颅咽管瘤诊治中国专家共识(2024)指出——大多数单位治疗方法以部分切除+放疗、内照射治疗、化疗等作为颅咽管瘤治疗的常规策略。这一常规策略已导致许多患者失去最佳治愈时机,同时复发后再次手术也更为困难。同时,不当手术与放射治疗后存在内分泌与代谢紊乱常常影响患者的生活质量和生长发育。

颅咽管瘤诊治中国专家共识(2024)
这期特别精选了INC国际神经外科医生集团旗下世界神经外科顾问团教授对于颅咽管瘤术后若干患者的咨询问题回复内容以及术后情况分享,以供相同病情的患者参考。
温馨提示
每位患者具体病情不同,治疗方案也各不相同,以下INC国际教授咨询的意见仅供参考,并不作为临床治疗方案。具体治疗方案请咨询主治医生。
术后,孩子的生长发育会受到影响吗?如身高、生殖能力等?
临床上有很多颅咽管瘤,或其他鞍区疾病术后,没有做好术后长程管理的例子,导致出现紧急情况,反复住院治疗。其实,鞍区肿瘤术后长期随访过程当中,做好垂体内分泌功能的重建,可以避免反复住院的风险。
因为鞍区肿瘤做完手术以后,很可能发生垂体功能减退,对于有垂体疾病,特别是做过鞍区手术的人群,一定要多了解相关疾病的知识,做好术后管理。
相对于其他的鞍区肿瘤,颅咽管瘤更复杂,因为它不仅会引起垂体功能减退,还会造成下丘脑功能紊乱。垂体是人体内分泌的中枢,像甲状腺,肾上腺,性腺,生长激素等,都是由垂体调节,比如女性的月经周期,男性阴茎睾丸的正常发育,都归垂体调控。
而下丘脑是调节人体内脏活动和内分泌活动的高级神经中枢,调节着体温、摄食、水平衡、血糖和内分泌腺活动等重要的生理功能,比如说饿了想吃,吃了知道饱了,渴了想喝水,白天工作、学习,晚上睡觉,这些基本的生命节律,都归下丘脑调节。
对于颅咽管瘤术后的长期管理,重点要关注肾上腺皮质功能不全,甲状腺功能减退,性腺功能减退,生长激素缺乏和尿崩症这五大问题。
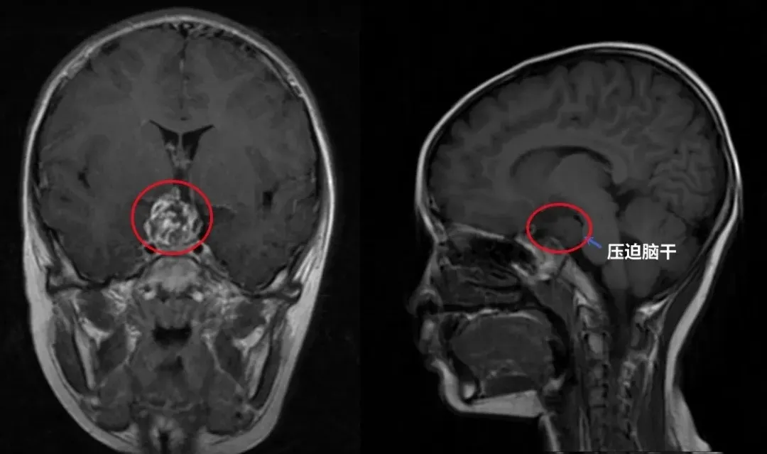
颅咽管瘤术后,影响生长发育的机率大吗?
▼7岁的小迪由于意外摔倒就医CT检查,结果发现颅内有肿瘤。如果不及时手术,孩子的成长将受到巨大威胁。做了增强核磁共振,报告显示是鞍上区囊实性占位,可能是颅咽管瘤。小迪一直以来生长略显迟缓,对于术后孩子的生活质量,父母更是担心。

INC两位大咖的评估回复
颅咽管瘤的主要问题始终是保留垂体柄(当然也必须保留所有其他结构,如血管、视神经系统等)。手术后的生活质量会相当好,但术后体重增加也是众所周知的一个问题,也可能发生在这个孩子身上。从长远来看,身高和生育功能都会很好。

INC国际教授远程回复邮件截图
只是需要内分泌科医生进行良好的随访。因此,他需要由擅长治疗颅咽管瘤的内分泌科医生进行随访。这是一种内外科疾病,外科医生无法单独治疗颅咽管瘤,因此术后需要一名优秀的内分泌科医生进行随访。但是,有了这种良好的随访,他可以正常生长发育,可以有孩子。
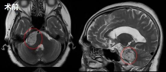
2024年巴教授中国行中,巴教授也成功为小迪手术,手术完整保留垂体柄,一家人的心终于放下来了。
⼿术后是否需要其他辅助治疗⼿段?现在研究的颅咽管瘤靶向药是否可以⽤于辅助治疗?
颅咽管瘤诊治中国专家共识(2024)中,颅咽管瘤治疗基本原则:通过全切除肿瘤,彻底治愈患者。颅咽管瘤毗邻关系复杂,完全切除手术难度大、创伤大、并发症发生率高,但是手术仍是颅咽管瘤最主要的治疗手段,在充分保护垂体-下丘脑功能及视路结构的前提下积极追求全切除,是保证患者长期生存的基础。
▼一名颅咽管瘤患者,远程咨询时,巴教授对于术后是否需要其他治疗,如下评估。
巴教授为他示范手术,术前术后影像对比

INC国际大咖的评估回复
在术后的最初三个⽉⾥,很多情况下我们需要药物替代治疗。然后,通常是三个⽉后,(内分泌激素⽔平)就可以达到⼀个平衡。然后我们再重新评估,看看从⻓远⻆度他是否需要继续治疗以及需要多少等等。
对于颅咽管瘤,截⾄⽬前还没有任何辅助治疗(⽐如化疗或者靶向药)可以⽤于预防肿瘤的复发。当然,在任何国家,我们都有颅咽管瘤。对于复发的话,肿瘤⼏年后如果复发,我们会考虑再次⼿术,有时还会有第⼆次复发,但在这种情况下,我们通常会建议放疗,但不是从⼀开始就建议放疗。
关于靶向药,⽬前没有全新的治疗⽅法。现在有⼀些临床研究、临床试验。也许将来有可能,但⽬前我们还没有⽤于临床。

INC国际教授远程回复邮件截图
手术后还会复发吗?复发率跟哪些因素有关?怎么才能降低复发率?
颅咽管瘤虽为良性肿瘤,最大的治疗挑战就是复发。为什么容易复发?因起源于Rathke囊鳞状上皮细胞,颅脑中心“分散性”生长,包裹丰富神经血管组织,不容易切除干净。如果粘的很紧、甚至钙化,也将大大增加手术难度和风险。视神经保护,下丘脑保护,周围血管的保护,还有垂体柄的保护等,都是手术所需要去完成的目的,同时也是手术的难点。如果达到安全全切,也能大大降低复发机率。
▼74岁的李奶奶因短暂视物模糊以及记忆力减退等症状,查出颅咽管瘤。风险和收益的博弈中,如何权衡?虽然年纪大了,但是家人一直极力支持要积极治疗。但治疗后复发率,也是他们关心的问题。

INC国际大咖的评估回复
复发是可能的,但也是在几十年后了,概率很低。

INC国际教授远程回复邮件截图
▼一名颅咽管瘤患儿在远程视频咨询INC国际大咖时,对于复发率也同样提出了疑问……
INC国际大咖的评估回复
肿瘤如果达到全切除术的复发率很低(仅为百分之几分),但肿瘤部分切除术后的复发率却很高;由此可见,应该始终尝试全切除术。如果肿瘤复发,有两种选择:一种是二次手术,另一种是局部放射治疗(成人多采用这种方法,儿童较少)。

INC国际教授远程回复邮件截图
总结
即使颅咽管瘤毗邻关系复杂,完全切除手术难度大、创伤大、并发症发生率高,手术仍是颅咽管瘤最主要的治疗手段,在充分保护垂体–下丘脑功能及视路结构的前提下积极追求全切除,是保证患者长期生存的基础。
- 文章标题:颅咽管瘤术后这3大问题值得关注
- 更新时间:2024-11-29 17:16:35
400-029-0925


