不要小看脑膜瘤
它会让你恨之入骨、难生活
这些苦都是有“来由”
……

【来自脑膜瘤的自述】
大家好!是我脑膜瘤
颅内有硬脑膜的地方
都可能是我的栖身之所

我是个生长缓慢的乖宝宝(良性肿瘤)
本性不是很坏哦
(恶性概率不大)

但是我的伙伴中会有少数坏家伙
(恶性脑膜瘤)
而且临床诊断异常困难
误诊率和漏诊率较高
导致复发率、病死率居高不下

虽然坏家伙出现的概率不大
人类也要小心呀!

如果你是不幸中的幸运儿
脑袋里长了品质不算太坏的我
(良性脑膜瘤)
就觉得可以与我长相厮守了吗
那你是异想天开啦

例如:我在CPA区生活
我需要长大
住更大的房子(增强占位效应)
功能神经、脑组织、血管都得给我让位
甚至被我吞噬

如果我长在额部
当大脑空间已经无法容纳我的身躯
我要啃食你的头骨
拼命想钻出你的脑袋
看看外面的国际有多大

你会因我出生在不同的地方
太多脑组织、功能神经、血管
给我让出生存空间
而感到头痛、恶心、走路不稳、共济失调
偏盲、幻视和肢体瘫痪……

只要我在你的脑袋里快乐成长
你就无法正常生活
甚至为我献出生命
……

INC巴特朗菲教授脑膜瘤疑难手术案例
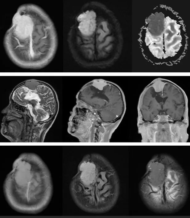
首刀、伽马刀后脑膜瘤多发恶化,INC巴教授Simpson 1级全切术,4年没有复发
一次手术只实施了部分切除。
二年病变复发,他接受了伽玛刀治疗,
三年病变竟然恶化成了多发性脑膜瘤。
经过多方寻医,赵先生的女儿联系到INC神经外科专家巴特朗菲教授,
教授看过赵先生的病理资料后表示,虽然二次手术风险大,但仍可实现全切肿瘤。
在术中神经电生理检测护航下,巴教授顺利全切肿瘤,术中无神经损伤,预后无并发症。
巴教授表示,脑膜瘤及其残余已得到全切,后期再做一些康复治疗和定期复查,10年生存率可达80%。
现在,赵先生已经康复4年,未再出现病变复发,生活恢复如常。
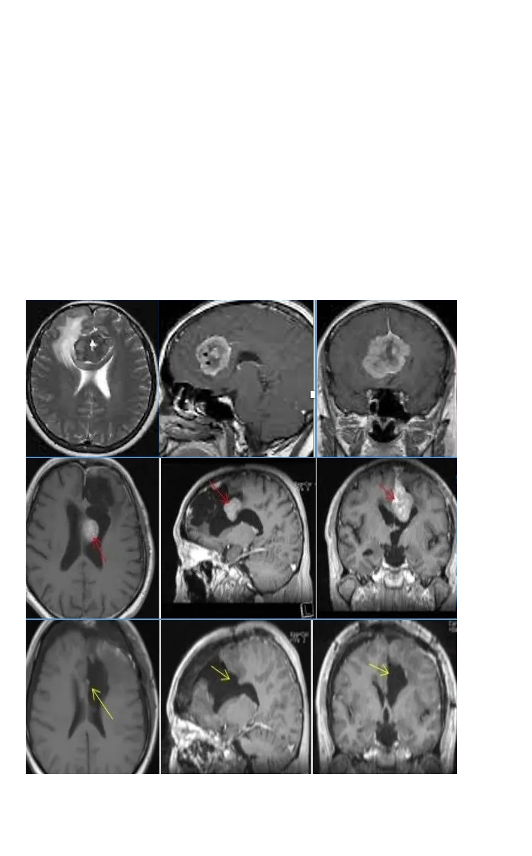
较大脑膜瘤长在大静脉窦、大脑镰旁,INC巴教授手术全切,没有复发、无后遗症
2012年王女士体检时查出左侧额部大脑镰旁脑膜瘤,考虑肿瘤为良性,
自身年纪也比较大,就听取了医生的保守治疗建议。
但随着肿瘤生长,头痛愈发严重,吃止痛药、试用民间秘方都毫无效果。
经多方求医和查询后,王女士找到INC国际神经外科专家巴特朗菲教授,并进行远程咨询咨询。
教授对病情进行分析后给出的治疗建议是:要想达到术后不复发、无并发症、长期生存等效果,
前提是要对肿瘤进行较大水平的全切。
被肿瘤浸润的硬脑膜可以完全切除并用患者自体组织代替,可保留中央前回,复发可能性低于5%。
王女士得到咨询意见后,毅然赴德国接受巴教授的手术治疗。术中肿瘤得以全切、矢状窦成功重建、运动功能区无损伤,预后无并发症、没有复发。如今王女士已恢复如常,如愿开启新的生活计划。
脑膜瘤的一般治疗策略
手术治疗、放疗、化疗、观察随访是治疗脑膜瘤的主要治疗途径
其中手术是根治性的一线解决办法切除程度往往也决定着治愈率的高低。
关于手术作为单一治疗的合适性的证据
来自于医疗机构的病例系列
确定了切除范围(EOR)是一个重要的预后因素
这方面常仍然使用Simpson分类

图:现国际通行的Simpson分级评估脑膜瘤复发的关系
脑膜瘤的治疗总结
- 文章标题:脑膜瘤是什么病,怎么治疗?
- 更新时间:2022-06-13 16:51:19
400-029-0925




