“要么等出血丧命,要么手术有概率瘫痪”,一颗深埋于生命禁区的“炸弹”让王女士曾站在这样的绝境里进退不得。
从2008年起,她隐忍,她挣扎,直至2021年,一场跨越国界的手术为她破局。四年后的今天,当她笑着跑跳在我们面前时,这场生命的“不认输”,值得被所有人看见。
王女士,延髓-颈髓海绵状血管瘤
13年煎熬:从头痛到瘫痪
王女士的痛苦,要从2008年那个猝不及防的清晨说起。
2008年,王女士突然被一阵剧烈的天旋地转裹挟,紧接着呕吐不止,家人慌忙将她送进急诊。尽管治疗后症状暂时缓解,她却不知道,这只是漫长战争的开始。
2016年,王女士开始被剧烈头痛折磨,让她彻夜难眠。家人带着她辗转多家知名医院,最终确诊为“延颈髓交界区海绵状血管瘤”。保守治疗已无法阻挡病情恶化:头痛持续加剧、四肢逐渐无力,MRI提示血管瘤随时可能再次出血,威胁生命。
2021年,王女士的症状再次加重,检查提示“再次出血风险极高”。可面对这颗致命的“炸弹”,医生们却都面露难色——手术风险实在太大了!王女士和家人彻底陷入两难:
不手术,等着出血丧命;
手术,大概率要面对瘫痪的结局。

脑干延髓-颈髓手术
为何难度高、风险大?
首先脑干海绵状血管瘤的特点就是不可预料的反复出血,再就是脑干延髓-颈髓区域神经高度密集,解剖结构深在复杂。手术操作稍有不慎,极易损伤关键神经或传导束,导致心跳呼吸骤停、术后无法自主呼吸、长期昏迷甚至死亡等灾难性后果。

脊髓作为大脑与全身连接的“主干道”,同样布满重要神经束和神经节。术中不当的牵拉或止血操作都可能引发脊髓损伤,造成瘫痪、意识或大小便功能障碍等严重并发症。
绝境中的一束光:
INC巴教授的笃定回复
看着王女士被病痛折磨得日渐消瘦,家人不愿就此放弃。他们开始疯狂搜索国内外治疗脑干肿瘤的专家,从医学论文到患者案例,不放过任何一丝希望。
终于锁定INC国际神经外科专家巴特朗菲教授。在INC的协助下,一封载满期盼的邮件飞向德国。
而巴教授的回复如同一束光,给出了一个让所有人惊喜的答复:“可以全切肿瘤,并且我有40年脑干手术经验,深知如何规避风险,在脊髓内进行精妙操作,最大程度保护神经功能,避免瘫痪。”
王女士终于下定决心:接受手术,和这颗“炸弹”彻底了断!

巴教授邮件回复节选
INC巴教授与国内专家
联手“拆弹”
2021年5月13日,作为此次手术的主刀,巴教授在术前进行了认真细致的准备。术中,巴教授在国内神经外科专家的密切配合下,凭借丰富的手术经验,避开颅内丰富的血管和神经,清晰地暴露出脑干部位的病变,最终为王女士顺利全切了海绵状血管瘤。

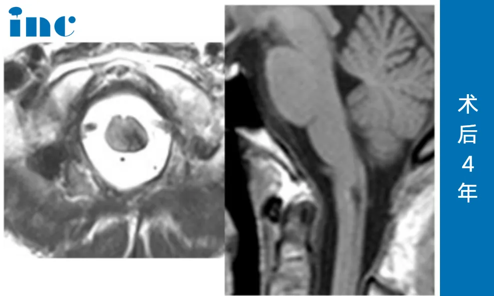
术后4年随访
行动自如无后遗症
手术成功只是第一步,术后康复更让所有人惊喜。
术后第二天,王女士就顺利拔管,在家人搀扶下可以下床走走,要知道,术前她已经出现肢体偏瘫了。
术后两周,王女士顺利出院。术后MRI明确显示:延颈髓交界处的海绵状血管瘤已完全切除。
术后两年,王女士再次联系巴特朗菲教授复查,教授仔细对比历次影像后给出评价:"结合既往出血史,当前病灶无复发迹象,稳定性良好。"

术后四年,在今年7月的最新复查,更是给了王女士一颗“定心丸”——海绵状血管瘤已经被完全切除,术区仅存手术相关的良性瘢痕及含铁血黄素沉积(均为此类术后正常表现),无任何神经功能缺损。

近期巴教授为王女士评估最新复查报告
王女士还特别拍下了她最近的生活状态,视频里她笑容满面,散步、跑跳,与常人无异,甚至无法将视频中的她与四年前那个肢体无力,连路都无法好好走的她联系在一起。
这场跨越十余载的生命抗争,终以完胜告终。
INC国际脑血管专家
巴特朗菲教授
INC国际神经外科医生集团旗下世界神经外科顾问团(WANG)成员、世界神经外科联合会(WFNS)教育与技术委员会前主席巴特朗菲教授,作为德国汉诺威国际神经外科研究院血管神经外科主任,擅长大脑半球病变、脑干病变、脑血管疾病、脑内深层区胶质瘤、颅颈交界处的病变等的肿瘤切除术、神经吻合术以及各种椎管内肿瘤等。

同时,巴特朗菲教授收到过来自欧洲、中东、北非以及日本、中国、韩国、新西兰、南非和智利的40个国家的学术邀请,应邀出席了400多场世界各地的学术会议或在神经外科大会作为特邀发言人,对世界神经外科学科做出重大贡献,特别是颅底外科和显微外科血管病变的脑和脊髓治疗。
- 文章标题:曾经怕瘫痪挣扎13年不敢手术,现在的我能跑能跳,术后4年无复发!
- 更新时间:2025-09-03 17:41:09
400-029-0925




