“人老了耳背很正常”,2018年,70多岁的齐奶奶右耳开始听不清时,一家人都没太在意。
直到三年后,一系列愈发严重的症状出现,才在一次检查中发现——齐奶奶的脑内竟藏着听神经瘤。
从“耳背”到生命威胁
齐奶奶的病情发展,其实是听神经瘤的典型轨迹——听神经瘤是桥小脑角区最常见的良性肿瘤,占该区域肿瘤的80%-90%。早期症状通常较为隐匿,最容易表现为单侧听力下降、耳鸣或眩晕。
在2018年,她先是出现了右耳听力障碍,这是肿瘤压迫听神经的早期表现,但多数老人和家属会像齐奶奶一家这样以为是老年性耳背,未予重视。
直到2020年,症状突然加重:齐奶奶走路开始不稳,容易走偏,下肢无力,若无人搀扶极易跌倒。更严重的是,白天大小便有时失禁。
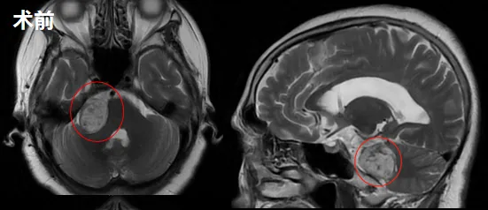
家人这才慌了,带她去当地医院检查,在2021年5月、10月两次MRI检查后最终确诊:右侧听神经瘤(大小20mm×15mm×19mm),还合并了脑积水。

至此,一家人才恍然大悟:三年前的听力障碍很可能就是听神经瘤的早期信号,而后续的步态不稳、大小便失禁等症状,则是脑积水导致的。
高龄患者的双重困境
确诊后,除了听神经瘤和脑积水,齐奶奶的治疗之路面临三重难关:
一是器官衰退,手术耐受性差;二是常合并多种疾病,如高血压、糖尿病等;三是术后恢复慢,易发生感染、肺炎、静脉血栓等并发症。
面对如此复杂的病情,齐奶奶的家人决定寻求国际顶尖专家的意见。他们远程咨询了INC国际脑血管大咖巴特朗菲教授,得到了明确的治疗方向:先解决更为危险的脑积水问题。
2021年11月,齐奶奶在当地医院接受了脑室-腹腔分流手术,术前的共济失调、步态不稳、大小便失禁等情况在术后有明显好转,她的生活恢复了自理能力。
多团队协作,为“保听保面”全力以赴
解决了脑积水,下一个挑战是听神经瘤本身。
对于齐奶奶这样的高龄患者,许多神经外科医生倾向于选择放射外科治疗,而非开颅手术。
然而,巴教授经过全面评估,提出了不同意见:考虑到肿瘤体积较大,放疗可能效果不明显,3-4年后肿瘤很可能继续生长,届时患者年过八十,手术风险将大大增加。

就在家人权衡决策时,2022年10月的常规检查带来了紧迫感:肿瘤已增大至32mm×22mm×26mm,超过了3厘米!对于这样的大型肿瘤,手术切除已成为必然选择。
幸运的是,当时恰逢巴教授来中国开展疑难示范手术,一家人立刻争取到了手术机会。手术当天,中德专家同台,在神经电生理监测下(,巴教授精准操作,成功将肿瘤完整切除。
术后恢复超预期,一年后状态如常人
术后第二天,齐奶奶就从ICU转到了普通病房。查房时,她精神奕奕地跟巴教授说“恢复得很好”,女儿也笑着补充:“早上已经能坐起来休息了!”
术后第五天,齐奶奶更是惊喜地告诉教授:“当地医生说术后肯定会有脑积水,结果现在一点都没有!”
如今术后一年,随访视频里的齐奶奶状态极佳,还会跟录视频的家人调皮打招呼。

听神经瘤治疗:早发现早治疗是关键
齐奶奶的经历给我们敲响了警钟:老年人听力下降不应简单归咎于"耳背",背后可能隐藏着更严重的健康问题。听神经瘤虽多为良性,但若置之不理,可能压迫重要神经结构,导致面瘫、听力丧失,甚至危及生命。
当出现不明原因的听力下降、耳鸣、头晕、步态不稳等症状时,应及时到医院耳鼻喉科及神经外科进行检查,明确诊断。早期发现、正确治疗,是应对听神经瘤的关键。
- 文章标题:耳背、走路不稳,以为是“老年病”症状,检查一看竟是听神经瘤!
- 更新时间:2025-11-03 15:34:22
400-029-0925




