
INC巴教授实时报道
“我们不想等,等不了了!”在苏州大学附属儿童医院,一句话道出无数脑瘤患儿父母的辛酸与苦楚。对于神经外科疾病而言,时间成为关键,尤其是儿童患者。TA们年幼的身体经不住肿瘤严酷的侵袭,越早进行手术,身体就能越快恢复,TA们幼小的心灵也能免于疾病折磨。
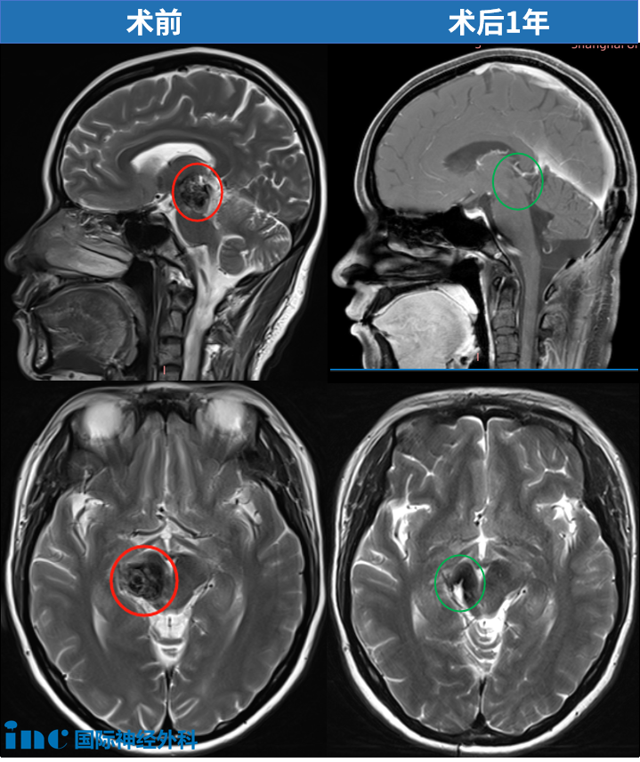
12岁的女孩诺诺,突发头晕,呕吐、食欲差,检查发现左侧丘脑占位,大小约37mm*45mm*40mm,三脑室受压,两侧脑室增宽。对于诺诺父母而言,孩子确诊脑瘤犹如晴天霹雳,恨不能立刻手术“一刀了断”。然而,若巨大肿瘤位于大脑深部,又该如何抉择?

安全、尽快地手术,成为诺诺父母的首要诉求,因为他们自从得知孩子患病后,就开启了一场与脑瘤的赛跑,而真正让他们有望逆转局势的,是二人在焦急寻找中抓住的一丝亮光——巴教授来华行程的开展。他们不愿为孩子放弃任何一丝希望,在得到巴教授可以手术的评估后,他们再也没有等待的理由:“手术吧!”
当天下午,距离面对面咨询巴教授仅过数小时,这对父母就迎来了好消息——诺诺的手术顺利完成,切除满意!

丘脑手术为何一直是
神经外科手术难题?
丘脑位置示意

我们感知冷暖、触摸物品,都离不开脑袋中的一个“感觉中转站”——丘脑。尽管它只有3cm×1.5cm左右大小,但却几乎干系着人体80%以上功能!来自全身各种感觉的传导通路(除嗅觉外),均在丘脑内更换神经元,然后投射到大脑皮质。形象地比喻一下,丘脑就像转换器,如果没有这个转换器,即使拥有再多的数据线,也不能把信息输送到大脑。一旦丘脑损伤,患者可能变成“木头人”,无法对外界的刺激做出反应。

丘脑是脑部深在的区域,其前下方则毗邻下丘脑及中脑,大约50%的丘脑表面被内囊所覆盖。总体而言,丘脑是大脑与机体神经冲动的中转站,对于调节感觉、运动、觉醒、决策、注意力、记忆、视觉、听觉、平衡等有着举足轻重的作用。很长时间内丘脑手术都被视为“禁区”,如果手术时医生稍有不慎,可能直接导致偏瘫、视力丧失、失语,甚至昏迷,后果严重。
幸而,INC巴教授早早就打破了这一禁忌,成功地发表了关于丘脑手术的案例。近年来,国内示范手术中,他也为多名丘脑肿瘤患者顺利切除病灶。

CASE
01
13岁男孩丘脑-中脑胶质瘤
13岁男孩新城的生命也于今年8月正式迎来转机。在巴教授的主刀下,手术顺利完成!然而,这台手术曾令在场医生都纷纷感叹:太难了!

1、肿瘤位于神经外科中极具挑战性的丘脑-中脑,手术路径狭长,可操作空间小,却遍布着无数条掌握命脉的神经和血管,一点都碰不得!
2、肿瘤边界不清,正常脑组织与肿瘤之间没有一条清晰的分界线,而是一个渐变的、浸润的区域,对术者的操作精度要求极高。
3、脉络膜后内侧动脉完全被肿瘤包裹侵蚀,一条重要动脉更直接穿过肿瘤!
手术虽难,但新城术后的恢复状态令人欣喜:术后仅仅1天,这个曾被医生认为不能手术的男孩就已恢复了往日的活力,盘腿坐在病床上的他活动自如,术后第3天,更是完全能够独立行走!点击阅读:高难度丘脑-中脑胶质瘤手术成功后,仅1天他就活力十足,家人激动不已!
CASE
02
10岁男孩丘脑胶质瘤
年仅10岁的左侧丘脑占位性病变患儿,肿瘤呈弥漫性生长迹象,侵入脑实质。开颅手术之路绝非坦途,任何细微的操作失误,都可能引发严重的后果。幸运的是,关键时刻,佑佑等来了“巴爷爷”。术后当天,佑佑苏醒后直接从手术室转入普通病房。“宝贝,勇敢勇敢!”父母也一直鼓舞着佑佑。当天查房时,佑佑可以握拳、抬脚。

CASE
03
52岁女性丘脑胶质瘤
52岁的陈女士体检时发现右侧丘脑阴影,约直径12mm。进一步检查,被诊断为低级别胶质瘤,就长在丘脑上。医生说这个肿瘤位置深,手术难度很大,术后出现后遗症的几率也很高,不建议开颅。多地求医,四处询问,他们找到了巴特朗菲教授。“没有复视、手也不麻,都很好”,术后第一天的陈女士,意识清楚、四肢活动正常。术后2年无复发,正常的工作生活。

CASE
04
法学才女丘脑海绵状血管瘤
法学高材生小雨面对丘脑海绵状血管瘤的"无法手术"判决,23天快速解决这个恶魔,实现人生重启。2024年5月,小雨被确诊为右侧丘脑海绵状血管瘤少量出血。2024年6月7日,巴教授为小雨顺利手术、完全切除病灶。从5月16日出现症状到成功手术,不到一个月时间!术后3个月,小雨便重返校园,以全科通过的优异成绩宣告了自己的完美回归。

CASE
05
37岁女性丘脑海绵状血管瘤
37岁的思睿,在大家眼中一直是“温暖的小太阳”。2018年,丘脑出血导致思睿复视、记忆障碍、左半身偏瘫,连简单的抓握都成了奢望。医生坦言:“手术风险太大,后遗症可能比现在更严重。”无奈选择保守治疗,直到第2次出血,只能卧床休息时,她感到后怕——“之前是我太轻视了!”最终巴教授为她顺利全切丘脑-中脑海绵状血管瘤,术后第1天四肢活动正常、术前症状缓解。
术后1年,最新核磁显示海绵状血管瘤已被完整切除!视频中她的整体临床状态非常好。巴教授表示在经历过如此巨大中脑/丘脑海绵状血管瘤手术后,能有如此良好的术后恢复,实属罕见!点击阅读:37岁妈妈历时7年战胜“手术禁区”脑干肿瘤,坚持的力量强的没边了!

- 文章标题:巨大丘脑肿瘤不能手术?女儿的治疗之路,我们只有向前,没有退路!
- 更新时间:2025-10-24 21:13:05
400-029-0925


