想象一下:有一天,你不小心穿越进电视剧中成为主角的家人,当主角发生意外被送进手术室,等在手术室外的你也许就会被告知:“手术中发生大出血……”
无论你接下来是否需要输血,此时毋庸置疑的事实是:大出血很严重,有可能会造成死亡!
而在颅内动脉瘤(IA)中,这种出血更为常见和严重。颅内动脉瘤可在破裂后导致蛛网膜下腔出血(SAH),而这通常会产生血管痉挛的不良结果,即使是在动脉瘤手术成功后。
颅内动脉瘤是造成蛛网膜下腔出血的首位病因,动脉瘤性蛛网膜下腔出血(aSAH)占SAH的85%左右,在脑血管意外中,仅次于脑血栓和高血压脑出血,位居第三,致残、致死率极高。
INC国际专家团中的巴特朗菲教授以及川岛明次教授分别在其研究中对此展开阐述,为动脉瘤患者的手术治疗及预后提供更多选择和治疗靶点。此外,巴特朗菲教授10月即将来华开启示范手术之路,与更多神经外科患者面对面。
平均死亡率27%-44%,aSAH究竟是何方神圣?
世界卫生组织(WHO)的一项研究显示,aSAH在世界范围内的总体年发病率约为9.1/10万,平均死亡率在27%-44%左右。
突发剧烈头痛是aSAH较常见的症状,通常呈炸裂样爆发,让人难以忍受。这种极端头痛多在活动中或情绪激动时发生,可能伴有恶心呕吐、颈项强直、畏光、短暂性意识丧失或局灶性神经功能障碍(主要表现为颅神经麻痹症状)等。
此外,20%的aSAH会出现各种情况导致的痫性发作。部分动脉瘤破裂前的2-8周,可能出现“先兆性出血”情况,如程度较轻的头痛、恶心呕吐等症状,一般持续数天。但是这种症状对于昏迷、合并外伤或不典型头痛的患者也比较容易误诊。
因此,对于疑似aSAH的患者应尽快进行全身及神经系统检查,重点评估患者生命体征及意识水平。Hunt-Hess分级及WFNS分级系统是简单有效的评估患者严重程度及判断临床预后的手段。
肿瘤越大越容易出血?aSAH诱因大盘点
aSAH的诱因可谓“五花八门”,甚至部分患者并无明显诱因。总体来看,部分患者有运动、情绪激动、排便、咳嗽、头部创伤、性交或分娩等明显诱因。同样也有部分患者的破裂发生在睡眠中,另有部分处于一般相对静止状态,无明显诱因可查。
由各种活动及情绪激动所引起的血压波动是诱发aSAH的重要原因。颅内动脉瘤出血患者虽然在日常生活中尽力防止咳嗽、用力排便、过早离床等,但仍不能完全有效地防止再出血。
然而,也研究发现动脉瘤的出血倾向可能与其直径的大小、类型有关,但巨型动脉瘤易在腔内形成血栓,瘤壁增厚,出血倾向反而可能下降。
血管破不破裂,手术治疗策略有差吗?
处理各部位破裂动脉瘤的⼿术策略都是类似的。其中巨⼤、部分⾎栓形成、钙化以及梭形扩张的动脉瘤为特例,需要个体化的⼿术策略,做好⾎管搭桥、⾎管内介⼊球囊栓塞以及术中DSA造影的准备。幸运的是,这样的案例只占临床所见的5%左右。绝⼤多数病例,遵循的是相对标准的⼿术策略。
然而,未破裂动脉瘤如同潜伏的“炸弹”,在手术治疗中应更加谨慎。其治疗方式主要包括两类:保守观察和手术干预,具体选择取决于动脉瘤的大小、形状、位置、患者的年龄、健康状况及动脉瘤破裂的风险等因素。
保守观察:适用于较小且破裂风险较低的动脉瘤,特别是一些年龄较大的患者或有其他健康问题的人群。此方法通常包括:
定期影像学检查:通过CT血管造影(CTA)、核磁共振血管造影(MRA)或数字减影血管造影(DSA)定期监测动脉瘤的变化。
控制血压:高血压是动脉瘤破裂的风险因素,因此要控制血压,减少破裂的可能性。
生活方式管理:如戒烟、减少饮酒、控制胆固醇等,有助于降低血管疾病的风险。
手术干预:如果动脉瘤较大、位置特殊或者存在较高的破裂风险,可能需要进行手术治疗。主要有两种手术方式:
微创血管内介入手术(动脉瘤栓塞术):通过股动脉插入导管,将其导向动脉瘤的部位,并将金属线圈(弹簧圈)或其他封闭材料(如支架、流量导向装置)植入动脉瘤内,以阻止血液进入动脉瘤,减少破裂风险。这种方法创伤小,恢复快,但需要术后定期随访,监测栓塞是否完全。
开颅夹闭术:通过开颅手术,直接在动脉瘤的基底部夹上金属夹,以阻止血流进入动脉瘤。这种方法较为传统,通常适用于某些特殊部位的动脉瘤,但手术风险较大,恢复时间也较长。
血管搭桥手术:是用于治疗动脉狭窄或闭塞的一种外科手术,通过使用其他健康的血管(通常是自体的血管,如大隐静脉或胸动脉)绕过狭窄或阻塞的血管,以恢复血液流动。
破裂动脉瘤的整个⼿术策略同未破裂动脉瘤的策略没有很⼤不同。差别在于⾯对更加肿胀的脑组织和整个过程中对动脉瘤再次破裂的担⼼。
因此,在破裂动脉瘤⼿术中,需要花更多时间来使脑组织松弛下来,释放更多脑脊液,打开更多脑池。
VA-PICA端端吻合术
INC巴特朗菲教授在其论文中详细描述了VA-PICA端端吻合术在一例VA-PICA复杂动脉瘤患者中的成功应用及技术要点。
巨大动脉瘤压迫脑干
切除并血管搭桥术后如常
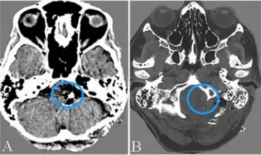
65岁女士,有左侧面部神经瘫痪和头晕1月,随后出现吞咽障碍和声带麻痹,随后就诊,影像检查显示3厘米大小的占位,考虑主要是血栓形成的VA椎动脉瘤,包括PICA(图1)。巴特朗菲教授为其进行手术,术后动脉瘤血栓形成的部分几乎完全切除,无因手术造成的神经功能缺损。

图1(A-C):术前磁共振扫描显示部分血栓形成的VA-PICA动脉瘤,并压迫脑干。

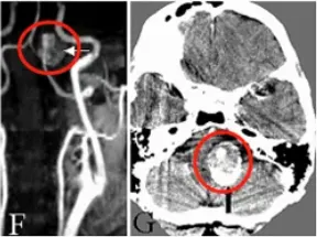
图1D:术前左侧VA造影显示大量血栓形成的VA-PICA动脉瘤的灌注部分(箭头)。图1E:术前左侧VA血管造影,VA-PICA动脉瘤合并巨大血栓形成,显示动脉瘤灌注部分(星形)和不同直径的左侧VA(箭头)和PICA(双箭头)。

图1F:磁共振血管造影显示VA-PICA动脉瘤部分血栓形成(箭头)。图1G:CT显示动脉瘤的血栓形成及部分钙化(箭头)。
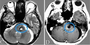
病人在手术当天即神志清楚,没有出现新发的神经功能缺损。在术后第一天的检查中,未发现局部或远端梗死和吻合口再出血(图2A-B)。MR显示脑干压迫效应解除(图2C-和D),术后血管造影显示吻合的PICA充盈良好、血流通畅(图2E-F)。术后恢复顺利,无术后并发症。经过7年的随访,声带麻痹已痊愈,生活正常。

图2A-B:CT显示动脉瘤囊切除和VA-PICA吻合术后,远外侧入路的骨磨除部分。

图2C-D:术后MR显示动脉瘤体切除。

图2E-F:术后血管造影显示成功的VA-PICA吻合术,不同直径的VA(星号)和PICA(双箭头)以及远端VA上的永久夹闭(单箭头)。
动脉瘤手术适应症:
部分血栓形成的巨大VA动脉瘤的理想治疗方案取决于许多方面,包括临床表现和患者状况、动脉瘤位置和动脉瘤形态。后循环巨大动脉瘤常伴有脑干压迫的进行性加重症状和体征。
这些动脉瘤的进展性占位效应可能导致缺血性发作,即使是急性发作昏迷引起的血栓性动脉瘤迅速扩大导致进行性延髓压迫也是可能出现的。特别是在这种类型的病人中,由于出血而导致的死亡率很高。
基于以上原因,提倡部分血栓形成的巨大VA动脉瘤进行手术治疗。上面所述的端对端吻合术,将PICA转移至VA,可以治疗部分血栓形成的脑干压迫性巨大动脉瘤。
巴教授端端吻合术技巧:
(图A)VA直接进入大而厚的动脉瘤囊,PICA起源于动脉瘤囊VA复合体。动脉瘤壁因严重钙化而硬化,以致常规动脉瘤夹闭难以奏效。在这一阶段,我们决定进行VA-PICA吻合术。动脉瘤近端和远端PICA暂时夹闭,以避免动脉瘤逆行出血。

供体血管和受体血管在动脉瘤附近被切开,VA直切,PICA斜切45度,扩大血管末端直径。缝合前用肝素化生理盐水冲洗血管末端。
(图D)完成吻合术后,松开临时夹,精心控制吻合口,防止吻合口瘘,术中多普勒超声证实血管通畅。下一步是打开动脉瘤囊,取出囊内的大部分血栓性物质。在动脉瘤囊减压完成后,大部分动脉瘤壁完全切除。

在这个阶段,靠近椎动脉交界处的远端椎动脉变得可见,因此对远端椎动脉进行了额外的夹闭,使脊髓前动脉和小脑干穿支得以游离。部分附着于延髓和近端桥的动脉瘤囊被保留在适当位置,以避免操纵或损坏这些结构。在确认硬膜内止血后,在无需硬脑膜移植的情况下,进行了一次水密硬脑膜闭合术。
远外侧入路:
成功的手术,需要术前选择一个恰当的解剖入路,充分暴露是手术成功的前提条件。神外三大较复杂的手术入路之一“远外侧入路”在上述手术中发挥着重要的作用。
多年前,巴特朗菲教授及其导师Seeger教授先后发表多篇论著,提出了铲平“枕骨髁部”,指出了远外侧入路的关键、操作难度和技术所在,对今远外侧入路的改善和发展奠定举足轻重的作用,是远外侧入路的重要开拓者。这一Bertalanffy版本的经枕髁远外侧入路,仍记载于经典手术专著第6版《施米德克手术学》中。

Bertalanffy和导师Seeger(1991)提出的“dorsolateral,suboccipital,transcondylar approach”入路,为现代远外侧入路的完善和发展奠定基石。
aSAH引发血管痉挛怎么办?
aSAH通常会导致血管痉挛的不良结果,即使在动脉瘤治疗成功后也是如此。克拉生坦(clazosentan)是一种内皮素受体抑制剂,在日本一项随机对照试验中已被证明是治疗血管痉挛的有效药物。
川岛明次教授在研究中回顾性评价了克拉生坦在老年患者(≥75岁)和WFNS V级患者中的疗效。研究引入克拉佐生坦前后接受治疗的78例aSAH患者,其中采用基于盐酸法舒地尔的治疗(pre-clazosentan era)46例,基于克拉生坦的治疗(clazosentan era)32例。
总体而言,克拉生坦显著降低了临床血管痉挛(克拉生坦治疗:31.3%vs盐酸法舒地尔:60.9%,p=0.01)、迟发性脑缺血(DCI)(9.4%vs 39.1%,p=0.004)和血管痉挛相关发病率和死亡率(M/M)(3.1%vs 19.6%,p=0.03)。
在老年患者或WFNS V级患者的亚组分析中,未观察到临床结局的显著差异。研究说明克拉生坦在预防DCI和减少血管痉挛相关M/M方面比基于法舒地尔的治疗更有效。克拉生坦同样可以安全地用于老年患者和WFNS V级患者,尽管这些患者的临床结果与常规治疗相当。
85岁未破裂动脉瘤患者
严重压迫脑干致瘫痪
85岁妇女在一次预防性脑MRI评估中被诊断为左无症状性后交通动脉瘤。她有高血压和轻微肺气肿的病史。血管造影显示一个12毫米直径的动脉瘤起源于后交通动脉(图3a)。
由于她的年龄,医生建议她进行随访。然而,在随后的2年里,动脉瘤的直径扩大到30mm,并用含有的血栓物质压迫脑干和丘脑(图3b)。入院前5个月,临床症状发展为右侧偏瘫和左侧动眼神经麻痹。意识水平在入院前1个月下降,完全卧床不起。
当MRI显示动脉瘤病灶直径达到35mm时,转到川岛明次教授所在医院进行手术治疗(图3c)。

图3(a-c):(a)诊断4个月后的血管造影显示动脉瘤直径为12毫米,起源于后交通动脉。(b)诊断2年3个月后磁共振成像显示动脉瘤内有血栓,直径达30mm,压迫脑干。(c&d)在磁共振成像(c)和三维ct血管造影上,病灶直径扩大到35mm。6个月后(d)动脉瘤从后交通动脉向上扩张。右侧大脑后动脉未见。


图3:(a)经左外侧裂入路的手术视野。动脉瘤切除术后,动脉瘤夹闭成功,血栓被清除。动脉瘤周围未发现血管。(b&c)术后CT显示脑干解除占位效应,无缺血性病变。
病人的术后过程平安无事,无并发症,神经症状减轻。术后2周3D-CT血管造影证实动脉瘤完全夹闭,血栓完全清除(图3)。患者的神经系统状况有所改善,意识恢复到GCS15(格拉斯哥昏迷指数评分显示意识清醒),右偏瘫好转。术前完全性动眼神经麻痹部分好转。
INC国际脑血管病专家介绍
INC国际神经外科医生集团旗下世界神经外科顾问团(WANG)成员、世界神经外科联合会(WFNS)教育与技术委员会前主席巴特朗菲(Helmut Bertalanffy)教授擅长大脑半球病变、脑干病变、脑血管疾病、脑内深层区胶质瘤、颅颈交界处的病变等的肿瘤切除术、神经吻合术以及各种椎管内肿瘤等。对世界神经外科学科做出重大贡献,特别是颅底外科和显微外科血管病变的脑和脊髓治疗。

德国Helmut Bertalanffy教授
世界神经外科联合会(WFNS)教育与技术委员会前主席
世界神经外科联合会(WFNS)提名委员会前主席
欧洲神经外科知名杂志《Neurosurgical Review》主编,2004-2016年
INC旗下世界神经外科顾问团(WANG)成员
INC国际神经外科医生集团旗下世界神经外科专家团(WNEG)成员、世界脑血管搭桥手术大咖、日本东京女子医科大学神经外科主任川岛明次(Akitsugu Kawashima)教授,擅长脑卒中、烟雾病、颅底肿瘤、面部痉挛/三叉神经痛、颅内血肿、巨大脑动脉瘤、脑动静脉畸形等疾病的治疗,尤其擅长脑血管搭桥、颈内动脉内膜切除术。
神经外科经验:
开颅肿瘤切除术280例(脑膜瘤100例,听神经瘤,三叉神经鞘瘤50例,颅底肿瘤160例)
脑动脉瘤夹闭手术:1000例(大动脉瘤290例)
脑血管搭桥手术:1300例(烟雾病560例,儿童烟雾病150例,1岁以内婴儿12例)
颈内动脉内膜切除术450例
脑动静脉畸形切除:100例
微血管减压手术:100例
脑干海绵状血管瘤、颅后窝搭桥术、High-flow Bypass技术等

国际知名脑血管搭桥手术专家
国际动脉瘤手术专家
世界知名脑血管搭桥手术专家
日本知名脑血管病手术专家
日本东京女子医科大学八千代医疗中心神经外科主席
日本神经外科学会委员
日本脑卒中协会委员
日本脑卒中外科学会委员
日本急诊医学会委员
INC国际神经外科医生集团相关研究
1椎动脉瘤头痛炸裂、死残率高!INC国际脑血管专家们如何“搭”救?
2世界知名脑血管搭桥手术专家Kawashima发表动脉瘤孤立术联合STA-PCA搭桥手术成果
3颅内动脉瘤"来势汹汹",破裂出血后可致残甚至死亡!
参考资料:
[1]Kawashima,Akitsugu et al.(2022).Transient neurological events in childhood moyamoya disease.Journal of Neurosurgery:Pediatrics.
[2]Helmut Bertalanffy(2006).TREATMENT OF A PARTIALLY THROMBOSED GIANT ANEURYSM OF THE VERTEBRALARTERY BY ANEURYSM TRAPPING AND DIRECT VERTEBRAL ARTERY-POSTERIOR INFERIORCEREBELLAR ARTERY END-TO-END ANASTOMOSIS:TECHNICAL CASE REPORT.
声明:INC国际医生集团致力于中外前沿技术推广,以上案例供学术交流,不作为其他个别患者的医学诊疗意见。本平台非医疗机构,不独立表达医学观点,不提供医疗服务。
- 文章标题:“潜伏的炸弹”—颅内未破裂动脉瘤,INC国际“拆弹专家”化解危机
- 更新时间:2024-12-09 15:17:56
400-029-0925



