半卵圆中心是什么?
右手无力、写不了字,23岁的大学生斌斌竟然因为这个“小毛病”检查出了半卵圆中心脑海绵状血管瘤。而同样是半卵圆海绵状血管瘤患者的47岁女士的邓女士,则是由于一次常规体检偶然查出的。网络搜索,能找到的自己这个少见位置的资料都少之又少,斌斌和邓女士后期的治疗之路又如何呢?那到底什么是半卵圆中心?
INC国际教授半卵圆中心案例交流
23岁男性?半卵圆中心海绵状血管瘤
简要病史:23岁的彦文一年前感觉右手无力,写不了字,5月份就医检查左半卵圆中心海绵状血管瘤,住院治疗一周,期间右腿、右脚无力,走路不利索,医院给予保守治疗后出院。彦文父母一直苦苦寻求能为年轻的孩子顺利手术的主刀医生。今年4月,他们看到了国际神外教授巴教授来华示范手术消息,于是奔赴苏州寻求教授为孩子主刀手术。
治疗过程:4月9日,在苏州独墅湖医院,巴教授已经顺利为彦文顺利完成手术,全切左半卵圆中心海绵状血管瘤。
术后情况:术后一周,已经可以自行下床活动,术后的右手麻木等症状有所缓解,术后两周多顺利出院,目前术后两个月,可以正常行走骑自行车,基本恢复正常生活。
47岁女性,半卵圆中心海绵状血管瘤
简要病史:47岁的邓女士事业如日中天,对于工作,有着较强的责任心及较高的自我要求。一次定期体检却发现右脑额叶深部占位,大小约8mm,医生判断是海绵状血管瘤。咨询了上海的专家,但是医生的解释让他害怕,不建议手术,因为病灶部位太深,靠近功能区,手术风险大。而且目前病灶体积小,建议每年复查随访。查出海绵状血管瘤之后,邓女士发现有时工作太累了会头疼,近期还出现 6~7次无预兆性突然出现眼前漂浮物的现象,很快自行缓解。
治疗过程:2024年3月28日,巴教授中国行期间,一场疑难功能区海绵状血管瘤示范手术,成功拯救了47岁的邓女士于病魔的阴影之中。“I believe you, it’s a very (我很信任您,这是一个)就是正确的选择。”术后2小时,麻醉刚清醒,47岁的邓女士激动地用英语说出自己的术后感受,重新露出了大大的笑脸。
手术1天,顺利出ICU,转入普通病房,交流顺畅、肢体活动正常,恢复良好。“我的手有力量,Thank you very much!”此时的邓女士回归了往日的健谈、声音洪亮、神采奕奕。术后2天,邓女士表示已经可以自主下床活动,“已经可以走来走去”,巴教授查房用中文为邓女士点赞。
术后4天,邓女士已经下床吃饭,“刚刚喝了家里带来的鸡汤”,病房的小饭桌上摆满了邓女士术后的营养餐。手术切口也恢复的好。“巴教授的水平高了!” 笑意盈盈的邓女士向巴教授表达感谢。

半卵圆中心图片
半卵圆中心此断面恰经胼胝体上方,可见大脑半球的髓质形成半卵圆中心。此处大脑半球的髓质成自三种纤维:①投射纤维:连接大脑皮质和皮质下诸结构,呈扇形放射,称辐射冠;②联络纤维:连接本侧半球各皮质,人脑的联络纤维较为发达,与投射纤维和连合纤维相比,其数量较大;③连合纤维:连接左、右大脑半球的相应皮质区。
半卵圆中心解剖结构
半卵圆中心是大脑白质的组成部分,位于大脑皮层下方。大脑皮层是大脑的较外层,负责高级思维和感觉处理。半卵圆中心是一个形态学名词,为一区域白质的统称,具体位置为胼胝体(相当于侧脑室体部上方)上部层面的大脑白质。因在横切面上,左右两侧合起来呈卵圆形,而单侧为半卵圆形,故称为半卵圆中心。其包含投射、联络及连结三种纤维。半卵圆中心是指脑室上部的脑白质区域(层面上不出现侧脑室),而辐射冠是指两侧侧脑室周围的脑白质层面。在纤维的上部,它们看起来相连。在半球上部横切面上是半卵圆形,故有此名。
半卵圆中心由捆绑在一起的神经纤维(也称为轴突)组成。神经纤维将你大脑的一部分与脊髓连接起来。这些轴突形成了连接大脑不同区域的主要白质束。可以把它想象成大脑的内部线路,它们还指示你的神经相互交流,允许信息在不同区域之间流动。
这些神经纤维被一种叫做髓磷脂的物质覆盖,这种物质的作用就像电线上的绝缘层,可以保护神经纤维免受损伤或损害。髓磷脂不仅加快了信号的传输速度,还赋予了白质独特的白色,因此得名“白质”。
半卵圆中心的纤维主要为有髓纤维,故在MRI T1加权像上呈高信号,在CT图像上为低密度。脑内的脱髓鞘病变如多发性硬化、肾上腺脑白质营养不良以及脑结节硬化症等,常于该区出现单发或多发病灶。
半卵圆中心的功能
半卵圆中心在神经系统中发挥着至关重要的作用。作为大脑白质的主要组成部分,它负责连接大脑的不同区域,参与了大脑各区域之间的信息传递、处理和整合,从而确定神经系统的正常运作以及大脑的高效运转。它起着桥梁的作用,连接大脑皮层的各个部分,大脑皮层负责语言、记忆、推理和感官知觉等功能。
例如,当你移动你的手时,来自大脑某一部分运动皮层的信号需要传输到相应的肌肉。半卵圆中心作为这些信号的通道,确保您的动作顺利执行。
以下是半卵圆中心在生理学中的一些重要作用:
1协调大脑两半球的功能:半卵圆中心连接左右大脑半球,使得两侧大脑能够相互协作,共同完成各种认知任务。
2传递情感信息:半卵圆中心与情绪调节密切相关,它负责将情感信息在大脑各区域之间传递,从而影响个体的情绪表现。
3控制运动: 半卵圆中心与运动控制密切相关,它参与了运动规划、执行和调整等过程。
4认知功能: 半卵圆中心连接大脑皮层的各个认知区域,有助于实现高级认知功能,如注意力、记忆、决策等。
5感官信息处理:半卵圆中心负责将感官信息从大脑皮层传递至其他相关区域,从而实现对周围环境的感知和适应,半卵圆中心在解剖学和生理学上具有重要的意义。作为大脑白质的重要区域,它参与了大脑各区域之间的信息传递和处理,从而确定了神经系统的正常运作。
半卵圆中心的损伤或疾病会损害大脑的通信网络,导致各种神经症状。多发性硬化症、中风和创伤性脑损伤等疾病会损害白质,影响认知和运动功能。
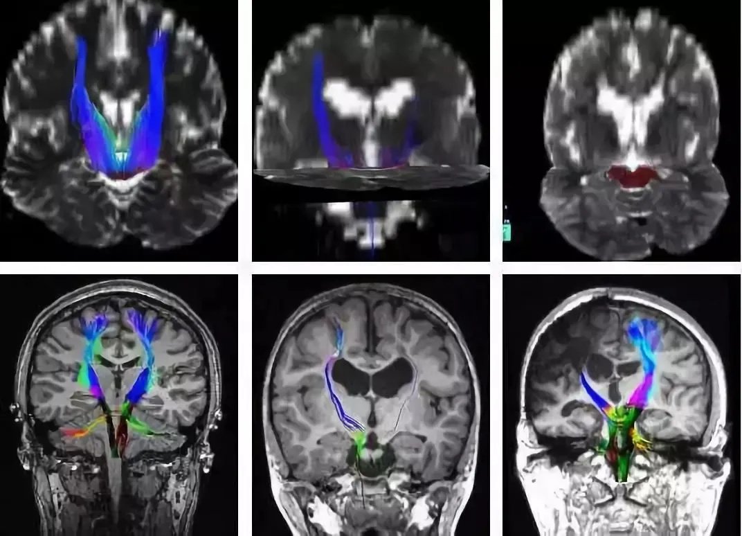
半卵圆中心的成像
医学成像的进步使我们能够以前所未有的细节探索半卵圆中心及其功能。较常用的两种成像技术是磁共振成像(MRI)和扩散张量成像(DTI)。
1、核磁共振成像:
标准的MRI扫描可以提供大脑结构的详细图像,包括半卵圆中心。这种非侵入性技术使用磁场和无线电波来创建大脑内部结构的图像。这是一种用于识别白质异常或病变的宝贵工具。
2、DTI:
扩散张量成像是一种专门的MRI,允许我们绘制半卵圆中心神经纤维的路径并研究这些路径的完整性。
▼DTI成像技术图片

半卵圆中心等功能区手术要点
半卵圆中心等功能区肿瘤、海绵状血管瘤等,主要治疗方式仍是手术切除为主,手术尽量全切肿瘤是治疗较为关键的一环。而位于功能区的脑肿瘤手术较易导致患者瘫痪,生活不能自理,生活质量严重下降。因此,可能存在处理功能区脑肿瘤时常偏保守,导致切除不完全,容易复发,生存期缩短。成功的外科手术是团队协作的成果,这包括技术高超的主刀医生和神经电生理监测团队、高质量的麻醉团队、器械护士之间的无缝合作。
此外,功能区手术是否采用术中功能定位技术对病人术后功能影响较大,严重神经功能损伤的风险降低,且切除程度更高。目前术中脑功能定位方法有:功能神经导航、皮层诱发电位定位、皮层脑电图实时分析及术中脑直接电刺激技术。
▼功能区胶质瘤使用术中核磁能够确定较大水平顺利切除肿瘤

▼巴教授利用术中神经功能导航准确定位肿瘤

术中核磁可以给医生提供准确影像,没有辐射,没有已知的其他危害,可以安静地完成多项扫描。医生可以边做手术,边及时地完成必要的影像学检查,让肿瘤无处遁形,大大提高手术及检查的准确性、顺利性。在术中开颅状态下,患者可以进行数次术中核磁检查,肿瘤切没切干净,还有多少残留,一清二楚,医生可以根据检查结果随时调整手术方案,继续切除,直至肿瘤完全清除干净,目前广泛运用于功能区肿瘤的手术中。
因此,对于功能区脑肿瘤手术而言,需要主刀医师通过细致的显微手术操作较小化脑组织损伤,在保护神经功能完整的前提下尽量全切肿瘤。
总结
半卵圆中心有助于大脑皮层各区域的相互联系。MRI等现代成像技术在诊断和监测影响该区域的疾病方面发挥着重要作用。作为患者不幸罹患像半卵圆中心这样疑难位置的疾病,就医路上也要格外谨慎,手术或是不手术?是否有手术指征?需要多参考该领域专家,寻求国际咨询建议。盲目就医或手术,可能会造成难以挽回的悲剧后果。
参考资料:1. https://www.neurosurgicalatlas.com/neuroanatomy/centrum-semiovale 2. ArsNeurochirurgica
- 文章标题:难以行走、记忆丧失…半卵圆中心病变竟会导致这些症状【附案例】
- 更新时间:2024-04-18 15:30:59
400-029-0925




