INC巴教授·2025学术交流
学术会议&手术交流

当脑部疾病正疯狂侵袭宝贵的生命,焦虑?恐惧?绝望?
即便是在国庆假期,那些在求医之路上奔波的脚步也未曾停歇。他们四处求医,反复询问——只为在迷雾中,找到一条能够继续走下去的路。
然而,“不建议手术”,又或是“手术风险巨大”。无论是哪一个答案,都足以让许多家庭陷入迷茫与绝望。
面对这样的时刻,神经外科医生所被托付的,远不止一场手术,更是一个患者的新生以及一个家庭的未来希望。INC国际神外大咖巴特朗菲教授即将来华,多位饱受疑难神经外科疾病困扰的患者,早已翘首以盼。
“巴教授是否可以手术?”就在国庆假期的第一天,焦急等待的患者为了尽早得到教授的评估情况,他们选择远程视频咨询。通过INC团队协助,他们与巴教授“云端”连线,争取新生的希望。对他们而言,病情不等人,而巴教授的手术评估,或许正是开启重生之门的那把钥匙。

CASE 01
没有症状VS脑干手术的风险
你会如何抉择?
面对这道难题,或许多数人会选择“观察”。然而,病灶往往不因我们的迟疑而停下脚步。
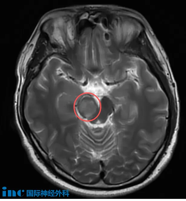
31岁的吴先生,正处于人生与事业的黄金阶段,却在2025年8月下旬因一次突如其来的头晕与耳闷,查出右侧中脑存在病变,自此与位于“生命中枢”的未知病变展开了较量。当地医院怀疑肿瘤可能性大,随后其症状在9月初消失,医生又建议观察。为寻求明确答案,一家人又奔赴北京,得到的回复是“考虑脑干胶质瘤,可以手术治疗”。
“可以手术”,本是一线希望,却将他们推入了更深的煎熬。因为从发现至今,吴先生看似与常人无异,仅有的异常只是偶尔袭来的困倦与哈欠。他们与所有脑干患者家庭一样,陷入那个最令人恐惧的假设:脑干手术风险巨大,如果手术后,情况变得更糟,该怎么办?
在抉择的关键时刻,他们找到巴特朗菲教授。此刻,他们想要知道:这位国际脑干大咖是否可以为他们进行这台“禁区”的手术?
“这并不是一个容易的手术,如果用1到10来衡量难度,我会给它大约7分。它不是最困难的手术,但确实比一般手术要复杂和苛求得多。关键在于,在尽量实现广泛切除的同时,保持患者的运动和感觉功能,实现切除与保护之间的平衡。这确实不容易,但我已在过去40多年中不断学习和实践,正是为了掌握如何做到这一点。我已经成功完成了非常多类似的手术,也正因为如此,我对这台手术充满信心!”这是巴教授深耕脑干多年的自信。

CASE 02
体检惊现脑部病变
“继续观察”还是“积极手术”?
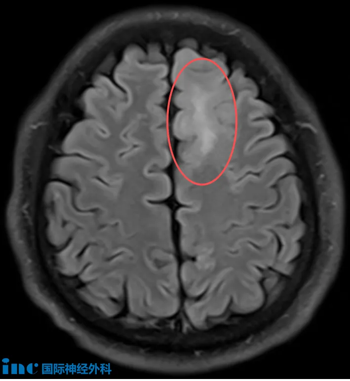
48岁的孙先生,在当地医院体检头颅核磁,发现左侧额叶存在异常信号。为进一步明确诊断,他进行了PET-MRI检查,结果提示:左额叶近中线异常信号,考虑低级别胶质瘤可能性大(脱髓鞘病变不除外)。随后的头颅MRI确认了左额叶皮层及皮层下存在边界不清的异常信号,范围约41×28mm,增强扫描未见明显强化。令家属担忧的是,孙先生近来已出现记忆力下降的迹象。面对这个超过4厘米、性质未明的脑内病灶,到底是什么,要不要手术?
“归根结底,我们从来无法从影像获得百分之百的确定性。手术是获得准确诊断的唯一方法。即便影像显示这是肿瘤,我们仍然不了解肿瘤的分子特征,而这也是非常重要的。我会尽可能多地切除,但同时我们也不希望损伤或影响功能。”——INC巴教授

CASE 03
儿童年纪越大,应对手术能力更强?
等待会对孩子更好吗?
今年9月,6岁的佑佑突然出现四肢不自主运动、摇头、伸舌头等现象。佑佑说经常头晕,自觉脑内有虫子。检查发现,四脑室内异常信号,大小约14*13*9mm,考虑低级别胶质瘤。“不保证能全切”深深困扰着夫妻两,不能全切如果再复发,孩子该怎么办?他们还听到一种说法,儿童大脑多发育一年,应对手术破坏的能力更强,有没有可能再观察一年会更好?
“我们在各种年龄的儿童中都会进行手术,从几个月到18岁都有。更早手术更好,原因有两个:一是肿瘤大小,二是功能因素。这个肿瘤非常小,我们有好的机会将其全切。”——INC巴教授
一把手术刀,再启新生之行!

在医学的神秘领域中,神经外科是一个充满未知和手术挑战的高地。在这里,每一次决策都像是在解一个复杂的谜题,要“量力而行”,这个力包括医生的“刀力”,患者的“体力”,还有“瘤力”,是否需要手术或预期效果怎样,都需要的是三方博弈的过程。当外科大咖在手术台上精准操作时,患者也在用信念向命运挥出漂亮的一拳。此时,已有患者确认在10月接受巴教授的手术,而咨询依然此起彼伏。因为他们深知巴教授来华示范手术为他们提供了战胜疾病的“关键利器”,但真正执剑突破的,永远是他们自己那颗永不言弃、坚定选择的信念。
- 文章标题:INC巴教授10月来华倒计时!为搏一线生机,这些脑瘤患者的“十一”假期不简单
- 更新时间:2025-10-11 16:07:32
400-029-0925




