什么是枕骨大孔区脑膜瘤?枕骨大孔区脑膜瘤是一种少见的肿瘤,仅占全部脑膜瘤的0.5%到3%,通常出现在40至70岁的男性和女性中。患有枕骨大孔脑膜瘤的人可能会在两年或更长时间内经历缓慢的症状发展,这些症状可能包括平衡恶化、不自主抽搐、与下颅神经有关的非自主震颤、舌头/腿/手臂和手的肌张力丧失、上颈部/头部后部或后面的疼痛、眼睛和手臂/腿部的感觉改变。
枕骨大孔脑膜瘤(FMM)于1872年一次被描述。由于脑膜瘤与脑干、下颅神经以及邻近的椎动脉及其分支密切相关,因此位于该区域的脑膜瘤具有挑战性。这些病变大多数(90%)位于腹侧和腹外侧,但是它们可以位于大孔环的任何位置;因此,需要根据肿块的位置调整手术方法。

枕骨大孔区脑膜瘤
枕骨大孔脑膜瘤治愈率是多少?一般良性的脑膜瘤手术切除干净就可达到治愈的目的,复发几率较小。但具体还要根据肿瘤的具体病理分级和手术切除程度而定,级别越低,预后越好,级别越高,复发的可能性越大,预后越差;切除地越完全,复发概率越低,治愈程度越高。
1级脑膜瘤一般是良性轴外肿瘤,与周围脑组织界限清楚,大部分肿瘤可实现Simpson0级切除而避免复发。对于2级和3级的脑膜瘤,可实现Simpson1-4级切除,但是术后复发率较高。研究显示,Simpson 1、2级术后5年肿瘤复发率为4%-9%,Simpson3、4级术后5年肿瘤复发率25%-45%,且随着随访时间的延长复发率逐渐增高。多名神经外科医生研究报道的5年复发/进展率在全切除后约为10%,在非根治性切除后约为45%。详细见下表:

由于肿瘤所在位置压迫脑干,周围与重要神经、血管粘连紧密,手术难度及风险较高。枕骨大孔区肿瘤的手术被视为神经外科领域的挑战之一。手术要在不损害病人远期生活质量的前提下尽量做到全切肿瘤。这需要术者有丰富的神经外科解剖知识、娴熟的手术技巧及丰富的手术经验。
位置复杂,切除难度高,并发症风险大,但这不代表枕骨大孔区的脑膜瘤无法手术切除,国际神经外科范围内有少数神经外科教授尤擅此道。寻找国际神经外科专家的手术治疗,为的就是对于高难度手术的高切除率、低风险、低副作用,而且脑膜瘤如果一开始手术能够顺利全切,那么复发的可能性就越低,无进展生存期(PFS)就越长,总体预后(Prognosis)和总生存期(OS)就越好,避免术后神经功能损伤、恢复不佳的经济及社会心理负担等,生活质量更大水平地得到保障。
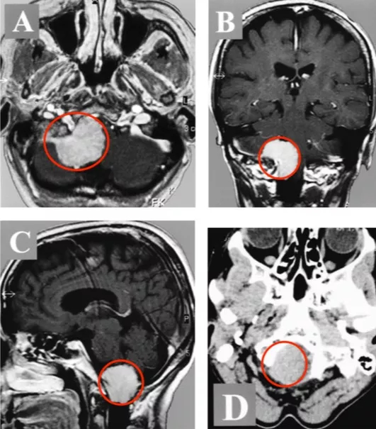
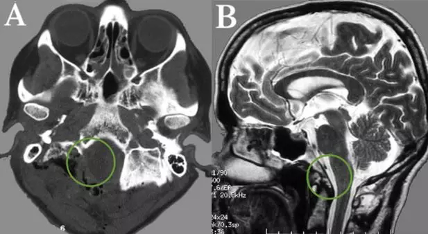
INC国际专家枕骨大孔区脑膜瘤全切实例
57岁女士,以颈部疼痛、走路乏力、步态紊乱发病。术前影像显示右侧较大的前外侧占位,并且体积已经发展到大了,下脑干在枕骨大孔处被较大限度地压缩,肿瘤占据了90%以上的可用空间。

INC国际神经外科顾问团成员、国际神经外科联合会(WFNS)教育委员会主席德国Helmut Bertalanffy(巴特朗菲)教授采取了左侧卧位,让患者置于左侧侧位,头部弯曲并旋转到右侧。手术术中应用躯体感觉和听觉诱发电位的连续监测。侧枕下开颅术延伸至远侧乙状窦和C1半椎板切除术,枕骨大孔的背外侧边缘逐渐被钻开,并对脑干和脊髓进行了精心护理。

术后CT和MR,显示肿瘤及其被肿瘤侵犯的骨质都切除,肿瘤全切,Simpson一级切除。术后患者没有新发神经功能缺损,患者在术后二天开始肢体活动,轻微的颈部疼痛,并很快好转、消失。没有相关手术并发症,特别是没有脑脊液漏出或脊柱不稳定。术后计算机断层扫描(CT)和磁共振成像(MRI)分别显示了部分骨切除和肿瘤全切,术后伤口美观。患者肿瘤全切,未行放化疗等,术后12年未见复发,生活如常,对效果很满意。
INC国际神经外科顾问团(WANG)是由国际各发达国家神经外科宗师联合组成的教授集团,该团体是一个以严苛标准吸收及更替成员的国际神经外科临床手术巨匠团队,国际颅底肿瘤手术教授Helmut Bertalanffy教授(巴特朗菲)即是其中成员之一。国内包括枕骨大孔区脑膜瘤在内的复杂位置脑肿瘤患者如追求更大水平手术切除、更长生存期及更高生活质量,可咨询INC巴特朗菲教授远程咨询,请他评估手术切除意见和方案。
- 文章标题:枕骨大孔区脑膜瘤治愈率
- 更新时间:2020-09-15 14:35:22
400-029-0925


