脑肿瘤,无论是原发性的还是转移性的,通常会导致局灶性神经功能缺损,如偏瘫、感觉缺损和失语。功能成像研究已经反复报道了抑郁状态下神经激活模式的异常。这些异常提供了令人信服的证据,表明专门的额叶大脑结构,如眶额皮层和内侧前额叶皮层,是各种认知和情绪功能的基础,这些功能与情绪控制有关,如对厌恶情绪体验的反应的调节以及对社会和情绪线索的解释。这些区域的功能紊乱会导致情绪障碍。大脑的额叶是出了名的静默:良性肿瘤,如从外部压迫额叶的脑膜瘤,在变大之前,可能不会产生除性格和智力进行性改变以外的任何症状。患有这种肿瘤的患者通常首先被咨询到精神病医生那里,只有当肿瘤变大并开始转移大脑时,才能出现正确的诊断。额叶脑膜瘤有哪些症状?怎么治?
病例报告1
一名52岁的男性患者因有1个月的抑郁症状史而来到精神病门诊(OPD)。这种情况的特点是情绪悲伤、疲劳、绝望、退出社会活动和睡眠障碍。他符合国际疾病分类-10(ICD-10)重性抑郁发作标准(无精神病特征的抑郁发作,ICD-10:F32.0)。他的精神病史和其他病史并不明显。一般的身体检查和神经系统检查都没有显示出神经系统的缺陷。他被开了艾司西酞普兰10毫克/天的处方,并要求在OPD精神病学随访。甚至在1个月后,患者的抑郁症没有好转,他抱怨头痛。他的妻子也抱怨说他很容易忘记事情,但耐心对这些抱怨相对缺乏洞察力。建议患者行对比增强计算机断层扫描(CECT)头部扫描,显示一个基于硬脑膜外的边界清晰的分叶状肿块,累及双侧额叶,表现为强烈的均匀强化,提示额叶脑膜瘤(图1)。该病例被转到神经外科做进一步处理。

图1
案例报告2
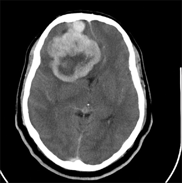
一名43岁的已婚男性患者来到医院的OPD精神病院进行咨询。在过去的两个月里,病人抱怨一天中大部分时间都很难过。他也开始比平时少说话,并且会保持安静。这伴随着睡眠和食欲下降。患者看了私人精神病医生,被诊断为没有精神病特征的中度抑郁障碍(根据ICD-10,F-32.1)。他被开了50毫克/天的去文拉法辛片。患者病情未见好转,来到帕蒂拉RH就诊。患者现在也有健忘和头痛的主诉以及先前的抑郁症状。没有头部创伤史或任何局灶性神经功能缺损。没有任何精神疾病的家族史。一般的身体检查和神经系统检查都没有异常。精神状态检查,他的情绪低落,近期记忆受损。患者被告知CECT头部显示一个较大的轴外高密度肿块,大小约为。右前区7 cm×6.3 cm。病灶呈不均匀强化,有坏死区,提示右侧额脑膜瘤恶变(图2)。该病例被转到神经外科做进一步处理。

图2
讨论
这两个病例都表现为额叶肿瘤引起的抑郁发作,没有伴随神经功能缺损。在病例报告1中,CECT头部显示脑膜瘤影响蝶窦附近的双侧额叶,蝶窦是脑膜瘤的常见起源部位。病例报告2中,CECT头部显示脑膜瘤,恶变影响右额区。颅内肿瘤,是额叶脑膜瘤,可能表现出类似抑郁、焦虑、轻躁狂和精神分裂症的心理症状。
在生命的五个十年发生的大量病例(21%)中,精神症状可能是脑脑膜瘤的初始表现。因此,当一个没有精神障碍病史的中年人出现缓慢进行性心理变化时,应考虑额叶脑膜瘤。头痛、视神经乳头水肿和局灶性神经体征只有在肿瘤发展到晚期时才会出现。
猎手以及其他人。已经报道了与基底额叶损伤相关的兴奋和幻觉病例,以及精神病综合征,如轻躁狂和精神分裂症,肿瘤侵犯三脑室和邻近结构。生长缓慢的额叶肿瘤、嗅觉缺失和人格改变之间的联系是行为神经病学中较的联系之一。
额叶脑膜瘤如何治疗?
脑膜瘤药物治疗往往无效,外科手术为优选治疗方法。虽然大多数脑膜瘤属于良性肿瘤,手术切除可治愈,但手术存在的死亡率和病残率,所以应谨慎选择手术。
有症状脑膜瘤多数需手术治疗,随着大家对健康的重视及影像学检查的进步,无症状脑膜瘤发现逐渐增多,决定脑膜瘤处理时应考虑一下因素:
⑴伴有瘤周水肿者应手术;
⑵有占位效应、癫痫伴智力下降者应手术;
⑶幕上大脑凸面、矢状窦旁、镰旁、脑室内脑膜瘤应早期手术;
⑷颅底脑膜瘤如蝶骨嵴、鞍结节、嗅沟、桥小脑角应手术;
⑸扁平脑膜瘤、海绵窦内脑膜瘤、斜坡脑膜瘤如无症状,暂可不必手术。
只要脑膜瘤引起了症状,就需要尽快手术,手术完全切除肿瘤,可以达到治愈。不伴有脑水肿的偶发性脑膜瘤或者仅表现为癫痫发作且易于用药控制的脑膜瘤可以采用期待疗法,定期接受影像学检查即可,因为脑膜瘤生长缓慢,某些脑膜瘤可能会燃尽并停止生长。
- 文章标题:额叶脑膜瘤有哪些症状?怎么治?
- 更新时间:2022-01-25 18:33:48
400-029-0925


