
胶质瘤早期手术必要性的8大要点
1.影像学提示低级别胶质瘤且伴有明显临床症状(如头痛,肢体活动、语言、视觉异常,癫痫发作等)的患者,顺利前提下的较大水平切除是优选的治疗方案。
2.像学提示低级别胶质瘤但暂无明显临床症状的患者,大多体检或因为脑外伤行颅脑影像学偶然发现而就医。此类偶然发现的低级别胶质瘤相比于伴有临床症状者,肿瘤更易被完全切除,理论上预后会更好。
3. 磁共振显示的低级别不就是低级别,确定诊断靠病理。
4. 不管有无症状,低级别胶质瘤也都在不断的生长中,平均生长速度3.5毫米/年。
5. 低级别胶质瘤从无症状到出现临床症状平均间隔48月。
6.无症状低级别胶质瘤发现之初,约30%的病例其肿瘤中心已经开始出现内皮增殖等向恶性转化的微小病灶,也就是说在没有出现临床症状之前肿瘤即已开始了向间变(恶性)分化。
7.从低级别胶质瘤分化为高级别胶质瘤平均周期5.7年 。
8.无特异症状偶然发现的磁共振考虑低级别胶质瘤手术的优点:a 减少向恶性转化的可能性;b 肿瘤越小越有可能做到“超全切除", 以期延缓复发 延长生存期;c 降低致残率;d 无症状的低级别胶质瘤术后存活期明显高于有症状的。
低级别胶质瘤(low-grade glioma,LGG)是一类不常见的、WHO分类为I和II级的、原发的中枢神经系统肿瘤。通常处于非活动状态,但是不少肿瘤会演变成致命性的高级别胶质瘤。低级别胶质瘤确诊后不手术可以么?指南低级别胶质瘤一旦确认后尽早手术 ,带来较大收益。但是仍然有很多低级别胶质瘤患者因为病变小,没有症状或者担心手术风险一直在采取观望。由于低级别胶质瘤难免恶性进展,对于种种原因不愿意手术的患者,较迟要在恶性进展之前或者恶性进展时干预,这就要求密切随访。
“‘低级别胶质瘤’确诊到手术仅3个月,术后竟是胶质瘤4级”;脑干胶质瘤保守治疗,2年肿瘤竟压扁大脑;脑干低级别胶质瘤,2个月迅速生长8mm……在我们以往接触的这一个个鲜明的案例,在为他们得到成功治疗庆幸的同时,也提醒着更多类似的胶质瘤患者——“实际上胶质瘤从不停止生长,等待会让肿瘤变得越来越大。”这也是INC德国巴特朗菲教授在接受INC专访时,给胶质瘤患者们关于手术时机的答疑。那么他们究竟经历了什么?
INC案例交流:为什么胶质瘤需要尽早手术?
“低级别胶质瘤”术后竟是胶质瘤4级

“我想用中国传统的礼仪感谢巴教授,在中国这是用来拜天神的,感谢巴教授高超的艺术、精益求精的技艺,让我的手术切除率能够达到90%以上”。
49岁的魏先生2022年8月底出现呕吐、食欲不佳、伴轻度头晕,行脑部CT 提示无异常。然而仅仅过了一个月,行颈椎磁共振,提示延髓占位性病变,怀疑低级别胶质瘤,且核磁片子显示肿瘤部分呈弥漫性生长。肿瘤位置和成长形态都很复杂,手术难度较大,然而不手术,可能面临着肿瘤持续生长压迫到脑干,造成瘫痪、呼吸障碍、甚至死亡等无法想法的后果;另一方面,如果肿瘤不是预期的低级别,那么发展速度更是难以想象。所以尽可能手术切除肿瘤减少肿瘤压迫、手术尽快明确肿瘤病理是目前治疗路上较重要的两个目标。和许多低级别胶质瘤病友选择保守治疗不同的是,魏先生只想尽快找到解决眼前问题的较佳办法。在多方查询下,魏先生找到了INC德国巴特朗菲教授,希望教授能为自己手术。
而巴教授的评估结果也坚定了魏先生选择手术的想法。巴教授:“我认为等待一段时间做手术对并不利于病人,而是有利于肿瘤的进一步生长。”

2022年12月2号,中国疑难示范手术期间,在苏州独墅湖医院,巴教授顺利为魏先生手术,手术切除率达到90%以上,比教授术前评估的70%高出20%多,术后无新发后遗症,术后一天,魏先生手脚可活动、对答如流,术后三天魏先生恢复良好,坐在病床上深深向巴教授三作揖,感激巴教授的救命之恩。

术后一周,与初次诊断“低级别胶质瘤”不同的是,魏先生的病理结果显示为恶性四级弥漫中线胶质瘤。虽然病理结果不尽人意,但魏先生另一方面也感到庆幸。他并没有因为是“低级别胶质瘤”就一直选择保守治疗,巴教授这一次的及时高切除率手术为自己的后续治疗争取了更多的时间。目前魏先生在巴教授的建议下进行质子治疗。
“低级别胶质瘤”确诊到手术仅3个月,术后竟是胶质瘤4级,如果再晚一些,随着肿瘤的迅速进展,可能很难取得现在的手术效果。
脑干低级别胶质瘤,2个月迅速生长8mm
21 岁的张远早在6年前就检查出无症状脑积水,当时由于没有症状,一直进行保守治疗。2018 年底,正在读大学的张远突然出现剧烈头痛伴呕吐症状。反复头痛已经严重影响到正常的学习和生活,在19年进行了脑脊液分流术,术前磁共振检查提示中脑导水管狭窄,但并未发现占位性病变,分流术后症状消失。
然而,直到2021 年 2 月,张远再次出现剧烈头痛伴呕吐,并有眼球向上运动困难,分流管调压后症状消失。
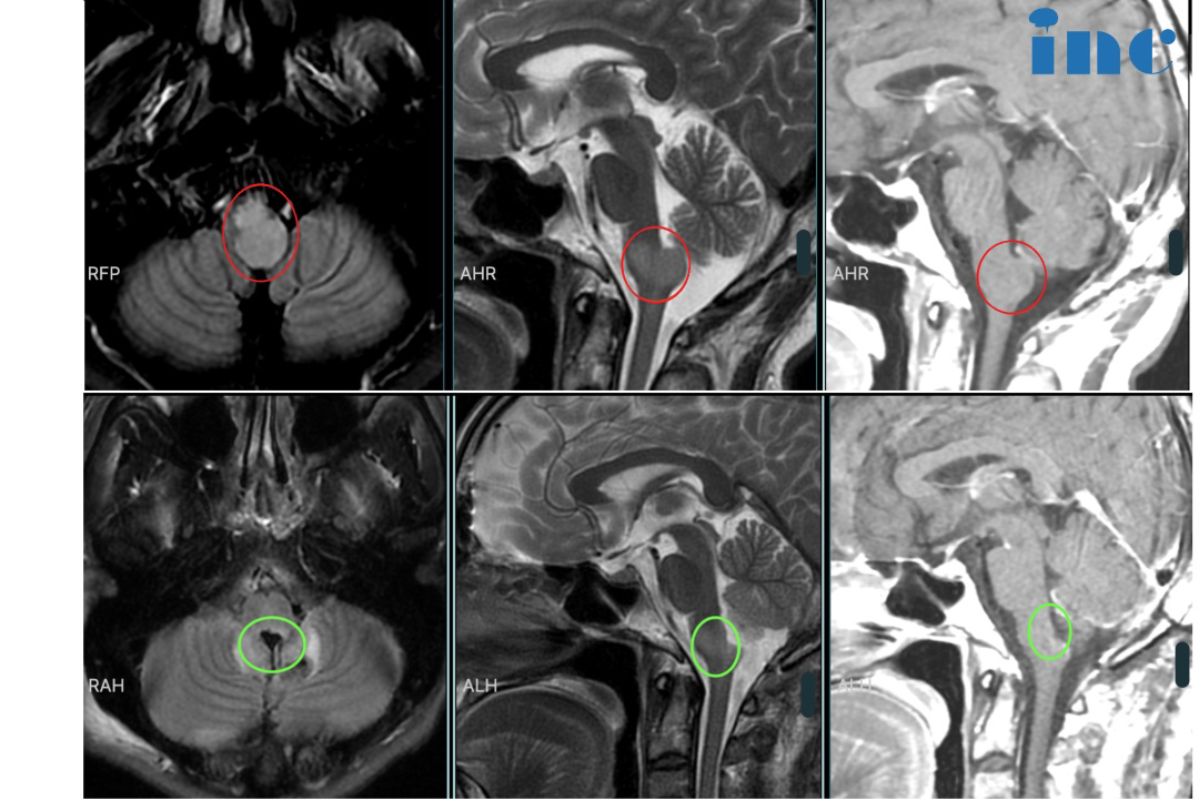
更可怕的是,于当地医院行颅脑磁共振检查,检查结果令医生大吃一惊。提示中脑顶盖占位性病变,较大直径约8mm。但是对于这个位置,当地医生也表示无法手术……
2022 年 8 月张远病情再次加重,眼球活动受限,眼球向下运动困难,后脑勺偶然还会感到麻木或疼痛。复查磁共振提示肿瘤增大,此时肿瘤较大直径12mm,一年半内生长4mm。
然而,这个肿瘤不曾停止生长,2022 年 10 月复查核磁提示肿瘤增大,自行测量肿瘤大小约 18mm,两月内竟激增6mm!
肿瘤正以惊人的态势恶化,再拖下去,纵使是巴教授这样的颅底肿瘤教授,也无法为其手术。在咨询巴教授得到了“病人不能等太久”“手术目的是完全(全切)或几乎完全(98-99%)切除肿瘤”的答案后,他们决定争取2022年巴教授中国示范手术的机会。

巴教授远程咨询回复:不能等太久
2022年12月3日,张远于苏州市独墅湖医院接受巴教授主刀的手术,实现近全切。

术后一天教授查房时,张远意识清醒,能进行交流,术前担心的昏迷、瘫痪真的没有在这个大男孩身上发生。张远:”我想去普通病房。”
术后3个月复查磁共振未见明显复发,达到较大水平功能保护前提下影像学全切。
点击阅读详细故事:脑干胶质瘤2月快速增大,术后即清醒、无瘫痪,INC国际教授如何一刀挽救21岁研究生?
脑干胶质瘤保守治疗,2年肿瘤压扁大脑
“要抢时间,不要然后弄得和走独木桥、走高跷一样,那没必要,还是尽量可以提早一些……复查好,中考体育40分满分,英语口语30分,去德国手术之前身高1.7,回来就长到1.8几,运动能力比术前更强了!你们帮助了很多人,这个医院很好,全部人做手术出院的都是走路出去的,没有瘸着推着轮椅出去的。希望你们能帮助到更多人!”
——小永父亲
14岁的小永查出脑干胶质瘤,影像片子显示:脑干-中脑顶盖,伴有幕上脑室扩张积水,脑室及大脑实质已经受压变形。在与患者家属沟通中我们得知,小永2018年就出现过轻微头痛、头晕,去医院检查发现脑干肿瘤,并伴有梗阻性脑积水。小永的父亲咨询了很多专家。“每次都说毛细胞星形细胞瘤一般不长,观察就行,但是后来我然后一次去找他们的时候,我说症状太重,不行就做手术,他们然后和我说实话,因为做手术风险过大,所以说建议你观察……”这一拖就是2年多,孩子的病情越来越严重。
得知孩子无法再等时,他们下定决心尽努力为孩子争取较好的治疗,确定孩子术后能够正常生活和学习。然后,一家人通过INC,与国际脑干手术教授巴教授进行国际医学咨询。
巴教授仔细研究小永的相关资料后表示:“已经有很明显的手术指征。我想知道为什么他还没有得到治疗,因为病变是从2018年就知道了。无论如何,我强烈建议不要给病人提供脑室腹腔分流术,因为这样一来,他将一直依赖于这个分流术。”小永的父母觉得再不能拖下去了,经过反复考量后,开始准备带孩子去德国找巴教授做手术,在INC协调和帮助下以较快的速度办完手续,不到一个月的时间内到达德国做上了手术。
手术结果令人欣喜,小永的肿瘤得到近全切除,病理结果为毛细胞型星形细胞瘤,这是一种预后较好的胶质瘤,全切或近全切后复发率低。

去年7月,术后已经过了1年半,我们对小永进行随访时得知他已经凭借的中考成绩,考入示范高中,其中体育成绩还获得了满分,完全看不出来曾经做过开颅脑干手术。

INC国际教授关于胶质瘤手术时机研究
患者问
对于胶质瘤患者,什么时候做手术较好?你有什么建议?
INC德国巴特朗菲教授
通常我会回答,越早越好。实际上胶质瘤从不停止生长,等待会让肿瘤变得越来越大。从根本上说,尽早行动是重要的,因为在开始的时候,我们可能会看到一个相当小的肿瘤,我们有很好的完整切除的可能性,尽管损害了已经存在的脑组织,手术仍然是可能的,其结果将与小肿瘤不一样。所以早期手术基本上是重要的。
INC胶质瘤专家领衔欧美四大神外中心联合研究揭示:早期手术对无症状低级别胶质瘤的总体生存益处。
偶发的无症状性低级别胶质瘤代表了胶质瘤发展的临床静默期, 在这个时期,在MRI上可以看到胶质瘤,而病人仍然没有症状, 随着体检的普及医学发展,无症状性低级别胶质瘤(LGG)越来越常见。重要的是,无症状LGG总是沿着白质通路持续生长,在中位间隔48个月内成为有症状的肿瘤。总而言之,无症状LGG的自然历史特征是沿着白质通路缓慢而持续地生长,并有向恶性转化的内在趋势。
尽管早期较大限度切除被广泛认为是症状性LGG(SLGGs)的一线治疗方法,但无症状LGG的临床治疗困境已成为人们越来越感兴趣和争论的话题。在过去的十年里,管理无症状LGG的方法已经开始转变。传统上,无症状L
GG的治疗方法是“保守观察”,手术要推迟到患者出现症状或出现提示转化为高级别胶质瘤(HGG)的MRI特征。许多患者仍无症状的情况下,通过早期干预推动了无症状LGG的手术期限,这种策略被称为早期手术。越来越多的研究表明,与sLGG相比,无症状LGG具有更高的EOR和更长的生存期,这一早期手术方法得到了越来越多的研究的支持。
由于无症状LGG的少见和长期随访的困难,缺乏明确这些肿瘤较佳治疗问题的前瞻性和回顾性研究。因此,INC旗下组织国际神经外科顾问团成员、美国神经外科学会主席Mitchel Berger教授联合多位教授,基于从美国、法国、意大利三个国家,四个专门的神经肿瘤学中心收集临床数据,以确定影响早期接受无症状LGG手术的患者的预后和存活率的因素。

论文截图
研究结论
早期手术正在成为好转无症状患者生存预后的较佳临床选择。
这项多中心研究将客观肿瘤体积数据与手术结果相结合,证实了早期手术对无症状LGG治疗的临床重要性。这是迄今为止较大样本的无症状LGG治疗策略分析。结果表明对于无症状LGG患者而言,早期手术是顺利的,并且正在成为好转无症状患者生存预后的较佳临床选择。
后记
“我想先等等看”是治疗的一大误区!是否及时放化疗、是否手术解除占位损伤、手术是否造成严重神经损伤等,很多患者出现症状时不重视,只有颅高压症状如头痛头晕等不典型症状时,往往未及时就诊耽误了病情。也有很多患者四处求医,加上医院的各种等待时间及对患者的治疗的不清晰及犹豫,也会造成病情未得治而恶化。
希望更多脑胶质瘤患者在发现病情后,能够尽快找到合适的医生针对病情制定个体化治疗方案,尽早摆脱疾病折磨,重获健康。
400-029-0925




