荣幸能有这次发表演讲的机会,感谢INC今天把我们聚在一起交流经验。我会向大家介绍我们在过去5、6年里,是在近期一段时间在颅底手术方面所取得的一些新进展,因为我们实践颅底手术的方式确实随着时间的推移而发生着变化。
——INC福洛里希教授
神经外科显微镜+内镜“双镜联合”手术教授
复杂颅底手术的国际高手
2023年11月25日,INC国际神经外科医生集团“三届国际神经外科顾问团云端峰会”于中国一高楼,被誉为“上海之巅”的上海中心大厦的J酒店开幕。时隔四年,INC旗下国际神经外科顾问团(WANG)十多位成员教授再度聚首上海,以“Neurosurgery is art”为主题,与国内专家共话神外美学!近百位国内神经外科专家受邀参会,见证了这场云集多位国际“教授”专家的国际神经外科界较高规格的学术盛宴。INC国际神经外科医生集团旗下组织国际神经外科顾问团(WANG)成员、国际神经外科联合会(WFNS)颅底手术委员会前主席、法国巴黎狄德罗大学Lariboisière医院神经外科教授兼主席Sebastien Froelich(福洛里希,以下简称福教授)教授(法国)同参会的国内外神外医生们交流了“New trend in skull base surgery”颅底手术发展新趋势这一学术课题。

大脑颅底区域,是一段迷宫似的通道,在这个包绕着很多颅神经和大动脉和静脉窦的神经外科手术在外科系统中是难度较大的手术之一,对术者的解剖和手术能力要求较高。对颅底手术来说,"双镜联合"是组合。在很深的区域操作时,内镜是颅底手术中必备的工具。内镜的用途是让深部的结构可视化并且进行操作,并且操作过程中不会损害从手术入口到病灶之间的解剖结构。
在神经外科领域内,可能很少有人比福教授将显微镜+内镜“双镜联合”更好地运用到这个复杂而神秘的区域了。因此,一直被国内外同仁誉为“国际神经内镜及颅底手术的教授”,以神经内镜技术及显微神经外科手术较为见长。福教授针对脊索瘤、颅底脑膜瘤、难治性垂体瘤、颅咽管瘤等复杂脑肿瘤。神经内镜辅助显微镜,将两种神外手术中重要工具联合使用,能够较大水平顺利切除肿瘤。其的神经内镜“筷子技术”不止提高了肿瘤的切除率,更是减少了手术入路的侵袭性,使肿瘤患者有了更好的预后效果,为国际神经内镜发展和颅底显微手术技术进步贡献卓著。
INC巴特朗菲教授也盛赞这位国际神外教授:“Froelich教授,新一代高难度颅底肿瘤神外手术医生。他神经内镜‘筷子手法’,为国际神经内镜发展和颅底显微手术技术进步贡献卓著,在这种技术的应用实际上很少有医生能达到他的高水准。所以我想发自内心的向全部中国患者,对于那些患有颅底肿瘤以及其他神外疾病的患者们,是能够通过神经内镜手术治疗的疾病,我建议Froelich教授作为你们的咨询及手术医生。”
颅底手术发展新趋势,2023年国际神经外科顾问团云端峰会
INC福教授“颅底手术发展新趋势

福教授颅底手术理念一:采用更微创的方法

颅底肿瘤由于位置深,毗邻结构复杂,手术时间长,易损伤周围正常组织,一直是神经外科手术界的重中之重和难点。现代神经外科的进步史同时也是一部工具的进化史,神外显微镜的使用和发展,使得手术精确性大为提高,邻近组织的损害机会明显减少。而神经内镜的发展又进一步扩展了进入人脑的通道,将我们的视线扩大到显微镜下触难以触及的角落。显微开颅手术作为颅底肿瘤的常用手术方式,随着神经外科技术的发展,现在的趋势无疑是采用更微创的方法,包括锁孔手术。近期,经眶手术是神经内镜领域常用入路,经眉下锁孔手术也不是什么新鲜事,现在许多的颅底肿瘤可以采取更微创的方式-内镜经鼻入路的方式完成。
▼开颅手术入路示意图

▼经鼻内镜手术入路示意图

内镜经鼻入路无疑是颅底手术领域的一个重要转折点,如今更适合内镜手术的疾病包括:
1.脊索瘤
2.垂体腺瘤
3.颅咽管瘤
4.脑膜瘤
5.软骨肉瘤
6.其他中央颅底肿瘤
对于脑膜瘤来说,它的应用还存在更多疑问。因此,在过去几年中,以脊索瘤为例,内镜经鼻入路无疑是我们使用较多的入路。
福教授近期发表了使用开颅手术和内镜经鼻入路治疗约210名脊索瘤患者的经验。本研究重点关注这些肿瘤的三个方面的管理:影响切除范围的因素、生存率的评估因素,以及内镜经鼻入路与开颅手术相比的结果。在过去的20年里,内镜经鼻入路(EEAs)已经取得了的技术进步,并已成为颅底脊索瘤(SBCs)较常见的入路之一。对于较常以斜坡为中心的肿瘤,内镜经鼻是一条合理的手术入路,与传统的开颅手术(OA)相比,可能会增加肿瘤的切除率,同时降低神经系统的发病率。然而,脑脊液渗漏的风险仍然很大,可能导致严重的感染并发症,并且海绵窦、中颅窝底、岩尖、颈静脉孔和颅颈交界区下方的外侧延伸手术仍然具有挑战性。



扩大经鼻入路后,患者在数月内可能都会抱怨手术带来的一些副作用,如鼻腔分泌物、结痂、鼻衄很常见,还有鼻窦炎、鼻阻塞,在颅颈交界处的腭咽闭合不全也很常见。福教授认为对扩大经鼻内镜手术病人来说是可以避免这样的并发症的,鼻内镜入路应该是这样的——应该利用鼻腔的优势,但不应该像开放式入路那样,在鼻腔内创造出开放的空间。

因此,鼻内镜手术对于神经外科医生的要求也是较高,如何在内镜微创的情况下,全切病变,且不对患者造成额外的伤害。
福教授颅底手术理念二:神经内镜在各种手术入路中的应用
神经内镜较常见于经鼻手术中,而事实上,内镜可以更多应用在手术入路,且与经鼻内镜手术使用的方式几近相同。
显微镜开颅手术+神经内镜"双镜联合"
开颅手术取出部分肿瘤后,当发现部分肿瘤位于视神经管内侧时,下一步该如何操作?此时,内镜上场了,30度的内镜、45度的内镜,有时是70度的内镜,通过这些弯曲和旋转的吸引器来寻找视神经内侧的这些肿瘤部分。因此,这里无疑是内镜技术与开颅手术的“双镜联合”,提高了手术切除率,并提高了患者术后的舒适度。

在颅底手术中,我想说多数病例都适合这种方法。正如我一开始所说的,颅底手术的目标是到达颅底深的区域。为此,有两种选择,一种是可以创建一个大的手术通道,但是这些大的手术通道对患者来说并无益处,因为暴露了更多的神经组织结构,神经损伤风险更大。另外的方法就是尝试缩小入路通道的范围,但为了在内部仍然拥有良好的视野,内窥镜便是增强手术视野一大利器。所以在我所做的多数手术病例中,手术一开始就准备好了内窥镜,可以用来观察拐角处,那些开颅手术中不能直接暴露的结构。
因此对颅底手术来说,"双镜联合"是组合。在很深的区域操作时,内窥镜是颅底手术中必备的工具。内窥镜的用途是让深部的结构可视化并且进行操作,并且操作过程中不会损害从手术入口到病灶之间的解剖结构,所以需要使用内窥镜。
福教授颅底手术理念三:角度镜的应用及“筷子技术”的发明

我们一直在尝试如何减少并发症的发生率,并回归内镜的价值。内镜的价值是利用鼻腔的“天然通路”优势作为手术入路,而不是创造一个入路空间来手术切瘤。需保护鼻腔内的角落,而不是去掉它。我们需利用内镜、角度镜来观察手术视野“死角”,而不是挖到“死角”。
鼻腔的结构,内镜术前是什么样子,手术后也应该是维持原样。鼻腔末端是蝶窦,这扇门是蝶窦的前壁。在进入这扇门之前,我认为我们不应该接触鼻腔内的任何组织。一旦我们进入蝶窦,我们可以往上、下、旁边不同方向进行手术操作。为什么呢?因为我们有角度镜。对我来说,内镜手术的含义是利用角度镜来观察鼻腔的各个区域和手术视野“死角”。要做到这一点,特别是在单鼻孔入路中做到,因此福教授研究出了一种技术“筷子技术”来实现单鼻孔手术入路。

“筷子技术chopsticks technique”,可以让术者同时操作“内镜、吸引器、三个器械”,做到“人镜合一”,术者操作手是可以灵活旋转吸引器。目的是保护鼻内解剖结构,操作中主刀医生并没有拿这内镜,是鼻内结构在支撑内镜。而利用筷子手法内镜微创手术可以据手术入路及肿瘤位置特点,选择不同角度的手术器械。对于保护重要神经、更加准确移除肿瘤、灵活操作入路角度等都有重要作用。福教授强调内镜手术应充分利用自然空腔并保留解剖结构。


“筷子技术”操作演示
角度范围和弯曲仪器:在通道很窄的手术中,需要使用有角度的弯曲的仪器,旋转可以从侧面深入到角落。
福教授颅底手术理念四:经岩骨入路的应用

对于经岩骨入路,也有一些新的趋势试图尽量减少的经岩骨入路的侵袭性。联合岩骨入路很好,联合岩骨入路熟练使用是很富有挑战的。它提供多角度的手术视线,但这种大范围广泛的磨骨是漫长的学习和练习。对于有严重手术并发症或对于非适应症患者来说,这也是一种激进的方法。因此,我们改良采用了这种小型联合岩骨入路,它遵循了与小翼点入路相同的原理,不以蝶窦为中心,而是以岩骨为中心,剥离上方的硬脑膜-颞硬脑膜,剥离后颅窝硬脑膜,专注于岩部骨质的磨除,而不需要对面神经的岩骨暴露部分进行大范围的磨除。
福教授颅底手术理念五:经眶入路在癫痫手术的妙用

经眶入路手术方面,我不喜欢经眶入路的原因是它是眼睑入路,会给患者带来很大的后遗症率,影响外观和生活质量。如果我们想做微创手术,实际上是为了降低并发症率,但眼睑入路会造成几天甚至几周的眼部肿胀,如果出现面容留疤明显,那就是一个很大的面容美观问题。
因此,我们一直在使用眉部切口,而不是使用带眼睑的经眶切口,这就为我们提供了更好的视线来到达目标。这是一种简单的开颅手术,我们使用眉部切口的经验丰富,我们对眉部切口的美容效果也满意。
一旦完成了前期手术步骤,显微镜的作用也到了较限,你就可以把内镜放进去了。我们一直将经眶入路用于眼眶脑膜瘤的治疗,但这并不是我较喜欢的适应症,因为对于眼眶脑膜瘤,我们近期发现激素因素重要。大约80%的蝶眶脑膜瘤患者有孕激素使用史。因此,在过去的5到10年里,我的蝶眶脑膜瘤手术指征大大减少。因此,我喜欢将经眶入路用于癫痫手术,对于癫痫手术来说,经眶入路在手术后效果好。
在内镜技术方面,新技术层出不穷。在颅底手术方面,未来是光明的。
INC法国福教授脊索瘤,2023年中国示范手术案例精选
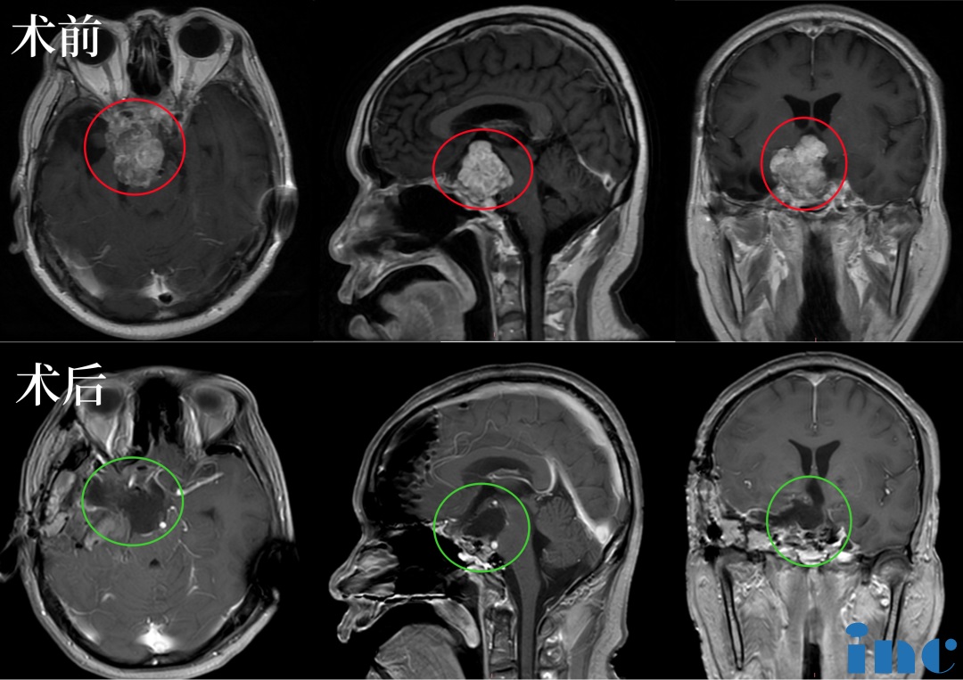
48岁较大脊索瘤复发患者,“双镜联合”中国示范手术
病情回顾:
48岁的苏先生2019出现无明显诱因的视野缺损,伴视力下降,遂就诊当地医院。行颅脑磁共振检查,提示占位性病变,脊索瘤可能性大。2019年-2023年患病期间苏先生经历了4次复发3次手术,(两次经鼻内镜,一次开颅),一次脑积水分流术,近期肿瘤再次复发,症状再次加重,肿瘤位置在斜坡鞍区,包饶重要的椎基底动脉、动眼外展等神经,挤压三脑室,下丘脑、视神经等重要结构,手术难度较大。
术前症状:视力下降,视野缺损,言语不清,吞咽困难,呛咳,眼球活动障碍,走路不稳,上肢无力,嘴角抽搐,体重下降。

术前:肿瘤体大,广泛累及颅底结构,侵蚀斜坡、鞍内鞍上、海绵窦区,包裹右侧颈内动脉。肿瘤向上推挤视神经、视交叉,到达三脑室底部;向后上方推挤脑干和基底动脉,部分肿瘤边缘与脑干分界欠清。
治疗过程:
2023年5月,福教授应邀访问苏州大学附属独墅湖医院(苏州市独墅湖医院),苏先生抓住了这个机会,咨询福教授能否为自己手术,在经过一系列评估以及术前紧急补充激素等措施,2023年5月15日,INC法国福教授为苏先生做了四次开颅手术,在术中,福教授联合应用显微镜和内镜,运用的“筷子手法”,术后当晚核磁显示肿瘤已基本全切。这对夫妻是幸运的,在这场风险较大、具挑战的手术中重获新生。


术后:手术顺利,术中将鞍上鞍内、海绵窦区、三脑室肿瘤切除
术后苏先生神志清楚,四肢活动良好,无新增并发症。术后2个月,INC团队为了让更多患者了解到他们的治疗经历,在康复医院采访这对夫妻。在妻子鼓励和陪伴下,如今,康复医院里苏先生的状态一天天恢复变好。“现在是好多了,这两天感觉更有信心了。”
6岁男孩较大脊索瘤,单鼻孔8mm切口,不开颅成功手术
福教授8月初还在苏州大学附属独墅湖医院为一名6岁脊索瘤患儿实施了高难度示范教学手术。6岁的宁宁因头疼,行走不稳等症状被诊断为颅底脊索瘤。肿瘤位置不同,体大,明显压迫脑干,宁宁在国内接受了一开始手术,部分减少肿瘤的体积。然而,剩下的肿瘤仍然很大。宁宁父母走投无路之际从国内神外专家得知福教授即将来华的消息,果断进行了远程咨询。幸运的是他们如愿得到了教授充满希望的回复并决定请他进行二次手术。从远程咨询到成功手术仅10天,术后10天顺利出院。


18kg,这么小体重患儿全身只有1500ml左右的血液含量,再一次手术难度较大,危险系数较高。手术中10%(150ml)的出血量,宁宁可能就会休克;出血量达到20%,就会危及生命。如何解决这个困境?福教授决定进行单鼻孔入路神经内镜手术,采用多种角度镜,运用“筷子技术”,用仅仅8mm的创口,切除了直径达50mm的肿瘤。在减少出血点的同时,将手术风险尽可能降到较低。术中,年幼的宁宁鼻内空间很小,实行单鼻孔入路手术难度较大。福教授术后也直言道:“困难,像是打了很大的一场仗”。而此时距离一开始手术仅37天,幸运的是这次手术近全切肿瘤,宁宁术后3天转出ICU,无任何新增并发症。

这些年来,中国神经外科手术水平取得了较大的进步,同时也有很多国内青年神经外科医生有志于向国际神经外科教授交流,寻求技术精进突破。INC国际神经外科医生集团作为一个国际性的学术交流平台,自成立以来经常组织旗下国际神经外科顾问团的国际教授来华参加国内大型学术会议、举办专场沙龙,旨在与国内同仁共享神经外科领域的新技术成就,实现各国神经外科无国界的交流。
INC(International Neurosurgeon’s Circle)是一个专注于神经外科领域教授学术交流的医生集团。INC旗下国际神经外科顾问团(World Advisory Neurosurgical Group,WANG)成员均是来自国际各国神经外科不同细分领域的教科书级别专家。作为联接中外神经外科领域专家的纽带,集团近年组织国际神经外科教授专家来我国开展学术交流、技术探讨,并开展高难度手术;与国内多家医院展开合作,促进了国内外神经外科的共同发展进步,也为国内外神经外科患者提供了更多新的治疗选择。
- 文章标题:INC 2023年国际神外云端峰会演讲:国际颅底手术教授福教授颅底手术理念
- 更新时间:2025-06-12 16:04:03
400-029-0925




