部脑膜瘤的近一半。

脑膜瘤在颅内的二大常见位置是蝶骨嵴,具体又可分为内侧、中间和外侧蝶骨翼脑膜瘤。内侧蝶骨翼肿瘤可累及视神经和颈动脉。下图中看到的T1WI轴位、矢状位MRI图像显示是一例68岁男性患者的左蝶骨翼脑膜瘤,他有左眼进行性失明的症状。

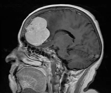
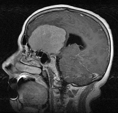
嗅神经沟是脑膜瘤三常见的颅内位置。嗅神经沟脑膜瘤(矢状位MRI扫描所见)的典型表现包括嗅觉丧失(失嗅症),其次是视力丧失和额叶功能障碍,还有典型的个性变化、兴趣和动力丧失(意志力丧失)和控制力下降。

桥小脑角区脑膜瘤占全部脑膜瘤的5%~10%。这些病变需与前庭神经鞘瘤和转移瘤区别开来;影像学特点有助于鉴别诊断。下图为增强MRI扫描T1加权像,显示了经典的前庭神经鞘瘤,表现为“冰淇淋”征,呈圆柱形状,延伸至内耳道(橙色箭头)。神经鞘瘤缺乏脑膜瘤附近常见的硬脑膜增厚。脑干(绿色箭头)被肿瘤所扭曲,导致四脑室(蓝色箭头)受压,造成患者脑积水。此人表现为严重的共济失调与脑干和小脑功能障碍。

下图为MRI增强扫描,显示了位于内听道略后方的硬脑膜基底肿瘤。该肿瘤较大特点为不延伸至耳道,这提示它不是一种前庭神经鞘瘤;较可能的诊断是脑膜瘤。与之前的影像学相比,该病例局部占位较小,虽然这不是脑膜瘤和前庭神经鞘瘤之间的鉴别特征。

颅底脑膜瘤另一种常见的位置是鞍区。这个部位的脑膜瘤应与其他典型的鞍区肿瘤相鉴别,特别是垂体腺瘤。矢状位MRI扫描(右)表明,肿瘤的基底部位于鞍结节,这是鉴别这种病变与脑膜瘤的一个重要特征。冠状(左)和矢状图像中,橙色箭头指向肿瘤,使视交叉(绿色箭头)位置移动,并包围颈动脉。颈内动脉的流动空隙用蓝色箭头标注。将这种肿瘤诊断为脑膜瘤而不是垂体腺瘤的另一个因素是,垂体表现(矢状图像黄色箭头)与肿瘤截然不同。虽然传统治疗脑膜瘤和垂体腺瘤的手术方法常常涉及开颅手术,但现在这些病变可以通过鼻内镜途径进行,可使脑受到的牵拉减轻。

术后MRI扫描示脑垂体清晰可见(黄色箭头)(与上图为同一患者),肿瘤已行大范围全切除。

相关资料来源:Anand I. Rughani, Jeffrey E. Florman. Meningioma: Characteristics and Surgical Treatment. Medscape. Feb 19, 2015.
- 文章标题:图文详解脑膜瘤特点和治疗
- 更新时间:2021-04-26 11:54:43
400-029-0925




