
自10月中旬INC国际神经外科医生集团旗下世界神经外科顾问团成员巴特朗菲教授抵达中国以来,已为多位疑难神经外科疾病患者顺利进行示范手术。越来越多的患者在与他面对面深入交流后,坚定地选择手术。翘首以盼下,这位国际神外大咖的中国行继续!

而在等待巴教授救治的患者中,有几个家庭格外牵动人心——
5岁的霖霖,因意外摔倒检查出右侧海马及右顶叶占位,初步诊断为低级别胶质瘤。面对手术的不确定性,父亲心疼地说:“除了切除肿瘤,我更在乎孩子术后的生活质量”。
8岁的小航,同样因外伤发现脑瘤,影像显示其右侧丘脑存在巨大肿瘤并伴随脑积水。肿瘤位置深、体积大,每一步治疗都如履薄冰,成为全家心头沉甸甸的石头。
一位21岁的青年,确诊右侧大脑脚及脑干血管瘤伴出血,他辗转多家医院,得到的回复却是:手术很可能面临面瘫或手脚麻木的后遗症。
……
面对一个个陷入困境的生命,巴教授给出的回复无疑成为了他们黑暗中的光亮:“我可以手术!”
意外发现脑瘤,两个患儿家庭的抗争
肿瘤的发现虽属偶然,但它却毫不“客气”。为了孩子能够得到更好的预后,父母全力以赴,最终找到巴教授。
5岁男孩右侧海马、右顶叶占位
没有明显症状的他们选择尽早手术
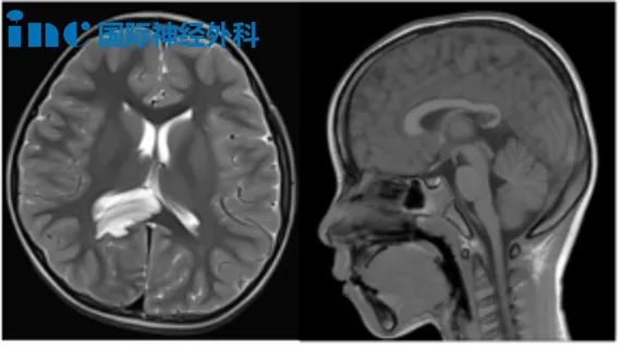
霖霖意外查出脑瘤——右侧海马、右顶叶占位没有带来明显症状。考虑到孩子年龄太小,家人最初选择了保守观察。然而,这颗潜伏的“肿瘤怪兽”并未真正沉睡,它只是在暗中蓄力,伺机而动。
不到一年时间,霖霖的丘脑已被逐渐增大的肿瘤步步紧逼、推挤——露出狰狞面目的肿瘤,还能继续观察吗?

面对这一局面,拥有40多年神经外科经验的巴特朗菲教授如何评估?
10月22日,霖霖父母带着孩子前往苏州大学附属儿童医院,与巴教授面对面交流。面对父母的疑惑,他解释道:“这种肿瘤不会自行停止生长,一年后复查时会变大。另一个问题是,这类肿瘤可能会发生基因变化,转变为更恶性的类型。而且肿瘤靠近颞叶内侧部,这一部位的肿瘤容易诱发癫痫发作……”
父母最关心的,始终是孩子未来的生活质量。为了让孩子尽早摆脱肿瘤的威胁,他们最终坚定地选择了手术。
8岁男孩右侧丘脑、基底节区占位
“巴教授能为他手术吗?”
不同时空,怪兽也没有放过另一个孩子。
它悄然潜入8岁小航的大脑,盘踞在右侧丘脑与基底节区。初次发现时,肿瘤已显露出不容小觑的规模——病灶大小约4.0cm×4.7cm×4.8cm,高度怀疑为弥漫中线胶质瘤,并引发了梗阻性脑积水。在这幼小的头颅中,肿瘤开始悄然作恶:小航出现记忆力减退、注意力难以集中,甚至喝水时呛咳。

面对面交流时,男孩的父母声音里满是忧虑:“这个肿瘤……是恶性的可能性大吗?巴教授,您能为他手术吗?”他们不曾想到,这颗隐匿的肿瘤竟已悄然壮大,成为全家心头沉甸甸的巨石。
巴教授在详细评估后,给出了明确而坚定的判断:孩子有明确手术指征,应尽快手术,不能再拖延。而对于这个胶质瘤,巴教授表示可能是低级别胶质瘤,但还是要看最终手术病理。“
“Thank you,Professor.We may need your help in the future.”这句道谢背后,是父母有了希望。
“面瘫、手脚麻木”21岁青年不愿面对的术后可能
今年9月,21岁男孩头晕查出右侧大脑脚、脑干血管瘤伴出血,就诊多家医院,意见各有不同,其中有的医生建议手术治疗,告知有面瘫、手脚麻木的风险。“我们想请巴教授为他手术……”当母亲从报道中得知巴特朗菲教授中国学术交流时,这个家庭看到了更多希望。

由于情况紧急,他们选择视频咨询。面对这个病例,巴教授在评估后给出了清晰的分析:“这个血管瘤体积较大,需要通过手术切除,否则未来很可能再次出血,引发更严重的问题。”他语气沉稳地补充道:“我主刀过200多例脑桥部位手术,总共完成了373台脑干海绵状血管瘤手术——在这个领域,我们已有充分的技术积累。”
我们也衷心祝愿这位年轻人能早日摆脱病痛,重获蓬勃朝气。
是立即手术,还是继续等待?
这往往是脑瘤患者和家属最难做出的抉择。
INC巴特朗菲教授中国行中总是遇到这样的患者,在非常晚期才来手术,那时总会问为什么没有在一两年前进行手术?晚期意味着治疗的难度增加——如果还有可能被治疗的话。

有时,医者也会感到不解,为何众多脑瘤患者非要拖到病情已经极其危急,到了令多数医生都感到棘手难处理的阶段,才前来就医呢?
寻求巴教授的,大多都是高难度的疑难杂症患者。“我已经在大脑的各个区域做了成百上千例这样的手术”——作为国际神外专家,巴教授40年神经外科经验,30余年深耕脑干手术,脑干、颅底、功能区、脊髓髓内……这些都是巴教授中国示范手术时经常碰到的高难位置。
随着巴教授中国行继续,越来越多患者逐渐了解并信任这位国际专家,选择与他面对面交流。我们相信,在中外神经外科专家的携手努力下,更多生命的希望,正在路上。
- 文章标题:【下周示范手术继续】意外查出脑瘤何时手术?与巴教授面对面后,TA们有了新决定
- 更新时间:2025-11-06 10:15:41
400-029-0925




