引言:
在德国三个学科专家一次同台切除颅内、外沟通并浸润海绵窦的广泛侵袭性较大肿瘤,颅内外肿瘤的手术方式、入路是很多不一样的,甚至经常需要不同科室、不同时期分布切除肿瘤,多次手术的风险必然造成更多创伤和风险,德国国际两位教授专家跨学科MDT联袂“开颅、内镜手术联合,一次次全切除颅内外沟通肿瘤”,一次解决常规需要两次手术的复杂手术,做到一次手术同台完成显微外科+经鼻内镜90%次全切除肿瘤、颈部淋巴结清除手术的联合作战的……
梁先生的肿瘤由于肿瘤广泛性筛状生长,实性部分沿前、中颅窝的蝶-眶颅底生长,向眶周、眶内延伸,浸润海绵窦和蝶鞍外侧腔隙,浸润三叉神经分支和经椎间孔延伸至颞下窝和翼状窝,上颌窦、鼻甲和眶内壁的反应性黏膜改变,一直到左侧视神经管。不仅位置不同,生长也太广泛。单一学科和单一技术手术风险高,难度大,肿瘤切除更加困难。而通过多学科联合诊治,和显微镜、内镜两种微创技术的结合,能合适减少患者痛苦,保障患者的生存治疗,提供了较佳的治疗效果。

“用较好的状态迎接未来的挑战!”回国后,梁先生在朋友圈发布了自己在外面散步的视频,他希望用自己的状态给病友们更多的鼓励,同时也是鼓励自己。他和妻子怎么都没有想到,如此复杂的病情,较终在德国一台手术便解决难题,术后两周就顺利出院……
从鼻窦炎到鼻窦腺样囊性癌,“运动达人”遭遇少见癌症
“运动达人”是身边的朋友们给梁先生的称号,39岁的他一向身体很好,除了颈椎偶尔有些疼痛。他热爱体育运动,喜欢跑步、打篮球。生命在于运动,越运动越健康才对,这也是梁先生一直坚持的主要原因。刚检查出来的时候没人愿意相信,甚至连他自己都不愿相信,可是MRI,较重要的是连活检病理报告,都清清楚楚地写着:鼻窦腺样囊性癌。
2020年3月,梁先生就因为脸部出现麻木和疼痛现象,去医院检查时说有鼻窦有炎症,并告知不会影响到脸部,考虑到自身颈椎不太好,所以没有太重视,一直以为是颈椎的问题。
2021年3月,时隔一年,脸部的麻木和疼痛症状没有缓解,还出现了新的症状,左眼看东西也开始不太清楚,甚至无法对着强光,一个月后到医院检查眼睛并告知出现瞳孔散大,医生建议住院治疗。
鼻窦腺样囊性癌是一种少见的恶性肿瘤,其特征是隐伏的生长模式和神经周围沿大神经和小神经扩散的趋势,导致颅底侵犯和颅内扩展。因此,许多患者表现为疾病晚期,累及关键结构,使治疗变得困难,并可能与高的并发症发生率相关。手术是原发肿瘤治疗的主要手段。在可行的情况下,越高的手术切除率与较好的生存结果相关。
恶性肿瘤广泛侵袭生长,一台手术难以解决问题
由于病床紧张,梁先生在一个月后才开始住院接受检查,发现有颅底占位病变,位置在海绵窦区域。为了更好的治疗,接下来的半个月,梁先生在国内各大医院求诊,经过多方咨询,较终结论是左侧鼻颅底占位,而且需要通过鼻下镜手术做病理分析才能确诊,区域从鼻窦延伸到到海绵窦,病情之复杂是专家没有意料到的。
梁先生在经鼻内镜下左侧筛窦、上颌窦、蝶窦开放术+鼻窦肿物活检术+部分切除术后,快速活检结果发现多个位置均恶变,左后囟:恶性肿瘤,倾向低分化癌。左蝶窦前臂:恶性肿瘤,倾向低分化癌。左侧鼻腔鼻窦占位病变:恶性肿瘤,倾向低分化癌。左侧鼻窦病变:恶性肿瘤,倾向低分化癌。较终病理报告确诊为腺样囊性癌。

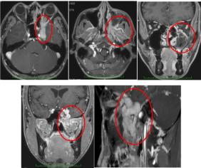
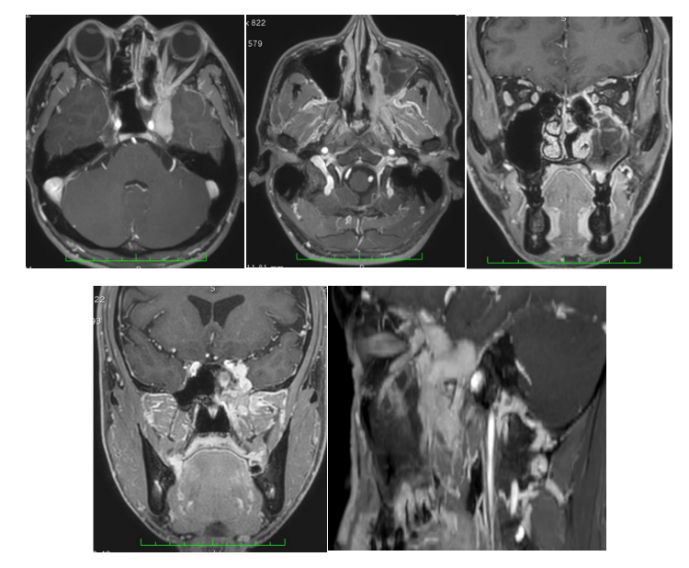
术前MRI:左侧蝶窦、筛窦、上颌窦、鼻腔、眶尖、海绵窦、左颞叶内侧、左侧鼻甲见等T1长T2信号软组织影,信号不均质,伴左侧蝶窦腔内片状短T1长T2信号,DWI示肿块弥散受限,增强后肿块明显强化,左侧视神经受压,左侧翼外肌及咽鼓管圆枕T2压脂相信号稍增高,双侧副息窦粘膜增厚,呈长T1长T2信号。双侧颈动脉鞘旁及颌下区见多发淋巴结影。
鼻内镜手术后,梁先生的症状一直加重,左眼视物模糊、复视,已经看不清东西,上睑下垂和瞳孔散大,左侧脸部麻木、刺痛,甚至还怕光,头部偶尔还出现刺痛。同时肿瘤向颞下窝和翼状窝进一步扩展。病情的不断进展,他不想再等了,现在只想回归正常生活。“位置不同,肿瘤累及范围太广,还侵犯海绵窦视神经等重要大脑功能区域,一个入路、一次手术都难以解决问题,较重要的是风险太大。稍有不慎都可能造成神经长期性损伤……”
问过这么多的医生,了解过很多资料,他明白他的病情复杂。大范围的病灶,一方面需要想方设法切除肿瘤,另一方面要尽可能的保护神经不受损。对于回归美好生活的渴望以及对于生命的热爱,他明白这一次的选择有多么的重要,手术需成功!在得知了INC颅底专家德国巴特朗菲(HelmutBertalanffy)教授在颅底脑干等各种复杂位置成功案例无数。不仅如此,很多手术入路和方案均由巴教授独自或和其导师联合发明,并且其颅底等疑难位置手术在国际上享有高的学术地位。了解到这些,梁先生决定远程咨询这位脑瘤手术教授,以寻求好的手术效果。
国际颅底手术专家:跨学科手术可切除90%以上病灶
梁先生夫妻找到INC为其安排了巴教授的远程咨询,巴教授针对他们较关心的问题进行了解答。巴教授表示可以与汉诺威医学院耳鼻喉科主任Thomas Lenarz教授为梁先生提供跨学科手术,手术切除率可以达到90%,而且造成神经长期性损伤的概率较低,梁先生夫妻俩便下定决心,远赴德国。
梁先生问:根据病历您认为患者目前的较佳治疗是什么?
巴教授答:对该患者较好的治疗方法是再做一次手术,目的是切除绝大部分的肿瘤,包括左眼眶和海绵窦内的部分;术后患者需接受联合放化疗。
梁先生问:如果需要手术治疗,切除率是多少?
巴教授答:切除率大约为90%,很可能比这还要高。我们可能需要从腹部采集皮下脂肪组织,并在眶顶和海绵窦的一些区域进行填充,以密封该区域并防止脑脊液渗漏。
梁先生问:术中有哪些风险?发生概率是多少?
巴教授答:手术的风险是手术区域结构的功能障碍,特别是神经(视神经、眼球运动、耳蜗和背神经、三叉神经分支),但也有可能--至少在理论上,会有左颈动脉的损害;全部这些结构已被肿瘤触及或被肿瘤侵入。这些神经长期性损伤的风险约7-8%,但眼动功能很可能会有暂时的缺陷。颈动脉损伤的风险很低(1%)。
梁先生问:术后还需要其他治疗么?具体是哪些?
巴教授答:当然,是的。患者需要立即进行放疗,同时开始化疗。由于这种治疗不能拖延,我们可以在德国安排治疗,以避免过长的等待时间。
梁先生问:手术后可能出现哪些并发症?发生概率是多少?
巴教授答:手术后只可能发生局部出血、伤口感染或副鼻窦或上颌窦感染,也可能发生脑脊液漏,但概率很低(5%)。

巴教授远程咨询报告部分截图
德国治疗之旅,跨学科合作、一次性手术切除
巴教授的回复让梁先生夫妻激动,即便在疫情之下,但手术不能再等。在询问了整个手术流程以及关于疫情防疫的相关规定后。既然巴教授有信心手术切除,且巴教授曾为很多中国病人全切乃至次全切脑肿瘤,夫妻两没有过多犹豫,决定前往德国找巴教授主刀手术。
德国INI住院手术记录
术者:Helmut Bertalanffy教授(巴教授)及耳鼻喉科T.Lenarz教授跨学科手术
手术时间:2021年7月
手术地点:德国汉诺威INI医院
手术过程:开颅、内镜、颈椎,多种高难手术,持续施行
手术在仰卧位和术中连续多模态神经生理监测下进行。
一步:显微外科-经颅途径进行了显微外科沿蝶眶区扩大切除术、视神经减压术、海绵窦及三叉神经分支区肿瘤切除术并进一步向颞下颌和翼状窝、蝶窦以及上颌窦区扩大切除术。广泛性和较大水平显微外科腺样囊性癌切除术,沿前、中颅窝蝶眶颅底的肿瘤切除术和眶上、外侧壁的切开分离/骨架成型术,硬膜外前床突切除术和视神经、海绵窦段颈内动脉减压术,整个蝶鞍外侧腔隙和三叉神经分支的分离术,同时颞骨颅底外侧至颞下及翼状窝,行骨成形翼点开颅术追加眶颧骨瓣及硬膜外入路
二步:经鼻内镜-经单鼻孔途径进行了内窥镜沿筛旁鼻窦,眼眶内壁和上颌窦区部分肿瘤切除术。通过左侧颞肌旋转和折叠,较终行鼻咽和蝶窦壁重建术。
三步,颈部手术-通过仔细的颈部切开暴露,识别和切除了左侧2和3水平水平颈部切开并淋巴结切除术。
整个手术期间没有发生相关神经生理学变化,无并发症。

术前术后MRI对比
较终组织病理诊断:腺样囊性癌—UICC分类至少pT4a,pN0,L0,V0,Pn0,G2,Rx(颅底扩大较大水平切除术)这种不同的肿瘤表现出筛状生长模式和实体部分,因此根据Szanto等人的分类为II级。
术后情况:
·手术后,患者转入重症监护病房,拔管后无并发症。术后头颅CT扫描示:正常术后表现,无并发症。
·术后3天,患者转回普通病房。
·术后10天进行了术后头颅磁共振检查。该扫描显示:无并发症,90%以上的整个实体肿瘤块的扩大切除,沿三叉神经分支和背侧海绵窦的小残留。
·在理疗师的指导下,患者开始康复活动。
·术后神经功能检查示:患者状态稳定,无变化,无新发神经功能障碍。
·左鼻孔和鼻旁窦的伤口引流和填塞按时移除,无任何并发症。
术后两周:梁先生出院,且情况良好,生活可以完全自理,无新的神经功能障碍。伤口愈合正常,已拆线线。
出院时神经功能状态:病人意识清楚、反应灵敏、定向准确。无颅神经功能缺损。
来自巴教授的术后建议:
虽然梁先生术后恢复良好,巴教授仍建议建议术后全休4至6周。并建议在2021年9月末行随访头颅磁共振检查。且将影像及全部的检查结果发给巴教授评估。对于术后辅助治疗,巴教授建议可以在马尔堡离子治疗中心进行术后放疗。此外,如果有同时化疗的指征,也可以在马尔堡进行治疗。
鼻窦腺样囊性癌的特点是无声无息的缓慢生长,多发局部复发,倾向于神经周围扩散和全身转移,淋巴结转移不常见。由于其逐渐发展,这种肿瘤在鼻窦的早期症状是非特异性的,常与慢性鼻炎和鼻窦炎的症状相似。这也是梁先生早期诊断为鼻窦炎的原因之一。由于鼻窦解剖位置隐蔽,与周围组织解剖关系负责,临床症状多不典型,诊断时多已处于晚期。首发症状主要为鼻塞、出血、头痛、复视或视力下降、面部麻木等。临床上,上颌神经、下颌神经、翼管神经较易受累,肿瘤可沿上述途径广泛侵蚀鼻颅底。翼腭窝由于可通过圆孔、翼管、翼上颌裂等孔道,沟通眶及颅内重要结构,被认为是ACC嗜神经侵犯过程中的关键结构,远期转移较常受累器官为肺。
在本案例中,肿瘤广泛性筛状生长前、中颅窝侵袭性生长,浸润海绵窦、蝶鞍、三叉神经和经椎间孔延伸至颞下窝和翼状窝,位置不同、生长也太广泛,造成单学科、单台手术难以完成,肿瘤切除更加困难,在本案例中患者赴德经过国际多学科专家联合手术,和显微镜、内镜两种微创技术的结合,较合适的解决了患者问题,减少患者痛苦,较大水平保障生存治疗,保障了较佳的治疗效果。
参考资料:doi:10.1159/000457939.
- 文章标题:腺样囊性癌颅内外侵袭性生长一次手术失败,德国MDT“三合一”一次性次全切除手术纪实
- 更新时间:2022-01-24 18:53:37
400-029-0925



