
INC大咖来华
巴特朗菲教授&Couldwell教授
两位大咖齐聚中国
北京时间2025年10月17日,世界神经外科联合会(WFNS)教育与技术委员会前主席Helmut Bertalanffy(巴特朗菲)教授、世界神经外科学院前主席William T.Couldwell教授抵达北京,受邀出席“2025年国家神经疾病医学中心(天坛)神经外科学术大会”、“第三届天坛脑网络神经外科年会”。此次会议由中国医学装备协会、中国医学装备协会神经外科分会主办,国家神经疾病医学中心(天坛)、首都医科大学附属北京天坛医院神经外科学中心承办。
作为INC国际神经外科医生集团旗下世界神经外科顾问团(WANG)成员,在INC协调之下,两位国际大咖将展开一系列密集的学术活动。除了在此次国际大师课论坛上进行课题演讲,与国内外神经外科同道交流临床经验和研究进展外,两位教授将分别开展后续行程,其中,巴特朗菲教授将于国内进行手术交流,为多名亟待手术的疑难神经外科疾病患者解除病痛,而Couldwell教授将在本周末于上海开展神外学术沙龙,与国内神外专家们齐聚一堂,共同探讨学术前沿。
01、巴教授:手术交流及面对面咨询
国际大咖接踵而至!作为专注神经外科领域的国际化专业平台,INC将持续发挥桥梁作用,不断完善国际资源对接机制,助力国内外神外专家学术交流,共同提高国际神经外科临床手术及咨询水平,让更多国内疑难脑瘤患者能够在“家门口”就能接受到国际专家的手术治疗。

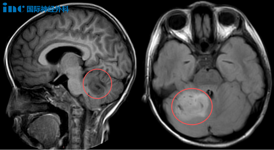
1、6岁女孩小脑占位性病变
一名被诊断为“小脑占位性病变”的女孩乐乐,3天时间,多次呕吐、头晕、恶心,父母心急如焚,最终找到了巴教授。这一次,让他们下定决心手术的,是与巴教授面对面交流时,巴教授笃定的一句:“这个肿瘤可以手术。”

2、12岁男孩颅咽管瘤
涛涛今年8月因头痛查出颅咽管瘤,20mm×15mm×27mm大小的病变已经让脑干受压后移。“肿瘤已经压迫到视交叉后方的视路系统,这说明肿瘤在机械性地造成视功能障碍。如果手术一再推迟,这种压迫会导致视路受到进一步损伤,甚至可能出现永久性的视野缺损……”面对中药与偏方疗效不佳、孩子自觉症状加重、生长激素也出现问题的现实,巴教授对病情风险的评估也让家长意识到,手术是避免肿瘤进一步恶化、为孩子争取未来的唯一选择。

3、26岁女孩右侧丘脑病变
还有一名女孩芝芝,右侧丘脑病变,大小约25mm×23mm×24mm,虽然无明显临床症状,但这个此前已经经历过鞍区生殖细胞瘤放化疗的年轻女性来说,这一次她希望手术可以快刀斩乱麻,为她切除这个丘脑病变。“对我来说是常规手术。”面对面咨询时,巴教授的自信也让她对这次手术充满信心。

4、40岁男性左侧中、后颅窝占位性病变
吴先生,意外发现左侧中、后颅窝团块状异常强化影,大小约38mm×28mm,疑似脑膜瘤,且已压迫脑干。头昏不适,吴先生发现自己看东西越发模煳,记忆力也在下降。这样等下去会不会存在巨大的风险,令他陷入深深的恐惧。而咨询巴教授后,教授的评估与他的担心不谋而合,“继续拖延对患者没有好处,只会让肿瘤进一步发展,因为肿瘤在持续生长,越大手术就越复杂,手术应尽早进行。”
此外,巴教授表示吴先生的脑膜瘤非常罕见,它有不寻常的生长延伸:一方面向上延伸到左侧大脑内部,推压基底节、颞叶和下丘脑,同时影响视系统,包括视神经和视交叉;另一方面,它还有相当大的一部分在幕下。肿瘤跨越了两个不同的颅内间隙:颞叶区域和后颅窝。这种向上又向下的双向延伸需要采用特别的手术技术。

5、42岁女性右侧海绵窦区占位病变
陈女士因眼眶疼痛查出右侧海绵窦区占位病变,大小约2.6*3.0*4.1cm,考虑脑膜瘤可能。右嘴角至右侧鼻翼的区域麻木;偶有头昏、头痛。巴教授阅读影像发现陈女士的病变已经延伸至视交叉下方鞍旁区域,并包裹右侧颈动脉。病灶的广泛侵犯、显着体积及对右侧眼眶尖产生压迫,对右侧视神经构成明确威胁,手术指征明确。

02、Couldwell教授:学术沙龙即将开启

William T.Couldwell因在颅底外科方面的专长而被国际医学界认可,经常应邀作为演讲人并指导颅底外科课程。此前,Couldwell教授受邀来华开展学术沙龙,与国内神经外科专家们共同探讨关于海绵窦脑膜瘤、垂体瘤等疑难脑肿瘤疾病的手术技术探讨和临床经验交流。浓厚的学术氛围、友好的交流空间、专业的互动议题……更是吸引了越来越多的国内青年医生慕名前来。本次来华,他将带来的精彩的议题分享:颅底外科的历史与演进、神经外科医师的眶内手术。

往期沙龙照片
- 文章标题:【10月17日】INC两位大咖今日抵达,齐聚北京,共赴天坛学术盛会
- 更新时间:2025-10-18 11:50:15
400-029-0925




