毛细胞型星形细胞瘤,是一种生长缓慢、边界明显、可伴囊性特点的良性肿瘤,WHO I级,经全切可获治愈,中位生存期达40年,复发几率较低。毛星好发于儿童和年轻人,若肿瘤较小,且病人无临床症状,也可密切随访观察,暂不治疗。当毛星发生于视路(视神经、视交叉、下丘脑)、脑干时,手术难度较大,很多时候甚至被视为不可手术、只能放化疗。

毛细胞型星形细胞瘤的治疗可以根据具体病情选择:神经外科显微镜下切术、放疗或随访观察。INC国际神经外科专家主张应该进行成功的全切或近全切手术,这是治疗脑瘤、延长生存期较合适的方法。
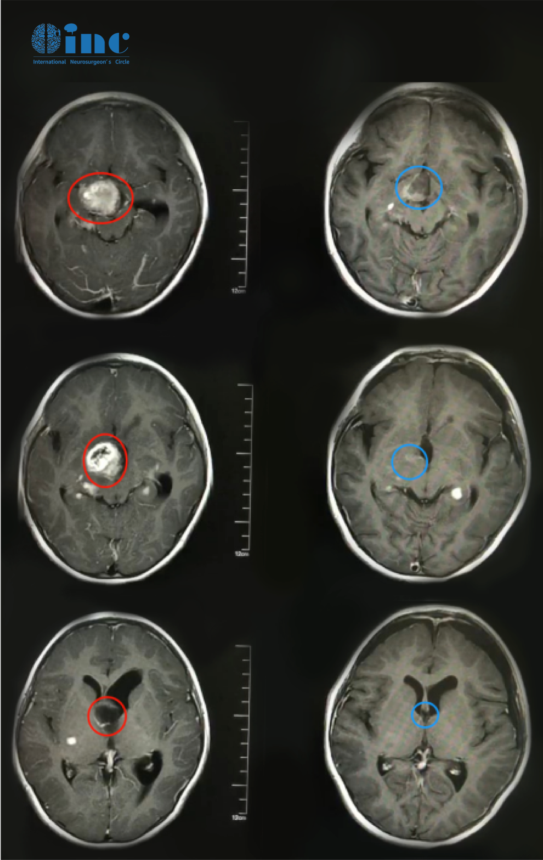
【双侧视神经-下丘脑胶质瘤】3岁患儿如何摆脱脑瘤、拯救视力?
一年前,3岁的康康还没来得及长大看国际,就因患视神经下丘脑胶质瘤面临着失明风险。视神经下丘脑胶质瘤,又称视路胶质瘤,大部分视路胶质瘤,特别是累及视交叉和下丘脑的病例,呈隐袭性生长,可导致失明。 虽然这类肿瘤生长缓慢,但如果不进行治疗可以导致死亡。由于肿瘤累及视神经、视交叉、视束、视放射、丘脑底垂体轴、边缘系统、三脑室、脑底动脉环等,康康出现了视力下降、头痛、呕吐等症状,随之而来的可能还有由内分泌异常引起生长发育异常、认知发育缓慢和心理、行为功能障碍,三脑室的肿块产生阻塞性脑积水等……

康康术前术后影像对比
幸运的是,康康的父母较后联系到INC国际神经外科医生集团,并咨询成为2021年巴教授来华疑难手术示范的一个病人。在手术中,康康的肿瘤得到了顺利次全切,原有视力得到保留。术后病理结果为毛细胞粘液样型星形细胞瘤,这属于WHO二级胶质瘤,也意味着康康配合术后化疗以及后期的新型放疗可以得到比预期更好的预后。

手术后,INC巴教授查看康康的情况

术后康康恢复良好,可下地独自行走,原有视力保留,手指活动正常
【双侧视神经-下丘脑胶质瘤】3岁患儿如何摆脱脑瘤、拯救视力?

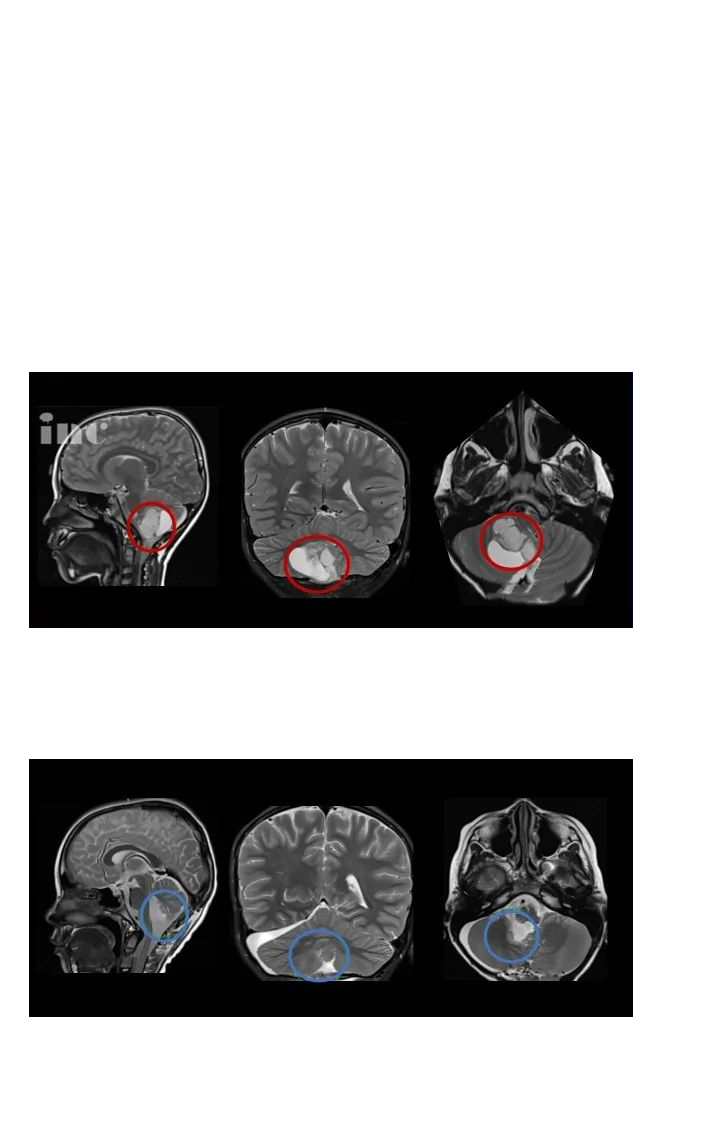
【小脑-脑干胶质瘤】脑瘤位置不好手术风险大怎么办?7岁男孩冒疫情赴德国顺利全切
2020年末,6岁的辰辰在遭遇交通事故后,开始出现频繁头晕,就医检查发现小脑占位,提示低级别星形细胞瘤的可能,并且占位所在位置已压迫四脑室和脑干,中线结构局部左移,手术稍有不慎就可能出现瘫痪、长期昏迷等严重后果。较后,辰辰的父母选择向INC德国巴特朗菲教授寻求咨询意见,教授表示:将尽力全切脑瘤。手术风险低于1-2%,如果确诊为毛细胞型星形细胞瘤,术后复发率将低于2-3%。

2021年初,辰辰由母亲陪护赶赴德国接受教授手术治疗。在术中神经电生理检测护航下,巴教授顺利全切肿瘤,术中无神经损伤,术后辰辰恢复状态很好。回国后,辰辰的妈妈多次致谢INC,她说:"辰辰术后恢复状态很好,很多医生都看不出他做过手术,是INC和巴教授让孩子有机会继续感受这个国际的美好!"
【丘脑胶质瘤】9岁患儿脑瘤全切获得更好疗效实录

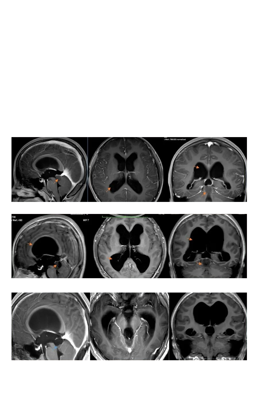
【脑干胶质瘤】脑干胶质瘤拖了2年、脑积水加重并压扁大脑,德国术后没有复发、无后遗症、迎战中考
2020年11月,14岁的小永因患脑干-中脑顶盖部位的毛细胞型星形细胞瘤住进医院,MRI影像检查发现松果体区占位伴幕上脑室扩张积水,病灶有明显强化生长迹象。小永父亲在医生朋友的下联系到INC德国巴特朗菲教授进行国际咨询咨询。巴教授表示,小永已有很明显的手术指征,如果能及时接受手术,脑脊液通道可以通过肿瘤的切除而得到恢复。教授凭以往的手术经验判断,可实现神经外科显微镜下手术近全切瘤,且手术风险很低。

收到巴教授的咨询意见回复后,小永父母决定带孩子赴德国接受巴教授的手术治疗。由于肿瘤基底部和脑干关系密切、紧邻小脑,术中教授在保全患者正常功能神经和脑干等重要脑组织的前提下,完成肿瘤近全切手术,术后无新发长期性后遗症。术后1年多回访时,小永父母表示孩子手术后恢复很好,经过康复治疗,现在已经可以正常生活和学习,并正在备战中考,为此感谢巴教授的治疗。
毛细胞型星形细胞瘤手术治疗总结
- 文章标题:毛细胞星形细胞瘤长在脑干、丘脑、视神经等疑难位置能手术吗?会有长期性后遗症吗?
- 更新时间:2022-06-13 17:19:49
400-029-0925


