“舌头、手脚发麻、晨起天旋地转,以为是年纪大了的‘小毛病’,没想到差点瘫在病床上……”回想两年前的那段经历,柯阿姨仍心有余悸。
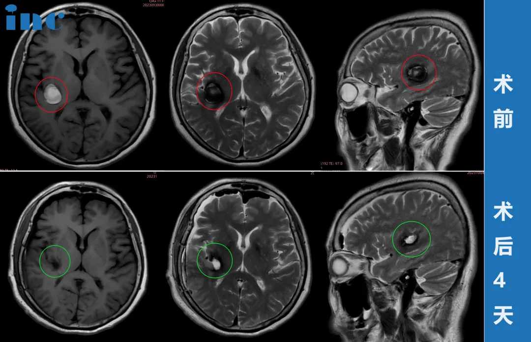
柯阿姨68岁,右侧基底节海绵状血管瘤
反反复复的“小毛病”
竟是脑海绵状血管瘤在“搞事”
柯阿姨突然舌头麻木,晨起后出现眩晕,甚至站不稳。家人赶紧带她去医院,检查后诊断为“椎体骨质增生”“脑供血不足”,大家都以为按时吃药、多休息就能缓解。
可症状没见好转,反而悄悄加重。2022年,柯阿姨去医院复查时做了头部核磁共振(MRI),结果让所有人都慌了:右侧基底节区海绵状血管瘤,病灶大小约18×19mm。
医生建议“定期复查MRI,密切观察病灶变化”,然而含血病灶逐年增大,从2022年的18*19mm到2023年的24*19mm,但是多名专家表示不赞成手术治疗,更是明确表示术后偏瘫失语可能性大。

基底节区是什么部位?
基底节是大脑的"运动司令部",仅占脑容积的5%,却掌控着全身60%的运动功能。当这里生长海绵状血管瘤,如同在电路密布的机房埋下短路隐患。

大脑基底节区示意图
远程咨询遇转机
突发危机倒逼“紧急手术”
抱着最后一丝希望,柯阿姨家人通过INC的协调,与国际脑干手术大咖巴特朗菲教授进行了远程咨询,巴教授给出了非常积极的评估。
柯女士和家人商量后原本想要等巴教授下一次来华时再进行手术,可计划赶不上变化。2023年9月,就在巴教授即将来华手术的前夕,柯阿姨的症状突然爆发:舌头麻得更严重了,脸和耳朵开始又疼又麻,眩晕发作得越来越频繁。
柯阿姨紧急做了新的MRI,结果显示:病灶又增大了!当巴教授查看最新核磁图像后,告知患者随时会有出血风险,需要立即手术。
9月29日,柯女士和家人与巴教授紧急视频沟通之后,决定提前手术。
9月30日一早,一家人从东北出发,跨越上千公里飞往苏州。
10月1日,在苏州大学附属第四医院,巴教授顺利完成手术,无任何新发神经功能损伤。

重获畅快人生
从病床到露营地的蜕变
术后第2天巴教授查房时,柯女士精神状态非常好,已经可以下地走路。柯女士一家人终于松了一口气,这个困扰他们已久的问题终于得到完美的解决。
更令人欣喜的是,最近回访时,柯阿姨神采奕奕,正和家人欢聚在露营营地,娴熟地翻动着烤架上的肉串。那个曾经被疾病阴影笼罩的患者,如今真正重拾了畅快人生。
基底节的神经元聚集区,肩负着调控运动控制、运动学习、执行功能、行为及情绪等多种功能。若是出现面部及手脚麻木,动作异常迟缓,无力抓握等症状,需要及时就医。早发现,早治疗是保证健康生活的最优解!
INC国际脑血管专家巴特朗菲教授
INC国际神经外科医生集团旗下世界神经外科顾问团(WANG)成员、世界神经外科联合会(WFNS)教育与技术委员会前主席巴特朗菲教授,作为德国汉诺威国际神经外科研究院血管神经外科主任,擅长大脑半球病变、脑干病变、脑血管疾病、脑内深层区胶质瘤、颅颈交界处的病变等的肿瘤切除术、神经吻合术以及各种椎管内肿瘤等。

同时,巴特朗菲教授收到过来自欧洲、中东、北非以及日本、中国、韩国、新西兰、南非和智利的40个国家的学术邀请,应邀出席了400多场世界各地的学术会议或在神经外科大会作为特邀发言人,对世界神经外科学科做出重大贡献,特别是颅底外科和显微外科血管病变的脑和脊髓治疗。
- 文章标题:我只是舌头发麻,为啥说我脑里有颗‘定时炸弹’?
- 更新时间:2025-09-02 13:51:12
400-029-0925


