在神经外科手术中,时间就是生命,时间就是希望。
年末,面对复杂神经外科疾病的患者们仍在全力冲刺,只为迎接健康的曙光。
西方圣诞节如同中国的春节,而在圣诞前夕,这位德国神外大咖将不远万里来华,带来新生的希望!
“我决定手术,巴教授可以尽快为我手术吗?”
——37岁脑干病变患者翘首以盼
“我最早的时间,甚至可以在今年年底前(12月下旬)抵达中国。”
——INC巴特朗菲教授
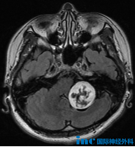
天气渐转微凉,37岁的周先生(化名)脸颊却莫名发烫,右手也传来灼热。
10月中旬,一次头颅检查,揭开了异常信号的真相:脑桥后方异常信号,约1.8cm×1.0cm,疑为脑实质肿瘤,胶质瘤可能。

辗转北京、上海多家医院,得到的回复却令人沉重:“病变位置太深,手术风险极高,建议观察随访。”
但他清楚自己的事业正值高峰,且还是整个家庭的支柱,不能倒下:手术迟早要做,等,不是办法。如果等到肿瘤长大、恶化,一切将更为艰难。
得知巴教授在脑干高难度手术领域积累了大量成功案例后(点击了解:1974-2024携手脑干50年的“love story”「INC云端峰会」巴教授精彩分享),周先生毅然求助。
当连线到巴特朗菲教授时,周先生第一次听到了不同的声音。
视频连线中,教授不仅对手术充满把握,更以精确数据为他分析风险与切除率。那一刻,他希望手术越快越好。
关于时机,巴教授直言:
“第一,这明确是肿瘤。即使是低级别,也可能随时间恶变——这是反对观望的有力理由。等待只会让肿瘤生长,对患者不利。
第二,目前肿瘤在脑干内浸润尚浅。从影像看,它位于第四脑室表面,未深入脑干。但如果继续等待,肿瘤会向深处进展,大大增加手术难度。
当前没有症状是好迹象,说明肿瘤尚未造成永久损伤。然而一旦进展,神经功能可能受损,届时手术将更加复杂。
但是手术与否,最终取决于患者自己。”
他是家庭的支柱,要为家人撑起一片天;而巴特朗菲教授,将以四十余年的精湛技术,成为他生命中的那道可靠支撑。

一个扑朔迷离的桥小脑角区病变
放疗没有显着效果,怎么办?
同样在寻找答案的,还有33岁的林女士(化名)。
一次意外摔倒,竟发现左侧桥小脑角区有一个约36×32mm的占位。由于手术风险高,她接受了射波刀放疗。

然而放疗后,肿瘤并未明显缩小,症状却悄然浮现:左脸肌肉不时抽动、眼周跳动,偶有耳鸣和头晕……更令人焦虑的是,经历了这一切,她依然不知道这个肿瘤究竟是什么。
在朋友的建议下,林女士找到了巴教授。她想知道,这位颅底脑干手术大咖,会如何评估她的情况。
巴教授仔细研究影像后指出:“这个增强病灶位于左侧小脑桥角,并累及颈静脉孔。从形态看,很可能来源于后组颅神经的神经鞘瘤,但也可能是其他类型肿瘤。不过,目前没有任何恶性迹象,基本可以判断是良性病变。”
“这种情况下,手术切除是明确的选择,也是完全可行的。”教授语气笃定,“我已经从事神经外科42年,完成过很多类似手术,结果都很好,这一点患者不必过于担心。”
“虽然之前的放疗可能会增加神经与肿瘤的粘连,但我清楚这种情况该如何处理,能够在手术中尽力保护神经的完整性。”
“现在的问题是,手术应该尽快进行。”教授强调,“任何等待都意味着肿瘤可能继续生长,这只会让后续治疗变得更复杂。”
圣诞前夕,再启新生之行!

他们,不是个例,仍有无数位于脑干、丘脑、颅底等复杂位置的肿瘤患者,在“高风险”与“再等等”之间挣扎。
可疾病从不停步,时间从不等人。
即使年关将至,疾病的阴影仍压在患者与家人心头——那是一块悬着的石头,让人无法喘息,只盼早日落地。
在神经外科这条路上,每一个选择,都指向不同的未来。
时间不仅是日历上的数字,更是逐渐流逝的神经功能、日渐降低的生活质量,有时甚至是生存的可能本身。
然而,这个冬天,或许能迎来一次关键的“破局”。
12月下旬,巴教授来华,为等待答案的他们带来新的可能。

- 文章标题:“巴教授可以尽快为我手术吗?”12月下旬,他们与德国神外大咖携手奔赴“生命之约”
- 更新时间:2025-12-07 14:20:53
400-029-0925




