INC大咖在华 巴教授示范手术实时报道 INC巴特朗菲教授的中国之行仍在紧锣密鼓地进行。一台台高难度神经外科示范手术在中外专家的默契协作与患者家人的殷切期盼中顺利完成,为多名疑难脑瘤患者点亮了新生的曙光。 曾一度或当今仍被许多人视为无人之地的海绵窦区因其复杂的结构和密集的神经、血...

INC大咖在华
巴教授示范手术实时报道
INC巴特朗菲教授的中国之行仍在紧锣密鼓地进行。一台台高难度神经外科示范手术在中外专家的默契协作与患者家人的殷切期盼中顺利完成,为多名疑难脑瘤患者点亮了新生的曙光。

曾一度或当今仍被许多人视为“无人之地”的海绵窦区因其复杂的结构和密集的神经、血管,至今令人畏惧。
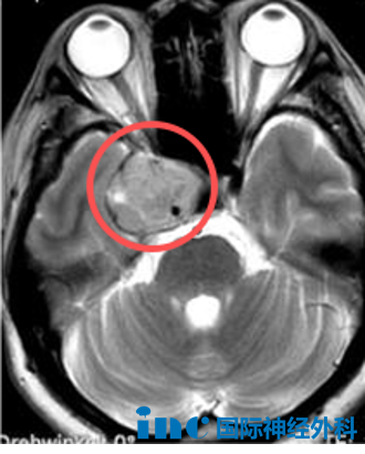
“巴教授,终于见到您了!”会诊室里,一位42岁海绵窦区占位病变患者的母亲难掩激动。她期盼已久的巴教授,正是那个可能为女儿带来生命希望的人。那么,这台高难度手术的结果究竟如何?

北京时间2025年10月22日,巴教授于苏州大学附属第四医院完成这台海绵窦区占位病变示范手术。
手术难在何处?在于其位置深、解剖关系错综复杂。该区域不仅包绕颈内动脉,更密集走行着动眼神经、滑车神经、三叉神经和外展神经等重要颅神经。术中稍有不慎,极可能导致功能障碍。因此,手术的核心目标是在全力保护血管与神经功能的基础上,最大限度地切除病变。
最终,在巴教授与国内神经外科团队的紧密协作下,这个血供丰富的肿瘤得到了满意的切除。
“明天一定要坐起来!”
巴教授查房时的暖心鼓励
还有一名26岁的女孩芝芝,在昨日顺利手术后,也传来了好消息!丘脑占位手术次日,普通病房查房时四肢活动正常。巴教授还用中文亲切询问:“你觉得怎么样?”并鼓励她尽早下床活动,“明天一定要坐起来,尽量走动。”芝芝的母亲也始终在旁陪伴,为她加油打气。
目前,巴教授神外疑难示范手术持续进行中。愿在求医的道路上,更多患者能找到那一束指引方向的光,最终走向他们所期盼的结果。

面对面咨询仍在继续
今日,一名5岁男孩霖霖也见到了巴爷爷。这名男孩在2024年11月因意外摔倒发现右侧海马、右顶叶占位,考虑低级别胶质瘤。2025年8月复查,病灶大小39*24*28mm,病灶增大。患儿偶发头晕,休息后可缓解。“病灶挤压丘脑,需要手术……”面对面咨询巴教授后,他们也有了前进的方向。
- 文章标题:“终于见到巴教授了!”今日,一台穿越海绵窦区的高难度示范手术,结果如何?
- 更新时间:2025-10-23 11:36:39
-
2023年10月底,INC巴特朗菲教授受邀参加JNS日本神经外科学会82届会议,本次会议的主题为...
2024-11-18 11:55:34
-
据了解,首都医科大学附属北京天坛医院是一所以神经外科为先导,以神经科学集群为特...
2024-11-18 11:45:40
-
2023年巴特朗菲教授9月中国行圆满结束! 2023年9月26日至10月2日,巴教授在INC国际神经外科...
2023-10-23 14:24:54
-
今年五月,INC国际神经外科医生集团旗下组织国际神经外科顾问团(WANG)成员、苏州大...
2024-11-07 18:25:02
-
从即刻出发,寻求更多的可能性! 肿瘤如此狡猾,就仿佛温水煮青蛙一般,让他们曾一...
2024-11-24 15:04:49
-
巴教授已正式抵达中国! 圣诞节的医然坚守,这位国际神经外科专家将这样过 选择做一...
2024-12-22 15:33:57
-
北京时间2024年9月28日,来自德国的巴特朗菲教授已抵达首都医科大学附属北京天坛医院...
2024-11-18 14:29:19
-
2024年1月INC巴教授中国行 日前,巴特朗菲教授(巴教授)和INC合作的苏州大学附属独墅湖...
2024-01-18 10:37:23
-
北京时间11月15日,在苏州大学附属儿童医院(苏大附儿院)神经外科手术室,由INC国际...
2024-11-07 18:13:46
-
2023年尾声渐近,我们坚守勇气、选择相信;我们每一次出发,都是新的进击、攀登、跃...
2023-12-23 16:26:49
-
INC巴教授2025学术交流 学术会议手术交流 当脑部疾病正疯狂侵袭宝贵的生命,焦虑?恐惧...
2025-10-11 16:07:32
-
2024年3月巴教授即将来华! 我可以在2024年3月底或2024年4月初给病人做手术。 如果病人决...
2024-02-27 09:17:29
-
转眼便是春,和天气一起升温的,还有INC持续推进的中外神经外科交流合作。作为连接中...
2025-02-12 15:55:22
-
2023年巴教授10月北京天坛医院实时报道 INC引入国际前沿神经外科手术技术,同时与国内...
2024-11-18 13:42:35
-
INC又一大咖来华 福洛里希教授抵达中国,开启天坛医院之行 这个夏天,INC国际神外大咖...
2025-06-27 11:41:17
-
2023年6月INC巴教授即将来华 INC 2023国际神外教授来华学术交流项目持续进行中,今年3月,...
2024-11-07 17:18:13
-
近日,在INC上海办公室,一场场与国际神外教授远程视频咨询正在进行。本次咨询教授是...
2024-03-06 09:07:43
-
来自德国的巴特朗菲教授,以其精湛的医术和对医学的深刻理解,在全球神经外科领域享...
2024-09-20 11:35:26
-
INC不断推进的中外神经外科交流合作,在这个春天迸发出勃勃生机。三月,春意盎然,在...
2024-11-07 16:08:52
-
INC巴特朗菲教授正式开启 苏州独墅湖医院之行 手术排期 巴教授与苏州市独墅湖医院神经...
2024-11-07 18:11:55