INC巴教授·2025学术交流
示范手术进行中
北京时间2025年10月20日,INC巴特朗菲教授于苏州大学附属儿童医院顺利完成一台儿童脑瘤示范手术。
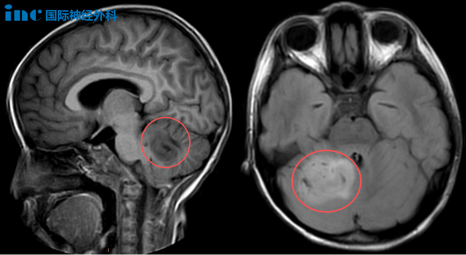
6岁女孩乐乐,在1个多月前被查出小脑占位,一度令乐乐一家陷入前所未有的迷茫和无助中。核磁上巨大的肿瘤,让原本活泼开朗的女儿变得头晕头痛、嗜睡……而导致这一切的罪魁祸首却一直得不到解决,这对乐乐父母来说,每一天都是煎熬。

幸而,就在一个多月后的今天,乐乐等来了巴教授。“手术对我来说并非难事,我能做到!”正如巴教授在术前评估的那样,今日上午,巴教授主刀,在与苏州大学附属儿童医院神外团队的默契配合下,应用术中导航及术中超声,仔细确认肿瘤边界,最终为乐乐顺利手术!

一个个好消息传来,乐乐的手术不仅十分顺利,还获得了非常满意的手术切除!众人都为这个幸运的小女孩捏了一把汗,对于乐乐家人来说,尽管医院外是一片阴天,但他们心中的暖阳正悄然升起。
随后,巴教授便马不停蹄地前往下一站苏州大学附属第四医院,在那里,还有更多等待着巴教授示范手术的疑难脑瘤患者!
PART 01
术前谈话:“我知道如何避免风险”

26岁女孩芝芝查出右侧丘脑病变,大小约25mm×23mm×24mm,虽然无明显临床症状,但一家人仍希望尽早解决这个隐患。“风险肯定有,但我知道如何避免。”巴教授在过去40多年中不断学习和实践,正是为了掌握如何做到这一点。术前谈话时,母亲详尽了解了手术的细节。这一台手术,巴教授也将在尽可能切除病灶的同时,保全功能。

PART 02
面对面咨询:重获信心的一家人!

18岁的帆帆,自2009年起便走上了一条充满挑战的求医之路。4岁那年,他接受了第一次手术,切除了头顶的神经鞘瘤。14岁时,确诊神经纤维瘤病2型,进行了右侧小脑病损切除术。2022年10月以来,帆帆反复出现右下肢剧痛,严重时疼痛可持续约6小时,难以入睡;还伴有进行性听力下降的困扰。今年7月的复查显示,其后颅窝、颈椎椎管及胸壁多处病灶仍有进展,右颈部病变大小约7.0cmx5.2cm。面对疾病的反复考验,这个少年有着超乎年龄的坚韧,而他的家人始终是他最坚强的后盾,用不离不弃的陪伴给予他前行的力量。
在咨询巴教授后,他们了解到需要分次手术应对多处病灶。由于颈髓病灶持续进展可能面临瘫痪风险,首次手术将优先处理该部位。面对面交流,教授的回复给予了他们极大的信心,更赋予了他们决策的勇气。

随着巴特朗菲教授中国行的持续推进,从细致咨询、深入术前沟通到手术的顺利实施,这个秋天,他们迎来了重要的生命转机。与此同时,新一轮面对面咨询也为更多患者与家庭带来了信心与希望。
行程还在继续,生命的力量亦生生不息。我们静候并期待着,那些即将传来的、充满生命力的回响。有关巴教授后续行程,敬请持续关注INC官方报道。
- 文章标题:儿童疑难脑瘤示范手术顺利进行!下一站,更多患者在等待……
- 更新时间:2025-10-21 13:52:29
400-029-0925




