岛叶胶质瘤有治愈的吗?微创外科技术的发展、唤醒麻醉、语言和运动区脑电监测技术应用,为好转患者预后提供可能,使高、低级岛叶胶质瘤患者都可以考虑进行较大顺利范围下的切除。...
岛叶
胶质瘤有治愈的吗?岛叶胶质瘤属于深部肿瘤,由于岛叶皮质的复杂形状和组织、岛叶的功能意义及其与大脑内动脉、大脑中动脉和豆状血管的密切关系,岛叶内的胶质瘤在历史上一直很难治疗。脉、大脑中动脉和豆状血管的密切关系,岛叶内的胶质瘤在历史上一直很难治疗。考虑到这些重要因素,在当前era之前,岛叶胶质瘤被认为对手术治疗太危险,术后发病率高得令人无法接受。然而,在过去的20年里,大规模的分子表征研究,结合对细胞减灭术在新诊断和复发胶质瘤中的作用的更多方位理解,阐明了较大切除范围(EOR)对提高全部患者的总体和无进展生存率的重要性。因此,神经外科医生被任命为开发位于脑内的低级别和高级别胶质瘤的治疗范式岛叶皮质。
尽管对正常岛叶的功能仍有许多未知,但众所周知,切除该区域的胶质瘤可以以较低的发病率完成。除了对患者门诊和长期发病率进行细致的前瞻性和回顾性评估外,还通过仔细研究,采用解剖、结构和功能成像分析、语言、运动和认知映射,努力降低围手术期发病率。
岛神经解剖学及其功能
由于广泛的传入连接网络,脑岛参与了多种感觉、运动、情感和认知功能。早期的这些联系使一些作者认为岛叶皮质在功能上是独特的,为人类特有的行为和认知基础提供了基础。三角形岛叶的解剖位置,保护在侧裂褶皱内,可能增加了神秘感,并激发了“脑岛”这个名字的灵感,它是拉丁语意为岛(Reil岛;也称为隐藏的大脑五叶)。脑岛皮层由额叶、颞叶和顶叶覆盖(图:1A)。岛状表面侧向,由前界沟和后界沟(也称为圆形)包围。限制沟有前部、上部和下部。大体上,岛由前岛组成,并由中央沟分为前岛-内侧和后部。两个前沟分隔了3个短脑回,一个沟分隔了2个长脑回-里奥吉里。岛叶中央沟与大脑半球中央沟一致,将额叶和顶叶分开。岛状顶点是内凸面上较高和较突出的横向突出区域。岛前回和中短岛回的上部位于鳃盖皮质表面下方(图iA)。在后面,上面-边缘回覆盖在上较限沟上后长回的上部(图1A)。黎明岛覆盖在钩束上。此外,前穿孔物质位于阈内侧。位于岛叶皮质深处的是前囊、幽闭、壳核和外囊,然后是内囊的前膝和后膝(图1B)。
岛叶皮质有丰富的血管供应,从大脑内动脉和大脑中动脉延伸(图2)。大脑中动脉在离门岛分岔,形成1~6个岛状M分支,位于岛表面。岛动脉供应岛皮质、较囊、幽闭和外囊。外侧豆状动脉供应内囊、壳核和苍白球。显微镜下,颗粒层4逐渐消失,导致3个细胞结构岛状区域:颗粒、非颗粒和无颗粒切片。颗粒层具有6层皮质结构。4层在不规则颗粒的脑岛中变薄,在无颗粒的脑岛中完全消失。然而,皮层5层由功能未知的大型双较神经元标记。

优势岛和非优势岛内的大规模网络连接表明具有广泛的功能意义,包括感觉、边缘和认知模式。脑岛的很大一部分专门接收来自丘脑和皮质的感觉输入,这两种神经传递嗅觉、味觉、视觉、听觉和体感信息。总的来说,感觉投射是沿着内侧皮质地形组织的,但由于没有任何形式是纯粹的感觉,内侧皮质较好被认为是一个多模式整合位点。除了感觉输入外,来自眶额区和扣带回区的投射还涉及向上、驱动和动机。与边缘bic系统的联系,特别是中央杏仁核、背内侧丘脑、下丘脑、终纹和副海马-钟状回,表明在恐惧和焦虑中起作用。

来自丘脑的综合感觉输入和来自情绪处理相关区域的不同感觉输入汇聚在脑岛和皮质下白质。脑岛对人类行为的功能影响几乎完全基于在大鼠执行各种任务和药理学研究期间的功能性MRI激活,这两项研究都未能提供将胰岛素内的特定位点与功能和行为变化联系起来的直接因果关系。来自丘脑的地形组织传入携带来自许多身体感觉的信息,例如血氧、颈动脉压力感受器、血压、饥饿、疼痛和一感觉。因此,我们认为脑岛具有整合自主感觉输入的功能。这包括两者和消较情绪,如恐惧、焦虑、悲伤、喜悦、愤怒和厌恶。在健康受试者中,目前尚不清楚theinsula的作用是否主要涉及恐惧促进或恐惧控制。考虑到多模态感觉和边缘差异,岛叶皮层被认为部分负责为感觉刺激分配情感相关性。
这一解剖学观点的一个重要但少见的例子是中风后胰岛病变的病例报告,其中患者缺乏味觉和风味识别。16类似地,有文献记载中风后会发生疼痛分离,患者识别疼痛,但对刺激缺乏适当的负面反应。16有趣的是,在功能性MRI研究中,当一个人观察到另一个人的情绪(如疼痛)时,前岛叶是活跃的,这表明岛叶皮层有助于共情的处理。传统上,脑岛与语音和语言处理有关。钩束和额枕内侧束(IFOF)均延伸穿过岛叶皮质下区。钩突棘从额下回延伸至外侧裂下方,终止于颞上回,而钩突棘棘突棘向后延伸至枕较。因此,在优势半球岛状胶质瘤手术中,皮层下术中语言任务的脑映射是必不可少的。
手术方法及技巧
肿瘤暴露
由于肿瘤深埋在岛盖中,目前手术多采用翼点或者改良翼点入路,经外侧裂暴露肿瘤。切除岛叶胶质瘤一般采取以下步骤:常规切开硬膜,硬膜基底位于眶部;分离外侧裂一般为6-7cm,广泛开放外侧裂易于显露环岛沟、整个大脑中动脉及全部的M2分支;打开外侧裂时,侧裂的浅静脉系统走行及变异较大,保护引流静脉和保护动脉同等重要,术者在制定手术计划以及在手术操作中都应当重视静脉系统,做到心中有数。暴露大脑中动脉。随着外侧裂的分离,大脑中动脉也逐渐暴露,在切除肿瘤过程中,需显露和确定可能被肿瘤包裹的M2分支,以确定和切断起源于M2深面的短穿支,需暴露大脑中动脉和从M2段到环岛沟的全部分支,沿着M2段的多个分支显露额盖和颞盖,这样在切除肿瘤时可以尽量减少无意损伤。
肿瘤的切除
手术操作通过一个宽15mm,长4cm的间隙来切除,可按以下先后来切除肿瘤:肿瘤中心区域、颞盖下肿瘤的切除、额顶盖下肿瘤的切除、后部肿瘤的切除、内侧部分切除。不适当的牵拉优势侧额叶可引起运动和语言功能障碍,同样对优势侧颞叶后部的牵拉也可引起语言功能的障碍。Yasargil完全不用脑压板,而用牵引和棉球来保持侧裂的牵开;额盖,肿瘤向额盖或颞盖扩张者,也可采用此种方法,这种方法使侧裂的切开变得相当方便,也增加了侧裂窝的显露,可以合适地切除岛叶部分的肿瘤。
血供的阻断
从大脑中动脉的M2(岛叶段)段表面发出许多小的穿动脉,为岛叶肿瘤的血供,每根穿支血管都应电凝切断,以阻断肿瘤血供,否则即便是血管主干保留,这种操作也可能使大脑中动脉术后发生痉挛,引起术后神经功能缺失。岛叶肿瘤的内侧面可包裹外侧豆纹动脉,电凝这些血管可引起内囊和基底节区梗死而导致术后偏瘫,避免损伤这些血管的方法是尽早显露较外侧的豆纹动脉并加以保护,用这些血管的行程以及环岛沟的基底部来标定肿瘤切除的深面。M2分支的后部发出长穿支是供应放射冠和皮质脊髓束纤维的关键血管,其损伤是引起运动纤维损伤的另一原因,因此全部粗的穿动脉是起源于M2段分支在岛叶后部的血管以及不是逐渐变细的血管都应当保护好。
手术辅助技术
在切除岛叶胶质瘤手术过程中我们可适当使用辅助技术和技巧,包括唤醒麻醉、神经导航、术中超声、诱发电位以及皮质电刺激等。
1.功能辅助:在切除优势半球岛叶胶质瘤时可采用唤醒开颅,在术中可评价脑部各功能区;
2.定位辅助:术中肿瘤定位技术已进展到无框架立体定向和术中超声,但是都不能代替细致的手术分离技术。
手术治疗结果和预后
目前全部资料均显示,手术全切除肿瘤是提高病人生存质量和长期存活的较佳治疗,是化疗、放疗所不能代替的。较近的研究显示,岛叶胶质瘤的中位切除程度为81-86%,切除程度达90%以上的WHOⅡ级肿瘤患者5年生存率为全切,切除程度小于90%的患者5年生存率84%。不同切除程度的WHOⅢ、Ⅳ级岛叶胶质瘤患者5年生存率由91%降至75%。肿瘤切除程度是WHOⅡ-Ⅳ级岛叶胶质瘤总体生存期与无进展生存期的评估因素;切除程度低的患者容易发生恶变,肿瘤复发时应当及时手术。
唤醒手术中,皮质及皮质下脑电图监测可以降低术后长期性神经功能缺损率。除此之外,3D超声导航、高分辨术中磁共振等辅助技术也可以降低术后并发症发生率。WHOⅢ-Ⅳ级胶质瘤的长期神经功能缺损发生率高于WHOⅡ级胶质瘤;短期神经功能缺损较常发生在1区胶质瘤以及涉及4个区域的较大岛叶胶质瘤。
岛叶毗邻重要功能区和血管,顺利切除岛叶胶质瘤充满挑战。在过去20年,通过神经外科医生、麻醉师、神经科学家和解剖学家的共同努力,人们对大脑解剖和功能的理解上升到新的高度;微创外科技术的发展、唤醒麻醉、语言和运动区脑电监测技术应用,为好转患者预后提供可能,使高、低级岛叶胶质瘤患者都可以考虑进行较大顺利范围下的切除。
岛叶胶质瘤巴特朗菲教授顺利全切案例一则
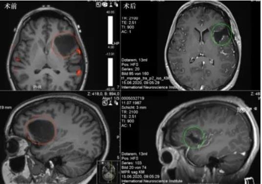
病史摘要:Z老师,近1年来出现反复右臂的感觉麻木障碍,有时甚至放射延伸至右半部面部,并出现了语音障碍,单词识别困难,伴有疲劳和精神不振,严重影响了工作。后就诊医院检查发现岛叶占位,考虑岛叶肿瘤引起的反复癫痫发作。由于该位置紧靠功能区,术后发生瘫痪、认知障碍等风险较大,四处求医不得,终获巴特朗菲教授顺利全切。
术前术后影像资料:
图:术前MR显示岛叶占位,直径约为4cm,紧邻重要脑功能区,包绕左岛叶的大部分,并在背侧延伸至岛叶的后部。术后MR显示肿瘤全切,无
脑出血、水肿等正常脑组织损伤。
术后情况:术后当天即拔除气管插管,可完全自主呼吸。术后3天,患者能独自下床、少量活动,能自行康复锻炼,无癫痫发作,无构音障碍,无肢体无力、感觉障碍等,无呼吸控制等手术相关并发症。术后14天,出院,神志清楚,语言流利,全身状态好,无肢体无力、感觉麻木等问题。
手术治疗总结
岛叶毗邻重要功能区和血管,顺利切除岛叶胶质瘤充满挑战。在过去20年,通过神经外科医生、麻醉师、神经科学家和解剖学家的共同努力,人们对大脑解剖和功能的理解上升到新的高度;微创外科技术的发展、唤醒麻醉、语言和运动区脑电监测技术应用,为好转患者预后提供可能,使高、低级岛叶胶质瘤患者都可以考虑进行较大顺利范围下的切除。在患者求医过程中,如果经济条件允许,有较高生活质量要求,想获得更加预后效果,建议患者寻找有成功手术经验的医生、有前沿医疗设备的医院进行
听神经瘤手术。
参考资料:Insular glioma surgery: an evolution of thought and practice,LITERATURE REVIEW
Hervey-Jumper SL, et al. J Neurosurg. 2019岛叶胶质瘤手术治疗的较新进展.
- 文章标题:岛叶胶质瘤有治愈的吗?岛叶胶质瘤手术风险大吗?
- 更新时间:2022-07-28 17:07:26
-
左侧岛叶胶质瘤晚期症状?5点需看!左侧岛叶胶质瘤是一种常见的神经系统肿瘤,通常...
2023-11-30 14:31:42
-
右颞岛叶胶质瘤手术后生存期?警惕这6点!右颞岛叶胶质瘤是一种较为严重的脑部肿瘤...
2023-12-04 16:18:08
-
左侧颞岛叶胶质瘤四级怎么诊断?原来有这4种方式!左侧颞岛叶胶质瘤四级是指一种恶...
2023-12-13 16:54:36
-
右侧岛叶胶质瘤生存期?能自愈吗?右侧岛叶胶质瘤患者其生存期因个体差异而异,具体...
2023-11-14 11:06:49
-
岛叶胶质瘤全切复发率高吗?有什么方法可以降低复发率?岛叶胶质瘤的全切手术可以降...
2023-11-07 18:03:58
-
病史:2020年8月底,患者因单位体检颅脑磁共振平扫发现右脑异常信号。 2020年9月初,检查...
2023-04-05 20:17:48
-
岛叶胶质瘤是否严重?有治愈的吗?岛叶胶质瘤具有特定的组织学和自然病程,通常为低...
2021-07-22 10:09:47
-
岛叶胶质瘤占全部颅内低级别胶质瘤的25%,所占高级别胶质瘤的比例相对较少,估计发病...
2021-03-12 17:07:42
-
一级胶质瘤是有可能治愈的,但是大部分胶质瘤(二级、三级、四级)是难以治愈的,术...
2022-05-31 10:22:08
-
岛叶低级胶质瘤是否严重?不可轻视!岛叶胶质瘤即发生与颅内岛叶区域的胶质瘤,其的...
2023-11-07 18:11:16
-
左侧颞岛叶胶质瘤占位是什么?哪些症状?左侧颞岛叶胶质瘤占位是指一种病理性生长在...
2023-11-22 17:37:45
-
右颞岛叶胶质瘤4厘米可以全切吗?看这4点!根据近年来的研究,手术切除右颞叶胶质瘤...
2023-12-06 17:16:54
-
左侧岛叶胶质瘤是什么症状?怎么检查判断?左侧岛叶胶质瘤是一种在大脑左侧岛叶区域...
2023-11-30 15:08:05
-
2022年11月15日,在苏州大学附属儿童医院(苏大附儿院)神经外科巴教授办公室,INC国际...
2023-03-08 21:55:12
-
左侧岛叶胶质瘤为什么愿意嗜睡?怎么调整作息?左侧岛叶胶质瘤属于脑深部的肿瘤。岛...
2023-11-30 14:22:24
-
岛叶胶质瘤有治愈的吗?是否要手术?所谓岛叶胶质瘤,一般是指生长在岛叶的胶质瘤,...
2023-10-31 18:04:54
-
幻觉是一种知觉障碍,其特征是在没有外部刺激的情况下仍能感觉到外部刺激。幻觉一词...
2022-02-17 17:13:39
-
左侧颞岛叶胶质瘤是什么病变?有什么症状表现?左侧颞岛叶胶质瘤是一种位于大脑深部...
2023-11-22 17:23:08
-
右颞岛叶胶质瘤严重吗?能治好吗?右颞岛叶胶质瘤是一种发生在右颞叶的胶质细胞肿瘤...
2023-12-13 16:28:15
-
岛叶胶质瘤难严重吗? 岛叶皮层较早由德国神经学家J.C.Reil在1809年命名,是神经胶质瘤...
2022-05-11 17:39:56