
在神经外科的早期拓荒时代,脑干曾是不可触碰的“手术禁区”。想象一下,若时光倒流百年,一场开颅手术可能依赖的是榔头、凿子,甚至外科医生用手指进行剥离。在那个对大脑认知模煳、缺乏麻醉、无菌观念和有效止血的年代,患者面临的生存考验极为残酷。
直至20世纪80年代,越来越多的脑干病变手术得以展开。
即便将时钟拨回20多年前的1999年,面对大脑——这台已知宇宙中最精密的“仪器”——一场高质量的脑干手术依然充满未知与风险。而就在那一年,22岁的吉娜走到了人生的岔路口。
她的世界开始倾斜:看东西重影,头晕袭来,走路时身体不受控制地左右摇晃,每一步都走得蹒跚艰难。医院给出了诊断:脑干海绵状血管瘤。那些医学术语——复视、共济失调、步态障碍——背后,是一个年轻女孩正在摇晃的年轻生命。
手术,还是不手术?这是一个即使放在今天也令无数人无比纠结的抉择。而在上世纪末的医疗条件下,这个决定更像是一场押上生命的博弈。

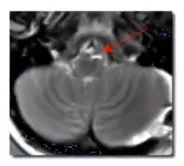
吉娜术前MRI
1999年,这台脑干手术
究竟可以做到何种程度?
脑干海绵状血管瘤,即时在当时世界范围内甚至都没有很多病例报道,更别说成功手术案例。这种疾病的名字里虽然带了个“瘤”字,但它本质上是一种血管畸形,属于良性病变。这意味着,如果能被安全地完全切除,患者有很大机会恢复正常生活。然而,这个“如果”背后是巨大的风险——脑干是生命中枢,手术犹如在钢丝上跳舞,一旦失误,后果不堪设想。
但留着它,就等于在颅内埋下了一枚不定时炸弹。海绵状血管瘤并非静止不变,它可能反复出血,每一次出血都会让神经功能“生锈”、受损,导致共济失调等症状步步加重,甚至引发致命性卒中。
面对两难抉择,吉娜决心手术根除后患。
然而这台手术究竟有谁可以做?
此时的巴特朗菲教授正潜心于脑干、丘脑、基底节区等深在位置的海绵状血管瘤手术研究。1974年,巴特朗菲教授已经开始了脑干解剖等基础研究、探索如何进入这一“无人之地”。

1974年的巴特朗菲教授
1991年,巴特朗菲教授就发布相关研究,《Microsurgery of Deep-Seated Cavernous Angiomas:Report of 26 Cases深部海绵状血管瘤的显微外科治疗(附26例报告)》,其中回顾了26例经显微手术切除的深部海绵状血管瘤,14个位于脑干内。这些患者是1983年8月至1989年12月间手术的患者。11例完全切除,没有产生额外的神经功能缺损。

这场性命相托的手术结果如何?
答案是令人欣慰的。手术顺利完成后,吉娜的症状得到了显着缓解。在2019年的术后20年复查中,她的脸上洋溢着灿烂的笑容,健康状态良好。这场曾经看似不可能的冒险,为她换回了长达20年的高质量生活。

2019年的吉娜

脑干海绵状血管瘤手术
现在又如何?
脑干海绵状血管瘤的手术指征得以明确建立,许多学者报告了令人鼓舞的长期疗效及可接受的并发症发生率。然而,现实是,切开致密的正常脑干实质以暴露深部海绵状血管瘤,存在损伤邻近的长束纤维及脑干内核团的风险,对于神经外科医生要求极高。
在过去的20多年间,巴教授已经通过显微手术成功切除了一定数量并非显露于脑干表面的中脑、脑桥及延髓海绵状血管瘤,并在这些病例中取得了令人满意的疗效。基于这些实践,逐渐认识到:经验显示,只要脑干切口小、显微操作轻柔,术后绝大多数病例神经功能缺失极少。
截至2025年,巴教授已为373名脑干海绵状血管瘤患者手术,其中包括216名女性患者,157名男性患者,年龄涵盖1岁至69岁。从手术部位来看,104例位于中脑,216例位于桥脑,53例位于延髓。

中外专家联手
巴教授2025示范手术进行中
吉娜的故事已是二十多年前的往事,但人类与脑部疾病的较量从未停止。今天,仍有无数罹患复杂脑部病变的患者,在迷茫中踏上寻求希望的漫长征途——从最初的无助、寻求帮助、焦虑等待,直至信任巴教授,最终顺利手术,所幸的是,他们成功了!转头回望来时路,“轻舟已过万重山”,但只有我们自己知道,这一路经历了怎样的惊心动魄。

在INC搭建的一座座交流的学术桥梁上,中外专家联手破局,不仅是在救治一个个患者。在学术交流之中,巴特朗菲教授从不吝啬传授自己的精湛技巧。他相信一台台示范手术,技艺“心手相传”,青年医师也定能奋勇不懈攀登神经外科之高峰……
- 文章标题:1999年,巴教授这台脑干手术,如何扭转22岁女孩的生命绝境?
- 更新时间:2025-11-15 22:28:00
400-029-0925




