在同学们眼里,16岁的Nico是个阳光开朗的大男孩,但可能很少有人知道,他还是一个与脑瘤抗争了10年之久、深受其害的年轻患者。
早在他4岁的时候,他就因丘脑肿瘤而做过左侧翼点入路切除手术,但手术并不完全。在确诊为“丘脑毛细胞星形细胞瘤”后,他还做了两个周期的辅助化疗,但仿佛都无济于事。肿瘤在随后的10年多里中很快复发长大,Nico也出现了全垂体功能减退和严重的左侧视力障碍,几乎等于这只眼睛失明。

想要获得长期生存,当务之急仍是把脑中的较大肿瘤尽可能地完全切除,从根本上杜绝肿瘤复发。但由于肿瘤在于鞍区-丘脑的复杂位置,该区域控制着全身内分泌器官或组织,一旦有病变侵袭和不当的手术操作,就会造成下丘脑或垂体功能不同程度损害。
二次手术的Nico已经承担不了这诸多的手术风险,他脑子里的较大肿瘤到底能不能顺利切除?Nico的垂体功能还能恢复吗?他还能回归本来的生活和学习吗?种种这些疑问,没想到在Nico16岁的时候终于找到了答案。来自INC国际神经外科医生集团、现任国际神经外科联合会WFNS教育委员会主席、德国INI国际神经学研究所神经外科教授Helmut Bertalanffy(巴特朗菲)为Nico进行了脑瘤手术,近乎全切,也正是这场手术决定着Nico术后的良好恢复、更长的生存期和更佳的生活质量。
关于丘脑胶质瘤
丘脑胶质瘤是一种具有独特解剖结构和临床过程的疾病,多呈膨胀性生长,其周边为脑实质核团,故肿瘤界限比较清晰。好发部位包括丘脑的前上部(丘脑前核团、腹侧核团及中央核团)和后结节。肿瘤可沿传导束、室管膜下走行或在脑室内播散。丘脑胶质瘤的生长方式可以分为以下3种:①肿瘤局限于丘脑,周围重要结构如内囊及神经核团受到损害;②肿瘤超出丘脑范围,向上或向外达邻近脑叶或脑回的皮质下白质;③肿瘤向脑室方向生长但并未穿破脑室壁。依据生长部位和范围,肿瘤可累及脑室系统,损害丘脑神经核团、神经纤维传导束或视放射而使病人出现不同症状和体征。丘脑占神经轴的体积不到2%,故该部位起源的肿瘤较少,占颅内肿瘤的1%~5%。丘脑肿瘤以胶质瘤多见且以低级别为主,由于位置深在且毗邻重要功能区,其治疗一直是神经外科的难题。

丘脑胶质瘤可以发生在各个年龄组,以青少年起病为主,男女比率近似相等,年龄对丘脑胶质瘤的预后有重要影响,40岁以下病人预后明显好于高龄病人。从发病到临床诊断的时间间隔较短,是儿童常可早期确诊。常见的临床表现包括:颅内高压症状,运动缺失症状,癫痫,不自主运动,感觉缺失及丘脑综合征。以颅高压和运动缺失症状较常见,其次是癫痫与感觉障碍,不自主运动在单侧丘脑胶质瘤病人中少见而多见于累及双侧丘脑的病人。部分还可以出现视野改变、眼肌运动障碍和精神行为异常。少数病人还伴有精神皮肤综合征。
德国专家如何顺利切除Nico的疑难脑瘤?
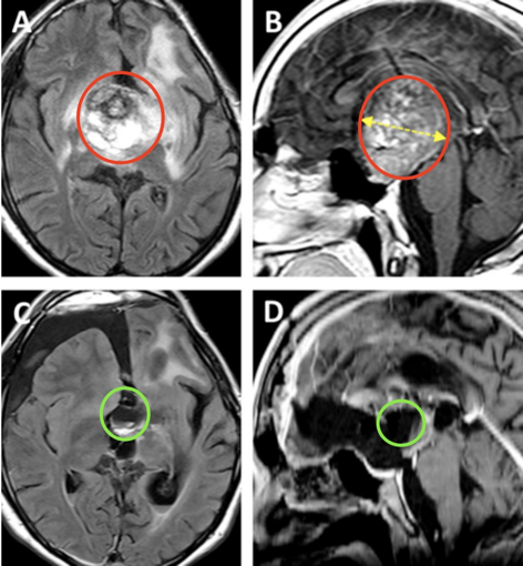
术前情况:术前MRI显示鞍区、丘脑较大肿瘤,侵犯累及左侧海马旁回和侧脑室的上部(图5A、B)。肿瘤体积达68.1mm³,其深度为44.4mm,侧面角为21.9°。

图A、B为术前MRI影像,归类为Bcentral病变的复发性毛细胞星形细胞瘤。黄色虚线表示肿瘤深度(44.4毫米)
主刀专家:德国INI国际神经学研究所巴特朗菲教授手术团队
手术入路:手术切除肿瘤是优选的较合适的治疗方式。巴特朗菲教授根据患者的病情和肿瘤生长及MRI影像特点,采用双冠状皮肤切口、双额骨瓣开颅、经基底纵裂入路进行肿瘤全切手术。
手术过程:首先,将累及视交叉的肿瘤切除,在垂体下方发现了垂体柄。前交通动脉和椎板末端逐渐暴露。打开椎板末端可以通畅进入到前三脑室并进行充分瘤内减压。暴露后脑基底分叉和P1节段动脉,尽管肿瘤已被细致切除,下丘脑和后循环血管完整保留。但前交通动脉意外地被拉伸撕裂,由于无法修复撕裂的前交通动脉,因此决定分离前交通动脉,从而在前交通动脉的两个A2段中维持供血,夹闭并分离前交通动脉(图6A-F)。控制好出血及确定血管通畅,可确定残留肿瘤的顺利切除。术后MR提示肿瘤近全切除,两个大脑前动脉A2断动脉血管区域灌注正常(图5C、D),视交叉和视神经束、垂体柄和下丘脑保持原样。

图6表示术中照片分割前交通动脉(ACoA)。由于前交通动脉出乎意料地被割裂了,前路A1节段脑动脉(A1)暂时阻塞流量控制。撕裂点(在白色箭头之间)的前交通动脉被迷你夹闭塞住,剪开,然后进行分割。
术后情况:术后患者治疗顺利,恢复平稳,患者继续进行全垂体功能减退的医学治疗。在随访中,无出现任何其他新发的神经或认知功能障碍。现在的他坚强乐观,喜爱运动,他可以做很多他自己喜欢的事儿。
图A、B为术前MRI影像。图C、D显示为几乎全切的术后MRI

疑难位置胶质瘤手术切除可能吗?
根据欧洲EANO、美国NCCN以及中国《脑胶质瘤咨询规范(2018年)》,手术切除肿瘤一直是优选一线治疗手段,手术对放化疗效果有着重要的关键性作用。脑胶质瘤应以手术切除为主,结合放疗、化疗等综合治疗方法。颅内肿瘤引起的物理占位效应,只有手术切除才是较直接、合适的解除手段。
现代神经外科技术发展迅速,但对于鞍区、丘脑、脑干、胼胝体、脊髓等疑难位置胶质瘤,手术切除仍然具有较高技术含量。术中主要的难点在于如何判断掌控切除的范围、深度及能准确的辨识并避开功能区,而不至于在术中迷失方向。
INC国际神经外科提示,目前神经外科手术已经越来越微创化,各种术中神经导航/术中核磁/术中神经电生理检测技术发展,开颅手术在显微手术时代准确性、顺利性、合适性越来越高,而且,由拥有丰富经验和技巧的医生主刀、全切胶质瘤还能为患者争取到更长的生存期和更佳预后。
关于德国巴特朗菲教授
不惧在脑干、丘脑、鞍区、颅颈交界区等疑难乃至”手术禁区“位置,德国巴特朗菲教授多年的钻研和手术成功经验成就了巴特朗菲教授当之无愧的国际颅底、脑干手术教授。单纯脑干海绵状血管瘤手术病例就高达300多例,脑干胶质瘤手术病例500多例,其他常见的颅底肿瘤、功能区肿瘤等更是数不胜数。
2021年5月,在江苏省人民政府外事办公室邀请下,INC德国巴特朗菲教授将在苏大附儿院、无锡二人民医院进行临床手术示范,国内神经外科专家可实地观摩这位国际手术教授亲自主刀手术,国内神经外科疾病患者无需出国,也可接受巴特朗菲教授教科书级的手术治疗。
参考文献:Helmut Bertalanffy.Predicting the necessity of anterior communicating artery divisionin the bifrontal basal interhemispheric approach.Acta Neurochir(2016)
- 文章标题:16岁复发较大丘脑胶质瘤,如何近全切手术后恢复?
- 更新时间:2021-06-24 23:24:23
400-029-0925




