6岁女孩胶质瘤抗击之路
“这是怎么回事?”
“我该怎么办?”
“我当初要是早知道就好了”。
对许多患儿家庭来说,儿童脑瘤会让本该平静的生活发生天翻地覆的变化。尽快,恐惧和茫然无措占据了大脑。今天的故事,我们交流一位6岁女孩可可的抗击胶质瘤之路,也是一位妈妈,用爱、坚守和勇气为她的孩子开辟的生命之路。希望能给正在和儿童肿瘤抗争的家庭一些帮助和信心。这条路上,你并不孤单。
“我女儿得了脑瘤,这就像一场灾难,我对这种病知之甚少。我们相信巴教授能救她,我相信这是可能的。很幸运认识巴教授,我的女儿也幸运……”谁也没能想到在舞台上翩然起舞的可可即将经历一场开颅手术。命运是残酷的,这个从小热爱跳舞的女孩被告知手术可能会导致偏瘫;她也是幸运的,在巴教授示范手术教学中,手术很成功。
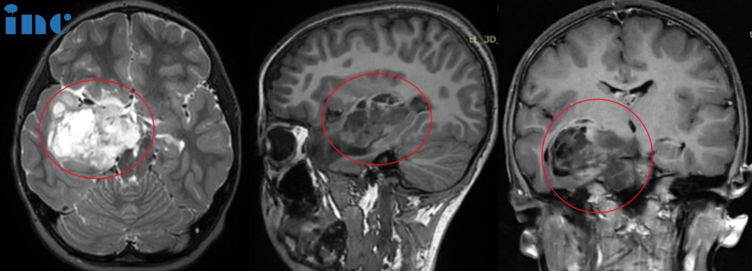
▼可可术前术后影像对比

可可术后病理结果为WHO1级胶质瘤,这代表着预后很好,可以长期生存,甚至可以和正常孩子一样生活。手术后的可可恢复了本来的开心、健康和活力,将重拾自己的舞蹈梦想。总结自家的经历,可可妈妈希望和病友交流以下几点:
“想办法找到实力、经验更强的医生”
可可,一个具舞蹈天赋的快乐女孩,每次跳舞时,可可像一个美丽的小天使。然而,一向健康的她,在经历了两次病毒感染后都出现了高烧惊厥。母亲联想到女儿好像今年以来偶有出现类似癫痫小发作,有时返流时头向右偏,流口水……可可妈妈不敢轻视,带着可可直奔医院检查。2023年4月,可可一开始就诊,起初医生怀疑癫痫。随后医生建议进一步检查CT和加强核磁。,检查结果出来了,诊断为疑似低级别胶质瘤,不排除高级别可能。


脑肿瘤手术要在头上动刀,很多病患家庭还没做手术就被告知手术出现的各种可能并发症风险吓倒,宁愿保守治疗,能不手术就不手术。当可可妈妈得到“可以切除孩子肿瘤,但是瘫的可能性很大”的回复时,她清醒。此时只有了解清楚所患疾病的治疗知识以及该领域技术高超的神外专家才是较重要的。比如同样是神经外科,却有很多亚专科方向甚至病种研究范围的不同,神外是高手术学科,很多医生所擅长的手术有所不同。
她知道女儿热爱跳舞,而且跳得这么好,她需更加谨慎,不能让孩子冒着偏瘫的风险去做手术。手术不做则已,要做必得成功才行,他们只想为孩子求得较好的治疗,不想因为自己错误的选择给孩子的一生带来无法挽回的后果。
不能等!可可父母询问了一个又一个医生,然后将目光聚集到INC巴特朗菲教授。“我们相信巴教授能救她,我相信这是可能的。很幸运认识巴教授,我的女儿也幸运……”

巴教授凭着其多年的成功手术经验明确表示:可可的核磁显示很可能符合低级别胶质瘤。在 MRI 上没有恶性肿瘤的迹象。预期切除率将超过 90%,这取决于术中的情况。我过去曾成功地为患有类似肿瘤的儿童做过手术,切除率也很高。可可妈妈终于看到了希望,这是黑暗中的一线生机,需抓住!
巴教授远程邮件回复节选:

后来可可一家才意识到,他们的锲而不舍、巴教授的,高效的沟通,都为孩子治疗争取了较大的治疗时间和空间。
抓住一次治疗的“黄金治疗时机”,手术很重要
对于胶质瘤患者来说,首诊首治是开启长期生存大门的“金钥匙”——治疗胶质瘤的一步,一般是通过手术尽全切肿瘤。因此,一次手术更可谓是“性命攸关”,好的手术不仅可以挽救、延长患者的生命,更关系到患者康复后的生活质量。是像可可这种位置复杂难于手术时,主刀的技术能力尤为重要。

术前谈话时,可爱的可可给“巴爷爷”送上了小熊猫礼物,咨询室的全部人都被这个乐观的小朋友感染了。
“不会受到影响。她的智力和运动能力等,都会好的!”术前谈话中,巴教授对于可可妈妈的疑惑进行了解答。能手术、能保功能、预后好,可可还能回到正常生活。这对现在的他们来说,这就是较好的消息,需牢牢抓住这个胜利的机会。
“我相信您的团队,我也相信您,这是较重要的事”——可可妈妈
在苏州大学附属儿童医院,手术顺利。这场手术由巴教授主刀,国内神经外科医生团队配合。在术中导航、术中神经电生理监测的护航下;巴教授通过不同的体位和高超的手术技术,在不损伤神经功能的情况下,较大水平切除肿瘤,无新发功能缺损。

巴教授从ICU出来的一句“都好!她可以动,可以说话。”这是可可妈妈较难忘的场景,巴教授的话给了她较大的信心,心里瞬间充满了希望,感觉这场战争终于挺过去了。可可妈妈还为教授送上鲜花,外婆给教授深深鞠躬感谢!这一幕也让我们深深感动。

手术后巴教授向等候在ICU外的可可妈妈报平安
可可术后也一天天恢复好起来,这也让可可妈妈庆幸当初的坚定选择。术后一天可可转出ICU:意识清醒,双手都可以动。如果幸运,可可将可以恢复到和常人一样的生活状态。
“您就像变了个魔术一样,like doing a magic”——术后二天查房,可可妈妈对巴教授的手术技术惊叹道
术后七天查房,可可行走自如,运动功能和术前一样,一家人准备出院了。临走之前,还送给巴教授祥瑞兔儿爷,寓意着顺利和好运。对于可可一家来说,巴教授如同这个祥瑞兔儿爷一样,庇佑每一位脑瘤患儿,免受疾病折磨。
“兔儿爷也是一个医生,他来自百年前的传说,人们会在中秋节供奉他,以此来祈愿好运和健康”——可可妈妈
“脑瘤不是“不治之症”,一级胶质瘤可以长期生存”
一说到脑袋里长了肿瘤,多数人的一反应是恐惧,很多患者甚至抱着得了“不治之症”的心理去就医。事实上,脑部肿瘤并非都是“绝症”。大多数1级脑肿瘤是可以通过顺利尽全切手术达到良好预后。而可可术后活检结果也和巴教授术前评估一样:
1.组织学诊断:儿童型低级别胶质瘤。
2.组织学分级:相当于WHO1级。
这个结果让可可一家感到无比幸运,我们也衷心为这个可爱的女孩感到高兴。成功的手术加上1级胶质瘤的病例结果,意味着她将获得良好的预后生存期。

可可的活检结果

“4040名诊断为低级别胶质瘤儿童患者的长期跟踪结果:监测、流行病学和结果数据的分析”低级别胶质瘤儿童患者拥有较好的生存率。该分析调查跟踪了4040名WHO I级和II级患者。20年总生存率87%±0.8%,30年OS(总生存率)为74.8%±2%。肿瘤全切显示了更好的无进展生存率及总生存率,手术的目的可以是尽可能地切除肿瘤,同时尽量减少长期神经性后遗症的风险。因此,成功的一开始手术对于患儿的预后至关重要。
勿因犹豫而耽误较佳治疗时机,早发现早手术获益
每一个患儿与脑瘤抗争的背后,都是家长将自己的知识、选择、坚持发挥到好的过程。谈及给同类脑瘤患儿父母的建议,可可妈妈表示:当得知孩子得了脑瘤,具体结合自己综合情况,为了提高长期生存和更佳的生活质量,作为父母想尽办法寻求较好的治疗方案,请国际上能够达到全切乃至次全切、近全切手术效果的专家进行治疗,这样可以不用为自己的选择而后悔,可以较大水平地挽救自己孩子的生命!
后记:每一天都是礼物
经历这一场大病,会改变什么吗?亲眼看到即将离开医院的可可,我们知道这场脑瘤改变不了什么,她远远是那个聪明,乐观,优雅地跳着舞的女孩。命运虽有风浪,但蝴蝶终将飞越沧海,可可正是这只顽强不屈的蝴蝶,终将在风雨之后,翩翩起舞。希望可可在舞台上继续闪闪发光,舞动出自己的绚烂人生。
尽管我们无法预见未来,但我们可以交流一个个成功治疗的故事。要相信,有许多像可可这样的家庭走过了你们此刻所经历的。你会找到许多很棒的同伴,我们共同走过这段路。
你并不孤单。
400-029-0925




