初次发现脑膜瘤便进行3次伽马刀治疗,伽马刀治疗无效后有选择手术,奈何手术也没有切多少,肿瘤直接增长到6cm柠檬大小肿瘤。
脑膜瘤治疗究竟是选择放疗,还是手术?
脑膜瘤是颅内较常见的良性肿瘤,完全全切是较合适的治疗,但有时因为肿瘤临近或者累及重要血管、神经或脑组织等重要结构,患者在就医的过程中可能会得到:手术风险大,无法全切,甚至可能会出现一系列并发症。这时很多患者会问了,手术难度大,是否可以进行伽马刀治疗?其实伽马刀出现以前,手术是的治疗方式。对于生长或有症状的脑膜瘤,无论肿瘤级别是高是低,都应以手术治疗为优选。理论上手术切得更多,更能合适避免肿瘤复发。
伽马刀可以作为手术后的辅助疗法,有时甚至是手术的替代方案,一般医院仅用于海绵窦区等疑难位置。因为伽马刀不能直接解除肿块的占位效应、缓解神经症状、明确组织病理。建议患者尽力争取手术机会,切勿轻易选择伽马刀或其他辅助治疗方案。
伽马刀一般用于部分小瘤子,常伴有放射性神经损伤,脑膜瘤一旦超过3厘米,伽马刀容易造成颅神经损伤,导致脑水肿、肢体麻木无力、恶心呕吐、脱发等,且肿瘤易残留、易复发。对患者及家属来说,肿瘤残余、复发,就是噩梦的开始!
这要看具体病情、就医手术条件,放疗虽然不用开颅、不会流血,但不能完全切除根治肿瘤。通俗来说,放疗就像把肿瘤暴打一顿、并没有“斩草除根”,还伤及许多瘤周神经血管等。如经济条件允许、生活质量要求高、有好的就医资源通道,优选“顺利的全切手术方案”。
恶变、无效——脑膜瘤放疗失败案例
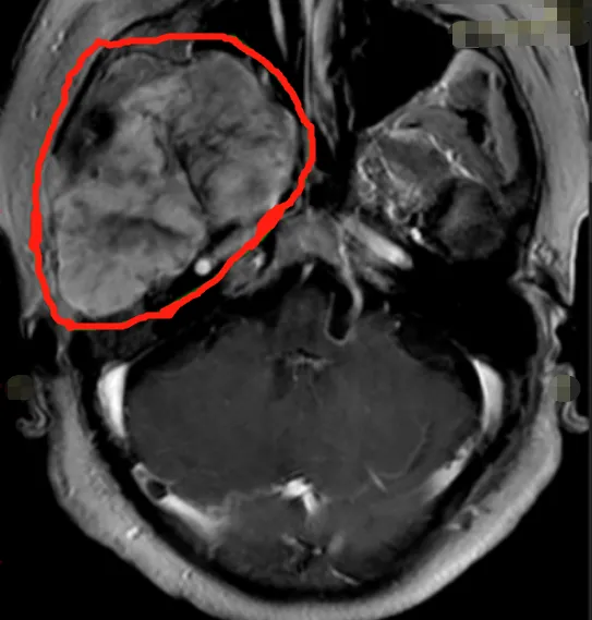
部分切除+伽马刀,肿瘤生长,一度直径达11cm
患者现年67岁,2015年因发现颅眶肿瘤在外院行伽马刀治疗。无效后,2019年肿瘤长大行开颅手术,术后病理为“良性”,部分切除后行普通放疗治疗,之后肿瘤继续增大,肿瘤较大直径已经超过11cm了,很多医院表示已经难以再手术了。此时患者右眼已经失明,右侧眼球突出,胀痛明显,痛苦。如果不手术,只能逐渐痛死。部分切除辅助伽马刀,并没有阻挡住肿瘤继续生长的步伐,该名患者只能再次寻求手术治疗,但经历过一次手术和伽马刀后,这次手术难度更大,患者的术后康复也将花费更多时间……

脑膜瘤伽马刀治疗无效,一台手术顺利全切
术前情况:2021年9月,50多岁的钟女士在体检中意外查出CPA区脑膜瘤。当时医生告诉她,右侧桥小脑角(CPA)区占位,肿瘤位置附着岩谷、临近面听神经,且已经压迫脑干,手术治疗伤及神经的风险很大,也就是说如果手术做不好,钟女士可能以后开口吃饭、睁眼看东西的力气都没有了,也很可能失去视力和听力。

鉴于手术风险很大,钟女士在医生的建议下选择了伽马刀治疗,并且她找了国内伽马刀医院进行治疗,可是七八个月过去了,并没有明显治疗效果,这使她更焦虑了。

“我现在真的有些慌了,伽马刀治疗根本没什么效果,肿瘤还是那么大,又不敢手术,害怕手术后成为残疾人。现在偶尔耳鸣,不知道以后还会出现什么更严重的症状,在网上看到很多病情严重的病友有出现癫痫、肢体瘫痪、失去视力的,我也很担心这些……”钟女士在接受伽马刀治疗无效后这样说。她意识到再这样下去是无法解决问题,如何才能让自己获救?苦苦的四处查询终于获得结果。
治疗过程:然后,她在网上看到了INC神经外科医生集团的信息,了解到德国神经外科专家巴特朗菲教授是国际颅底肿瘤手术教授,专注脑干、颅底等复杂位置脑瘤手术30余年,在脑膜瘤治疗方面也有很多手术全切肿瘤、无后遗症、没有复发的案例。经过几番犹豫后,决定联系INC。
钟女士在INC医学顾问的协助下与巴教授展开了远程咨询,巴教授建议手术治疗,显微外科手术可以很好地完成肿瘤切除,不会出现并发症。谨慎的评估肿瘤切除率在97到99%之间,巴教授评估患者术后面瘫发生率为3%,而实际很多患者手术后没有并发症出现。巴教授还提到如果是初治时,根据肿瘤的位置,大小和患者的年龄等因素,他会建议患者手术,而不是伽马刀治疗。因为如果选择放疗,仅能减瘤、无法根治肿瘤。而且放疗会导致肿瘤和神经焦灼黏连、手术分离切除肿瘤难度更大,放疗后手术效果降低。

手术情况:2022年巴教授中国行中,成功主刀手术肿瘤全切,无新发神经功能损伤。术后一天ICU查房,钟女士状态清醒,和教授交流顺畅。术后五天查房,钟女士状态良好,连声感谢巴教授并和教授开心合影。病理结果脑膜瘤WHOI级,良性预后很好,术后将不再需要反复放化疗,她可以像正常人一样生活。
▼术前术后MRI对比
术后情况:术后10天,我们对患者爱人进行了采访,给相同经历的患者家庭带来一些合适的参考信息。
钟女士早已恢复了正常生活,术后进行定期的影像随访。术后九个月时,钟女士收到了巴教授回复的随访邮件,没有复发、无残留。

点击查看钟女士案例详情:脑膜瘤伽马刀治疗无效后还能手术吗?INC国际手术全切案例图解
首刀、伽马刀后脑膜瘤多发恶化,Simpson1级全切后4年没有复发
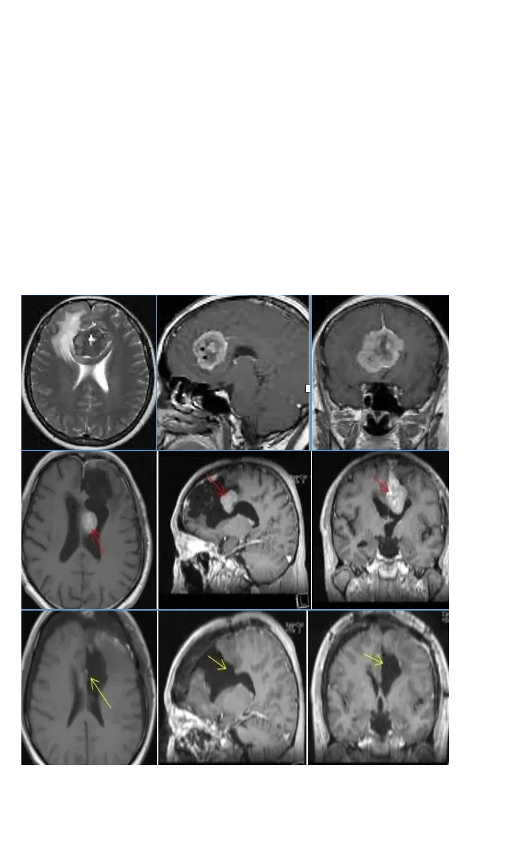
术前情况:48岁的赵先生因突发癫痫就医,家人带其MRI检查后发现大脑左额镰旁有肿瘤占位,立即在国内某医院进行部分切除,病理结果是“脑膜瘤”。由于赵先生肿瘤生长在特别重要的神经、血管旁,为保留神经、血管功能,手术全切难度大,较易损伤周边重要组织,所以只实施了部分切除。
然而仅在部分切除手术的二年,赵先生就在复查检查种发现了脑膜瘤复发的情况,手术风险依旧存在,医生建议赵先生进行伽马刀治疗。3年伽马刀治疗非但没有如预期的控制肿瘤生长的效果,反而让赵先生的脑膜瘤继续恶化,MRI影像显示大脑镰前段基本均受累,并有大脑镰右侧肿瘤生长,矢状窦被累及,左侧额部凸面硬脑膜多处肿瘤生长。

手术切除肿瘤仍然是较根本的办法,然而此时肿瘤的情况更加复杂,三年前的脑膜瘤就让众多医生打了退堂鼓,建议保守治疗,又何况是现如今的情况。在多方寻医、四处打听下,在病友圈得知INC德国巴特朗菲教授是脑膜瘤、胶质瘤等颅底肿瘤治疗的国际人物,他能为患者实施的肿瘤全切术。
治疗过程:看完赵先生的影像资料,巴特朗菲教授指出,能否完整切除脑膜瘤是预防脑膜瘤复发的关键因素,这也决定了患者术后能否有更高的生存率、更好的生活质量。虽然二次手术风险大,凭借其多年的经验可把当前的脑膜瘤及残余全部清除。
术中情况:在术中iMRI、术中神经导航等国内少有的高科技复杂仪器辅助下,巴特朗菲教授为赵先生实施了手术,大脑镰旁及矢状窦旁的肿瘤被完全切除,受累颅骨的内板以磨钻磨除后复位。手术实现脑膜瘤Simpson 1级切除。

术后情况:术后ICU观察一天,术后二天下床进行康复锻炼。神经功能无任何异常,术后13天步行出院。距离赵先生做手术已有5年多了,赵先生的女儿每年都会陪父亲定期去坐核磁检查,而MRI复查结果显示,脑膜瘤并没有复发,在国内做了的康复治疗后,除了定期复查,赵先生现在已跟正常人一样生活。
点击查看赵先生案例详情:首刀、伽马刀后脑膜瘤多发恶化,INC国际教授Simpson1级全切术,4年没有复发、无需治疗
脑膜瘤伽马刀还是手术究竟怎么选?
怎么样才是科学合适的治疗?
伽马刀是“刀”吗?
很多人都以为伽马刀是某种不同的手术方式,但其实此“刀”并非我们常说的手术刀,“珈玛刀”实际上是属于放射治疗的方法之一。全称“伽玛射线立体定向放射治疗系统”,是一种融合现代计算机技术、立体定向技术和外科技术于一体的治疗性设备,它将钴-60发出的伽玛射线几何聚焦,集中射于病灶,一次性、致死性的摧毁靶点内的组织。
并且也不是肿瘤都可以用伽马刀进行治疗,与其他放射治疗方法一样,伽马刀治疗有严格的适应症和副作用,超出适应症范畴滥用,只会给病人带来伤害,并且使后续治疗更加困难。
头部“伽玛刀”有严格的临床适应症:
▪可考虑为老年或危重患者、3公分以下的脑膜瘤
▪一些手术不能切除干净的肿瘤残余;
▪如果肿瘤较大,且周围正常组织浸润广泛的患者不宜伽马刀治疗。伽玛刀有放射性神经损伤、诱发肿瘤恶化可能。
对于脑膜瘤该如何科学合适的治疗?
手术切除是脑膜瘤较合适的治疗手段。脑膜瘤一经确诊原则上应行手术治疗。颅内压增高、有神经功能缺损者,则应尽早手术治疗。手术有助于完全切除肿瘤,避免复发,这为治愈提供了较好的机会。如果脑膜瘤是良性的,神经外科医生可以将其完全切除,那么手术可能是需要的治疗方法。对一些人来说,完全切除手术是治疗的全部,然后定期成像监测肿瘤的复发。对于大多数恶性脑膜瘤或神经外科医生不能完全切除脑膜瘤,医生可在手术后使用放射治疗。
对于较小的脑膜瘤,没有引起任何明显的迹象或症状,监测肿瘤没有立即治疗,称为观察,可能是一个选择。如果脑膜瘤不再进一步生长,病人可能远远不需要治疗,但是这种情况不多。
▼如果出现如下情况,病人情况良好,优选手术治疗:
1.如果病人有疾病症状:当肿瘤太大时,会压迫神经和血管。导致头痛等症状和疾病的其他表现;
2.如果脑膜瘤生长活跃并有恶性肿瘤的迹象:在这种情况下,有必要尽快切除肿瘤。手术后,医生给出辅助的治疗策略以避免复发。

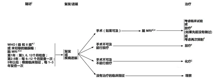
图:NCCN中枢神经系统肿瘤指南2021版-脑膜瘤表现及治疗

图:NCCN中枢神经系统肿瘤指南2021版-脑膜瘤随访、复发/进展的治疗
脑膜瘤治疗总结
脑膜瘤应以手术全切为治疗目标,根据术中情况可接受次全切以保护神经功能,然后定期复查观察残余肿瘤,如果肿瘤小可以选择立体定向放射外科治疗(SRS),若肿瘤增大并出现神经功能缺损症状,应再次显微手术切除肿瘤。
脑膜瘤治疗预后情况受多种因素影响,除去性别、年龄、NF2、病理学分级、位置等,切除率是可控因素。切除率与肿瘤位置、生长特点、术者的技术经验等息息相关,寻找国际神经外科专家的手术治疗,为的就是对于高难度手术的高切除率、低风险、低副作用,而且脑膜瘤如果一开始手术能够顺利全切,那么复发的可能性就越低,无进展生存期(PFS)就越长,总体预后(Prognosis)和总生存期(OS)就越好,避免术后神经功能损伤、恢复不佳的经济及社会心理负担等,生活质量更大水平地得到保障。
- 文章标题:脑膜瘤放疗后进展,再放疗还是手术?
- 更新时间:2024-04-29 17:39:59
400-029-0925





