感谢INC的支持,INC选择了这个漂亮和高的地方作为峰会场地,上海中心大厦给了我深刻的印象。我今天的主题是脑干海绵状血管瘤手术新策略,我已经致力于海绵状血管瘤已经30年,研究脑干是从1986年就开始了。
当然,从那时起,我和每一位神经外科医生一样,努力提高我的技术,不仅仅是手术技术,还有对这种病理学的理解、手术患者的选择和手术策略等等,当然这些年来可能会发生变化。是对于手术患者的选择,年轻的时候可能更倾向于建议患者接受手术。现在我倾向于取得好的结果,而不是关注患者的数量。
——INC巴特朗菲教授
INC 2023三届国际神经外科顾问团云端峰会
国际脑干颅底手术教授精彩讲演
2023年11月25日,INC国际神经外科医生集团“三届国际神经外科顾问团云端峰会”于中国一高楼,被誉为“上海之巅”的上海中心大厦的J酒店开幕。时隔四年,INC旗下国际神经外科顾问团(WANG)十多位成员教授再度聚首上海,以“Neurosurgery is art”为主题,与国内专家共话神外美学!
INC国际神经外科医生集团旗下国际神经外科顾问团(WANG)成员、国际神经外科联合会(WFNS)教育与技术委员会前主席Helmut Bertalanffy(巴特朗菲)教授,同参会的国内外神外医生们进行了《Recent strategies in treating surgically brainstem cavernous malformations脑干海绵状血管瘤手术的新策略》精彩演讲。他交流了来自德国汉诺威国际神经科学研究所(INI)几十年脑干手术的成功经验,介绍了其关于脑干海绵状血管瘤等疑难病例的咨询策略和手术方案等。
▼巴教授40年前就开始脑干解剖等基础研究

近年来,巴教授多次来华,与国内专家展开学术交流、研讨、临床手术示范教学,与国内患者的面对面咨询。2019年至今,巴教授多次来华进行示范手术,完成了近百台高难度脑瘤手术示范。无论是肿瘤位于脑干、颅底、脊髓,还是视神经、丘脑、额叶、颞叶等,在国内神经外科专家的协作配合下,巴教授都为这些疑难神经外科疾病患者进行了较大水平的肿瘤切除,且完好地保留了患者的正常神经功能。在2024年1月上旬,巴教授将再次来华进行示范手术及学术交流,开启2024年度学术交流之行,敬请期待!
脑干海绵状血管瘤手术的新策略,2023年国际神经外科顾问团云端峰会
“手术禁区”——脑干手术有多难?
脑干,约相当于大拇指大小,仅占全部脑的小部分,但它有着生命悠关的重要性。在结构上,脑干居于脑的“中心”,上擎大脑,背负小脑,下连着脊髓,担负着小脑、脊髓与大脑的相互联系,同时是除嗅神经和视神经之外全部脑神经的出入处,

脑干是生命的基本中枢所在,如呼吸中枢、心跳中枢、睡眼中枢及意识中枢等均位于脑干。因此,脑干是神经系统的中心枢纽。脑干一旦有病变,如脑干出血,往往症状严重,引起四肢瘫痪、不能吞咽,眼球运动障碍等,严重者呼吸停止,需用呼吸机维持生命,有时病情危急时,来不及抢救而呼吸、心跳停止死亡。因此,在现代神经外科中长期认为脑干上长病是不能手术的,被称为“手术禁区”。
如果说神经外科是医学领域的喜马拉雅山脉,那脑干则是神外领域的珠穆朗玛峰,全国际能够顺利进行脑干肿瘤切除手术的神外主刀医生寥寥可数,巴教授则是其中的佼佼者。

巴教授对于脑干海绵状血管瘤的深刻解读
“现在,对我们来说脑干的解剖结构由两部分组成。一种是外部的局部解剖学,这是我们想象中应该具备的,另一种是内部的解剖。
不仅是神经核团,长的神经传导通路、各段之间的短神经传导通路,还有你们所看到的这些血管,以及我们至少应该对这些血管的不同分段有一些了解。
然后我们就有了延髓、脑桥和中脑的这个分类或者这个解剖分布,当然这些结构彼此不同,但实际上本质上是没有界限的。因此,海绵状血管畸形可以从一个分段延申到另一个分段。
另一点是,我们可能会遇到这种海绵状血管畸形,可能只是简单的凸出,当然这是一个完全不同的挑战。或者说,这个案例的海绵状血管瘤切除和另一个案例的手术难度大相径庭。当然,这个案例需要做的更多方位,因为两侧都有血管畸形。
我们无法通过一次手术将包括小脑部分在内的全部病变全部切除。所以可能需要分期手术等等。所以全部这些点都很重要。
因此正确的手术指征、手术时机都重要,特别是有近期出血出现的案例。一旦我们确定了适应症,这是一个手术病例,那么我们需找到较理想的手术入路,在很多情况下,我们有两种或三种可能性如何从前方、从侧方、从后方或其他部位到达病灶。
而且它们并不是完全相同的,所以我们虽然可以切除病灶,但也有其优点和缺点,我们也应该对此清楚。然后,这种细致的手术技术将因不同的海绵状血管瘤而异。其中一些的形状就像我们在这里看到的动脉血供一样。这些静脉实际上是相关的静脉畸形的一部分,有时很小,有时很大。然后可能会有一个实性的囊,其里面也有血管等等。因此全部这些因素都重要。”
脑干海绵状血管瘤手术的新策略
INC巴教授还交流了其30多年脑干手术经验和脑干海绵状血管瘤成功案例,内容涵盖了教授脑干海绵状血管瘤国际疑难成功的临床病例资料及发布于神经外科期刊的论文、专著整理等,主要包括中脑、脑桥、延髓海绵状血管瘤的位置和影像学特点的不同、为病人决定较适宜的手术时机及入路选择、获得了较好的手术效果。
对于脑干海绵状血管瘤,巴教授强调了手术策略的重要性,手术策略主要有以下四大关键点:
·正确的手术指征
·适当的手术时机
·较佳外科手术入路
·细致的手术技术

中脑、桥脑、延髓三个位置不同,症状和手术也不同。巴教授认为,脑干海绵状血管瘤手术治疗原则为尽可能全切除病变以及尽可能地保护正常脑干组织,为此,根据肿瘤生长的具体位置和形态特点选择正确的手术入路及顺利的脑干安,全区切口的选择以及恰当的手术技巧、手术辅助设施的应用尤为重要。每一个病例都是都很不同的,都有形态学上的区别,基本没有两个完完全全一样的海绵状血管瘤。

此外,巴教授还交流了2022年11月中国示范手术期间受邀讲课并进行脑干延髓手术现场示范手术教学全国直播。近万名医生及病友线上观看了这场高难度延髓肿瘤开颅手术。作为手术主刀医生,从术前沟通→摆体位→手术切口设计→开颅→肿瘤全切→关颅→术后查房,巴教授全程亲自操刀。在国内神经外科专家的协作配合下,成功完成该示范手术案例。顺利全切肿瘤。这位19岁的延髓海绵状血管瘤患者恢复良好,术后3个月回归校园,恢复了正常的学习和生活。

INC国际神经外科教授年会精彩瞬间
INC巴特朗菲教授近年中国示范手术——脑干海绵状血管瘤合集
19岁男孩脑干-延髓海绵状血管瘤

患者情况:2022年9月8日出现无明显诱因的头痛和晕胀感,从颞侧到枕后。10月10日于苏州独墅湖医院行颅脑核磁提示延髓异常信号,考虑海绵状血管瘤。在2022中德学术交流-INC巴特朗菲教授示范国际疑难脑瘤手术直播,这位来自INC旗下的国际神经外科教授受邀参加一届独墅医帜神经外科论坛(颅底解剖培训斑)暨江苏省医学会/医师协会神经外科颅底学组研讨会,围绕“脑干海绵状血管瘤的手术”做课程演讲,并进行线上线下延髓手术示范直播。
治疗过程:11月27日,在苏州独墅湖医院黄煜伦主任团队配合支持下成功完成手术,再次挽救了这位19岁少年。从确诊到根治性切除,无新发功能损伤,仅仅一个多月。这是巴教授历届来华示范手术一次直播,直播观看人次达7000多,除了神经外科医生观看外,还有即将接受教授手术的患者家属共同观看。
术后情况:术后1天巴教授ICU查房,阿朔意识清楚、对答如流、四肢活动灵活;术后5天,可正常站立、行走;术后8天,阿朔状态很好,正逐步回归正常生活。术后一个月,阿朔回到大学校园,回归正常的学习和生活。
12岁男孩-脑桥海绵状血管里伴出血

患者情况:12岁少年小宇罹患脑干海绵状血管瘤;四处求医后,小宇妈妈被告知手术风险较大:“孩子可能视神经、吞咽功能、语言...都会受损。”通过国内一些神外专家的,小宇妈妈找到了巴特朗菲教授。巴教授肯定答复小宇妈妈手术术后孩子不会瘫痪,不会造成新的神经损伤。“我觉得把孩子交给巴教授我特别放心!”小宇妈妈决定寻求巴教授手术。
治疗过程:2022年11月20日,中德专家合作咨询、密切配合之下,小宇的手术在苏州大学附属儿童医院顺利完成。
术后情况:出手术室,小宇即清醒,无新发功能损伤;术后数天就实现了正常吃饭、下地行走;术后10天采访中提到近期儿子的状态,小宇妈妈表示孩子现在恢复很好,已经逐渐恢复了往日的活力。
47岁男性-脑干中脑海绵状血管瘤

患者情况:脑干中脑海绵状血管瘤致肢体麻木、肢体无力,且逐年加重。4年来秦先生遍求名医,大都建议保守观察,手术风险较其大,不建议手术。在找到我们之前也考虑过手术,但脑干作为“生命中枢”,手术难度较高。遇到专家门诊中轮椅为伴来复诊的病友,他慌了,他无法面对站着入路、坐着出院、终生需轮椅为伴的日子呢?幸运的是,此时恰逢INC巴教授即将来华,秦先生看到相关报道后,立刻联系了INC咨询。通过远程连线,巴教授很快给出评估结果:“可以完全切除中脑病灶,术后2-4个月可恢复正常生活。”
治疗过程:终于,秦先生在11月21日术前谈话后,于次日接受手术,巴教授主刀完成全切手术,无新发功能损伤。
术后情况:术后二天就转入普通病房,无昏迷、肢体瘫痪、感染等。五天查房时,秦先生可自行四处走动。不久秦先生很快就出院,可以如常工作生活,且也不需其他放化疗,获得了“更好”效果。
32岁男性-脑干延髓海绵状血管瘤

患者情况:一年前,三十多岁正处于事业上升期的冯先生因为偶发的手麻就医检查,未曾想到这一查竟是可怕的脑干海绵状血管瘤,且位置位于及其凶险的延髓部位,延髓作为人体的生命中枢,掌管着呼吸、心跳等重要的功能,一旦延髓海绵状血管瘤引发严重出血,可能会导致瘫痪、呼吸障碍等严重后果。“整整一年晚上睡不好,半夜睡梦中惊醒都会不时恍惚,一向身体不错的自己竟然在生命中枢的位置长了一颗‘不定时炸弹’,医生都不建议手术,建议伽马刀治疗”。冯先生不甘心年轻的自己就这样整日受到病魔的威胁。
治疗过程:2022示范手术中成功手术,“没有任何不舒服”,冯先生怎么也想不到困扰自己一年,让自己吃不好睡不好的“脑干肿瘤”就这样顺利全切了,且无新发功能损伤。
术后情况:术后一天,巴教授查房时,冯先生状态良好,“没有不舒服的地方”,巴教授查看了冯先生情况后,也对冯先生说“可以下地来走走,没问题的”。术后两个月,冯先生已经完全恢复了正常的生活,和家人一起回归到健康安稳的幸福生活之中。
35岁女性-丘脑海绵状血管瘤

患者情况:30岁的文文罹患丘脑基底节海绵状血管瘤,经历多次出血。治疗选择从保守到药物,无法合适缓解症状。症状甚至不断加重,右眼视力下降明显,右下肢无力,步态不稳,复查MRI提示病变增大。但是医生考虑手术并发症和风险过大,还是建议保守治疗。然而多次出血已经无法保守治疗。通过INC远程咨询巴教授之后,得到巴教授可以顺利全切海绵状血管瘤的回复后,文文一家坚定选择这次示范手术。
治疗过程:北京时间3月23日,在苏州大学附属独墅湖医院(苏州独墅湖医院)神经外科手术室,由巴教授主刀,国内神经外科医生辅助配合下,一台丘脑基底节海绵状血管瘤手术顺利完成。这是巴教授2023中国行的一台疑难脑瘤示范手术。
术后情况:术后两周多逐步恢复良好,顺利出院。术后2个月文文恢复良好。
术后4个月:文文行走自如、运动及语言功能良好
35岁女性-脑干桥脑海绵状血管瘤

患者情况:35岁的晓玲手术因头晕、恶心呕吐、走路重心不稳、舌体面部麻木等就诊,考虑脑干-桥脑海绵状血管瘤合并静脉畸形,医生告知海绵状血管瘤位置疑难,手术风险很大。虽然症状暂时缓解了,晓玲和家人都知道,寻求手术的机会才能够解决根本问题。多方查询后家人在网上了解到国际脑肿瘤教授INC德国巴特朗菲教授即将在11月份来华进行疑难示范手术,于是争取到了巴教授示范手术的宝贵机会。
治疗过程:2022年11月24日苏州独墅湖医院,巴教授全程主刀手术,在国内神外手术团队的密切配合下,晓玲的脑干桥脑海绵状血管瘤顺利全切,无新发功能损伤。
术后情况:术后3天巴教授查房,晓玲状态良好、对答如流,教授鼓励晓玲术后多坐起来活动。术后8天教授查房,晓玲活动自如,爱笑的她和教授吐槽术后舌头麻有吃饭不香,教授听完表示会慢慢恢复的。术后十一天,巴教授查房,晓婷之前的舌头麻、手指运动障碍等已经恢复很多,拆除了脑内炸弹的她,期待着崭新的明天。
21岁女孩-胸髓髓内海绵状血管瘤

简要病史:还在读大学的田田在一次参加完常规体育运动后自感后背轻微疼痛,两天后出现双下肢无力,检查诊断胸髓髓内出血性病变。后续病情进展很快,还出现小便困难,双下肢无力加重等症状。再次检查后确诊胸髓髓内6段海绵状血管瘤,医生考虑血管瘤位置比较深,在腹侧,手术风险大,建议保守治疗。远程咨询巴教授后,教授表示这次手术的目的是把现在存在的血管瘤拿掉。
治疗过程:3月24日,在苏州独墅湖医院,巴教授顺利为田田顺利手术。
术后情况:术后一天ICU查房田田意识清醒,交流正常。右腿伸直略微困难,脚趾活动正常。术后五天普通病房查房田田感觉很好,右腿活动正常,双腿肌力正常。术后两周情况目前田田术后两周,已经可以下床行走活动,术前的症状有所缓解。术后两个月情况:田田正在稳定康复训练中。

术后两个月时,田田正在康复医院进行康复训练
21岁男孩-脑干海绵状血管瘤

简要病史:21岁的大男孩阿豪2年前在学校他却突然感觉站不稳想吐,之后持续数日的头晕、乏力、睡眠质量下降呕吐,让阿豪警惕起来,观察后不见好转的他来到医院进行检查,没想到检查结果果然异常,头部CT显示延髓后方近小脑见大小约6.8*9.9mm的片状高密度阴影,怀疑脑干海绵状血管瘤。面对面直接线下咨询巴教授,巴教授表示脑干海绵状血管瘤需要手术,自己可以全切。
治疗过程:3月29日,在苏州独墅湖医院,巴教授顺利为阿豪全切脑干海绵状血管瘤。
术后情况:术后1天巴教授ICU查房,阿豪意识清醒、对答如流,吞咽、舌头活动、头部活动等情况,术后9天,阿豪恢复良好,行走自如。术后两周,阿豪恢复很好,无新发症状,阿豪现在已经顺利出院。术后两个月恢复正常生活。
23岁男孩-半卵圆中心海绵状血管瘤

简要病史:23岁的彦文一年前感觉右手无力,写不了字,5月份就医检查左半卵圆中心海绵状血管瘤,住院治疗一周,期间右腿、右脚无力,走路不利索,医院给予保守治疗后出院。彦文父母一直苦苦寻求能为年轻的孩子顺利手术的主刀医生。今年4月,他们看到了国际神外教授巴教授来华示范手术消息,于是奔赴苏州寻求教授为孩子主刀手术。
治疗过程:4月9日,在苏州独墅湖医院,巴教授已经顺利为彦文顺利完成手术,全切左半卵圆中心海绵状血管瘤。
术后情况:术后一周,已经可以自行下床活动,术后的右手麻木等症状有所缓解,术后两周多顺利出院,术后两个月,可以正常行走骑自行车,基本恢复正常生活。
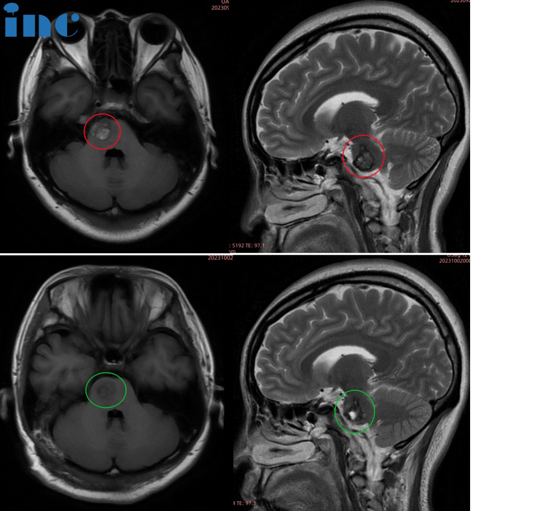
30岁女士•脑干-中脑及桥脑海绵状血管瘤

术前情况:30岁的萱萱2023年3月查出中脑及桥脑右侧占位海绵状血管瘤继发出血。当地医生考虑手术风险大,偏瘫几率大,建议保守治疗。和很多年轻的脑干海绵状血管瘤女性患者一样,当她们步入婚姻自然的要迎接新的小生命。但这一直虎视眈眈的脑干海绵状血管瘤一旦伺机而动如出现急性脑干出血,而致患者和胎儿于困境中,又该怎么办?萱萱多方打听之后,了解到在脑干海绵状血管瘤治疗领域一位国际神外教授巴特朗菲教授。
治疗过程:9月27日,在苏州独墅湖医院,巴教授顺利全切手术,手术后无瘫痪、无视神经损伤、无呼吸控制和昏迷风险。
术后情况:术后当天巴教授前往ICU查房时,已拔除气管插管、已苏醒。萱萱感激说道:“I can see,I can feel,I can move,I have power.”术后一天查房时,萱萱激动地说:“That’s amazing,I feel normal,as the same as(I did the surgery before).So amazing.(这太神奇了,我感觉我和正常无异,和术前无症状时一模一样。太神奇了)”
术后2天查房,教授查看患者切口恢复情况。
术后4天查房,恢复越来越好的萱萱问道自己术前很关心的问题——能不能准备顺利备孕,“Can I safely prepare to have a child?”“I think so,yeah”,巴教授告知萱萱脑干海绵状血管瘤已经全切了,备孕可以的。
术后6天,萱萱下地行走自如,巴教授检查了萱萱的手术切口,开心跟萱萱说“very good,even nobody can see”,萱萱也和爱人一起为巴教授点赞,合影留念。目前已出院。

52岁女性•脑干-脑桥海绵状血管瘤

术前情况:2021年8月,由于心脏不舒服,检查发现脑干海绵状血管瘤,尺寸是0.8cm。当时没有症状,医院建议观察随访。2022年1月,复查尺寸1cm,没有症状,继续随访。2023年3月,患者出现阵发性眼肌痉挛,耳朵有时感觉不舒服。再次复查SWI,发现有出血灶(除了眼部,脸部痉挛,没有其他感觉)医生不认为和海绵状血管瘤有关系。2023年6月,再次复查SWI大小1.2cm,继续随访。2023年8月31日,患者出现头晕,急诊完善头颅核磁,提示有新鲜出血灶,尺寸2.0*1.7*1.8cm。眼肌,脸部痉挛稍有加重,依然是阵发性的。耳朵也是有时不舒服,偶尔头晕。脑干海绵状血管瘤出血灶不断变大,症状也在不断加重,保守观察已经无法缓解她的病情,目前解决的办法只有手术。在多方问询之后,她看到了国际脑干颅底手术教授巴教授在国内示范教学手术的信息。
治疗过程:9月28日,在苏州独墅湖医院,巴教授顺利为其顺利全切手术,无任何新发神经功能损伤。
术后情况:术后1天ICU查房,感觉状态良好,四肢活动正常。术后2天查房,可以坐起,面部没有麻木。术后3天查房,已经下地走路,教授检查了双眼运动。术后5天查房,金女士恢复良好,和前来查房的巴教授合影留念。术后一个半月,金女士已经逐渐恢复正常工作和生活。
37岁女士•脑干-脑桥海绵状血管瘤

术前情况:“我是出过一次血,就不想二次出血,很害怕二次出血。出血后两个月都不敢推门,我老公帮我推门,觉得这样下去人生都没意思了。叫我不能大声说话、打喷嚏可能都会出血,感觉这样人生都没用了,我就一直在那里大声哭。就这样坚持了两个月。我从香港过来,香港没一个医生有把握能不偏瘫、面瘫,所以我们才来这里找巴教授。”2023年7月31号,佩珊突然感到身体没力气,在香港当地医院做核磁,发现脑干海绵状血管瘤出血。虽然后面症状慢慢恢复了,但出血后的佩珊一直过着胆战心惊的日子。为了更好的解决问题,他们在多方查询下了解到INC巴教授。
治疗过程:9月30日,在苏州大学附属独墅湖医院,巴教授顺利顺利全切,无任何新发神经功能损伤。
术后情况:无偏瘫、无面瘫。术后1天回到普通病房,有点咳嗽。术后3天,恢复良好,巴教授查房时,佩珊看到前来问候查房的巴教授时,手舞足蹈、开心比心。兴奋的她激动得对巴教授“表白”感谢:“巴教授您太帅了,I Love you!”巴教授也跟佩珊开心得比心。术后,顺利出院。
68岁女性•右侧基底节海绵状血管瘤

术前症状:多次出血,对于脑干海绵状血管瘤患者来说,是较不愿意看到的情况。而对于一个60多岁的基底节海绵状血管瘤患者来说,对手术这个的根治方式犹豫不决。68岁的柯女士,突然舌头麻木,晨起后出现眩晕,医院检查后结论为椎体骨质增生及脑供血不足。2022年再次进行手术去医院行核磁检查后发现海绵状血管瘤,医生建议定期复查MRI。然而含血病灶逐年增大,从22年的18*19mm到2023年的24*19mm,但是多名专家表示不赞成手术治疗,更是明确表示术后偏瘫失语可能性大。远程咨询INC巴特朗菲教授之后,教授给出了的评估。柯女士和家人商量后原本想要等巴教授下一次来华时再进行手术,然而谁也没想到9月底教授在华手术期间柯女士症状开始出现波动,发作频繁,当巴教授查看核磁图像后,发现病灶较前增大,结合患者病情有进展,告知患者随时会有出血风险,需要立即手术。柯女士和家人与巴教授紧急视频沟通之后,决定提前手术,果断买飞机票来到苏州。
治疗过程:10月1日,在苏州大学附属独墅湖医院,巴教授顺利完成手术,无任何新发神经功能损伤。
术后情况:术后2天巴教授查房时,柯女士精神状态好,已经可以下地走路。看到前来查房的巴教授,柯女士激动,亲切拥抱感谢巴教授,终于摆脱了危险的基底节海绵状血管瘤的她满怀感激得握住巴教授的手说道,“我要看看巴教授这双神奇的大手,这是上帝之手,巴教授感谢你!”
50岁女性•脑干-延髓海绵状血管瘤

术前症状:人生能有几个18年,2006年年底,欧阳女士出现头晕,左侧肢体略感无力,眼球活动问题逐渐加重。一开始出血后,左侧拿重物的能力大幅度下降。2015年年底,欧阳女士再次出现脑部不舒服,一周后入后再次诊断为脑出血。行头部核磁考虑为海绵状血管瘤伴出血。虽然出院后不适,考虑延髓位置手术难度,一直大营养神经针。2023年8月,症状又开始加重,这时右手也出现了麻木的症状。经医生建议,欧阳女士选择了保守观察,等待下次出血时再对症治疗,这一保守就是18年。但每出血一次,再次出血间隔缩短;每出血一次,患者症状呈进行性加重,而神经系统症状能够恢复的可能性越小。如果不手术切除脑瘤,脑干出血会一步步危及生命。当面临4次随时可能出现的脑干出血时,欧阳女士实在不堪忍受被病魔折磨和担惊受怕的日常,她及家人决心要寻求到根本性的治疗办法。经过多方探访和查询,从主治医生那里得知INC国际神经外科专家巴特朗菲教授。在巴教授2023年秋季中国行期间,她们联系上了INC。
治疗过程:10月2日,在苏州独墅湖医院,巴教授顺利全切脑干海绵状血管瘤,无任何新发神经功能损伤。
术后情况:术后一天ICU查房时,欧阳女士意识清醒,四肢活动正常、言语呼吸吞咽功能正常。
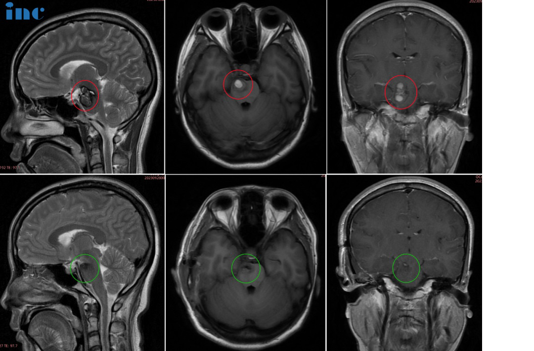
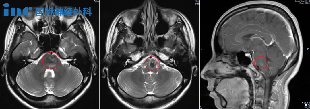
30岁男性-脑干(桥脑)海绵状血管瘤
病史摘要:“从2016年1月份开始,头晕、行走不稳,重影复视。2016年至2018年,我大概有4次出血。18年到现在,出血有3次……”30岁的江先生罹患脑干海绵状血管瘤,血管瘤已经从四脑室鼓出来,一旦再次大量出血,可能带来不可预知的较大风险。手术是的解决办法,但江先生的父母更加担心的是,“我们就是怕手术有后遗症,他还没结婚。从他生病之后,我和他爸爸较担心这个。”
▼脑干海绵状血管瘤术前MRI

治疗过程:2023年11月5日,巴教授为江先生成功手术,脑干海绵状血管瘤得到顺利全切。
术后情况:
▼手术当天,在手术室外一直耐心守候、忐忑不安的一家人。虽然对于手术他们充满信心,但是也紧张,神色严肃,心中在暗暗祈祷着手术顺利。当巴教授从手术室出来,为这一家人带来好消息,这是他们较期待的喜讯。听到“全切”,江先生一家人立马激动的点赞:“Thank you,谢谢!”

术后1天查房,转出ICU,转入普通病房,恢复状况良好。巴教授查房时用中文询问道“今天感觉怎么样?”“Very very good!”,巴教授逐一检查了江先生的吞咽、面部活动、肢体活动等功能,“没问题”,巴教授为江先生的状态点赞。“Thank you very much!”,江先生及家人都无比感谢巴教授。
术后2天查房,江先生的眼睛已经比术前好一些了。术后两周江先生顺利出院。
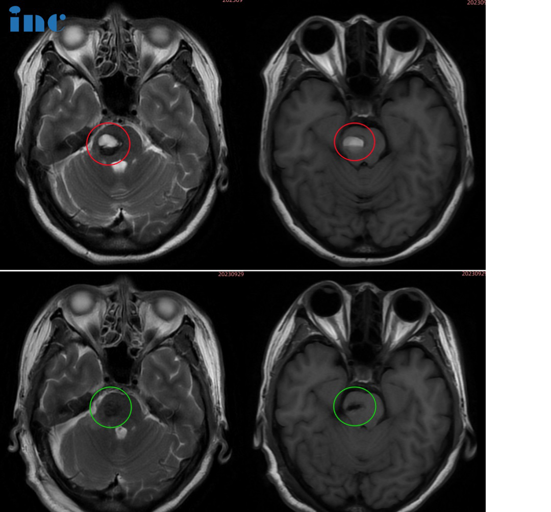
38岁男性-脑干(桥臂)海绵状血管瘤
病史摘要:卢先生的求医之路坎坷,三度脑干出血,甚至被送进ICU,但是“就诊了挺多医院,但是到医院去,各大医院的教授都说这个手术风险太大,建议我保守治疗,我也没办法,我该怎么办?”病情也只能一拖再拖。,这台成功示范教学手术帮助他完全摆脱了病魔的困扰。
▼脑干海绵状血管瘤术前MRI

治疗过程:在苏州独墅湖医院,巴教授为他顺利全切脑干海绵状血管瘤。
术后情况:手术当天,等候在手术室外的卢先生爱人焦急得询问着手术结果。看到巴教授的一句话就是:“很顺利吗?”当听到教授坚定的回复:“很顺利!”她露出了久违的笑容,激动的拥抱巴教授,“感谢,感谢!”为了让家属了解到患者的手术情况,巴教授甚至用中文说:“全切”。听到这样的好消息,卢先生爱人再次表达谢意:“Very good!谢谢!”术后1天转出ICU,转入普通病房,术前担心的面瘫也都没有发生。
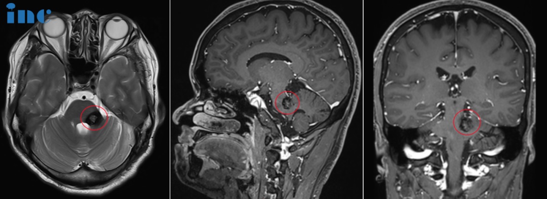
28岁女性-脑干海绵状血管瘤
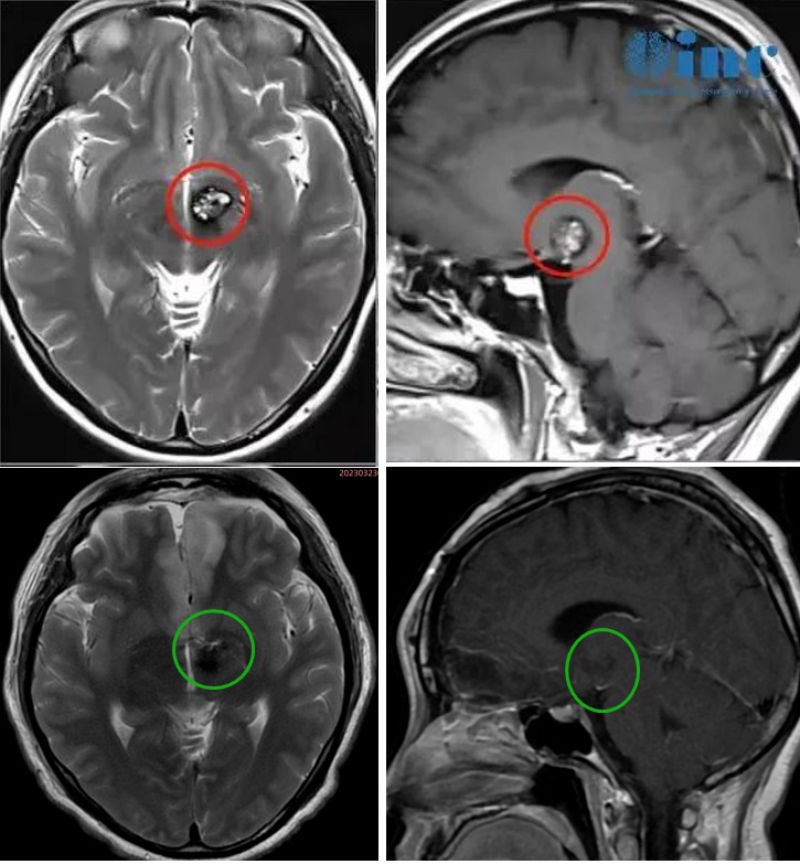
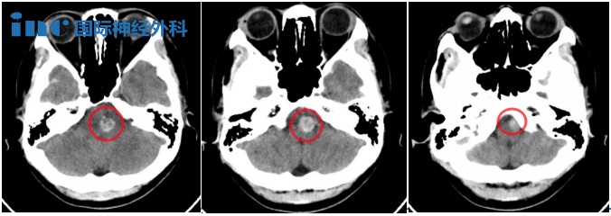
病史摘要:28岁的琳琳罹患脑干海绵状血管瘤,从2023年9月底至今,短短不到2个月时间,已经出过2次血,但是医生给出的评估都是手术风险较大。
▼2023年9月琳琳核磁影像

▼2023年11月头颅CT

2023年9月底,一开始出血
症状:复视(看1米起及远处)、左眼外展受限,易疲惫,嗜睡,手掌微麻。诊断为海绵状血管瘤。
2023年11月初,二次出血
症状:复视和右手脚掌麻,和之前一开始相比,眼部症状明显严重一些,易疲惫,嗜睡。
医生判断脑干海绵状瘤二次出血,对比一开始出血量增多。医生建议手术并告知术后可能出现偏瘫、呼吸障碍等神经功能损伤。
治疗过程:北京时间2023年11月21日,由INC国际神经外科顾问团成员、国际神经外科联合会(WFNS)教育与技术委员会前主席Helmut Bertalanffy(巴特朗菲)教授主刀,中国神经外科专家密切配合之下,一例高难度脑干延髓海绵状血管瘤全切手术在苏州大学附属独墅湖医院顺利完成。术后,患者状态良好,没有新发功能障碍,术前症状也在逐渐恢复。
术后情况:“All removed?So great!Thank you,Professor”,术后1天,当听到巴教授说脑干部位的海绵状血管瘤得到了全切,且今天就可以转出ICU,转入普通病房时。一直陪同琳琳的家人们激动之情溢于言表,心中的石头总算落了地。同时,他们也对这位人称“巴教授”的德国专家充满了敬佩和感激。
- 文章标题:INC 2023国际神经外科顾问团云端峰会之巴教授演讲:脑干海绵状血管瘤手术新策略
- 更新时间:2025-06-12 16:02:48
400-029-0925




