
INC大咖抵华
巴教授&北京天坛医院实时报道
北京时间2025年9月25日,首都医科大学附属北京天坛医院国际部迎来神经外科外籍专家巴特朗菲(Helmut Bertalanffy)教授,学术交流正式开启。

在巴教授主刀下,中国神经外科专家团队同台合作,为一名脑膜瘤患者林先生实施了高难度的显微神经外科手术。
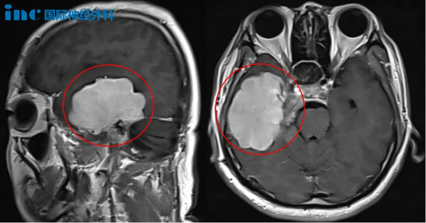
术前MRI

这台手术的挑战不仅在于肿瘤本身的复杂性,还源于患者曲折的治疗过程。在长达12年的漫长抗争中,林先生经历了一次开颅手术,两次伽马刀治疗以及中药治疗……然而首次术后出现面瘫,甚至右侧耳朵里长出奇怪“肿瘤”,切除后不幸失聪,这一切无疑是对其身心的严峻考验。然而这个狡猾的肿瘤依然不依不饶,疯狂生长,侵犯多个区域,甚至已经把三叉神经和滑车神经360°无死角的包裹。
面对这一复杂病情,林先生一家对本次手术充满期待,得知巴教授即将抵达天坛医院时,他们更是早早在国际部门外翘首以盼。林先生也始终保持着顽强的姿态以及决不放弃的精神。手术中,巴教授凭借精细操作将肿瘤完整剥离并实现满意切除。为预防脑嵴液漏,巴教授使用患者大腿部筋膜进行修补填充。今日恢复良好的林先生,妻子激动分享:“和10年前的那一次手术相比,这次术后状态好很多!”

今日手术交流继续,开颅手术后他无需进ICU
“非常感谢教授,完全信任他!”这是今天另一位接受手术的脑瘤患者郑先生的心声。正值壮年、事业有成的他在一次体检中查出额叶占位,高度怀疑低级别胶质瘤。人生的华章才刚刚开启,又怎能轻易被这“小小病魔”打败“?
术前MRI

“必须高质量地活着!”虽然没有症状,但胶质瘤可能长大、甚至恶化,郑先生毅然决定尽早手术,以绝后患。他做出这一坚定选择的信心,正来源于对巴教授深厚的信任。
神经外科的手术治疗,从来不是一个瞬时动作,而是一个连续过程。从术前请巴教授评估、方案制定,到术中操作、术后康复,主刀是贯穿全程的灵魂人物。尤其在重大手术中,患者和家属所信赖的一直都是执刀之人——他的经验、判断与担当。

术前谈话时,巴教授表示已经通过特殊技术处理脑成像,以明确肿瘤位置及与运动神经纤维束的关系,如同绘制大脑中的地图一样。他强调,由于个体差异,术前充分了解这些信息对手术规划至关重要。“我们会竭尽所能(try the best)。”这句承诺,也给予了郑先生莫大的信心。顺利手术后,郑先生无需进ICU。
两个6岁的孩子,为希望、他们奔赴一堂
手术要不要做?能不能做?能做到什么程度?这些问题始终是神经外科患者关注的核心问题。巴特朗菲教授抵达天坛医院后,仍不断有慕名而来的患者带着殷切期望寻求手术机会。

同为6岁的他们,却都不幸查出脑瘤。为了孩子能够得到更好的预后,父母全力以赴,最终找到巴教授。
6岁女儿小脑巨瘤
和巴爷爷面对面交流后,我们决定手术!
几天前,女孩乐乐在放学回家后,向父母抱怨起自己白天有些头晕疲乏,没想到又出现呕吐。父母急忙将她送至医院检查,没想到,这彻底改变了一家人安稳平静的生活。进一步检查乐乐被诊断为“小脑占位性病变”,考虑低级别胶质瘤。3天时间,乐乐多次呕吐、头晕、恶心,父母心急如焚。尽管住院一段时间后,乐乐的头晕症状和精神状态均有所好转,但脑袋中的肿瘤却始终令一家人如鲠在喉,是他们心中不得不拔掉的一根刺。和教授面对面交流后,当得到可以手术的评估后,他们便下定决心要找巴教授手术。

“医生叔叔,我感觉我脑子里面有虫子”
6岁男孩脑桥-桥臂占位性病变
“我脑子里有虫子在爬。”当年幼的佑佑说出这句话时,这并非童言无忌的想象,而是大脑发出的求救信号。今年9月,佑佑突然出现四肢不自主运动、摇头、伸舌头等现象。当父母带着他前往医院就诊时,佑佑说经常头晕,自觉脑内有虫子。进一步检查发现,四脑室内异常信号,大小约14*13*9mm,考虑低级别胶质瘤。“不保证能全切”深深困扰着夫妻两,不能全切如果再复发,孩子该怎么办?
巴教授可以为孩子全切肿瘤吗?带着期望,他们找到巴教授。好在发现及时,病灶还不大,且没有侵袭脑干,巴教授评估有全切的机会。
- 文章标题:与巨大脑瘤抗争多时,终于等来巴教授&天坛医院联合手术!他们的命运能否改写?
- 更新时间:2025-09-27 16:48:00
400-029-0925




