
国际医疗合作空间广阔,巴教授天坛医院之行再度开启!
8月6日,中国新闻网(中新网)以《INC:中国医疗开放政策持续深化 国际医疗合作空间广阔》为题,深入阐述了政策红利下国际医疗合作的广阔前景,并详细呈现了INC作为先行者在国际学术交流的7年深耕。INC成立七年来,积极推动旗下世界神经外科顾问团(WANG)的多名国际神经外科大咖,在华完成近200台中外手术交流,与知名医院合作建立国际协作网络,并助力培养中国神经外科青年人才,促进国际学术交流。随着政策深化,更多国际专家将来华开展合作。

8月中上旬,作为中国患者的老友、世界神经外科联合会(WFNS)教育与技术委员会前主席Helmut Bertalanffy(巴特朗菲)教授天坛之行即将开启!从万里之外的德国,再次来到中国,赴一场“新生之约”。此次中国行,首都医科大学附属北京天坛医院将再次携手巴教授共克疑难神外病例,为更多海内外疑难神外疾病患者带来希望,他们翘首以盼!

“我大约在接下来的两周内会来……”早在7月底,巴教授天坛之行正式开启之前,不少疑难脑瘤患者已通过远程咨询与巴教授进行了初步沟通,寻求新的选择和机会。
在等待手术的患者中:
德国患者Z先生:面对"手术禁区"延髓肿瘤,他选择相信巴教授30年的脑干手术经验,最终在中国完成这场高难度手术。
19岁少年飞宇:巨大肿瘤已完全占据第三脑室,向下压迫“生命中枢”中脑,不仅要切除肿瘤,更为他守护未来人生的无限可能。
郑先生的双病变挑战:小脑与脑干病变同时存在,巴教授"一次开颅解决两个隐患"的方案,让他重获希望。
现在,一切准备就绪,只待巴教授的到来,为他们开启重获新生的希望之门。
1. 同为德国人,他选择在中国寻求巴教授手术
“病灶位于脑干,这不是普通的脑部手术。”拥有30多年脑干手术经验的巴特朗菲教授详细评估道,“如果用1到10分来评估手术难度,这台手术大概在5到6分左右。”面对着这个常常被成为“手术禁区”的延髓位置,巴教授显得从容不迫:“有些神经外科医生可能会认为这类手术无法进行,或者风险极高。但我一直在做这类手术。”巴教授不仅详细解析了手术入路选择、手术操作要点,还就术中神经监测、术后康复管理等关键环节进行了解答。

和巴教授同为德国人的Z先生,长期在中国生活。当不幸查出“延髓背侧占位”,虽然已经咨询过多个国家的神经外科医生,巴教授的回复让Z先生对于手术充满信心,最终选择在亚洲神经外科临床、科研、教学基地——北京天坛医院接受巴教授主刀的手术。
2. 巨大三脑室肿瘤,守护19岁少年的未来
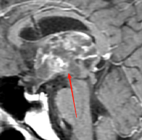
对于青少年患者,治疗从来不只是挽救生命——更是在守护他们尚未展开的人生。每一次治疗决策都关乎他们的生长发育、未来生存质量,甚至几十年的幸福。2020年,19岁的飞宇因突发剧烈头痛、喷射状呕吐,被确诊为松果体区肿瘤并继发脑积水,紧急接受脑室腹腔分流术后症状缓解。然而,肿瘤悄然增大,危机再度降临:视力显著下降,视野缺损,MRI揭示一个40×25×31mm的巨大肿瘤已完全占据第三脑室,从室间孔向下压迫中脑——他的未来,正在被一点点吞噬。

“需要手术,且越快越好!”巴教授认为。四十年的经验和技术,他曾成功为类似患者实现肿瘤全切且手术风险可控。“当然不能保守治疗!对19岁的患者进行盲目放化疗也是禁忌!这既无法解决肿瘤,还可能给他带来新的严重问题。”——人生只有一次,治疗的终极目标不仅是切除肿瘤,更是让他未来的人生,依然拥有无限可能。
3. 两个病变,一次切!强强联合给他巨大信心
从查出脑部病变,到面对面咨询巴教授,一直以来的心里巨大压力,终于在确定手术的那一刻得到释放。病变竟同时潜伏在两个危险的位置——掌管平衡协调的小脑,以及被称为“生命中枢”的脑干。小脑的手术本就充满挑战,其丰富的神经纤维如同精密电路,稍有不慎就会导致共济失调;而脑干手术更是神经外科领域的“禁区”,这个拇指大小的区域密集着呼吸、心跳等生命中枢,手术误差必须以毫米计算。更棘手的是,如何才能一次切除这两个危险病灶?

反复出现的症状不断加剧着他的焦虑。“这个病变到底是什么?”“手术风险有多大?”这些念头如同梦魇,让他焦虑不已。直到巴教授“手术目标是可以一次解决两个病灶”的话,像一束光照进黑暗。教授详实的手术方案和风险控制评估,并与北京天坛医院的联合,终于让郑先生压在心头多日的巨石缓缓落地。

巴教授的天坛之行正式进入倒计时。作为北京天坛医院神经外科外籍专家,巴教授已在天坛医院完成多台高难度神外手术交流。以心为灯,照亮生命前进的旅程。希望此次天坛之行能点燃更多患者及其家庭的生命之光!
- 天坛医院手术纪实 | 小脑开颅术后90天,从“手术风险大”到自由奔跑的逆袭人生
- 天坛医院手术纪实 | 当脑瘤保守观察失效,9天时间如何拯救这个篮球少年?
- 天坛医院手术纪实 | “视力一天天变差”,中外专家联手开颅,揪出脑瘤真凶!
- 天坛医院手术纪实 | 偶然发现、无症状,被体检报告“揭发”的脑瘤,切吗?
- 文章标题:“中外强强联合,脑瘤何所惧!”INC巴教授北京天坛医院行程再启!
- 更新时间:2025-08-08 09:39:11
400-029-0925




